Dentists Journal

Top Ten Stories of the Week
4/1/2023

All Dentists Journal · Previous Week · This Week · All Time List · Headlines

Share

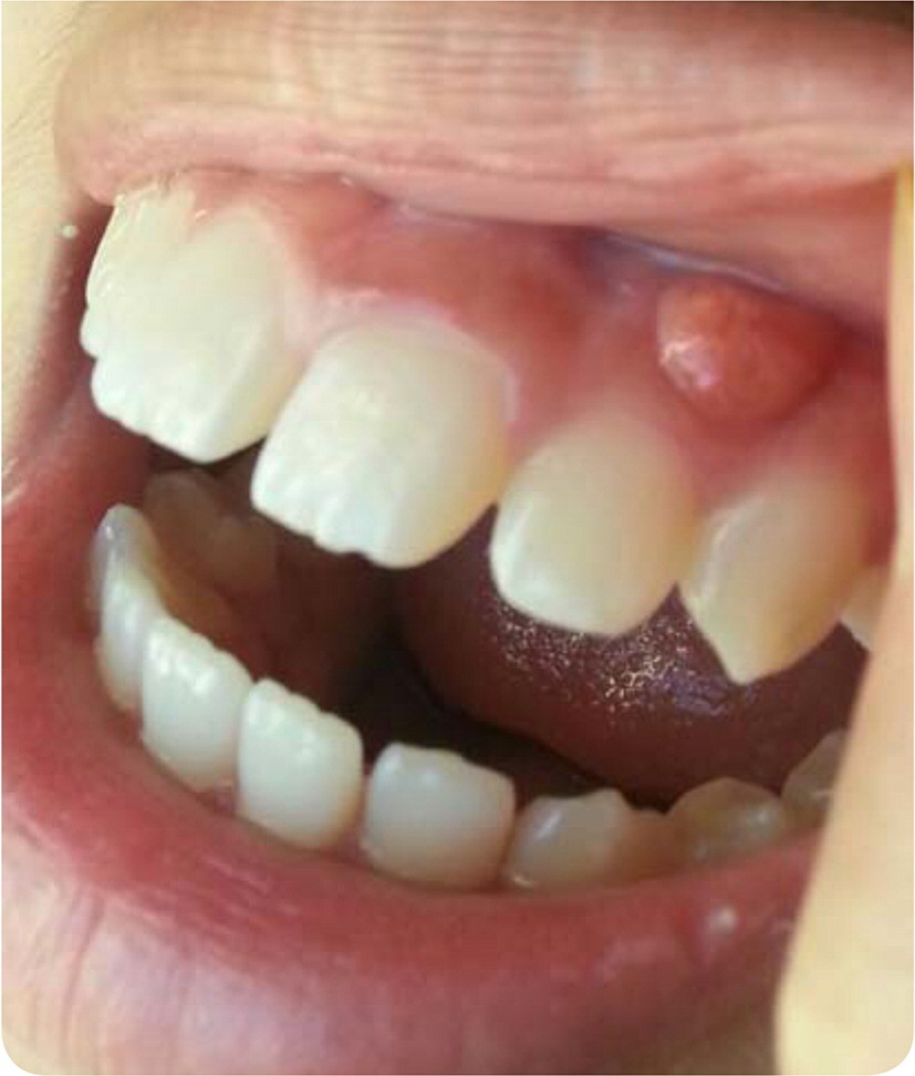
Four Possible Reasons Why You Have a Bump on Your Gums

You’re flossing before bed one night when you suddenly notice something you’ve never seen before – a tiny bump on your gums. Icy fear rushes through you. Should you be worried? While a bump on most areas of the body is cause for immediate concern, that’s not necessarily the case for the gums. Keep reading to learn four of the most common reasons for a bump on the gums and when you should call your dentist.

1. Fibroma

The most common cause of a gum lump is an oral fibroma. These noncancerous bumps typically develop when the gum tissue has been irritated by a denture or another oral appliance. In most cases, oral fibromas are painless and don’t require treatment. However, your dentist or doctor can surgically remove it if it becomes too large.

2. Canker Sore

Canker sores are tiny ulcers that form at the base of the gums. Although they’re harmless, they can also hurt. Luckily, canker sores usually heal on their own within a week or two. In the interim, applying an over-the-counter analgesic can relieve the pain.

3. Abscess

If you have a soft, warm bump on your gums that causes intense pain, you might have a periodontal abscess. Bacterial infections cause pus to collect in a particular area, creating a bump. Most dental abscesses are incredibly painful. If you experience pain that worsens when you lie down or seems to radiate throughout your mouth, you likely have a severe infection in your gums or tooth that needs attention from a dental professional.

4. Oral Cancer

A small growth or lump on your gums might indicate a cancerous tumor. Common signs of oral cancer include mouth pain, bleeding, difficulty chewing or swallowing, or red or white patches in your mouth. Dentists are trained to spot even the earliest signs of oral cancer and can refer you to the appropriate specialist if they detect the condition.

When to Call Your Dentist About a Bump on Your Gums

Generally, a bump on the gums isn’t anything to worry about. However, you should call your dentist or doctor right away if your lump is accompanied by any of the following:

Persistent or throbbing pain

Fever

Foul taste in the mouth

A lump that doesn’t go away after several weeks

Bleeding near the bump

 

When in doubt, it never hurts to reach out to your dentist. Even if your gum bump isn’t serious, you can never be too careful when it comes to the health of your smile!

(03/27/2023)
by North Jacksonville Complete Dentistry

More Information: https://www.northjacksonvillecompletedentistry.com/blog/possible-reasons-bump-on-gums/


Views: 479
Share
Share

Are Cavities Capable of Self-Healing?

Cavities are among the most common dental issues that patients face. They can range in size from small patches on the teeth to huge rotting regions. Major issues, of course, require immediate action. Patients with smaller cavities, on the other hand, are frequently concerned about whether a filling is genuinely necessary. Is it possible to treat a minor cavity at home? You may be taken aback by the response. To learn more, continue reading.

The Causes of Tooth Decay and How to Prevent It

To figure out if cavities can heal on their own, you must first understand how tooth decay works. There are many levels of degradation. Demineralization is the initial stage of the process. This occurs when bacteria in your mouth destroy the enamel on your teeth, weakening the tooth’s overall surface. After that, the enamel will start to disintegrate, resulting in the formation of a hollow. Enamel decay can then progress to dentin deterioration and pulp injury on the inside of the tooth. Finally, an abscess can develop if the germ is not treated.

Are Cavities Capable of Self-Healing?

If your tooth decay is still in the demineralization stage, excellent dental hygiene can help you reverse it. Occasionally, very small cavities can heal on their own. However, this is only a possibility in the early stages of degradation. Tooth decay can be slowed or stopped by good brushing and flossing, as well as fluoride treatments.

Keeping an Eye on the Decay

If the decay has progressed to the tooth’s dentin, you’ll need a dental filling to heal the damage. Fortunately, at this stage, degeneration may usually be treated with a simple dental filling. Patients will be unable to identify how severe their decay is, therefore having your teeth examined by a dentist is essential. They’ll examine the tooth and take x-rays to check if your cavities can be treated without the need for further treatment.

(03/24/2023)
by Houston Dentists

More Information: N


Views: 484
Share
Share

Safe and Effective Gum Health Restoration

Your gums are as integral to your oral health as soil is to an ecosystem. That’s because within them are the blueprints necessary to rebuild and maintain strong and functional teeth. Thus, it’s of the utmost importance to keep your gums healthy. Because the environment inside your mouth is so dynamic, the natural balance can be interrupted, which can lead to gum (periodontal) disease. Thankfully, when you visit Bristol Family Dental, our dentists can help you recover so that you can lead a normal and healthy life. To get the help you need, don’t hesitate to contact us today to request a visit.

What Gum Disease is and the Different Stages.

Gum disease is the infection and inflammation of the soft tissue. If unaddressed, the condition only gets worse over time. The following outlines the different stages:

Gingivitis – This is the first stage of the disease, where light bleeding may be noticed when performing oral hygiene. This is the most important time to visit us for treatment, as any damage caused by the advancing decay is usually still reversible.

Periodontitis – At this point, bacteria may have caused permanent damage to the ligaments and bone that secure your teeth. As a result, there may also be signs of gum recession.

Advanced Periodontitis – At its most advanced stage, gum disease can cause the tooth roots to dissolve. Thus, your teeth can begin to shift or even dislodge.

How Gum Disease Can Affect Your Overall Health.

Your oral health can be considered as a window to your total wellness. Thus, if gum disease goes untreated, the blood that permeates them can become inflamed. As it travels to other parts of the body, the inflammation transported from your gums can lead to such problems as hypertension, heart disease, stroke, several forms of cancer and complications with diabetes. Thus, receiving the treatment you need for gum disease could ultimately be a life-saving decision.

Signs and Symptoms.

One of the best ways to catch gum disease in Bristol early is to visit our office semi-annually for checkups and cleanings. Therefore, you can avoid the need for complex forms of care to restore your oral health. It also helps to know what warning signs to be on the lookout for.

If you notice any of the following, then you shouldn’t hesitate to contact us:

Red, puffy or swollen gums

Receding gums or loose teeth

Tooth pain when you bite into food

Foul taste in the mouth that lingers

Bad breath that can’t seem to be resolved

Consistent gum bleeding when you perform oral hygiene

What Causes Gum Disease?

The primary nemeses to your gum health are bacteria. Ironically, they are needed to maintain your oral health, but when they become unbalanced and are allowed to grow uncontrollably, hundreds of different types can form plaque. The sticky substance can cling to the teeth and at the gum line to eventually work its way beneath to cause germ pockets to form, and inflammation and infection of the gums. The sooner the issue is treated, the less invasive and complex the procedure has to be. In fact, in the earlier stages, some patients only need to make some slight changes in their oral hygiene practices to see improvements.

How Gum Disease Can be Treated

If simply making lifestyle changes won’t suffice for reversing gum disease, then our dentists may recommend a two-step procedure called a scaling and root planing. The first part involves your periodontist in Bristol using special tools to remove plaque and tartar that have collected beneath the gum line. Then, to prevent any new accumulation, the root planing smooths the base of the tooth and helps the gums re-attach to it. With your gum health restored, you can move forward with your life and make the necessary changes to avoid any future issues.

(03/25/2023)
by Bristol Family Dental

More Information: https://www.bristolfamilydentalct.com/gum-disease-treatment.html


Views: 449
Share
Share

Seven Essential Tips to Keep Your Teeth Healthy

There is more to keeping your teeth healthy than simply brushing them every day. You've probably been told the importance of cleaning your teeth since you were old enough to hold a toothbrush. But what about tongue care, diet, and fluoride use? Brush up on your oral care with 7 essential habits for excellent dental health.

1. Taking Care of Your Toothbrush

For healthy teeth, rinse your toothbrush well after brushing and store it out in the open in an upright position. Microorganisms that can grow on your toothbrush thrive in a moist environment. Plenty of airflow around the bristles will help keep your brush dry. Replace toothbrushes every three to four months and keep an eye out for frayed, worn bristles. You may need to change your children's toothbrushes sooner.

2. Tongue Brushing

Brush your tongue to help fight the bacteria in your mouth. Gentle tongue brushing is essential for keeping your teeth healthy and also helps to stop bad breath. Using a toothbrush with a cheek and tongue cleaner can easily remove bacteria from your mouth every time you brush.

3. Talk to Your Dentist

Your dentist and dental hygienist are there to help with oral care. Visit your dentist for regular check-ups and voice any questions or concerns about keeping your teeth healthy. They can help you create a daily brushing and flossing plan that is suited to your specific needs.

4. Choose Your Beverages Wisely

What you drink can affect the health of your teeth. Beverages such as soft drinks and sugary juices have been targeted as culprits of tooth decay. Drinking less soda and more water, milk, and fresh juices can help protect your teeth.

5. Use Fluoride

Fluoride isn't just for kids. This natural mineral hardens tooth enamel and helps prevent cavities. You can get fluoride from your toothpaste, some mouth rinses, and in-office or at-home treatments your dental professional may provide. Talk to your dentist about what type of fluoride treatments are right for you.

6. Avoid Tobacco

Avoiding all forms of tobacco is crucial to keeping healthy teeth and gums. Whether chewing or smoking, tobacco use contributes to an overwhelming number of cases of oral tissue damage. The ingredients found in tobacco products not only stain your teeth but can also weaken teeth and increase the risk for oral cancer.

7. Consider Your Diet

Sugary treats and snacks can take a toll on your oral health, causing tooth decay, dental caries, and other issues. Keep healthy fruits and veggies ready. Stock up on foods and beverages that contain nutrients like calcium, vitamins A and C, and antioxidants such as the following:

Raw vegetables (carrots, peppers, celery, etc.)

Fruits (apples, pears, berries, etc.)

Water or milk

Cheeses

Yogurt

Integrate these tips into your routine to ensure that you're taking care of your whole mouth. Keep talking to your dentist, use fluoride products, and prevent further risk to your health by avoiding tobacco and sugary treats. When top of mind, these tips can improve your smile and overall health.

(03/26/2023)
by Colgate

More Information: https://www.colgate.com/en-us/oral-health/brushing-and-flossing/keeping-your-teeth-healthy-with-five-simple-essentials


Views: 533
Share
Share

Do I Need Toothbrush Sanitizer?

Whether you're brushing at home or on the road, you want to ensure your toothbrush is germ-free – as you do with all things you put into your mouth. But should you buy a toothbrush sanitizer to disinfect an essential instrument of your oral care? The answer: It depends.

Learn why having a toothbrush sanitizer is dependent on many factors, including the care you take with your toothbrush to keep harmful oral bacteria at bay. We'll also let you know how toothbrush sanitizers work – and provide tips on keeping your toothbrush germ-free without a sanitizer at home and on the go.

The Risks of Harmful Oral Bacteria

First of all, not all oral bacteria are harmful. Like good gut bacteria, some oral bacteria actually benefit you. However, harmful oral bacteria can cause several dental health hazards, including infections leading to:

Gingivitis

Periodontal disease

Oral thrush

Oral herpes

Canker sores

Herpangina

The trick is to keep beneficial oral bacteria happy while preventing harmful bacteria from wreaking havoc in your oral cavity. You have the power to do this in a couple of ways.

How a Toothbrush Sanitizer Works

Let's talk first about the difference between sanitizing (or disinfecting) a toothbrush versus sterilizing it. A sanitizer can't actually sterilize a toothbrush, so you can't be sure it's completely bacteria-free.

Even if a sanitizer claims to kill 99.99% of the germs on your toothbrush, millions of germs could remain. Did you know you have 6 billion bacteria – good and bad – in your mouth? Amazing!

Nevertheless, a toothbrush sanitizer can:

Give you peace of mind, especially if you're living with other people who are or aren't family.

Raise your awareness of the care and cleaning of your home dental equipment.

Toothbrush sanitizers typically function in one of three ways so you can eliminate harmful bacteria:

Steam and Dry Heat: Steam and dry heat take turns sanitizing the toothbrush, leaving it dry enough to avoid creating a breeding ground for bacteria.

Ultraviolet Light: The sanitizing power of UV light zaps the bacteria.

UV and Heat: Combining two bacteria-killers, this sanitizing method doesn't increase its effectiveness – it can still only kill up to 99.99% of bacteria. But it might double your peace of mind.

You can find battery-operated or rechargeable toothbrush sanitizers of all shapes, sizes, and prices with a simple search. There are wall-mounted, free-standing, and portable varieties. Some hold multiple toothbrushes, and some only one at a time.

Whatever type of toothbrush sanitizer you choose to use, the American Dental Association (ADA) advises only buying ones approved by the U.S. Food and Drug Administration (FDA).

Keeping Your Toothbrush Clean at Home and On the Go

You might be a DIYer. If so, you shouldn't need a toothbrush sanitizer as long as you take these easy steps:

Wash your hands before brushing (and flossing) to avoid transferring the bacteria on your hands to your toothbrush.

Rinse the toothbrush thoroughly with water after use. Ensure you remove all toothpaste residue and loose debris where bacteria can shelter.

Store your toothbrush in an upright position so it can dry quickly – located away from the toilet bowl and sink. This avoids bacteria-laden water or gasses from either location splashing or infiltrating your toothbrush.

Don't share toothbrushes with anyone, regardless of how well you know (or love) them. Everyone has different oral bacteria, and you don't want to pass on or share each other's bacteria.

Replace your toothbrush every three to four months to avoid using one with frayed and worn bristles that can trap bacteria and damage your gums.

Use antimicrobial toothpaste to keep the germs down in your mouth.

Once a week, you can also soak your toothbrush in antimicrobial mouthwash for a few minutes or in a mixture of water, vinegar, and baking soda for 30 minutes.

(03/25/2023)
by Colgate

More Information: https://www.colgate.com/en-us/oral-health/brushing-and-flossing/do-i-need-a-toothbrush-sanitizer


Views: 492
Share
Share

Dental Health: Healthier Mouths Equal Healthier Lives

Did you know there are over 700 strains of bacteria in your mouth that we keep in control through brushing, flossing, drinking water, and generating saliva? If these bacteria run rampant, they can create infections in your mouth, leading to potential health complications. 

Researchers have found that oral hygiene has a direct impact on the rest of the body, and may potentially signal issues elsewhere in the body. These connections between your dental health and overall systemic physiological function have been heavily researched and proven linked. The major problem is that most patients don’t understand — or underestimate — this connection. 

“Most people often don’t take notice when they read that there are so many strains of bacteria in the mouth, as they don’t think that it’s intrinsically connected to their overall health,’” says Dr Sherina Daryanani, principal dental surgeon at TEETH @ Tiong Bahru. “The reality is that bacteria and conditions in the mouth may have systemic consequences elsewhere in the body or may be indicative of larger health issues.”

Educating yourself about the association between your dental and bodily health is important to keeping you well.

How Does Dental Health Affect Overall Health: The Connection

Every part of your body has some form of bacteria, though most of it is either harmless or important to maintaining bodily functions. Your mouth is the same, except because it connects to your digestive and respiratory systems, bad bacteria in your mouth can have undesired consequences on the rest of your body. 

Your body’s natural defenses, in conjunction with regular proper dental and oral health care, like brushing and flossing, should be enough to keep the bacteria in line. If dental care is neglected, these bacteria can run rampant, leading to oral infections like gum disease or tooth decay.

Additionally, an important part of your natural defenses is saliva flow. Some medications, like antidepressants, painkillers, antihistamines, decongestants, and diuretics, can affect this. Your saliva is critical because it helps neutralise the acids created by bacteria in your mouth and prevent bad bacteria from multiplying and leading to infection.

What’s happening in the mouth can contribute to conditions elsewhere in the body: 

Gum Infections and brain disorders: Research suggests that dental health deteriorates as Alzheimer’s disease advances in individual patients. Some cases have shown that infections in the gum connect to inflammations in the brain, potentially causing Alzheimer’s disease.

Dental health and heart disease: One common condition that is caused by an oral infection is endocardium, when the inner lining of your heart chambers becomes infected. This is because the infection spreads from the mouth into the bloodstream, eventually reaching your heart. Research has found that patients with gum disease have an increased chance of stroke or heart disease, likely for this exact reason.

Periodontal disease and diabetes: Diabetes substantially impairs your body’s ability to resist infection. As such, gum disease is often found in patients with diabetes and tends to have worse effects. This leads to a vicious cycle, where your mouth continually gets infected, leading to complications elsewhere in the body, while diabetes inhibits your body’s ability to react. Regular periodontal dental health care has been shown to help patients with diabetes and take some strain off their bodies.  and reduce the risk to important organs like the eyes, heart, feet and kidneys.

There are other conditions that can affect your dental health, like rheumatoid arthritis, certain cancers, eating disorders, and Sjogren’s syndrome, an immune system disorder that dries out your mouth. 

It’s important you let your dentist know what medications you are currently taking and about any other changes in your overall health. This way, they can best ascertain what type of treatment you need and what risk factors are at play.

Periodontal Disease in Men

Statistically, men seem to be less disciplined about dental and oral health than women. The American Academy of Periodontology found that men are less likely to practice regular oral hygiene and seek preventative dental health care. 

The effects of periodontal disease are different for men than women. Men under 30 or over 70 have a higher chance of developing impotence if they have periodontal disease. Research suggests that the inflammation of the gums and oral infection can damage blood vessels, potentially causing impotence.

Research has also found that prostate health may be connected to periodontal health and vice versa. A specific enzyme produced by the prostate called Prostate-specific antigen (PSA) exists in the body in small amounts. If the prostate is inflamed, infected, or afflicted by cancer, PSA levels in the body increase. Studies have found that men with periodontal disease and inflamed prostates have higher levels of PSA than men with only one of either condition.  This could possibly explain why periodontal disease is higher in men (56.4%) than in women (38.4%). 

Men have a higher risk of developing heart disease than women. Research shows that periodontal disease and cardiovascular disease are connected. This means that for men, maintaining periodontal disease is important to stave off heart conditions. Both conditions are chronic inflammatory conditions, and researchers believe that inflammation connects periodontal disease and heart disease. 

Men are also more at risk for oral or throat cancer than women. Men with a history of periodontal disease are 13 percent more likely to develop oral cancer than men with healthy gums. [1] It’s important for men to understand the potential ramifications of poor dental health and start building better oral hygiene habits.

Benefits of Preventative Dental Check-Ups

To most people’s surprise, dental health can be an important factor in overall health, wellbeing, and quality of life. There are many different diseases or conditions that can affect the mouth, like gum disease, tooth loss, oral cancer, and dental caries. 

Oral health problems can potentially lead to infections, causing complications elsewhere in the body, like infections, heart disease, and increased risk of diabetes or cancer. Maintaining good oral hygiene is a simple step to reduce your chances of these diseases by avoiding tooth decay or gum disease. And if prevention doesn’t work, it is critical that you get your teeth and gums treated to avoid difficult infections.

One easy way to do so is to visit your dentist regularly. Your dentist can help identify and treat problems in their early stages, before they develop into something serious.

(03/27/2023)
by Tion Bahru

More Information: N


Views: 424
Share
Share

Eight Creative Ways to Improve Your Family’s Oral Care Habits

How to Make Oral Care Fun for You and Your Kids

Every parent knows that a surefire trick to getting through mundane tasks with kids is to find a way to make it fun! This also applies to oral care and visits to the dentist.

Early dental care habits, like twice-daily brushing, visiting a dentist regularly, and eating smile-friendly foods, carry on throughout a child’s life. The sooner you start instilling healthy smile habits, the higher the chance your kids will continue prioritizing their oral health.

Here are 8 creative and fun ways to get your family excited about their oral care.

1. Replace old toothbrushes and toothpaste with something new.

Toothbrushes should be replaced every three to four months and after anyone has been ill. During your next shopping trip, let your kids pick out a fun new toothbrush and a new flavor of ADA-approved toothpaste.

A useful trick to get youngsters interested in brushing is to rotate between a few different toothbrushes or toothpastes. Providing multiple options often encourages even the most stubborn kid to get involved.

2. Create a small container garden of tasty smile-friendly foods.

If you have a backyard or a small balcony, your family can grow a few smile-friendly foods right at home. Using the container method of gardening, you can grow tomatoes, lettuces, beans, sweet peppers, and beets. You can even grow dwarf lettuces or fresh herbs indoors using flower pots or a small hydroponics kit.

Growing vegetables at home is a rewarding family bonding process, and it gives you a chance to teach your kids about the importance of eating healthy, fresh food.

3. Limit starchy or sweet foods to meal times rather than snacks.

Contrary to popular belief, including a sweet food item in the main meal can be less damaging to oral health than a quick sugary mid-day snack.

When a starchy or sweet food item is eaten as part of a main meal, less of the sugar or starch is left on the surface of the teeth. Saving the sweet treat as dessert right after dinner also reduces the time any sugar is left on tooth enamel since you’ll soon be brushing before bed.

4. Find a family-friendly dentist and start visiting by age one.

The right dentist can totally change the way you and your kids view appointments. Look for a family dentist who genuinely enjoys working with kids and schedule a Happy Visit so your kids can be introduced before a major appointment.

The Tooth Doc is a dental home for families with kids of all ages, right here in Omaha. We recommend parents maintain regular six-month checkups for the kids, starting by their first birthday at the latest. If your child is younger but already has a tooth, now is the perfect time for their first introduction to dental appointments.

5. Help youngsters with brushing and flossing until age seven or eight.

Kids all develop at different rates, but the American Academy of Pediatrics recommends parents continue to help their kids brush their teeth up until their seventh or eighth birthday. Even if your child is showing independence earlier than this, it’s recommended to supervise and do a final once-over of their teeth after they’re done brushing on their own.

If your child is fussy about wanting to do it themselves, allowing them to brush your teeth first can help.

6. Time two-minute brushings with a song or guided video.

Brushing for a full two minutes is really important for healthy teeth and cavity prevention. However, even adults can underestimate their brushing time unless they use a timer. Sand timers are fun, but if they no longer capture your child’s interest, try music instead!

Time their brushing sessions by playing two minutes of their favorite song. Parents can also find videos on YouTube (such as this one) specifically designed to guide kids through a full brushing session, including when to change their brush position and practice proper brushing techniques.

7. Normalize dental care or dentist visits with books or cartoons.

Dental care is important, but kids can often balk at an idea when they feel too much pressure. By normalizing the importance of dental care, you can introduce your kids to the idea of prioritizing their oral health without forcing it.

A great way of doing this is by providing your kids with age-appropriate books on dental care or visiting the dentist. You can read these together and encourage a conversation about teeth. You can also look for episodes of your kids’ favorite cartoon character visiting the dentist or learning about brushing their teeth. Sesame Street is one of our favorites.

8. Take turns playing dentist, especially before an upcoming visit.

Another way to add an element of fun to dental care and visiting the dentist is through roleplay. Take turns playing dentist at home, especially if your young child has an upcoming appointment. You can even find kid-friendly toy dental tools, dentist outfits, and even entire playsets designed for kids!

When playing with your kids, try to use phrases and do actions their dentist will, such as “open wide”, gently pressing around their teeth and gums with a gloved finger, or sitting still for an X-ray.

(03/30/2023)
by The Tooth Doc

More Information: https://2thdoc.org/8-creative-ways-to-improve-your-familys-oral-care-habits/


Views: 476
Share
Share

What Are Microbeads In Toothpaste?

Scientists are continually looking for new ways to improve oral care products, and using microbeads in toothpaste used to be a popular method of adding abrasive qualities to the product. Now that microbeads have been banned, you can rest assured that you can find a toothpaste that works effectively for you and doesn't harm the planet. Learn why the eradication of microbeads spells good news for your health and the environment's health, too.

What Are Microbeads?

The Australian Department of Environment and Energy defines microbeads as "small, solid, manufactured plastic particles that are less than 5 millimeters and don't degrade or dissolve in water." They are an ingredient in a variety of personal care products and have a few different purposes. Microbeads are used as an exfoliant or abrasive agent, they allow for a timed release of active ingredients, they add bulk to personal care product formulas and they may prolong a product's shelf life. These capabilities, plus the inexpensive manufacturing costs, may account for this ingredient's popularity.

The Environmental Issue

Because microbeads aren't biodegradable, they pose a significant environmental concern. Research from the New York State Office of the Attorney General shows that microbeads can escape undetected into rivers and oceans after being washed down the drain, since their small size means they often aren't captured by regular sewage treatment systems. The report found that approximately 19 tons of microbeads are washed down New York drains each year!

The beads can be mistaken as food by fish, birds and other wildlife. When animals fill their stomachs with microbeads, they may spread the plastic up the food chain. This can lead to contamination of the fish we eat, since microplastics soak up pollutants in waterways, according to the Australian Department of Environment and Energy. Once in the environment, microbeads are almost impossible to remove.

Alternatives

The good news is that the U.S. Food and Drug Administration has addressed the issue. Thanks to the Microbead-Free Waters Act of 2015, the manufacturing, delivery and sale of any rinse-off products containing microbeads smaller than 5 millimeters have been outlawed. This ban extends to cosmetics, toothpastes and over-the-counter drugs. Many manufacturers have replaced microbeads with sustainable, biodegradable options, such as crushed nut shells and apricot kernels, according to the New Zealand Ministry for the Environment.

Toothpaste Abrasivity

If you previously turned to a toothpaste with microbeads because of their potential abrasive properties, there are plenty of other toothpastes available. Abrasive toothpastes are often used for their ability to scrub surface stains from teeth. But choosing a toothpaste that's too abrasive, or using a hard-bristled toothbrush, can wear down the outermost layer of your teeth called the enamel.

That's why it's important to search for an American Dental Association Seal of Approval when shopping for toothpastes. The ADA Seal of Approval is only awarded to toothpastes with a relative dentin abrasivity (RDA) score of 250 or less, ensuring that the toothpaste won't harm your enamel.

With microbeads banned from toothpastes for good, you can browse the personal care aisle with confidence that you'll find a product that cleans your teeth effectively without negatively affecting the environment.

(03/29/2023)
by Colgate

More Information: https://www.colgate.com/en-us/oral-health/brushing-and-flossing/what-are-microbeads-in-toothpaste


Views: 442
Share
Share

Flossing Made Simple: 3 Secrets to Easier Flossing

Flossing is an essential part of oral care, but it can be difficult to do correctly. If you’re struggling with flossing, don’t worry – you’re not alone! In this blog post, we will share three secrets to make it simpler and easier. Follow these tips and you’ll be doing it like a pro in no time!

The Importance of Flossing

Before we get into the secrets to easier flossing, let’s quickly review why flossing is so important. Flossing helps remove plaque and bacteria from your teeth and gums, which can prevent gum disease, tooth decay, and bad breath. Additionally, flossing has been linked to overall health benefits like reducing inflammation and improving heart health. Other benefits include:

Helps remove food particles and plaque between teeth and along the gum line where your toothbrush can’t quite reach

Better removal of bad breath-causing bacteria than brushing alone

Removal of plaque from below the gumline, which can erode tooth enamel and develop into tartar (can cause teeth discoloration)

Reduce the risk of cavities

Reduces the likelihood of soreness, puffiness, and unsightly redness of the gums

Helps prevent gingivitis, which can progress to periodontitis

Flossing Made Simple: 3 Secrets to Easier Flossing

Flossing is an important part of oral care, but it can be difficult to do correctly. If you’re struggling with flossing, don’t worry – you’re not alone! Now that we’ve reviewed the importance of flossing, let’s get into the secrets to make it simpler and easier.

Secret #1: Use The Right Type of Floss

There are many different types of floss available on the market, so how do you know which one to use? The best type of floss to use is the one that you will actually use! If you find traditional string floss difficult to use, try a waxed or coated floss. These types of floss are easier to slide between teeth and are less likely to shred. If you have braces or other dental appliances, there are flosses specifically designed for these situations. Floss picks are another option that can be helpful, especially if you have difficulty using your fingers to floss.

Secret #2: Use the Correct Technique

Once you’ve selected the right type of floss, it’s important to use the correct technique. Start by wrapping the floss around your middle fingers, leaving about 18 inches of floss to work with. Hold the floss tightly between your thumbs and index fingers and slide it up and down against each tooth. Be sure to use a gentle sawing motion and go slowly to avoid damaging your gums. When you reach the gum line, curve the floss into a C shape and slide it up and down along the side of the tooth. Repeat this process for all of your teeth.

Secret #3: Make Flossing a Part of Your Routine

The best way to make flossing a habit is to integrate it into your daily routine. Try flossing after you brush your teeth at night or first thing in the morning. If you have trouble remembering to floss, set a reminder on your phone or keep your floss in a visible spot. The more you floss, the easier it will become – and your teeth will thank you!

How Often Should You Floss?

It is recommended to floss at least once per day, ideally after brushing your teeth. If you find that you are forgetful or have trouble making flossing a habit, try to floss at least 3-4 times per week.

Signs You Should Floss More

Red or swollen gums that bleed easily can be a clear sign that flossing and better dental habits are needed. If your gums bleed when you floss, it’s a sign that you should floss more often. Bleeding gums are a sign of inflammation and can be caused by plaque and bacteria buildup. Other signs that you should floss more include:

Bad breath that persists after brushing and tongue scraping

Receding gums

Sensitivity to hot and cold temperatures

Swollen or tender gums

Teeth that appear longer than usual (this can be a sign of gum recession)

If you’re experiencing any of these signs, make sure to see your dentist. While these signs often mean you should floss more, they could also be indicative of a more serious problem.

(03/24/2023)
by Mountain Aire Dentistry

More Information: https://www.broomfielddentists.com/flossing-made-simple-3-secrets-to-easier-flossing/


Views: 596
Share
Share

Should I Brush My Teeth After Every Meal?

Everyone wants healthy teeth, and brushing is a huge part of making that happen. When it comes to having good brushing habits, it’s not just about how, it’s also about when. Have you wondered when the right time to brush your teeth is? Some people think that brushing their teeth right after eating is the right thing to do. While there is some merit to this school of thought, we’re here to help you consider all the variables and make an informed decision.

Can Food Left on and between Your Teeth Lead to Tooth Decay?

When you eat, plaque (a sticky, white biofilm) forms on your teeth. Plaque contains bacteria. According to the Indian Dental Association, cavity-causing organisms feed on sugar and turn it into acid, which attacks tooth enamel and causes tooth decay. If you don’t brush and get rid of this plaque build-up regularly, the acid that gets produced will break down your enamel, resulting in cavities.

Plaque that isn’t removed can harden into tartar. When tartar builds up on your gums, it can cause inflammation, and if untreated, gum disease.

So Does That Mean You Should Brush Right After You Eat?

Not necessarily! Brushing your teeth after eating can sometimes affect your tooth enamel. In fact, the Mayo Clinic warns that if you’ve consumed foods containing citric acid, like oranges, grapefruits, and lemons, brushing too soon can be bad for your teeth. Why? Because these acidic foods weaken tooth enamel and brushing too quickly can remove the enamel.

According to Hindustan Times, brushing your teeth within half an hour of eating a meal or drinking a cup of coffee could seriously damage them, dentists have warned. This gives your saliva a chance to naturally wash away food particles, so your mouth returns to its proper pH level. It's best to stick to drinking water or chew sugarless gum while waiting for this to happen.

Is It Fine to Wait Until Before Bed to Brush?

Yes, it is! What’s important is that you ensure you brush sometime after your last meal and before you go to bed. If you go to sleep without brushing, you’re allowing plaque to build up, attack the tooth enamel, irritate the gums and harden on and between your teeth and at the gumline. So whether you decide to brush an hour after you eat dinner or brush right before you sleep, it's important to brush effectively at the gumline and on all surfaces of the teeth.

Does this mean you shouldn’t brush your teeth after your meals? Now that you have all the information, it’s up to you. Only one is certain: if you give your teeth and gums two whole minutes of brushing and flossing twice a day, you’ll be able to seize each day, armed with strong teeth and a fresh and healthy mouth!

(03/28/2023)
by Colgate

More Information: https://www.colgate.com/en-in/oral-health/brushing-and-flossing/is-brushing-teeth-after-eating-good-for-you


Views: 621
Share