Dentists Journal

Top Ten Stories of the Week
12/23/2023

All Dentists Journal · Previous Week · This Week · All Time List · Headlines

Share

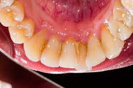
How to Prevent Calcium Buildup on Teeth

Preventing calcium buildup on your teeth involves proper brushing, daily flossing, dental checkups twice a year, and more.

Calcium buildup—also called calcium deposits, tartar, or calculus—are hardened patches of plaque that form on the teeth. Plaque is a sticky film that coats teeth and contains bacteria. If plaque is not removed on a regular basis, it will harden and form visible calcium deposits (tartar).

Tartar typically arises in hard-to-reach areas of the teeth, especially along the gum line and between the teeth. Even if you take good care of your teeth, calcium deposits can still form, which is why regular dental cleanings and check-ups are important.

Once calcium builds up on teeth, it can't be removed by brushing, and left untreated, it can cause tooth decay and other complications.

This article will help you identify, remove, and prevent calcium buildup in the future.

Signs and Symptoms of Calcium Deposits

While plaque and tartar buildup can be asymptomatic at first, it’s more than an aesthetic issue and leads to various health issues. The primary signs of calcium deposits are:

A sticky film on teeth

Chronic bad breath (known as halitosis)

Bloody, red gums and/or bleeding after brushing or flossing

If left untreated, calcium deposits can be very damaging to your teeth. Much more serious dental issues can arise, such as:

Gingivitis (gum disease)

Periodontitis (gum infection)

Gum recession

Cavities

Tooth loss

Tooth abscess (infection)

Removing Calcium Deposits

Brushing and flossing can get rid of most plaque, helping to prevent calcium deposits from forming. However, tartar can arise both above and below the gum line and once it has formed, only your dentist can remove it. This is one of the main aims of regular dental cleaning. Dentists rely on several procedures to remove tartar:

Scaling: Scaling is using specialized tools to physically remove calcium deposits and plaque from your teeth. Nowadays, dentists and dental hygienists often use ultrasonic scrapers—instruments that vibrate at a very high rate and shoot water to get rid of tartar.  

Polishing: After your teeth are scaled and cleaned, your dentist or hygienist will smooth out rough areas of enamel and provide a final deep clean. This not only improves the appearance of your smile, but it also removes rougher areas that can attract bacterial build-up.   

Scaling and root planing: In tougher cases, the dentist will need to do more extensive work to remove calcium deposits further below the gum line and at the roots of teeth, and around bone.

Generally, the scaling and polishing procedures used to remove calcium deposits aren’t painful. However, if the gums are diseased, or if deep cleaning (scaling and root planing) needs to be done at the root of the tooth, you’ll need a local anesthetic.

Preventing Calcium Buildup

The key to preventing calcium deposits is proper dental hygiene. Regular and effective care of your teeth can get rid of plaque, stopping it from developing into tartar. In addition, these elements are important:

Proper brushing: Brush thoroughly and properly at least twice a day, for two minutes at a time. Electronic toothbrushes are generally more effective at removing plaque.

Flossing: Floss your teeth at least once a day. Be gentle but thorough as you work to pull food and plaque from surfaces brushing can’t access.

Eating habits: A balanced diet helps keep your teeth and gums healthy. Cut down on snacking between meals—especially sticky and sugary foods—and be sure to brush afterward if you do have a snack. There’s also a benefit to steering clear of sugary sodas, candies, and other sweets. 

Water irrigation systems: Water irrigation systems, such as the Water Pik, work on removing plaque and bacteria around the gum line. Water flossing is especially helpful for those reluctant to use string.   

Regular dental visits: Even an excellent level of oral hygiene can’t prevent calcium deposits from forming in certain areas. You should aim to get check-ups twice a year.

Summary

Calcium deposits, also known as tartar or calculus, arise when plaque on the teeth hardens and thickens. In addition to causing visible yellow, brown, or black deposits, they cause bad breath and bloody gums. In turn, this can cause gingivitis, periodontitis, cavities, tooth loss, and other dental issues.

Brushing and flossing alone can’t remove these deposits, so dentists employ procedures like scaling and polishing to remove them. Preventing tartar involves proper brushing, daily flossing, regular dental check-ups, and limiting sweet snacks.

(12/15/2023)
by VeryWell Health

More Information: N


Views: 665
Share
Share

Overbites vs. Underbites: What are the Differences?

To achieve strong oral health and a wonderful smile, your upper and lower jaws need to evenly meet. This allows you to do things like eating and swallowing with ease and avoid some very serious health risks to your jaw, mouth and teeth.

A malocclusion is whenever the upper and lower rows of teeth do not meet. There are three types of malocclusions: overbites, underbites and crossbites. Overbites and underbites are the most common but all three require immediate and thorough orthodontic treatment. It can be tricky to know if you have a severe enough overbite or underbite to warrant orthodontic intervention.

How do you go about fixing your overbite or underbite? How do the treatments differ? What can you expect from the various treatments? As you can imagine, there are a lot of questions that you need answered. To start, let’s review the basics of identifying overbites and underbites. Then, we’ll explore treatment options and the best courses of action with respect to dealing with your malocclusion before the problem worsens.

What is an Overbite?

Just because your upper teeth extend somewhat over your lower teeth, doesn’t necessarily mean you have an overbite. In addition, minor overbites are very common and might not require braces. Overbites that are severe enough to need fixing occur when the upper teeth overlap the bottom teeth to an excessive degree of roughly 4 to 10 millimeters. This can be caused by genetics, a recessive chin, misaligned bites, thumb sucking, poorly fitted crowns, gum disease or as the result of injury. Also, sometimes teeth just come in awkwardly.

Overbites are more common than underbites and are called a Class II bite. One thing to remember is that having a slight overbite is normal because the shape of the human skull naturally allows for the upper teeth to extend beyond the lower teeth. During checkups, your dentist should measure your overbite and underbite and consult with you if they suspect any issues.

The good news is that overbites are considered to be easily treatable using conventional methods. It is easier to fix in young children so don’t hesitate to speak with an orthodontist immediately about your child or children’s potential malocclusion. It’s never too late to fix this issue if the patient is willing.

What is an Underbite?

An underbite, a Class III bite, is when the lower teeth extend beyond the upper. Essentially, the lower jaw protrudes, making it impossible for the lower row of teeth to align with the upper row causing the potential for several serious oral health issues. This can be caused by the upper jaw bone being underdeveloped or the bone in the lower jaw being overdeveloped.

Like overbites, underbites can begin during childhood due to behaviours like thumb-sucking or caused by genetics or as the result of an accident. Whatever the cause, severe underbites should be treated immediately as to avoid the potential hazards that can surface over time.

What is a Crossbite?

Most people believe there are only two malocclusions. There is a third type, though, known as a crossbite. And while it is less common, it still requires diagnosis and treatment. Crossbite is a lateral misalignment meaning the top teeth are positioned too close to the cheek or tongue.

Crossbite occurs during childhood and doesn’t naturally correct itself over time. It can occur between the front or back teeth. The side effects are similar to and just as serious as overbites and underbites. Upon diagnosis, your dentist should present treatment options and recommend a course of action.

Do you Have a Misaligned Bite?

While you can do a remedial check to see if you exhibit the signs of having a misaligned bite, this is a job best left to your dentist or orthodontist. They will conduct an inspection that looks for:

Misaligned teeth

Abnormal facial structure

Difficulty with chewing or biting

Speech impediments like a lisp

If a dentist spots any of the above symptoms, they will most likely refer you to an orthodontist to begin the conversation about treatment options.

Health Risks Associated with Malocclusion

Overbites and underbites are very serious and can lead to:

Increased risk of tooth decay, breakage, cavities and gingivitis

Jaw strain

Headaches

Earaches

There are also mental health and self-esteem risks associated with overbites and underbites. This is often overlooked but our appearance can inform how we feel and determine our emotional state. We believe that dentistry should help you feel confident and comfortable with your smile.

Overbite and Underbite Treatments

Your orthodontist will determine the best course of action to treat your misaligned bite.

Treatment options include:

Removable Retainer

For less severe bites, a removable retainer is a suitable enough solution to produce the desired results. This type of retainer hooks around the back teeth to hold itself securely in place. The removable element makes it easier to clean your teeth but the patient must be responsible enough to remember to put it in every day. Forgetting for long stretches would negate this treatment’s effectiveness.

Despite its appeal, if you cannot handle the daily responsibility of wearing a removable retainer than it might not be the option for you.

Braces

The most common way to treat misaligned bites is with braces or aligners, especially with children or teenagers. Braces use taut wires to connect tiny brackets to apply consistent pressure to teeth. This forces them to realign and straighten over time. Braces have a high success rate but can be pricy and patients must wear them for anywhere between one to three years.

If you need more incentive to deal with a misaligned bite early, keep in mind that insurance providers often cover braces for children but not adults. We always recommend speaking with your insurance provider to discuss your coverage and payment options.

Aligners

Some cases of misaligned bites only require aligners. Popular options like Invisalign, which are clear and removable, work wonders while allowing people to go about their day with minimal interruption or embarrassment. Invisalign isn’t an appropriate solution for every case of malocclusion so ask your dentist if they make sense for your situation.

Treatment duration depends on the severity of your issue but be prepared to commit for several months if not a year or two. It might sound as if treatment will upend your life but it is worth it for both your oral health and the smile you will achieve and get to show off every day. Your dentist should be well equipped to talk you through the emotional impact of these procedures and help prepare you for any changes to your daily life.

Get Help for your Misaligned Bites

Don’t wait and let your overbite, underbite or crossbite worsen and create additional issues for your mouth, teeth and gums. Letting these problems linger can result in you needing caps, crowns or dental hardware installed. Furthermore, neglect can make them harder to fix down the road.

We hope this article has answered some of your questions about overbites and underbites. If you or your child needs treatment, then remember just about any misaligned bite can be repaired. It’s always better to tackle the problem head-on and immediately.

(12/15/2023)
by Georgian Dental

More Information: https://barriedentist.ca/big-mouth-blog/general-dental-articles/overbites-vs-underbites


Views: 467
Share
Share

Crooked Teeth And The Problems They May Be Causing

If your teeth are crooked, overlap, or have any other misalignment issues, you may be at a higher risk of developing other common dental issues. Cleaning misaligned teeth can be difficult because there are often nooks and crannies that bacteria can easily become trapped in, and tooth decay is a result.

If you continuously hear the words tooth decay, cavities, and gingivitis from your dentist during your routine cleanings and exams, it may be time to consider straightening your teeth for more than just vanity reasons.

How Crowded Teeth Cause Dental Problems

Common alignment issues like overcrowding, excessively spaced teeth, or other misalignment issues can lead to teeth that wear unevenly over time. Also, misalignment can lead to severe and irreversible dental issues like weakening teeth and even falling out. The most common issues associated with misalignment include excessive tooth wear, frequent headaches, jaw pain, and an increase in tooth decay and gum disease.

Other notable issues you may experience because of misalignment include:

Difficulty in cleaning teeth properly

Overlapping or crowded teeth make it difficult to properly clean all surfaces of your teeth with a standard toothbrush and dental floss.

Increased tooth wear 

When your bite doesn’t correctly align, this causes your teeth to wear unevenly, decreasing your natural enamel and requiring dental treatments to replace the surfaces of your teeth.

Interference with proper chewing

If your teeth do not align when biting down, you may favor chewing on one side over the other, causing interference with proper chewing on both sides of the mouth.

Jaw muscle strain

Excessive strain on your teeth, jaws, and jaw muscles, increasing the risk of breaking a tooth.

Feeling self-conscious

Those with crooked teeth tend to feel self-conscious of their smile and may choose to hide it with their lips or hands when smiling.

The Connection Between Poor Alignment and TMJ

Suffer from chronic jaw pain can result in frustrating and life-altering discomfort. Many patients don’t initially realize that jaw dysfunction and discomfort can stem from many things, including misaligned teeth.

Other common factors that often lead to TMJ are:

Misaligned teeth that put additional pressure on the jaw muscles to perform daily routines such as eating or speaking.

A cavity that has gone untreated and has caused an abscess from lack of dental care.

Stress that causes the particularly sensitive jaw area to be tense.

Suffering an injury to the jaw or other physical damage to the jaw components.

Chronic clenching and grinding from bruxism that places an excessive amount of pressure on the jaw that makes it feel tired and sore.

Your Teeth Impact Your Overall Health, Too

While regaining your self-confidence is reason enough to seek out a straighter smile, many other health-related reasons make straight teeth important for a person’s overall being.

Crooked teeth can affect your overall healthy by:

Enabling bacteria from tooth decay and gum disease to enter the bloodstream. These infections can later lead to severe ailments like heart disease, diabetes, pneumonia, and stroke.

Increasing the risk for bacteria to form in deep pockets of the gums. Bad breath, general soreness, sensitivity, and tooth loss can be a result of gum disease.

A smile is one of the first things others notice about you. If you struggle with the crooked appearance of your teeth, it’s time to take back your self-confidence. Contact Dr. Baudean today to learn more about the many benefits of straightening your teeth and which treatments we recommend for your specific alignment issues.If your teeth are crooked, overlap, or have any other misalignment issues, you may be at a higher risk of developing other common dental issues. Cleaning misaligned teeth can be difficult because there are often nooks and crannies that bacteria can easily become trapped in, and tooth decay is a result.

If you continuously hear the words tooth decay, cavities, and gingivitis from your dentist during your routine cleanings and exams, it may be time to consider straightening your teeth for more than just vanity reasons.

How Crowded Teeth Cause Dental Problems

Common alignment issues like overcrowding, excessively spaced teeth, or other misalignment issues can lead to teeth that wear unevenly over time. Also, misalignment can lead to severe and irreversible dental issues like weakening teeth and even falling out. The most common issues associated with misalignment include excessive tooth wear, frequent headaches, jaw pain, and an increase in tooth decay and gum disease.

Other notable issues you may experience because of misalignment include:

Difficulty in cleaning teeth properly

Overlapping or crowded teeth make it difficult to properly clean all surfaces of your teeth with a standard toothbrush and dental floss.

Increased tooth wear 

When your bite doesn’t correctly align, this causes your teeth to wear unevenly, decreasing your natural enamel and requiring dental treatments to replace the surfaces of your teeth.

Interference with proper chewing

If your teeth do not align when biting down, you may favor chewing on one side over the other, causing interference with proper chewing on both sides of the mouth.

Jaw muscle strain

Excessive strain on your teeth, jaws, and jaw muscles, increasing the risk of breaking a tooth.

Feeling self-conscious

Those with crooked teeth tend to feel self-conscious of their smile and may choose to hide it with their lips or hands when smiling.

The Connection Between Poor Alignment and TMJ

Suffer from chronic jaw pain can result in frustrating and life-altering discomfort. Many patients don’t initially realize that jaw dysfunction and discomfort can stem from many things, including misaligned teeth.

Other common factors that often lead to TMJ are:

Misaligned teeth that put additional pressure on the jaw muscles to perform daily routines such as eating or speaking.

A cavity that has gone untreated and has caused an abscess from lack of dental care.

Stress that causes the particularly sensitive jaw area to be tense.

Suffering an injury to the jaw or other physical damage to the jaw components.

Chronic clenching and grinding from bruxism that places an excessive amount of pressure on the jaw that makes it feel tired and sore.

Your Teeth Impact Your Overall Health, Too

While regaining your self-confidence is reason enough to seek out a straighter smile, many other health-related reasons make straight teeth important for a person’s overall being.

Crooked teeth can affect your overall healthy by:

Enabling bacteria from tooth decay and gum disease to enter the bloodstream. These infections can later lead to severe ailments like heart disease, diabetes, pneumonia, and stroke.

Increasing the risk for bacteria to form in deep pockets of the gums. Bad breath, general soreness, sensitivity, and tooth loss can be a result of gum disease.

A smile is one of the first things others notice about you. If you struggle with the crooked appearance of your teeth, it’s time to take back your self-confidence. Contact Dr. Baudean today to learn more about the many benefits of straightening your teeth and which treatments we recommend for your specific alignment issues.

(12/16/2023)
by Aubrey Baudean, DDS

More Information: https://abaudeandds.com/crooked-teeth-cause-these-problems/


Views: 522
Share
Share

Tartar vs. Plaque: Know The Difference

You’ve probably heard about dental plaque and tartar – but do you know the difference between the two? Both plaque and tartar increase the risk of cavities and gum disease, and we need to keep our teeth clean of them for good dental health.

However, tartar is a much more concerning oral health issue than plaque, and can only be removed and treated by dental professionals – whereas plaque can be removed simply at home. We’ll break down the difference between plaque and tartar so that you know what to look out for, and how to keep your mouth clean of both!

What is Plaque?

Dental plaque is a clear, sticky film made up of saliva and bacteria, and is constantly forming on our teeth. Plaque forms on and between our teeth, and can even develop under the gum line on teeth’s roots. Bacteria in plaque feeds on the foods and drinks we consume and produces acid, which weakens tooth enamel and irritates the gums. Over time, this acid attack can lead to cavities and gum disease.

The good news is that plaque can be removed easily by brushing and flossing! Because plaque is constantly forming on our teeth, it is all important to clean it away regularly by brushing twice and flossing once every day. When we don’t clean our teeth regularly, plaque builds up unchecked and eventually hardens into a substance called tartar.

What is Tartar?

Tartar (also known as dental calculus) is hard, yellow, calcified deposits on teeth and gums, formed from hardened plaque. Tartar can begin forming in as little as 48 hours, and is so hard that it cannot be removed by brushing or flossing. Tartar must be removed by a dentist or hygienist who has the proper tools and training to remove tartar without damaging the teeth and gums.

The presence of tartar on teeth and along or below the gum line makes it more difficult to keep your teeth clean and prevent cavities and gum disease. Tartar often forms first around the gum line, and can irritate, inflame, and infect gum tissue, resulting in gum disease. Because it is essentially made up of calcified bacteria and minerals, dental tartar is quite odorous and can cause chronic bad breath. Tartar can also cause serious, irreversible damage to other structures of the mouth, such as tooth decay, tooth loss, and jaw bone loss.

Preventing Plaque and Tartar

Though the negative effects of plaque and tartar might sound dire, preventing plaque and tartar is really quite simple! All you have to do is brush twice a day and floss once a day to prevent plaque from building up in the mouth, and prevent it from having the chance to harden into tartar.

Visit your dentist regularly, too – we will catch any issues that you might miss, ensure your teeth and mouth are clean with regular cleanings, and offer tips for improving your oral hygiene if necessary, so that your mouth stays healthy and happy!

(12/16/2023)
by Rose City Dental Care

More Information: N


Views: 519
Share
Share

What Is The Difference Between Stomatology and Oral Medicine?

You're a devoted dental patient who attends all your regularly scheduled checkups, commits to a vigorous oral care routine, and replaces your toothbrush when it begins to fray. Still, you may not be aware of how much your oral health relates to your overall health and how the understanding of this connection has developed. While we believe that taking care of your mouth is essential for the upkeep of your teeth, gums, and gorgeous smile, it's also related to your physical wellbeing.

In some countries, the original term for this field, "stomatology," is used instead of oral medicine. But it's not a term you're likely to see on your dental professional's office door in the United States. Stomatology has evolved into oral medicine as a recognized dental specialty in the United States. Its specialists fill an essential role in training dentists and treating various health problems that affect the mouth and teeth. Let's go over the details of oral medicine, its evolution from stomatology, and the specific diseases this field diagnoses and treats.

Regulating Dentistry

We consider the American Dental Association (ADA) the premier governing body of dentistry in the United States. The ADA determines what fields of dentistry should be specialties. There are currently twelve specialties, ranging from dental public health to pediatric and surgical disciplines.

In September 2020, oral medicine was added as one of these specialties. Its representing organization in the United States is the American Academy of Oral Medicine (AAOM), founded in the 1940s out of an understanding that there should be an integrated approach to studying medicine and dentistry. This made the study of the relationship between oral health and other ailments of the body, also known as oral-systemic health, official!

What is Oral Medicine?

As noted by the ADA, oral medicine is "the specialty of dentistry responsible for the oral health care of medically complex patients and the diagnosis and management of medically-related diseases, disorders, and conditions affecting the oral and maxillofacial region." Oral medicine training in dental school focuses on few key areas:

The management of dental patients who present with complex medical conditions

Nonsurgical management of oral manifestations of systemic diseases (examples include HIV/AIDS, lupus, and diabetes)

Diagnosis and management of acute and chronic oral mucosal lesions and disorders (examples include candidiasis and leukoplakia)

Other oral conditions not associated with the teeth

Oral medicine specialists play an essential role in the field of dentistry. They examine patients and determine both the diagnosis and course of treatment. They also perform biopsies and consult with many other medical and dental specialists, depending on the patient's health issue and treatment needs.

Diseases That Affect the Mouth

Some systemic diseases such as diabetes, HIV/AIDS, and lupus may have oral manifestations. When these diseases result in dental issues, their diagnosis and management would be an oral medicine professional's responsibility. While not related to the oral cavity in nature, some conditions or treatments need monitoring from an oral care perspective. For example, if you undergo cancer treatment, you'll need special oral care because some cancer treatments can result in oral mucosal lesions and pain.

Did you know that oral medicine also covers oral cavity ailments that aren't yet completely understood? A burning tongue, sores, ulcers, sensory disorders, taste disorders, movement disorders, and chronic pain are just some of the areas that can be part of the oral medicine discipline. There's ongoing research on these ailments to understand their interconnectedness with the rest of the body and potential causes.

The Future of Oral Medicine

Because healthcare providers see the benefits of working from a more comprehensive care perspective, the future of oral medicine looks bright. Eventually, the practice of oral medicine will expand on a global level as specific populations age. Their chronic health issues will need a multi-disciplinary care approach. Physicians, dental professionals, and other healthcare providers will work in an interdisciplinary manner to improve their patients' quality of life.

We may come to learn that many health issues don't work in a vacuum. The connection between oral and systemic health is becoming better understood in no small part because of the field of oral medicine, known for years as stomatology. This oral-systemic link is what makes oral medicine essential to both the dental and medical fields of study in the United States. So when you partake in your rigorous oral care routine and attend your scheduled professional dental appointments, you're not only taking care of your dental health but your overall wellbeing too!

(12/19/2023)
by Colgate

More Information: https://www.colgate.com/en-us/oral-health/adult-oral-care/what-is-stomatology#


Views: 484
Share
Share

Green Tongue: Should You Worry?

A healthy tongue will have a pink or red color and a smooth texture. A green tongue can be a sign of several serious medical conditions.

A tongue with a different coloration or texture than normal may be a sign of disease. Read on to learn the possible causes of green tongue.

What are the potential causes of a green tongue?

A green tongue can have many different causes. Often, a green tongue starts off as a white tongue, but changes to green with time after eating, drinking, or taking certain medications.

Below are some common causes of a green tongue:

Geographic tongue

Geographic tongue causes harmless lesions on the tongue that may change color. Initially, lesions caused by geographic tongue may appear red with raised white borders, but those borders may change to a green color over time.

Other symptoms include:

irregular lesions on the tongue that are smooth and vary in shape and size

lesions on the tongue that appear to “migrate” or move to one area of the tongue to another over time (over days or weeks)

lesions that appear and disappear frequently

some mild feelings of discomfort or burning on the tongue or in the mouth

Another symptom of geographic tongue is extra sensitivity on the tongue, especially to certain substances. These substances may include:

cigarette smoke

toothpaste

mouthwashes

sugar or sweet food

foods that are very spicy or acidic

Lichen planus

Lichen planus is a rash-like condition that can cause tongue discoloration. Usually lichen planus on the tongue occurs as a white color. It can change green when bacteria or yeast begins to grow on it, certain foods or drinks are consumed, or certain products are used. Other symptoms of lichen planus include:

swirling white lesions in the mouth, which might be painful or cause a burning sensation

white lesions in the mouth that change color due to bacteria, yeast, food, drinks, or products used in the mouth

Oral cancer

Oral cancers can cause growths and lesions on the tongue that change color when bacteria or yeast begins to grow on it, you consume certain foods and drinks, or when you use certain products in your mouth. Symptoms of oral cancer include:

a sore or lesion on the tongue that won’t heal

a mass or growth on the tongue

bleeding on the tongue

dramatic weight loss

numbness in the lower lip, face, neck, or chin

patches on the tongue that are white, red and white, red, or green

Oral thrush

Oral thrush is an overgrowth of yeast on the tongue and inside the mouth. It’s caused by an overgrowth of fungus naturally found in the mouth. This fungal overgrowth looks white, but can turn green over time as the infection sets in. Other symptoms of oral thrush include:

white bumps on the tongue or tonsils

bleeding when the bumps in the mouth are scraped by the teeth or a toothbrush

pain at the location of the bumps in the mouth

trouble swallowing

In infants, symptoms of oral thrush include trouble feeding, fussiness, and irritability.

How is green tongue treated?

The treatment for green tongue depends on its cause. In most cases, the cause is bacteria, fungus, or yeast. In these cases, treatment may include antifungal medication. Options include:

fluconazole

clotrimazole

nystatin

itraconazole

These at-home tips can also help your tongue recover from a bacterial, fungal, or yeast overgrowth:

Brush your teeth softly to avoid irritating lesions in the mouth.

Replace your toothbrush every day until the infection goes away.

Avoid mouthwashes or sprays.

Rinse your mouth with a saltwater solution.

Keep your blood sugar levels healthy if you have diabetes.

Eat plain yogurt to help rebalance the levels of good bacteria in your body.

When green tongue is caused by inflammation, treatment may include:

corticosteroids to reduce inflammation

antihistamines to reduce inflammation and stop an allergic reaction

over-the-counter pain relievers, such as ibuprofen (Advil)

For green tongue caused by inflammation, avoid foods and drinks that cause irritation to the mouth. Also avoid products that irritate your mouth, such as flavored toothpastes.

When the cause of green tongue is cancer, treatment depends on the stage, type, and exact location of the cancer. Treatment may include:

surgery

radiation therapy

chemotherapy

targeted therapy

nutritional therapy

For all cases of green tongue, proper treatment involves good oral hygiene. Brush your teeth at least twice a day, and ideally after every meal. Flossing is another important part of good oral hygiene.

Complications of green tongue

While green tongue has many causes, it’s often a sign of a bacterial, fungal, or yeast overgrowth. If there are lesions in the mouth, these substances can cause serious infections. It’s important to seek treatment for a green tongue right away.

What’s the outlook?

In most cases, green tongue will go away quickly with proper treatment. Be sure to follow your doctor’s treatment plan to ensure the best possible outcome.

(12/19/2023)
by Healthline

More Information: N


Views: 473
Share
Share

What To Do About A Smell When Flossing Teeth

As we all know, regular flossing is almost as important as regularly brushing your teeth. We all floss religiously every day, right? Obviously it can be hard to fit it into your daily routine, but it really is something that we should all make the time to do – either the traditional flossing or using a water flosser.

Flossing can remove extra particles of food and tartar that just brushing can’t, which can help you to avoid gum disease and bad breath.

If tiny pieces of food are left to sit in between the spaces of your teeth, they can attract bacteria which contribute hugely to the causes of decay, gum disease and tooth loss. It is worth being aware of issues that can arise as you floss, and how to deal with these issues.

The Problem

If you notice a smell when flossing teeth, then you may be worried this means you automatically have bad breath. What if people have been keeping their distance from you and you had no idea? Well, the bad news is that yes, this smell can mean that you have bad breath.

It doesn’t automatically follow, but chances are that it will, if you don’t get on top of it and sort that stink! A smell when flossing teeth is caused by particles of food, usually meat or some other fibrous substance, that is stuck between your teeth and is basically rotting. Sounds pretty grim, doesn’t it?

In the dental world, an “open contact” is what it’s called when, as you floss, you don’t hear a little popping sound as the floss gets between the teeth. There is no resistance, because the spaces between your teeth are wide enough to just let the floss in. An open contact does not necessarily mean you will have smelly floss, or smelly breath, but it does make it easier for food particles to get up in there, and stay there to fester.

What Causes The Smell?

As we have already discussed, food particles rotting away is what causes a smell when flossing teeth. If you want it in more scientific terms, here goes: The anaerobic bacteria responsible for gum disease are called Volatile Sulphur Compounds, or VSCs.

These VSCs are the same anaerobic bacteria that are ressponsible for halitosis, but having them present under the gums does not necessarily mean you are destined to have bad breath for the rest of time.

What To Do About It

It may sound too simple, but the solution is to floss more! You should also watch a video or two about how to floss correctly; you want to be scraping any leftover particulate off the sides of your teeth, so moving the floss up and down as well as sideways can really help, not just popping it in and out again thinking that you’ve done the job.

If you are looking for a more alternative way of cleaning your teeth, Oil Pulling is an ancient Ayurvedic technique that is growing in popularity these days. It involves putting a teaspoon of oil in your mouth, holding it in there and “swishing” it through your teeth and gums for about 20 minutes. It sounds a bit weird, and it can take a bit of practise to get used to the feeling of it, but the health benefits are (purportedly) amazing; ranging from whiter teeth to increased energy levels. Coconut oil is recommended as one of the best, but you can do it with pretty much any oil (although engine oil is not recommended)!

Regular visits to your dentist for deep cleaning is another really important thing to do. Going to the dentist can be scary, but it really doesn’t have to be – esspecially if you have kept on top of your cleaning regime so they can be impressed with your progress! A regular check up can help you keep on top of any hygiene issues you may have, and they can also perform a scale and polish, to remove any stubborn calculus and tartar and help keep your gums in the healthiest possible condition.

So, if you notice a smell when flossing teeth, it doesn’t mean you have to hide away from the rest of the world, fearing your bad breath coud raze armies. Simply look after your oral health, and floss well, and you can hold your head high knowing that your breat is as sweet as the rest of you.

(12/17/2023)
by Dental Care Club

More Information: https://dentalcareclub.co.uk/smell-when-flossing-teeth/


Views: 528
Share
Share

Why Do Teeth Feel Weird In The Morning?

It’s a common experience for many people to wake up and notice something feels “off” or strange about their teeth. You run your tongue across your teeth and they don’t quite feel like they normally do. What’s going on here? Why do teeth often feel weird or uncomfortable first thing in the morning? There are a few potential explanations.

Reasons Teeth May Feel Weird in the Morning

Dry Mouth

One of the most common reasons for teeth to feel odd in the morning is dry mouth or xerostomia. While we sleep, saliva production decreases significantly, allowing the mouth to become drier. Saliva helps cleanse the mouth and protect teeth from bacteria that cause cavities and other problems. With less saliva coating the teeth overnight, plaque bacteria can build up, leaving a weird feeling on the teeth.

Some factors that can contribute to dry mouth at night include:

Breathing through the mouth instead of nose during sleep – This can happen if the nose is congested from allergies or illness. Breathing through the open mouth causes air flow that can dry out the mouth.

Medications that reduce saliva flow – Hundreds of prescription and over-the-counter medications list dry mouth as a side effect. Common culprits include antihistamines, decongestants, antidepressants, diuretics, muscle relaxants, and opioids.

Medical conditions like diabetes or Sjögren’s syndrome – Sjögren’s syndrome is an autoimmune disorder that attacks the salivary glands, reducing saliva output. Uncontrolled diabetes can cause dehydration and decreased saliva flow.

Aging – Saliva production tends to decrease as we get older.

Radiation therapy for cancers of the head and neck – Radiation damage to the salivary glands is a common complication of cancer treatment, leading to chronically dry mouth.

Morning Breath

Morning breath is another reason teeth may feel strange when you first wake up. During sleep, bacteria continue to produce volatile sulfur compounds in the mouth which lead to the unpleasant odor many experience as morning breath. These sulfur compounds come from anaerobic bacteria feeding on food particles and dead cells shed from the oral surfaces. The sulfur compounds leave a weird metallic taste or feeling on the teeth.

While saliva flow decreases at night, allowing more bacterial buildup, morning breath can be exacerbated by:

Dry mouth – Insufficient saliva doesn’t wash away odor-causing bacteria as it normally would.

Food debris left on teeth overnight – Bacteria have more food source to act on.

Consumption of alcohol or caffeine before bed – Both alcohol and caffeine cause dry mouth which decreases the body’s ability to neutralize oral bacteria during sleep.

Smoking – Tobacco smoke encourages sulfur-producing bacteria. Smokers are more prone to morning breath.

Medications – Some drugs like sedatives, antihistamines, diuretics, and antipsychotics reduce saliva flow.

Poor oral hygiene – Not brushing or flossing before bed leaves more bacteria and food to break down overnight.

Buildup of Plaque and Bacteria

Plaque is a sticky film of bacteria, food particles, and saliva that builds up on teeth. While we sleep, saliva flow decreases, giving bacteria more time to multiply and adhere to teeth. New plaque forms on the teeth overnight. Until this fresh layer of plaque is removed by brushing and flossing in the morning, it can leave teeth feeling fuzzy.

The longer plaque sits on teeth, the more damage it can do. Plaque bacteria like Streptococcus mutans feed on carbohydrates from foods, producing acids that can erode tooth enamel, causing cavities. If left for too long, plaque can also harden into tartar or calculus that requires professional cleaning to remove. Tartar provides an environment where plaque can thrive.

Brushing first thing in the morning helps disrupt and remove this buildup before it leads to more serious dental problems like gingivitis and periodontal disease.

Gingivitis

Gingivitis is a type of gum disease marked by inflammation of the gums. It’s caused by a buildup of plaque along and under the gumline. The toxins from plaque bacteria trigger an inflammatory immune response, causing the gums to become swollen, red, and bleed easily. As gingivitis progresses, it can leave a weird sensitivity or tender feeling in the gums and teeth themselves.

In gingivitis, the plaque moves and accumulates below the gumline, where brushing and flossing cannot reach to remove it. Toxins produced by the plaque bacteria provoke the host inflammatory response. Left untreated, gingivitis can advance to periodontitis and damage the soft tissues and bone supporting the teeth.

Symptoms of gingivitis include:

Sensitive, painful gums

Red, swollen gums

Bleeding when brushing

Bad breath

Receding gums – a sign of progressing periodontitis

Gingivitis is generally reversible with professional treatment and improved daily oral hygiene. But if not properly managed, it can cause irreversible periodontal disease and eventual tooth loss.

Misaligned Teeth

For some people, teeth that are crooked or that don’t fit together properly can feel weird first thing in the morning due to nighttime clenching and grinding of the teeth.

Clenching or bruxism involves tightly pressing or clenching the top and bottom teeth together, often unconsciously while sleeping. This can put excessive force on the teeth, jaw joints, and muscles.

Grinding takes clenching a step further and involves forcefully rubbing the top and bottom teeth back and forth against one another. This grinding action can wear down tooth enamel over time.

Misaligned teeth are especially prone to nighttime grinding because there are more uneven surfaces rubbing against each other. This can make teeth feel uncomfortable or painful when waking up in the morning. The muscles of the jaw may also feel sore after a night of overuse due to clenching and grinding.

When to See a Dentist

While morning tooth weirdness is often harmless, certain symptoms warrant a dental visit. It’s a good idea to see a dentist if any of the following apply:

Teeth are extremely sensitive to hot or cold foods and drinks – This may indicate tooth decay, cracked teeth, or loss of enamel.

Gums are swollen, red, and bleed easily – These can be signs of gingivitis or periodontal disease. Bleeding gums never should be considered normal.

Persistent bad breath or bad taste in the mouth – Chronic bad breath can mean gum disease and tooth decay.

White, brown, or black spots appear on teeth – Discoloration may occur from enamel loss, trauma, medications, or cavities.

Teeth feel loose, cracked, or chipped – This can allow decay to advance and infect the pulp tissue inside the tooth.

Oral ulcers or sores that don’t heal – Prolonged mouth sores can indicate an underlying condition.

Jaw pain, stiffness, or difficulty opening and closing mouth – May signal TMJ/TMD disorders, tooth abscess, or other issues.

These can be signs of more serious dental problems like tooth decay, gum disease, oral infections, or TMJ disorders. When caught early, these conditions can often be treated more simply and affordably. Letting issues progress can lead to tooth loss.

Preventing Weird Morning Teeth

While waking up with odd feeling teeth is common, there are things you can do to help prevent it:

Have a Consistent Oral Hygiene Routine

Brush teeth twice a day and floss once daily – This removes plaque before it can harden into tartar and cause dental issues.

Use antimicrobial mouthwash – Rinsing with a mouthwash containing cetylpyridinium chloride, essential oils, or chlorine dioxide can help kill bacteria missed by brushing.

Clean tongue – Bacteria and dead cells on the tongue contribute to bad breath. Gently brushing or scraping the tongue reduces odor-causing buildup.

Avoid eating/drinking sugary or acidic foods and beverages which can degrade tooth enamel – Sugar feeds plaque bacteria while acids weaken enamel.

Drink water throughout the day to stimulate saliva flow – Staying hydrated prevents dry mouth.

Address Risk Factors

Get treatment for dry mouth – Your dentist may recommend moisture-retaining gels/lozenges or prescription medications to stimulate saliva flow.

Stop smoking and limit alcohol consumption – Both smoking and regular alcohol use increase oral bacteria accumulation and dry mouth.

Use a night guard if you grind your teeth – Custom night guards protect teeth from grinding damage. Reduce caffeine and manage stress to curb clenching.

Sleep with your mouth closed instead of open – Keeping your lips sealed prevents the airflow that can dry out your mouth at night.

Get Regular Dental Cleanings & Exams

Professional cleanings every 6 months remove hardened plaque and tartar that you can’t brush away. Tartar above and below the gumline fuels gum disease.

Routine exams detect early signs of decay and other problems like oral cancer – Your dentist can spot issues you may have missed and prevent extensive treatment later on.

Taking good daily care of your teeth and gums and seeing a dentist regularly are the best ways to keep your smile healthy and prevent that “weird teeth” feeling when you wake up!

(12/18/2023)
by CDHP Dental Health

More Information: N


Views: 603
Share
Share

Four Dental Hygiene Mistakes That Can Harm Your Oral Health

Home dental hygiene serves as your first line of defense against common dental and oral diseases. Between those important professional dental.

exams and cleanings, your home care practices can minimize plaque accumulation and help maintain strong tooth enamel.

However, even the most careful and concerned individuals can do more harm than good if they pursue their dental hygiene regimen incorrectly. If you want to get the most out of your everyday oral wellness efforts, eliminate these four dental hygiene mistakes from your routine and replace them with healthier alternatives.

1. Tooth Brushing Technicalities

Many people think of tooth brushing as a mundane activity that doesn't merit any special thought, brushing their teeth in whatever manner they learned in childhood or using whatever technique seems to remove food particles. Unfortunately, incorrect tooth brushing can make you more vulnerable to dental problems.

Aggressive brushing can harm your mouth in multiple ways, especially if you compound this error by using a firm-bristled toothbrush instead of a gentler soft-bristled model. The excessive force can contribute to enamel loss, making your teeth hypersensitive, while also causing your gums to recede and expose the tooth roots.

If you scrub your teeth with a simple back-and-forth motion, you may clean the tooth surfaces without also removing plaque from the gum line. This error allows bacteria to trigger inflammation and periodontal disease. Placing the toothbrush at an angle and gently sweeping vertically, away from the gum line, yields better results.

2. Flossing Errors

Flossing complements brushing in your dental hygiene regimen by removing debris between teeth and near the gum line that a toothbrush can't easily reach. However, this practice can be ineffective or even destructive if the wrong technique or product fails to remove food particles and/or irritates your gums.

Start by making sure that your choice of dental floss suits you. For example, if you have unusually tight spaces between your teeth, you may miss certain spots, which then develop tooth decay or gum disease. Ask your dentist whether you should purchase a particular type of extra-thin floss.

Don't make the mistake of scrubbing your teeth with the floss or jamming the floss down into your gums. A rough flossing technique can cause gum irritation and bleeding without providing any special benefits. Always floss gently and carefully, moving the plaque away from the gum line and out of the teeth without pressing on the gums.

3. Mouth Rinsing Problems

You'll find a wide range of mouthwashes available to help you rinse out your mouth and freshen your breath. Some mouthwashes boast ingredients known to kill oral bacteria, giving you additional protection against gum disease and tooth decay. Even so, you should choose your products carefully and use them wisely.

Some mouthwashes include alcohol as their antibacterial ingredient. Although the American Dental Association has deemed alcohol-based mouthwashes safe and effective, alcohol can also raise your risk for oral cancer. Consider alternating an alcohol-based mouthwash with non-alcoholic alternatives to minimize this risk.

Even water can rinse out your mouth to a useful degree by helping to dislodge or dissolve bits of food debris. If you have just brushed your teeth, however, you may want to wait a few minutes before rinsing with water. If you rinse immediately after brushing, you'll remove beneficial traces of fluoride from the toothpaste prematurely.

4. Insufficient Fluoride

Speaking of fluoride, your choice of toothpaste, oral rinse, and even everyday water can either help or hurt your dental hygiene. Cities typically add fluoride to tap water due to its ability to help support strong bones and teeth. However, not every toothpaste or other oral care product includes this vital ingredient.

Always read the label to make sure you buy a toothpaste that includes sodium fluoride as its active ingredient. If you prefer a toothpaste that doesn't contain fluoride, accompany it with an oral rinse that does. When you rinse your mouth with water, use tap water instead of bottled water.

(12/20/2023)
by Carlino And Paton, DDS

More Information: N


Views: 469
Share
Share

Oral Health Mistakes You’re Making And How To Fix Them

You’ve been told to take care of your teeth for as long as you can remember – but how do you know if you’re doing it right?

Brushing twice a day and flossing may seem simple, but there’s more you can do to maintain a healthy mouth.

To help you keep your gums in shape, we spoke to dentist Dr Richard Marques about the most common oral health mistakes, and how to fix them.

1. Using Toothpicks As Floss

We’ve all seen shots of Matthew McConaughey with a toothpick hanging out of his mouth, but it’s not good for those pearly whites. According to Dr Marques, using wooden toothpicks as a substitute for dental floss is risky as they can easily splinter and cause gum sensitivity.

“They’re also not particularly sanitary and can’t reach right between the teeth like regular floss can. If you find flossing with tape uncomfortable, try an air or water flosser,” he suggests. Superdrug's Pro Care Sensitive Floss is a great choice as it expands to gently clean wider gaps.

2. Ignoring An Issue

If you notice a problem, Dr Marques recommends you get to the dentist as soon as you can. “Ignoring a chipped tooth, however minor it seems, can lead to additional chips and cracks. If it’s sharp, it can also cause painful cuts inside the mouth. If it’s badly chipped, it could require more serious treatment, such as a root canal.”

That goes for regular check-ups, too. “No matter how well you take care of your teeth, you should always aim to visit the dentist every six months,” says Dr Marques. “They can detect problems you may not yet be aware of and treat them before they become a bigger issue.”

3. Sticking To A Manual Toothbrush

If there’s one key tool to keep your gnashers looking good, it’s an electric toothbrush.

As Dr Marques explains, “Electric toothbrushes take a lot of the work and worry out of your hands. Many have functions that allow you to control the speed and intensity to suit your needs. We just can’t recreate the oscillation that removes surface plaque from the teeth so effectively with a manual brush.”

So, which electric brush to choose? It all depends on what you’re focusing on. “Some have settings specifically designed for what you need to concentrate more on, such as whitening or fresher breath,” explains Dr Marques. “This is also true of the different types of heads. Rubber sections in the middle of some designs help more with stain removal, whilst others have softer bristles for more sensitive teeth.”

Pick up the Superdrug Pro Care Advanced Clean Electric Toothbrush for a gentle and effective option.

4. Opting For Boozy Mouthwash

Mouthwash is a common component of many oral hygiene routines, but how do you choose the best one? “Mouthwash that contains alcohol can actually dry out the mouth, leaving it more susceptible to bacterial growth and bad breath,” says Dr Marques. “Stick to alcohol-free rinses and make sure you swish it around the mouth for 30 to 60 seconds for a thorough clean and a healthier smile.” Try Superdrug's Pro Care Mouth Rinse as an alcohol-free option that gives you 12 hours fresh breath.

5. Mistreating Your Brush

“If you don’t allow your toothbrush to air-dry after brushing, bacteria can multiply rapidly on the moist bristles,” explains Dr Marques. “Keep your toothbrush in the open, where it can dry quickly (not in a cupboard, for example), and be particularly careful to dry the head as best you can before placing in a travel case.” Remember to change your head every few months, too.

(12/18/2023)
by Men´s Health

More Information: https://www.menshealth.com/uk/health/a32090932/oral-health-mistakes/


Views: 395
Share