Dentists Journal

Top Ten Stories of the Week
2/24/2024

All Dentists Journal · Previous Week · This Week · All Time List · Headlines

Share

Hydrated Silica in Toothpaste

If you're on the hunt for a new toothpaste or just feel like you need an added ingredient that will clean your teeth more efficiently, you may come across the term "hydrated silica." While cultures like the ancient Egyptians and Romans used eggs and oyster shells as teeth cleaners, we've luckily come a long way with abrasives for our teeth! Hydrated silica is a much gentler abrasive that, for the most part, is very safe to use on your smile. Let's go over what it is, its benefits, potential drawbacks, and why you should consider adding it to your oral care routine.

What Is Hydrated Silica?

Hydrated silica comes from a hydrated form of silicon. Did you know that silica is a substance that makes up a large part of the Earth's crust? The most common form of silica you may be familiar with is sand! But the hydrated version of silica is a substance used in many everyday items, like a coating to paper and textiles. You're also very likely to find this ingredient in your bathroom's medicine cabinet in some of your everyday products. Hydrated silica is a common ingredient found in many personal care products, including cosmetics and toothpaste. It's an abrasive, an absorbent, and a bulking agent in personal care product formulas and is perfectly safe to use in toothpaste.

Benefits of Hydrated Silica

The primary benefit of hydrated silica in toothpaste is its abrasiveness. Stains often settle on our enamel, the outermost layer of our teeth. Some kinds of toothpaste will whiten teeth with bleaching agents, such as hydrogen peroxide, which changes your enamel color. But whitening toothpaste with abrasive ingredients, such as hydrated silica, scrub the stains from the surface of your teeth.

The other useful quality of hydrated silica's abrasiveness is its cleaning ability. Our mouths are full of bacteria, which, when mixed with the foods and drink we ingest, can lead to dental plaque (biofilm). If you brush your teeth twice daily with a clinically proven toothpaste, you should be able to keep plaque at bay. However, when dental plaque isn't scrubbed away and begins to build up on your teeth, it can become a harder substance, known as tartar. You can't clean away tartar on your own, and because of its porousness, it will become an easy substance for even more plaque to adhere to. Only a dental professional can get rid of your tartar! Plaque and tartar contribute to tooth decay and gum disease, which is why it's vital to stop their buildup as soon as you can. Brush twice a day and clean between your teeth once a day with floss, an interdental brush, or another interdental cleaning device.

If you opt for a toothpaste with hydrated silica or other abrasive ingredients, confirm that the tube has the American Dental Association (ADA) Seal of Acceptance. The ADA only awards toothpaste with this seal if it has a relative dentin abrasivity score of 250 or less. That means that with regular daily use and a proper brushing technique, the toothpaste won't cause any wear on your teeth. By finding this seal on your preferred toothpaste, you're confirming it's both effective and safe!

The Drawback of Hydrated Silica

One drawback of abrasives in toothpaste is that they can lead to tooth sensitivity, especially if you brush very hard and do not brush with a soft-bristled toothbrush. The dentin and the pulp that lie beneath your tooth's enamel are sensitive. If your enamel becomes worn down, you could feel discomfort when brushing with a toothpaste that contains abrasives. It's just another reason to keep your mouth healthy and your enamel strong.

If you experience sensitivity, consult your dental professional. They can recommend which toothpaste and toothbrushes you should consider. They will also examine your mouth to root out the cause of your sensitivity. But hydrated silica toothpaste is, in almost all cases, a very safe and efficient toothpaste to use. Who doesn't love the feeling of smooth teeth in a white smile? If you don't experience any sensitivity, this toothpaste type can be your smile's best friend!

(02/16/2024)
by Colgate

More Information: https://www.colgate.com/en-us/oral-health/threats-to-dental-health/hydrated-silica-in-toothpaste


Views: 834
Share
Share

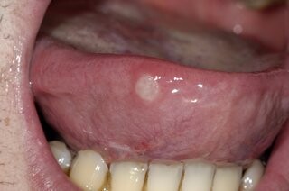
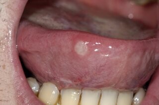
White Spot on Tongue: Causes And Treatment

You might notice a white spot on the tongue after experiencing discomfort or when checking inside your mouth after brushing your teeth. Most of these spots or patches go away by themselves, but it's worth visiting a dentist to have them checked out if they linger. Oral thrush, canker sores and leukoplakia are the most common causes of white spots on the tongue. Here are a few conditions that can cause white spots on your tongue, and when it's time to see your dentist.

Oral Thrush

Oral thrush, an overgrowth of a naturally occurring fungus, often appears when the immune system is depressed. Babies, denture wearers, patients with cancer, HIV and other immune-compromising conditions, anemia and diabetes patients, smokers and dry mouth sufferers are all at a higher than normal risk of developing oral thrush. A course of antibiotics can also trigger an attack.

It's rarely serious, but a long-term infection may require treatment. Creamy white lesions on the tongue are one sign of thrush; other symptoms include:

White patches in other areas of the mouth

Lesions that look like cottage cheese

Red, cracked corners of the mouth and lips

Loss of taste

Cotton mouth or dry mouth

Scraping oral thrush spots usually removes the white coating, but this can also cause slight bleeding.

Apthous Ulcers (Canker Sore)

A white spot on the tongue surrounded by a red, inflamed halo is probably an apthous ulcer, more commonly referred to as a canker sore. Aphthous ulcers is a painful inflammatory condition that occurs in the oral soft tissue and on the tongue - often as one or more oval/round or well-defined, grey-yellow ulcerations surrounded by redness..

These common and recurring lesions can be small or large and appear on their own or in groups. Canker sores are often painful, and scraping doesn't remove them.

Viruses, bacteria and immune system issues are some suspected causes of canker sores. Trauma, allergies, stress, cigarette smoking, medicines, hormones, iron and vitamin deficiencies make you more susceptible.

Leukoplakia

White or greyish patches called leukoplakia usually appear on the gums, the bottom of the mouth or the insides of the cheeks, but sometimes they appear on the tongue as well. Wiping or scraping does not change their appearance or texture, which may be thick or hardened. You would usually not have any symptoms from your leukoplakia.

Chewing or smoking tobacco and drinking alcohol cause most cases of leukoplakia, and about 75 percent of smokeless tobacco users develop leucoplakia. The condition also carries a small risk of developing into oral cancer - it is therefore important to see your dentist regularly for check of the leukoplakia.

Hairy Leukoplakia

Fuzzy white patches that appear on the sides of the tongue as ridges or folds are symptoms of hairy leukoplakia. These patches result from infection with the Epstein-Barr virus (EBV), which lasts a lifetime but remains dormant in the body until a weakened immune system sparks an attack.

When to Visit Your Dentist

If a white spot on the tongue doesn't go away after a week to ten days, visit your doctor to have it checked. Some conditions, like thrush, may go away on their own, but it's always wise to go see your dentist or doctor for a consultation to make sure it's not something more.

To help keep your mouth fresh and healthy and reduce the risks of white spots and other problems, brush twice a day with a fluoride toothpaste and quit smoking. We also recommend using a medicated alcohol-free mouthwash such as Peroxyl Medicated Mouthwash. This mouthwash facilitates healing and alleviates discomfort caused by minor mouth and gum irritations, such as aphthous ulcers, pericoronitis and trauma from fixed orthodontic braces. Most people experience white spots on the tongue at some point in their lives and for many they're a common occurrence. Though the spots are unlikely to be harmful, they could be a sign of something more serious. If you're concerned, a check-up at your dentist can put your mind at rest.

(02/17/2024)
by Colgate

More Information: https://www.colgate.com/en-gb/oral-health/mouth-sores-and-infections/white-spot-on-the-tongue-1215


Views: 656
Share
Share

What A Sore Throat And Tongue Can Mean

Having a sore throat is uncomfortable and inconvenient, and even more so when accompanied by a sore tongue. The combination of a sore throat and tongue isn’t a rare symptom of certain conditions, but your diagnosis depends on the other signs and symptoms you experience.

Causes of a Sore Tongue and Throat

Mouth ulcers are a common reason for a painful throat and tongue. Whether they’re caused by canker sores, cuts from sharp foods or bacterial infection, they can affect any of the soft tissues inside your mouth – including your tongue, inner cheeks and the gum tissue surrounding your teeth. However, don’t count out conditions such as candidiasis, thrush or burning mouth syndrome as other common reasons for a sore throat and tongue.

Signs and Symptoms

Patients who have any of these conditions typically show some or all of the following signs:

Tiny, red or white spots on the tongue and throat

Blisters containing fluid

Sore and swollen throat

Pain and difficulty swallowing

Tongue swelling

Sensitivity to hot foods

It’s also possible to have a fever and experience chills or sweating alongside this oral irritation.

Treatment Options

The first step in determining the cause of your sore tongue and throat is to find (and deter) the cause of the pain itself. Move to quit smoking, step up your oral health regimen by brushing after each meal and rinse your mouth daily. This type of mouth rinse has a bubbling action that specifically cleans and soothes ulcers and other mouth irritations. If your sore throat and tongue are indeed related to oral hygiene, this should eliminate the cause and promote long-term healing. Of course, feel free to use non-prescription medications such as lozenges and ibuprofen to reduce swelling in the interim.

When to See a Doctor

Most mouth sores and irritations typically disappear within 14 days. But if your sore throat and tongue return, or if it lasts longer than this period with no sign of clearing, make an appointment with your doctor. Alternatively, sore throats that are exceptionally severe – or bring with it fever of over 101, according to the America Osteopathic Association – might indicate a bacterial infection that requires antibiotic treatment. You may also be a candidate for more comprehensive treatments to tonsillitis, swollen glands or a thyroid condition.

Keep in mind cancers of the head and neck can also cause symptoms such as a sore throat and tongue, but symptoms often persist beyond a few weeks in spite of treatment. They may also be accompanied by hoarseness, coughing, trouble breathing, ear pain or unexpected weight loss, as explained by the University of Michigan Health System.

With proper dental care and a good oral care regimen, however, you can protect your teeth and tongue from basic health problems and deal with related concerns immediately when they arise.

(02/17/2024)
by Sherwood Dental

More Information: https://sherwoodparkdental.ca/sore-throat-and-tongue-1215/


Views: 445
Share
Share

Don’t Ignore The Dentist: The Dangers of Putting Your Oral Health on Hold

If there’s one thing that we’ve learned about the human body, it’s that even healthy people need to see a dentist. So what happens when you avoid the dentist? Chances are, you’ll end up with more invasive treatments to save your oral health in the future. In this article, we’re going to detail why avoidance of the dentist is bad and how Stonebrook Family Dental can help those who have been putting off dental care for too long now.

The Importance of Dental Health

If you’re one of the many people who is adamant about not seeing a dentist because oral health isn’t something that’s traditionally discussed, it may be time to change your tune. We cannot stress enough how important oral hygiene and oral health can mean for our overall wellness. For example, if you have an oral infection like gingivitis or another oral condition, it can lead to inflammation throughout the rest of your body. This could be a sign that you have oral health concerns and need treatment from Stonebrook Family Dental as soon as possible!

Regular Checkups Are Important

Even if you’re not experiencing any oral problems or symptoms, regular checkups are important for oral hygiene. Your oral health can deteriorate quickly and oral problems do not always manifest with pain or discomfort. Going to the dentist every six months will allow Stonebrook Family Dental to properly check your mouth for any issues as well as clean it, which is a crucial part of oral hygiene. The Oral Health Foundation explains that dental appointments shouldn’t just be made when you have a problem that needs to be addressed. Prevention is always better than needing a cure! 

What to Expect at Dental Checkups 

When you have an appointment for a dental visit, it can help you feel more relaxed to know what to expect. If it’s been a while since your last oral health checkup, Stonebrook Family Dental may take x-rays of your mouth to get an accurate look at how everything is working together inside. Our team will also perform an oral cancer screening and make sure that any oral problems are being treated. From there, a dental hygienist will thoroughly clean your teeth and gums so you leave with a cleaner-than-ever smile! 

During oral health checkups, Stonebrook Family Dental will also go over the basics of oral hygiene with you. This will help ensure that your at-home oral care is on track. Additionally, if there are any issues, they can be solved before they become serious problems.

Common Dental Health Problems 

There are several oral health problems that can go untreated if you avoid the dentist. For example, plaque buildup is something that every person experiences at some point due to poor oral hygiene practices. Plaque buildup bacteria hardens into tartar and causes gum disease.

The signs of gum disease include:

– Increased sensitivity to hot and cold

– Bleeding gums

– Swollen or tender gums

Sometimes oral health checkups will also lead to the discovery of oral cancer. This is an extremely serious condition that not only affects your oral health but overall wellness as well. If you have symptoms like:

– Obstructions in the oral cavity

– Ulcers that do not heal within two weeks

Oral health conditions like oral cancer and oral infections can be more serious threats to your oral health, but they’re also treatable when caught early.

At Home Dental Care

If you already have oral health checkups every six months, it’s likely that your at-home oral care routine is on point. No matter how frequently you see the dentist, though, there are certain things everyone needs to do in order to maintain proper oral hygiene practices.

Oral Hygiene Tips

You should be brushing and flossing your teeth twice a day, every day. Make sure you’re using an oral care routine that is gentle and doesn’t irritate the tissues in your mouth as well as a soft-bristled toothbrush. Be aware of how long you’re brushing for – two minutes should be enough time to clean all surfaces of each tooth!

You should also be using oral rinses to help keep your mouth clean and free of plaque buildup. If you have a specific oral health condition that requires treatment, then Stonebrook Family Dental may prescribe an oral rinse for this purpose.

(02/16/2024)
by Stoned Brook Family Dental

More Information: https://www.auroradentist.com/dont-ignore-the-dentist-the-dangers-of-putting-your-oral-health-on-hold/


Views: 497
Share
Share

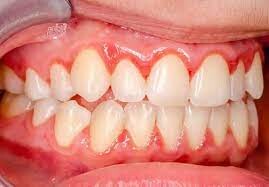
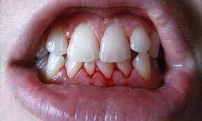
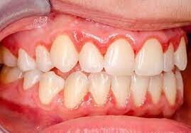
What Is Pyria? How Can It Be treated?

If your gums bleed easily after eating or brusing your teeth you may have early onset of pyria. Pyria is the technical term for gum disease, which usually occurs when gum health decays and you end up with bleeding gums. Pyria is ususally a symptom of poor dental hygiene, where the person is not brushing often, or not adequately enough leading to bacteria growth in and around the gums.

Treatment

Pyria can be treated easily by a dentist, and gums can be repaired, however teeth cannot be repaired and will often decay beyond the point of repair by the time high levels of pyria set in.

It’s important for people to brush over the gum-line and floss in-between teeth at least twice a day; brushing gently but thoroughly taking care to brush over all the teeth as well as the gums.

(02/19/2024)
by Linked in

More Information: https://www.linkedin.com/pulse/what-pyria-how-can-treated-dr-harish-rathi


Views: 557
Share
Share

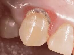
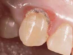
Why Are My Teeth Becoming Transparent

Have you noticed that your teeth appear transparent or translucent, especially around the edges? While this may seem troublesome at first, this is, unfortunately, a common condition. Multiple layers make up your teeth and contribute to your tooth coloration. The outer layer, known as enamel, is semi-translucent and acts as the protective layer. Underneath, the dentin is typically an off-white, gray or yellowish color.

Together, these layers give you your natural tooth color. However, when the enamel wears away, it can lead to a transparent appearance and dental concerns.

 If you notice the appearance of your teeth changing, it is essential to seek dental care as soon as possible.

CAUSES OF TRANSPARENT TEETH

The transparent appearance of teeth is due to the breakdown of your tooth’s enamel. This can occur for a variety of different reasons but is most commonly due to acid erosion. Some common causes of enamel erosion include:

Regular exposure to acid food and beverages – Consuming highly acidic foods and beverages on a regular basis can gradually break down the enamel on your teeth. Some of these foods and drinks include citric fruits, coffee, and soda.

Acid reflux or GERD – With severe acid reflux or gastroesophageal reflux disease (GERD), you can experience frequent acid regurgitation. This acid exposure can contribute to enamel erosion.

Celiac disease – While most people think of celiac disease as something affecting the gastrointestinal tract, the fact is it can affect much more, including the enamel development of your teeth, making them more prone to erosion.

Bulimia – This eating disorder does not just affect your overall health, but also your teeth enamel. Regular vomiting exposes the teeth to stomach acid on a regular basis, leading to enamel erosion.

Enamel hypoplasia – This is a genetic condition that causes weak, thin, or non-existent enamel to form on the teeth. The enamel that does form is overly susceptible to acid erosion and often results in complete dentin exposure.

Dry mouth – Certain medical conditions, such as Sjogrens, or medications can contribute to dry mouth. A persistent dry mouth increases your risk of enamel erosion, as well as dental cavities, as the saliva helps provide enzymes that fight cavities.

TRANSPARENT TEETH AND ORAL HEALTH

When you notice transparency appearing in your teeth, your biggest concern may be their appearance. Unfortunately, the appearance of your teeth is the least of your concerns. Eroding tooth enamel puts you at risk of dental concerns. You will likely experience tooth pain and sensitivity as the enamel erosion progresses. Without the protective layer of enamel on your teeth, you are also at an increased risk of dental decay and cavities.

TREATING TRANSPARENT TEETH

If you notice a transparent appearance to your teeth, it is essential to seek dental care as soon as possible to reduce your risk of more serious tooth damage. When it comes to addressing enamel erosion, you have a few different treatment options available.

PORCELAIN OR COMPOSITE VENEERS

Dental veneers are typically a cosmetic treatment option to improve your smile by covering chipped teeth, closing a gap between teeth, or reshaping misshaped teeth. But they can also be a great treatment option to protect your teeth when enamel erosion occurs. Dental veneers are a thin cover made of porcelain or composite material that sticks to the surface of the tooth. This helps to give you back a natural-looking tooth appearance while also providing protection to your tooth, reducing the risk of dental decay.

DENTAL BONDING

Bonding is similar to veneers in their outcomes but works a little differently. While veneers are a premade cover for your tooth, dental bonding is a composite resin that your dentist applies to the surface of your tooth, molding it to fit. The material then hardens and is polished to achieve the desired result. This can take place usually in one dental appointment and helps to protect your tooth from bacteria and dental decay and gives you back a natural-looking appearance without the enamel transparency.

DENTAL CROWNS

Dental crowns are a good option when the enamel of the entire tooth is affected. A crown is a dental prosthetic that fits over your current tooth and helps to provide protection from bacteria and decay and help support the structure of your tooth.

ENAMEL MICROABRASION

Enamel microabrasion can work in cases where tooth transparency is in the early stages. This treatment option uses a weak acid to polish the tooth before applying a mineral tooth cream to reduce the enamel erosion and reduce the progression of transparency.

PREVENTING TEETH FROM BECOMING TRANSPARENT

While a regular oral hygiene routine and regular dental checkups can help prevent enamel erosion, it isn’t always enough. An underlying medical condition can increase your risk despite the best oral hygiene routine. However, there are some things that you can do to help reduce your risk of enamel erosion and tooth transparency. These include:

Increase water intake to increase saliva production.

Chewing sugar-free gum in between meals helps increase saliva and reduce erosion risk.

Limit consumption of high acid foods and beverages.

Use a straw when drinking acidic beverages as it limits contact with teeth.

Rinse your mouth after eating or drinking acidic foods or beverages.

Avoid all acidic foods and drinks if you suffer from acid reflux.

Tooth transparency is much more than just a cosmetic concern and can lead to more severe dental concerns if left untreated. 

 

(02/19/2024)
by New Leaf Rohnert Park

More Information: https://www.newleafrp.com/blog/why-are-my-teeth-becoming-transparent/


Views: 638
Share
Share

How bacteria’s in your calculus can cause you general health issues?

Dental plaque is a known risk factor for developing gingivitis and other general health issues. However, when plaque build-up in your mouth, it can turn into an even greater threat to your dental and overall health, known as calculus. Calculus creates a conducive environment for dental bacteria, and its action can pose a severe threat to your general health.

Fortunately, there are ways to minimize the risk of developing these dental bacteria-related health problems. One of the most effective methods is a regular scale and clean. In this blog post, we will discuss how bacteria in your calculus can cause you general health issues and how regular scale and clean can help avoid those issues.

What is Calculus?

First things first, it is important to understand what calculus is before discussing some of its negative effects on general health. Simply stated, calculus is calcified bacterial plaque that forms on the teeth’ enamel and below the gum line. Calculus cannot be removed by normal brushing and flossing. One will need to see the dentist for its removal.

How can bacteria in your calculus cause you general health issues?

• Stroke

Stroke is one of the leading causes of death globally. It is caused by a number of factors, including high blood pressure, cholesterol, and age. However, one of the most important risk factors for stroke is dental bacteria.Dental bacteria can damage arteries in your neck and brain. They can also cause inflammation, which can lead to artery blockages.

• Heart Disease

Heart disease is the leading cause of death in Australia and across the world. There are several factors that can heighten your risk of developing heart disease, including smoking, being overweight, and having high cholesterol levels. Dental bacteria can also play a role in increasing your risk for heart disease.

It can cause inflammation and infection in the heart. Inflammation can lead to atherosclerosis, which is a plaque build-up on the inside of arteries. A build-up of plaque can block blood flow to and from the heart and cause a heart attack.

• Respiratory Illnesses

The bacteria on calculus can easily travel from the mouth to the lungs aggravating the respiratory system. This can lead to complications such as infection, pneumonia, and bronchitis.

• Pregnancy Complications

There are a number of pregnancy complications that can be caused by dental bacteria. These can include pre-term birth, low birth weight, and even stillbirth. In some cases, the infection can go ahead and spread to the baby’s brain and cause serious problems. If you’re pregnant, it’s vital to talk to your dentist about your risk factors for dental bacterial infections and how to protect yourself from them.

How regular scale and clean can help avoid general health issues?Oral health is a vital part of life, and it’s important to ensure your teeth are healthy. Everyone should practice brushing and flossing daily. However, apart from brushing and flossing on a daily basis, it is vital to have a scale and clean at least twice a year. It helps remove plaque and calculus and thus prevents severe general health issues, as discussed above.

Here are some of the benefits of Scale and Clean:

• Plaque Removal

Professional dental scales and cleaning can help to remove plaque and bacteria that can cause tooth decay, gum disease, and other general health problems. It also helps to restore your teeth’s natural color and clarity. It is quite difficult to remove plaque from your mouth, and that is why you need a dental scale and clean.

• Calculus Removal

Unlike plaque, calculus is hard and cannot be removed by brushing and flossing at all. You will require a dental scale and clean to remove it. The dentist has special dental tools that can reach every nook and cranny of your teeth and remove plaque. When you leave calculus to sit on your teeth and below the gum line, it means you are giving bacteria a chance to thrive. And apart from these bacteria ruining your smile, they might also bring you some general health complications.

• Protects Your General Health

Professional dental scaling and cleaning can help protect your overall health. Removing harmful bacteria and debris from your teeth and gums can help reduce the risk of tooth decay, gum disease, and other general health issues.

Bottom Line

There you have it; dental hygiene is a very important part of your life. Poor dental hygiene can lead to calculus formation, which in turn can damage your oral and general health. Therefore, it is important to visit your dental professional at least twice a year for a dental scale and cleaning.

(02/20/2024)
by Springvale Dental

More Information: https://www.springvaledental.com.au/blog/how-bacteria-in-your-calculus-affects-your-general-health/


Views: 505
Share
Share

What Types Of Mouth Wounds Are The Most Common?

When it comes to mouth wounds, it is important to know the different types and understand how to treat each of them. Whether you’ve bitten your tongue, suffered a burn, or have an ulcer, these injuries can be annoying and painful. In this article, we will explore the various types of mouth wounds and provide helpful tips for your proper care.

What are mouth wounds

Mouth wounds are injuries that occur inside the mouth and can affect the lips, gums, tongue, cheeks, or palate.

Mouth wounds are often painful and can cause discomfort when talking, eating, or brushing your teeth. They may also bleed and cause inflammation or swelling. It is important to properly treat mouth wounds to facilitate healing and prevent infections.

Most common wounds in the mouth

Here are the most common types of wounds that may appear in the mouth:

Lacerations and cuts

Lacerations and cuts in the mouth can occur due to accidental bites, hard foods, or even sharp objects. These wounds can cause pain and bleeding. If you encounter a laceration in your mouth, rinse it with warm water and apply a cold compress to reduce swelling. If the wound is deep or does not stop bleeding, seek medical attention immediately.

If we allow more time to pass this problem in our mouth, in addition to the pain and discomfort will increase significantly, the solution may be harder to find.

Burns

Burns in the mouth can be caused by hot food or liquids. They can result in pain, swelling, and blistering. To relieve discomfort, rinse your mouth with cold water and avoid hot foods and drinks. Apply ice externally if you experience swelling. If the burn is severe or does not improve in a few days, see a healthcare professional.

Mouth ulcers

Mouth ulcers, also known as canker sores, are small painful lesions that can appear on the lips, gums, tongue, or inside the cheeks. They are often caused by stress, irritation, or viral infections. To relieve pain and promote healing, rinse your mouth with a saline solution and avoid spicy or acidic foods. If ulcers persist for more than two weeks, it is advisable to seek medical attention.

Prevention of wounds in the mouth

If you want to avoid the appearance of any pupa in your mouth, we leave you a series of tips and tricks so that you do not suffer them:

Watch your eating habits: Avoid biting hard or hard-to-chew foods, such as ice cubes, nuts, or hard candy. Cut food into smaller pieces to make it easier to eat.

Use mouth protection: If you play contact sports, use an appropriate mouthguard to prevent injury to your teeth, gums, and lips.

Avoid biting on non-food items: Do not use your teeth to open bottles, tear labels, or other activities that may damage them. Use proper tools instead.

Maintain good oral hygiene: Brush your teeth at least twice a day and floss to prevent bacteria and plaque buildup that can cause irritation or infections in the mouth.

Visit the dentist regularly: Regular visits to the dentist will allow you to detect any oral problem before it becomes a more serious injury. In addition, the dentist can offer you personalized tips to prevent mouth injuries.

(02/18/2024)
by Gross Dentistas

More Information: N


Views: 566
Share
Share

Five Things You Might Be Missing in Your Oral Healthcare Routine

We all want to have beautiful, bright, and healthy smiles. While regular dentist visits are certainly part of that, having a good oral healthcare routine at home is crucial. If you’re brushing and flossing regularly, you’re a step ahead of the game—but are you using the proper techniques? What else could you be missing? If you’re like most dental patients, you’re probably missing quite a bit.

There are plenty of factors at play when it comes to oral hygiene, and most people tend to stop at brushing and flossing. If you want your mouth to be as healthy as possible, you’ll need to take a more comprehensive approach. Let’s look at a few simple, often-overlooked ways to enhance your oral health.

1. Drinking water

Did you know that drinking water can have a direct impact on how healthy your teeth and gums are? Water helps flush away bacteria and food particles throughout the day, decreasing the opportunity for cavities and tooth decay. If your community adds fluoride to the drinking water, you also get the benefit of added enamel strength to create a protective barrier for your teeth. For those who suffer from dry mouth, drinking water regularly is crucial to supplementing saliva production to avoid bad breath, sores, tooth decay, and gum disease.

2. Applying the right brushing technique

Using the proper brushing technique starts by holding your toothbrush at a slight angle—not directly parallel to your teeth. With the bristles aimed toward the line where your tooth meets your gum, brush in slow, small circles, moving up and down. Make sure you are using the right kind of pressure for your toothbrush bristles (don’t brush too hard if you have firmer bristles, since this can cause your gums to become irritated).

3. Cleaning your toothbrush

When is the last time you thought about cleaning your toothbrush? Do you set it on the counter after brushing without giving it a second thought? Cleaning your toothbrush is a great way to ensure that you aren’t letting bacteria, mold, or yeast invade your mouth. Rinse your toothbrush under running water after brushing, and make sure to store it off the counter, in the open air. Keeping the bristles covered (such as in a travel toothbrush container) could encourage harmful bacteria growth.

4. Using mouthwash

Mouthwash may feel like a frivolous addition to your shopping cart, but it actually has a lot of benefits for your oral health. Using mouthwash after you brush at night can help remineralize your teeth, supporting enamel strength and creating a barrier against bacteria, plaque, and decay. Mouthwashes can also seep into hard-to-reach areas that might be missed while brushing and flossing, ensuring that your mouth is as clean as possible before bed.

5. Flossing correctly

Even if you’re flossing every day, there’s a good chance that you aren’t doing it correctly. To get the best results while flossing, you should:

Floss before you brush to loosen plaque and free any food debris

Make sure to cut off enough floss; you should be using anywhere between 12–18 inches each time

Use gentle, slow, circular motions to avoid damaging your gums

Curve the floss into a C shape along your gum line to remove hidden bacteria and plaque

Establishing a comprehensive oral healthcare routine does take some extra effort, but the end result is more than worthwhile—a healthy, beautiful smile that you can be proud of for years to come. Use these tips to take your oral health routine.

(02/21/2024)
by Caputo Dental

More Information: https://paulcaputodds.com/five-things-you-might-be-missing-in-your-oral-healthcare-routine/


Views: 408
Share
Share

How Do Tooth Extractions Help You Avoid Future Oral Health Issues?

You may have heard that tooth extractions in Elm Grove are often used to help prevent more serious dental issues, and can actually help you restore your oral health. Is this true? The answer is “yes!”

At Honest Teeth, extractions are always our last resort. But there are some cases in which they may be the best option for restoring your oral health. Read on, and get more information about when an extraction from Dr. Meinerz or Dr. Krueger may be the right choice. 

Eliminate The Risk Of Tooth Damage Or Crowding From Wisdom Teeth 

The most common type of tooth extraction is wisdom tooth extraction. These are our last set of molars, and this third set of molars starts to emerge between 17 and 25 years of age.

They are a natural part of the mouth, but the wisdom teeth often cannot fit into your mouth properly, especially if you have had orthodontic treatment like braces. This can cause them to erupt improperly, damage nearby teeth, and cause changes to the bite. 

If you have space in your mouth for your wisdom teeth and they aren’t causing you any issues, there’s no reason not to keep them. But if Dr. Krueger or Dr. Meinerz believes that your wisdom teeth are not erupting properly, they may need to be extracted to protect your oral health. 

Avoid Serious Infections From A Decayed Or Broken Tooth

If you have a tooth that’s severely decayed and infected, or has been broken by an oral injury like a slip and fall, extraction may be the best choice. Dr. Meinerz or Dr. Krueger may try to save it with root canal therapy, but this is not always possible.

If the tooth cannot be saved, it must be extracted. This is because if your damaged tooth is left in place, it will continue to cause you a lot of pain and discomfort. It could even cause a life-threatening blood infection called “sepsis.” 

For that reason, tooth extraction is usually the best option for a tooth that’s too damaged or infected to save with endodontic treatment like a root canal.

Restore Your Oral Health After Periodontal Disease 

If you have a serious case of gum disease, you may have one or more teeth that are severely damaged and have become loose. These teeth can cause a lot of pain, discomfort, and sensitivity. 

At Honest Teeth, we offer periodontal care that can help you eliminate or halt the progression of gum disease. But if the condition is very severe, it may be a better idea to remove the teeth that have been severely damaged.

This is because extracting the damaged tooth will help relieve your pain and discomfort, and can also help eliminate a major source of bacteria that can contribute to periodontal disease. Dr. Meinerz or Dr. Krueger will help you understand whether or not extractions may be necessary to treat your case of gum disease.

(02/20/2024)
by Honest Teeth

More Information: https://www.honestteeth.com/blogs/2020/10/19/how-do-tooth-extractions-help-you-avoid-future-oral-health-issues


Views: 533
Share