My BEST Dentists Journal

All Journal Entries
Share

What is Dental Abrasion & Abfraction?

Abrasion is the loss of tooth structure by mechanical forces from a foreign element. If this force begins at the cementoenamel junction, then the progression of tooth loss can be rapid since enamel is thin in this region of the tooth. Once past the enamel, abrasion quickly destroys the softer dentin and cementum structures.

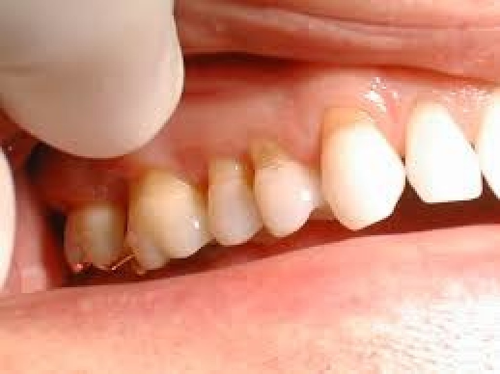
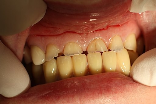
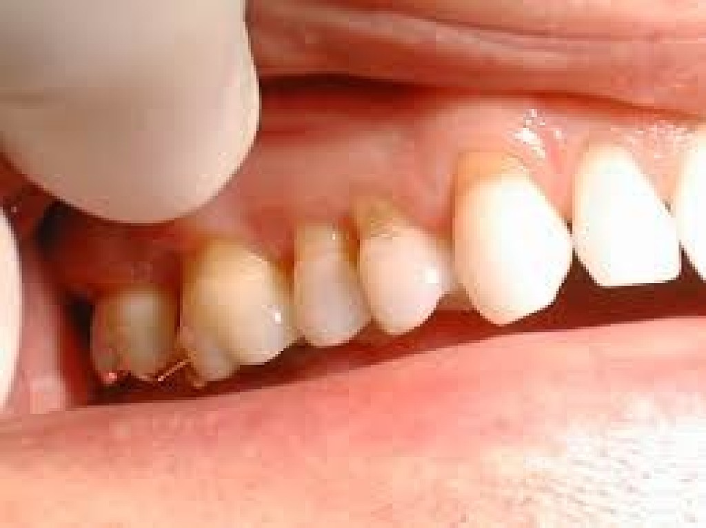
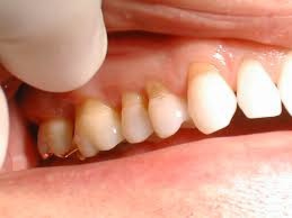
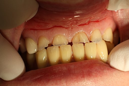
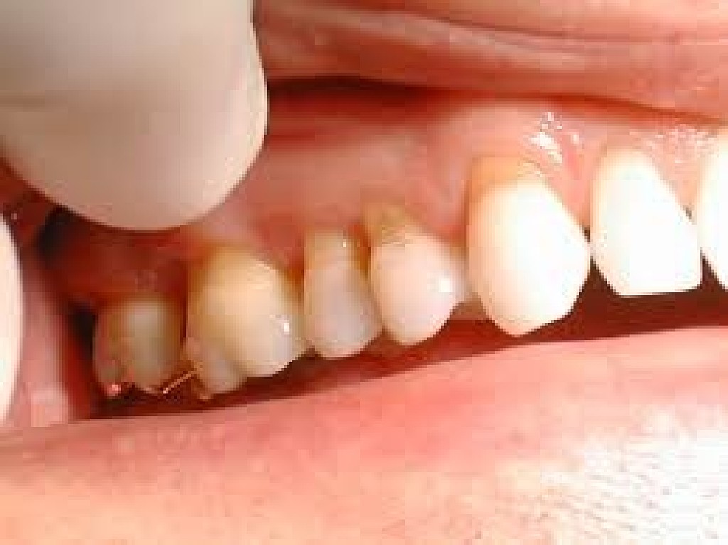
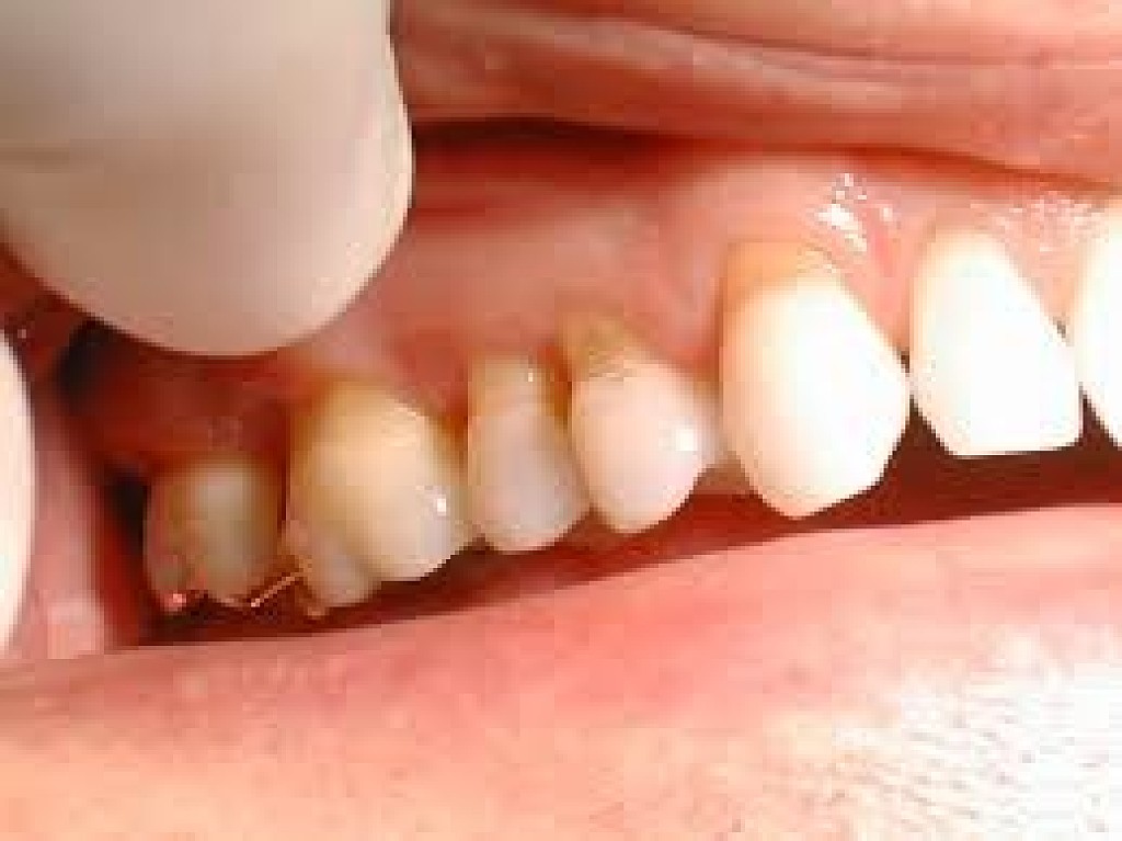
The appearance is commonly described as V-shaped when caused by excessive pressure during tooth brushing. The teeth most commonly affected are premolars and canines. Abrasion usually shows as worn, shiny, often yellow/brown areas at the cervical margin.

Abrasion is the wearing away of tooth surface caused by friction or a mechanical process. Abrasion happens when teeth are brushed too vigorously in sweeping horizontal strokes. The use of a hard toothbrush can also cause the problem.

It is often evident on the outer surfaces of the back teeth. A wedge or V-shaped indentation of the tooth will be seen at the gum margin. Toothbrush abrasion can be repaired by bonding a tooth-colored filling over the abraded area of the tooth.

Dental Abrasion Causes

Sources of tooth erosion from dental abrasion include: Vigorous horizontal tooth brushing, Nail biting, pen biting, and pipe smoking, Denture clasps, Abrasive dentifrices, Hard toothbrushes.

What is dental abfraction?

Abfraction is the loss of tooth structure from flexural forces. This has not been supported by dental research, but it is hypothesized that enamel, especially at the cementoenamel junction (CEJ), undergo this pattern of destruction by separating the enamel rods.

As teeth flex under pressure, the arrangement of teeth touching each other, known as occlusion, causes tension on one side of the tooth and compression on the other side of the tooth. This is believed to cause V-shaped depressions on the side under tension and C-shaped depressions on the side under compression.

This theory does not fully satisfy many researchers because there are many teeth whose occlusion causes tension and compression on either side. Consequently, it would be expected that many more teeth would show signs of abfraction, but this is not the case. Research is ongoing to identify the role abfraction has on this pattern of tooth destruction.

What are the causes of abfraction?

Occlusal forces are blamed as they might cause the tooth to flex, causing small enamel flecks to break off, inducing the abrasive lesions. Usually, there are wedge-shaped lesions with sharp angles found at the cervical margins.

(10/09/2020)
by USC

More Information: https://www.mybestdentists.com/dental-schools/UniversityofSouthernCalifornia

Views: 3,201
Share


My BEST Dentists Journal Headlines