Dentists Journal

Top Ten Stories of the Week
12/2/2023

All Dentists Journal · Previous Week · This Week · All Time List · Headlines

Share

Is Having Sensitive Teeth Bad?

Do your teeth hurt when you sip cold water or hot coffee? What about when there’s any pressure applied to your teeth? Do they feel sensitive?

Tooth sensitivity is pretty common, especially for people aged 20 to 40 (though it can affect people of all ages). If you have symptoms of pain ranging from a mild twinge to aching when your teeth are exposed to different temperatures or pressures, you can do something about it. And it’s time to answer that lingering question you may have — is having sensitive teeth a bad thing?

What Is Tooth Sensitivity?

How do you identify tooth sensitivity? “Sensitivity in teeth occurs when the nerve of the tooth is exposed to stimuli,” said Dr. Nehi Ogbevoen, DDS and board-certified orthodontist at Beverly Hills Orthodontics in Los Angeles, CA. As mentioned above, tooth sensitivity is pain ranging from mild to severe. “Sensitive teeth are one of the most common concerns among patients visiting the dentist,” Dr Ogbevoen said.

How Does It Happen?

There can be several different causes of sensitive teeth. “This can be due to the wearing down or thinning of the tooth enamel [from dietary acid or brushing too hard, for example] or gum recession exposing underlying layers of teeth,” Dr. Ogbevoen explained. Bleaching teeth, gum disease, and a cracked tooth can all create sensitivity, too.

“When the protective layers of the teeth have been compromised, stimuli such as heat, cold, and even sugar can trigger a sensation of pain to the nerve of the tooth,” Dr. Ogbevoen explained.

Is Having Sensitive Teeth Bad?

So you’re probably wondering, “Is this sensitivity a bad thing?” Not necessarily! “Sensitivity does not necessarily mean you have unhealthy teeth,” Dr. Ogbevoen said. “However, if the sensitivity is affecting daily activities such as eating, drinking, or talking, it is best to visit your dental health professional.”A dentist can recommend treatments or procedures that can be done to help sensitivity.

How Can You Treat Sensitive Teeth?

Step one: visit your dentist. It’s best to seek advice and an examination from a dental professional, Dr. Ogbevoen explained. “A thorough examination will identify any cracks, holes, or cavities in your teeth and gum recession.” He went on to say that your dentist will most likely recommend a sensitivity toothpaste, like Sensodyne, to provide sensitivity relief.

(11/24/2023)
by Sensodyne

More Information: https://www.sensodyne.com/en-us/oral-health-tips/is-having-sensitive-teeth-bad/


Views: 642
Share
Share

Health Issues That Could Arise From Poor Oral Health

Did you ever skip brushing your teeth because you were just too tired to stand there and mindlessly scrub at your gums for two minutes? While skipping out on one or two cleanings is not ideal, it is not something that can cause serious damage, but poor oral health can lead to many health issues and can increase the risk for much deadlier diseases. Having excellent oral health is much more than just making sure your pearly whites are nice and bright. If you really think about it, your mouth is a prime entrance into your body and having poor oral health can produce destructive outcomes for you whole functioning body. Today, we will be discussing what type of health issues that could arise from maintaining poor oral health. 

There can be many different instances where your body is ending you signs that something could be wring, however, we have to make sure we heed these warning signs and schedule an appointment for a professional opinion. Such signs as bleeding gums, aching teeth and even a bad breath smell can all be indicators that something is not quite right. Better to be safe rather than sorry when it comes to your health and practice good hygiene for your teeth and gums!

Poor oral health can lead to many diseases and health issues, below are the most common problems that can arise from not maintaining proper health and self-care practices. 

Cardiovascular disease. This can happen as a result of poor oral health and can put you at a greater risk for heart disease. This is a perfect example of what could happen if bacteria enters your bloodstream. If your gums happen to be inflamed due to the same bacteria that causes periodontal disease, this bacteria can enter your bloodstream and create plaque to form and harden around your arteries. 

Diabetes may not be a direct cause of poor oral health, but diabetics are more susceptible to infection and gum disease. Periodontal disease can spike blood sugar levels thus creating difficulty controlling elevated levels of blood sugar. 

Cancer. Not only can you develop oral cancer by poor oral health and extracurricular activities such as smoking and chewing tobacco, but other cancers such as kidney, blood, and pancreatic cancers have been linked to poor oral health. 

Kidney disease can occur as a result of poor oral health due to the fact that their immune systems are weaker. 

Dementia can be linked to poor oral health as a result from the gum disease, gingivitis. This can happen when the bacteria spreads from the mouth to the nerve channels through the bloodstream. 

Respiratory infections can form as a result of more bacteria leaking through the bloodstream or even by breathing bacteria (accidently) into the lungs. Once there, bacteria can cause infections such as pneumonia, bronchitis, and even chronic obstructive pulmonary disease (COPD).

 While you may be tired after a long day, remember, brushing your teeth for a few minutes now could save you from a worse fate later.

(11/25/2023)
by Impeccable Smiles

More Information: N


Views: 403
Share
Share

Do Your Teeth Hurt in Cold Weather?

Do you ever find that your teeth feel sensitive when you head outside during the winter and breathe through your mouth? If so, don’t worry — you’re not just imagining it. The dental pain triggered by extreme temperatures can have several causes such as tooth decay, exposed dentin, upset tooth nerves due to grinding teeth, or a worn out dental filling.1 Learn more about tooth sensitivity and how cold weather can contribute to the pain.

What Is Tooth Sensitivity, and What Causes It?

Tooth sensitivity occurs when enamel, or the protective layer around your teeth begins to wear away.1 Enamel covers dentin, which contains tubules that connect to the nerves and cells inside the tooth.1 When dentin is exposed, the tubules allow hot or cold to reach the nerves in the tooth.1 Other causes of tooth sensitivity include gum disease, tooth whitening and brushing too hard.2

How Does Cold Weather Affect Sensitive Teeth?

If you’ve ever felt pain after biting into something cold, it’s likely caused by tooth sensitivity. Exposure to cold air can also cause you to feel the sensitivity in your teeth.2 Sudden changes in mouth temperature can also result in cracked teeth, which can cause pain and sensitivity.3 Small cracks (craze lines) in the enamel are common in adults and do not typically require treatment, but cracks that are more severe should be treated by a dental professional as soon as possible.3

Winter is also the time when respiratory illnesses like the common cold are most prevalent.4 Colds can produce too much mucus, which blocks the opening of the sinuses and lead to sinusitis.5 Toothache and face tenderness are common symptoms of acute sinusitis, along with other typical symptoms like fever, nasal stuffiness and coughing.5 If you suspect that sinusitis is causing your tooth pain, contact your health care provider.5

How to Prevent Tooth Sensitivity Caused by Cold Weather

Thankfully, there are ways to avoid tooth sensitivity when the weather drops. Brushing properly with a soft toothbrush and regular flossing to help keep your gums healthy are two super easy ways to keep your oral health in good shape.2 Try to remember to change your toothbrush out every two to three months so you’re not using a worn-out toothbrush.2

Although cold weather calls for warm drinks like hot cocoa, it’s important to keep the sugary drinks to a minimum when dealing with tooth sensitivity. Try to have sugary foods or acidic drinks less often or reserve them for mealtimes.2

Using Desensitizing Toothpaste to Help Tooth Sensitivity to Cold Weather

If you don’t have cavities or tooth damage but still have sensitivity, a simple trick to get relief is to brush twice daily with a toothpaste specialized for sensitive teeth. which can help relieve tooth sensitivity. Thanks to its unique formulation with stannous fluoride, Sensodyne works to create a protective shield over your teeth’s most sensitive areas, providing sensitivity protection with twice daily brushing. 

(11/24/2023)
by Sensodyne

More Information: https://www.sensodyne.com/en-us/oral-health-tips/why-teeth-hurt-cold-outside/


Views: 520
Share
Share

Lip Biting: Why It's Bad And How To Stop

There are a lot of different reasons people bite their lips. It's happened to everyone at least once, when they least expect it (ruining a perfectly good bite of food!). For some people, though, it seems to happen all the time, accidentally, while they're talking or eating. Others do it in their sleep. And for some lip biters, it's a habit, induced by stress or because their lips are dry and flaky. The first step to solving your lip biting problem is finding out which of these categories you fall into, and then find a plan of action for saving your lips!

The Accidental Lip Biter

If you're an accidental lip biter, but it seems to happen to you all the time, you probably need to chat with your dentist. It's possible that your bite is misaligned, called a malocclusion, or maybe you need treatment for TMD, temporomandibular joint disorder. The point is — your dentist needs to evaluate the situation so you can stop getting a fat lip every time you're out to sushi with friends.

The Habitual Lip Biter

You might find yourself biting your lip without realizing it, possibly as a nervous habit. You wouldn't be alone. Chronic lip biting is a common anxiety symptom and can even be an example of a body-focused repetitive behavior, or BFRB. Once you identify your biting as a nervous habit, you can start to consciously adjust your behavior, and even reach out to friends and family for support.

Why is lip biting bad?

Other than the pain that can come from biting your lip, there are other concerns for your oral health and overall wellbeing, too. Chronic lip biting can cause swelling, rawness and sores. Repeatedly biting the same area can even cause fibromas to develop. Additionally, you could end up with jaw pain and headaches.

Tips to kick the lip biting habit

It's important to protect your lips from damage and that can be especially tricky when you're the culprit. Whether you're chomping down by accident or biting out of anxiety, there are lots of solutions available to help you get on track to healthier lips, and a healthier you!

Exfoliate dry lips To keep yourself from chewing on rough, dry lips, be sure to exfoliate your lips 2-3 times a week before bed and then apply a thick, rich moisturizer to deeply hydrate overnight.

Moisturize constantly Keep your lips nourished to prevent the urge to chew or bite them. If necessary, find a lip balm that doesn't taste great so that if you do bite your lip without thinking, you're immediately deterred by the taste.

Practice mindfulness When you're dealing with something like lip biting, the problem is often that you're already doing it before you realize it. The practice of mindfulness allows you to be present in your body, in the moment. Take notice of what you're feeling, what's around you, what you smell and see. Take a deep breath. Can you identify any triggers that might have led you to start biting your lip? Give yourself a few more moments of breathing and awareness before resuming whatever you were doing. Hopefully, this will relax you and relieve some of the stress that may have triggered the lip biting. The more you practice mindfulness, the more this habit will begin to replace the lip biting!

Try progressive muscle relaxation (PMR) PMR is a technique often used to control anxiety and stress. It's based on the practice of tensing certain muscles at a time and then releasing them, allowing those muscle to experience a deep relaxation. By focusing the mind on a series of muscle groups, and shifting your anxious state into one of relaxation, it can help ease the physical anxiety symptoms you were experiencing, like lip biting.

Explore behavioral therapy as an option Sometimes the best route to changing subconscious behaviors is understanding the root causes and triggers and learning skills to help you moving forward. A licensed therapist will be able to guide you through this process.

(11/27/2023)
by Colgate

More Information: https://www.colgate.com/en-us/oral-health/mouth-and-teeth-anatomy/lip-biting-is-bad-and-how-to-stop


Views: 676
Share
Share

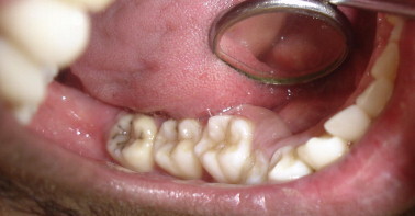
Exostosis Mouth: A Complicated Term For Benign Bony Growths

If you're experiencing abnormal bone growth in your mouth, you have what's called an exostosis. The term sounds a little frightening, but don't worry – in most cases, these growths aren't a cause for any concern at all. There are rare circumstances when exostoses have interfered with oral function or denture placement and have required surgery, but that is not the norm. Most often, by practicing good oral hygiene, your mouth can be as healthy as if you had no exostoses at all. But make no bones about it, we'll give you all the info you need on the types, causes, and potential issues with exostoses to ensure your oral health keeps you smiling.

What Are the Types and Causes of Exostoses in the Mouth?

The type of exostosis you have depends on its location in your mouth. The most commonly occurring bone growths are found in the mouth's roof (torus palatinus) and beneath the tongue (torus mandibularus). Buccal exostoses are hard bony protrusions on the outside of your gums and are less common. Torus palatinus is often a singular growth, whereas torus mandibularus and buccal exostoses tend to be bilateral, meaning they happen on both sides of the mouth.

There is no known cause (etiology) of bone growing out of gums, the mouth's roof, or under the tongue. According to an article published in the Journal of International Oral Health, some causes could include genetic factors, environmental factors, excessive chewing (masticatory hyperfunction), teeth grinding (bruxism), and continued jawbone growth. Growths usually appear in the late teens or early adulthood and tend to increase in size over time. It's common for people to have exostoses in their mouths for years before they even notice they are there.

How Your Dental Professional Will Diagnose an Exostosis

Most often, your dental professional will diagnose you with an exostosis during a regular checkup. If they notice thickened or protruding bone during their structural assessment, they will likely take a photo or measure the structure to document any growth that occurs over time.

Health Concerns for Exostoses in your Mouth

Exostoses are considered a variation of normal, and most often, they pose no health concern at all. Occasionally they can develop some adverse effects, especially if they become large enough that they interfere with the functioning of your mouth. For instance, a torus mandibularus can make it difficult to speak properly if it grows to a certain size. Another potential issue is that the tissue covering bone growths is very thin and could get scratched or injured from sharp food resulting in ulcer formation. Also, if you have missing teeth and are considering dentures, all types of exostosis can potentially interfere with the placement of your artificial teeth. Some people may want a growth removed due to aesthetic concerns.

Treatment for Exostosis in your Mouth

If your exostosis is one of the rare growths in which treatment is recommended, it can be removed in a dental professional's office – usually by an oral surgeon. Using local anesthesia (numbing the specific area around a surgical operation), the surgeon will make an incision and lift the soft tissue away to expose the overgrowth. The surgeon will then trim the bone using a high-speed dental tool (or with new developments in technology, possibly a dental laser, according to Dentistry Today). They will then suture the tissue back in place.

How to Practice Good Oral Hygiene With an Exostosis

As always, practice good oral hygiene by brushing at least twice a day. Floss or clean between your teeth with interdental brushes or water flossers at least once a day, and use antimicrobial mouthrinses and tongue scrapers. Be sure to see your dental professional for regular cleanings – not only to keep your teeth pearly white and bacteria-free but also to have them check on the health and size of any hard bony lumps on your gums. Be diligent in checking for and removing any food particles that may get stuck between your growth and your gums, and ask your dentist if they have any specific recommendations for your needs.

While your exostosis may have seemed at first like a cause for alarm, hopefully, you now know that they tend to be completely harmless. If you're unsure whether or not growth under the tissue in your mouth is bone, then it's worth having a professional take a look right away to ensure it's not something more problematic. But chances are, with an excellent oral hygiene routine and regular checkups, you're going to be all smiles.

Issues and Treatment for Exostosis Mouth

Although these growths are benign, occasionally they can cause problems, especially if they become large enough to interfere with functions of the mouth. TM, if very large, can inhibit proper speaking, and all types of exostosis can interfere with denture placement. Additionally, the mucosa covering them is very thin and prone to scratches and injuries from sharp food, sometimes resulting in ulcer formation from the trauma.

In the rare instance where treatment is recommended, the exostosis can be removed in a dental specialist's office, usually by an oral surgeon. Under local anesthesia, the surgeon will make an incision and lift the soft tissue away to expose the overgrowth of bone. Typically, the bone is trimmed using a high speed dental hand piece, and the tissue is sutured back in place. Advances in dental lasers and their ability to penetrate hard tissues have shown promise for a more efficient and less invasive option, reports Dentistry Today.

Exostosis mouth is very rarely a concern for the dentist or patient. Treatment is only necessary when the nodules interfere with the normal functions of the mouth or become an aesthetic concern for the patient. Do you have bony bumps in your mouth? To keep the rest of your mouth healthy, brush twice daily with a toothpaste that repairs early teeth and gum damage. Also schedule regular dental visits. Your dentist and dental hygienist can detect oral problems early and suggest the best treatments for you.

(11/27/2023)
by Colgate

More Information: https://www.colgate.com/en-us/oral-health/mouth-and-teeth-anatomy/exostosis-mouth-a-complicated-term-for-benign-bony-growths


Views: 550
Share
Share

How to Preserve Your Teeth as You Age

Everyone knows that human bodies weaken over time, and teeth are no exception. Often taken for granted, teeth are very important for overall health and can become weak if they aren’t cared for properly. Continue reading to learn five ways to help you preserve your teeth as you age.

5 Tips to Preserve Your Teeth

Practice proper oral hygiene – Properly brushing and flossing between your teeth twice each day will help you fight tooth decay and periodontal disease which can lead to tooth loss.

Stay on top of professional treatment – Routine cleanings and oral health examinations will help maintain your oral health and catch any negative conditions that you may develop. Early intervention is the key to preserve your teeth and oral health, and you should also make a point of having any dental crowns or fillings replaced as needed.

Limit your consumption of acidic liquids – Heavy consumption of acidic drinks such as soda, alcohol, and juice contribute to tooth erosion and decay. Do your best to drink more water than flavored liquids, and rinse your mouth with water after you do drink soda or fruit juice.

Protect your teeth when you sleep – Many people suffer from deteriorating teeth as they age because of uncontrollable tooth grinding when they sleep. Your dentist will be able to notice if you have this problem quite easily and will suggest that you wear a special mouthguard while you sleep to protect your teeth.

Lead a healthy lifestyle – Routine exercise and following a healthy diet is important for overall health and can help you preserve your teeth by reducing your chances of developing diabetes, heart disease, or other conditions that can seriously harm gum health. Make a point of eating plenty of calcium-rich foods such as low-fat dairy products or cruciferous vegetables such as broccoli to keep your teeth and bones strong.

(11/25/2023)
by David Davenport
Views: 533
Share
Share

When Is An Extraction Absolutely Necessary?

Good oral health is essential to your overall well-being. A lack of proper oral hygiene can result in gum disease, tooth decay, and even more severe health complications. Sometimes a tooth extraction may be necessary to maintain optimal oral health. 

The experts at Hometown Family Dental Centers — with convenient locations in Fayetteville, Raeford, and Vass, North Carolina — provide sedation dentistry to put you at ease in the dentist’s chair while you undergo any of our full range of dental services to ensure your oral health. Our friendly staff always makes sure you're comfortable and relaxed during your procedure. 

Are you experiencing pain or infection in your tooth? While our dentists always strive to save your natural tooth when possible, a tooth extraction might be required in some cases. Understanding when tooth extractions are absolutely necessary can help you make more informed decisions about your oral care.

Reasons for tooth extractions

There are a few reasons your dentist might recommend extracting a tooth.

Wisdom teeth

Wisdom teeth are a third set of molars, which emerge in your late teens or early 20s. They can be a source of discomfort, pain, and swelling if there’s not enough space in your jaw for them to come in correctly. 

Wisdom teeth can also push neighboring teeth out of alignment. We might recommend extracting wisdom teeth if they’re causing pain or if they’re likely to cause problems in the future.

Severe infection

An untreated cavity can penetrate deep into the tooth pulp or root, leading to an infection that may spread to surrounding tissues. Sometimes this infection can be treated with a root canal. But if the decay is too advanced or if there’s an abscess, we may have to extract the tooth.

Advanced gum disease

Gum disease, also known as periodontitis, is a chronic bacterial infection affecting the gums and even the bones supporting your teeth. Advanced gum disease can cause tooth loss and other oral health problems. In severe cases, tooth extraction may be the only option to prevent the spread of infection.

Alignment problems

Orthodontic treatment often starts with evaluating the teeth to determine the best course of action. In some cases, the jaw may not have enough space for all of your teeth to fit together for a proper bite, so tooth extraction might be necessary to create space for braces or aligners.

Tooth extraction procedure

The tooth extraction procedure is relatively straightforward. After numbing the area surrounding the tooth with a local anesthetic, your dentist uses a tool to loosen and remove the tooth and root. 

Depending on the location of the tooth and its size, the dentist may need to use forceps or surgical tools to remove the tooth. Afterward, gauze is placed over the extraction site to stop any bleeding. In some cases, stitches may be necessary to close the wound. 

Aftercare

After tooth extraction, taking good care of the area is essential to prevent complications. You should rest and avoid physical activity for the first 24 hours. Apply ice to your cheek to reduce swelling. 

Eat soft foods, and avoid drinking through a straw to prevent dislodging the blood clot. Brush and floss your teeth gently, avoiding the extraction site. Take over-the-counter pain relievers as needed, but avoid aspirin, which can increase the bleeding risk.

Everyone's dental situation is different, and electing for a tooth extraction is a decision that’s best made with your dentist. Although tooth extractions may sound daunting, they're often necessary and can be handled without complication. 

With proper preparation and understanding of the process, you can ensure a safe, successful procedure to restore your oral health.

(11/26/2023)
by Hometowm Family Dental Centers

More Information: https://www.hometownfamilydentalnc.com/blog/when-is-an-extraction-absolutely-necessary


Views: 470
Share
Share

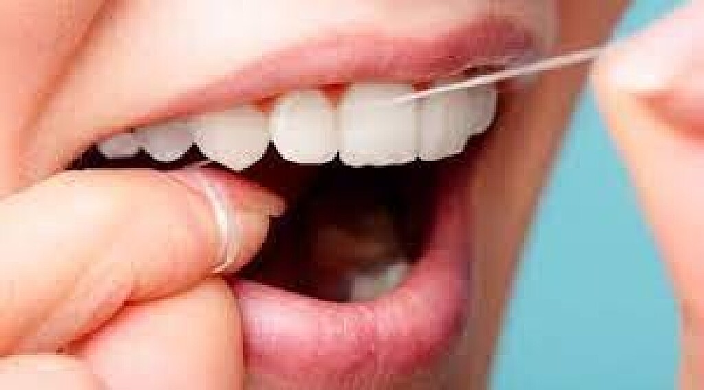
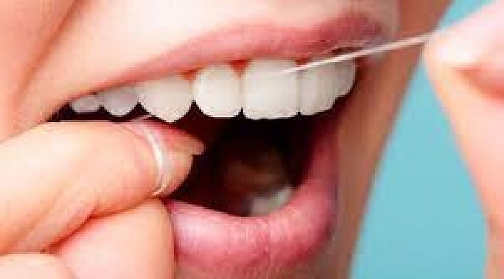
Why Do My Gums Bleed When I Floss?

Gums that bleed while flossing can be due to a number of issues; however, if it is a common occurrence, it may likely be a sign of periodontal (gum) disease. To be sure, bleeding gums while flossing and performing daily oral hygiene routines could be caused by factors other than gum disease. These include a vitamin deficiency, a reaction to certain medications, ill-fitting dentures, or even the fact that you may have just started flossing and your gums simply aren’t acclimated to the process just yet. But gum disease is an extremely common indicator, even among individuals who take the best possible care of their oral health. 

Gum disease is caused by a collection of bacteria in the soft tissues of the mouth that develops into a sticky film called plaque. If the plaque is not removed by ordinary brushing and flossing, it can transition into a harder substance known as tartar or “calculus,” which can lead to gum recession, the separation of the gum tissue from the teeth, and other symptoms. Gingivitis is the first stage of gum disease, and often leads to symptoms such as gums that are swollen, inflamed, or that bleed while brushing or flossing. 

It can be frustrating to experience bleeding gums when you feel like you do everything possible to maintain a healthy mouth, but here’s something to keep in mind: good brushing and flossing routines can remove a fair amount of plaque, but plaque and tartar can reside in areas that may not be reachable on your own.

That’s why routine visits to the dentist for exams and professional cleanings (which are typically recommended as a twice-yearly procedure for most individuals) are so important. Dental cleanings can get to plaque and bacteria in deeper, more hidden areas, making these treatments a powerful weapon in the battle against periodontal disease. 

In some cases, gum disease is present so deeply within the gums that more extensive treatment is necessary to remove the bacteria and restore gum health. The most important thing is to keep brushing and flossing daily, attend your routine dental appointments as recommended, and come in for a dental exam as soon as you notice there might be a problem. 

Remember, untreated gum disease can progress into more serious (and dangerous) stages of the condition, and even lead to general health risks linked to oral health conditions. 

(11/28/2023)
by Smile For Life Dental

More Information: https://www.drdeanlodding.com/oral-health/why-do-my-gums-bleed-when-i-floss/


Views: 558
Share
Share

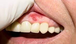
Gum Infection: Symptoms, Treatment and Prevention

Just about every area of your body is susceptible to infection, including your mouth. And if you have an infection, it’s important to get medical care promptly. In the case of your mouth, infected gums can not only be very painful, they can also be a sign of a more serious condition such as advanced gum disease, otherwise known as periodontitis.

Gum Disease Characteristics

Gingivitis is a mild form of gum (periodontal) disease. If left untreated, it can very quickly develop into an advanced form of periodontal disease, known as periodontitis which can lead to tooth loss.

Periodontal disease affects the area of your mouth just below the gum line, in the v-shaped crevice between your tooth and gums, known as the sulcus. This impacts the attachment of your tooth and causes the nearby tissue to break down. Once the tissue is damaged, the sulcus develops into a pocket that can trap bacteria and lead to gum infections. Since gums provide fundamental support for our teeth, it’s vital to keep them in good health.

Gum Infection Symptoms

Although serious gum infections aren’t extremely common, they can lead to major issues if not treated in a timely manner. While most of us want to keep our teeth and gums healthy, they can be prone to gum infections if not cared for properly. Identifying the risk factors and warning signs that can lead to infected gums is an important way to help prevent further gum disease and all the side effects that come with it.

Signs of infected gums include:

Gums that are swollen, tender or bleeding

Receding gums

Pus coming from the gums

Chronic bad breath

Loose teeth

A noticeable change in the way your teeth fit together when you bite.

If you are suffering from any of the symptoms listed above, visit your dental professional right away for proper diagnosis and treatment.

Periodontal Disease Diagnosis

To check whether periodontal disease is affecting the health of your smile, your dental professional may carry out a series of tests. These include questions about risk factors and oral health. In addition, the depth of the gingival pockets is measured, the occurrence of gum bleeding is determined, and the mobility of the teeth is examined. Panoramic x-rays show whether there is bone loss. If this is the case, then it is measured to what extent.

When it comes to gum disease, good oral hygiene is of paramount importance. No treatment, including dental procedures and antibiotics, will bring long-term results if the patient does not implement an oral care routine of twice daily brushing and flossing at least once a day.

Gum Infection Treatments

As soon as you notice a gum infection, you should consult with a dental professional. Once gum disease is diagnosed, you will have numerous treatment options that will vary based on the severity of the infection. Here are some common methods to treat gum infections:

Antibiotic Therapy: Just as you’d expect with any type of bacterial infection, antibiotics are often used to treat gum infections. Your dentist may elect to use an antibiotic pill or injection directly into the gum infection site.

Root Planing and Scaling Treatment: This advanced gum disease therapy cleans deeply between your teeth—all the way to the roots.

Gingivectomy: A gingivectomy is a form of periodontal disease surgery that involves the removal of gum tissue.

Flap Surgery: If your gum disease is severe, flap surgery may be necessary involving bone or tissue grafts.

How to Prevent Gum Infections

Maintaining healthy gums and avoiding gum disease can be easy if you make good oral hygiene a priority every day. By brushing and flossing daily, you can significantly reduce your risk of gum disease and inflammation, in addition to tooth decay and other oral health problems. Poor oral hygiene is your worst enemy, so start a diligent routine and stick to it, and your smile will benefit from these healthy habits.

Brush twice a day

Brush your teeth with a stannous fluoride toothpaste such as any of the Crest Gum Detoxify toothpastes twice a day for 2 minutes each session. These anti-gingivitis toothpastes gently neutralize the bacteria trapped around the gum line leading to clinically proven healthier gums.

Floss your teeth daily

Use a product like Oral-B Glide Deep Clean floss or Oral-B Glide Scope Outlast floss picks to clean between each and every tooth to remove food particles that cause plaque and tartar buildup, and can eventually lead to gum disease. To further wash away any leftover plaque and food debris, consider adding an oral irrigator like the Oral-B Water Flosser Advanced to your routine. Its unique Oxyjet Technology uses water enriched with microbubbles of air to help eliminate plaque bacteria for healthier gums.

Use an anti-gingivitis mouthwash

You may also want to use a mouthwash that kills the bacteria that causes plaque. There are a variety available and some have more than one benefit, like whitening and fighting bad breath, for a healthier mouth all around.

Visit a dental professional at least twice a year for a professional cleaning

This will remove tartar buildup that you can’t take care of at home. Tartar buildup can lead to more plaque buildup on and around the tartar in hard to clean areas which can wreak havoc on your smile.

Since prevention is the best way to avoid gum infection, it’s important to make caring for your teeth and gums a top priority. Maintain good oral hygiene by following these important guidelines to keep your teeth and gums healthy and help prevent gum infection.

(11/29/2023)
by Crest

More Information: https://crest.com/en-us/oral-care-tips/gum-health/gum-infection-symptoms-treatment-prevention


Views: 584
Share
Share

How To Keep Dental Implants Clean

Dental implants are not susceptible to the decay that afflicts natural teeth, but still require adequate cleaning to remove plaque that can stick to them and infect the surrounding tissue. Periodontal disease can destabilize the jawbone, and consequently the implant.

Cleaning single dental implants

Although a dental hygienist can clean the implant's abutment and the crown, the patient must also perform daily maintenance. Signs of improper home care include:

Bleeding

Red and swollen gums

Pain when chewing

Bad breath

Bad taste in the mouth

Taking a small amount of extra care when cleaning a single dental implant can shield surrounding teeth from bacteria and increase its longevity.

Brushing

Brushing twice per day is necessary for patients with and without implants. Patients with dental implants must gently brush the crown, using a soft nylon brush to avoid scratching its surface. Oral bacteria can migrate into the jaw through scratches on the crown.

Using mild toothpaste

Unlike natural teeth, implant crowns have an acrylic surface that abrasive substances such as baking soda can wear away. Worn surfaces create access points for bacteria that can infect the jaw and the tissue around the implant. Brushing with a mild toothpaste eliminates this concern.

Water flossing

Water flossers have parts that can direct water flow deep inside the space between the crown and the gums where bacteria accumulate. A pulsating hydraulic force of room temperature water washes away plaque and debris and is gentle enough to apply every day.

Alternative flossing

Soft interdental brushes can achieve the same level of cleaning that water flossing provides. Standard string floss is inadvisable for use near dental implants because it can shred and enter the gum tissue causing infection. Specially designed floss consisting of shred-resistant stiff ends and a pliable middle can safely clean the area where the crown's edge meets the gumline.

Gum stimulating

Patients can gently massage the gums with stimulators to send nutrient-rich blood to the implant region. A gum stimulator is also an excellent cleaning device consisting of a long metal or plastic arm supporting a small triangular-shaped rubber or silicone tip that reaches beyond the gumline near the implant crown to scrape away plaque. It can enter the tight space between the crown and other teeth to loosen trapped debris.

Cleaning implants that support bridges and dentures

Whether a patient has a single implant or multiple implants, the cleaning methods are the same, with some variation. Additional tools in a home care arsenal can benefit patients with implant-supported bridges and dentures.

Interdental brushing

Patients can use small, narrow brushes with soft bristles to clean implant-supported bridges or dentures near the gumline where standard toothbrushes cannot easily reach. Subtle changes in design depend on which part of the mouth is cleaned.

Mouth rinsing

A mouth rinse can penetrate spaces that other home care tools can not reach. Antibacterial rinses can dislodge debris while killing germs that can cause periodontitis.

(11/29/2023)
by Long Grove Dental

More Information: https://www.longgrovedental.com/blog/how-to-keep-dental-implants-clean-cip107/


Views: 533
Share