Dentists Journal

Top Ten Stories of the Week
6/1/2024

All Dentists Journal · Previous Week · This Week · All Time List · Headlines

Share

Why Your Mouth is Having Unexpected Dental Pains?

There are tons of factors that can cause teeth pain suddenly. Whether you have a broken tooth or swelling in the gums, it can interfere with your everyday activities. It can also cause trouble while speaking or eating food.

In case of dental emergencies, contact Glastonbury dentist at Steven F. Hinchey, DMD for a quick appointment and excellent dental care. The skilled and dedicated emergency team is available 24*7 to evaluate and fix your situation.

Causes of Sudden Tooth Pain

Below are the reasons why your teeth have severe pain:

Exposure to Extreme Cold or Heat

Exposed teeth nerves or worn out enamel causes tooth sensitivity. Thus when you drink or consume something with extremely higher or low temperatures, you feel a sudden pain in the tooth.

Crowded Teeth

Crowded teeth can happen naturally or due to genetics. It can cause pain sensation in mouth and jaw misalignment. Other signs associated with it include changes in teeth over time, crooked teeth, or pain in the back of the mouth. Remember, it is not just restricted to the mouth, patients may also face headaches.

Gum Recession

With time gum tissues in our mouth start wearing out. Moreover, when you use an old or hard toothbrush, it puts a lot of pressure on the teeth and gums. This causes gum recession that leaves teeth roots exposed.

It makes you more prone to severe tooth infection or gum disorders. You can brush gently daily using teeth sensitive toothpaste to drive bacteria away.

Enamel Erosion

Enamel is the first line of defense for teeth against diverse chemicals they get exposed to form body fluid and food. However, dentin hypersensitivity causes lots of discomfort while eating highly acidic food. Due to this, enamel starts wearing out.

This causes sharp pain when you bite certain foods. Remember, enamel erosion takes a very long time. Thus, if you already dealing with enamel erosion, you can prevent it from becoming more problematic.

Tooth Decay

Decay starts when some oral bacteria multiply and generate higher acid levels. Once it starts progressing to cause an infection, you experience tooth pain. Without treatment, the bacteria may also cause a dental abscess in the pulp. It typically makes the tooth more painful than ever before.

Gum Infection

Sometimes sudden tooth pain is also caused by an infection in the gums. Did you know periodontal disease affects more than 47% of adults over age 30? It attacks the tissue that keeps the teeth linked to the gums.

If left ignored, it can progress to a much more severe gum condition known as periodontitis. If you have periodontitis, do not wait to speak to your dental expert for emergency dental care.

Cracked/Damaged Tooth or Crown

A cracked tooth or crown causes teeth exposed to the sensitive inner layers. This causes sensitivity when you bite food. It also triggers tooth pain. Remember, the longer the pain stays, the more serious is the damage.

Sinus Infection

Pain in teeth and jaw is also a sign of sinus infection. As your sinuses become inflamed due to infection, they can compress the nerve endings of teeth.

You may also feel the ache on either side of your nose, between your eyes, in upper teeth and jaws, and your forehead. Life is too short to struggle with this kind of infection. Visit an emergency dentist near you for urgent dental care to ease your signs.

Bruxism

Grinding jaws are caused by sleep disorders, tension, or bite problems. Grinding teeth while sleeping cause wear and tear of enamel and cause crack. It also results in chronic tooth sensitivity.

When to See a Doctor?

There are certain symptoms that you should never ignore them. Visit your emergency dentist right away if you experience the following dental emergencies:

Throbbing pain that does not go away

Migraine or thunderclap headache that extends to the teeth

Tooth pain that lasts for 48 hours+

Have developed hypersensitive teeth overnight

Fever that seems to coincide with the toothache

There is a myriad of reasons why you might feel a sudden pain in your teeth. The sooner you fix it, the better it is for your oral as well as overall health. Emergency dentistry in Glastonbury CT will offer a quick dental procedure to relieve your pain.

(05/25/2024)
by Steven F Hinchey DMD

More Information: https://dochincheydmd.com/why-your-mouth-is-having-unexpected-dental-pains/


Views: 505
Share
Share

Ear Pain? Headaches? Dizziness? It Could Be Your Teeth

It has been ingrained in all of us that when we experience pain we should see our doctor. However, did you know that your dentist is considered a doctor? In face, she or he may actually be the first person you should visit if you experience frequent headaches, dizziness, or ear pain. Most physicians are trained to treat the symptoms that their patients experience and complain of. For example, patients with recurring headaches typically receive a prescription for a pain reliever and possibly a muscle relaxer.

However, while pain meds may work for a while, if the underlying cause of your symptoms is not found then your pain will continue – and usually get worse. If you are experiencing constant headaches, ear pain or ringing, or unexplained dizziness then it is time to call Muccioli Dental. Drs. Lydia and Randy Muccioli are experienced doctors of dentistry who offer effective relief of Temporomandibular Disorder (TMD), which is the most common cause of these symptoms.

The most common factors in TMD are clenching the jaw, grinding the teeth, and malocclusion (a bad bite). All three of these factors put an enormous amount of stress on the temporomandibular joint, which sends referred pain to other locations throughout the skull. In many cases, a physician is actually unwittingly steered away from a proper diagnosis because patients may complain of pain at the base of the skull – having nothing seemingly to do with the TM joint. However, at Muccioli Dental we are extremely familiar with TMD and how its pain can radiate anywhere in the head, neck, and even shoulders. If you are suffering from any sort of headache pain, ear pain, or dizziness please contact Muccioli Dental for a precise diagnosis.

Muccioli Dental is a comprehensive dental practice that offers safe and effective treatment for TMD. You do not need to continue suffering or increasing your pain medication simply because you have not found relief. Let our well renowned dentists expertly diagnose and treat your issues. Call today.

(05/25/2024)
by Muccioli Dental

More Information: https://www.mdentalsmiles.com/blog/teeth-can-cause-your-pain/


Views: 373
Share
Share

What Is Causing Your Mouth Pain And What Can You Do?

Mouth pain has many possible sources, including injuries, sores and certain diseases. Keep reading to learn the potential causes of your mouth pain.

Injury

You may experience some pain in your mouth if you have had an accident, such as falling over and biting your your lip or tongue. This can cause discomfort and tenderness on the inside of your mouth.

Similarly, you can injure our mouth by biting into food that is too hot. This could result in the roof of your mouth becoming burnt.

Dry Mouth

The salivary glands in your mouth produce saliva that helps to keep your mouth hydrated. If these glands stop producing as much saliva, it causes dry mouth. This can lead to mouth sores or a rough tongue.

In most cases, dry mouth is caused by dehydration but there are other causes, such as certain medications and cancer treatments.

Herpes Simplex Virus

HSV is the virus that causes cold sores

Although cold sores are usually associated with the lips, if you have only recently been infected with the virus, you may develop painful lesions on your tongue, gums and throat.

other symptoms of the virus include:

A sore throat

Swollen lymph nodes

A fever

Muscle aches

Other Infections

As well as HSV, there are other diseases that can cause painful lesions to occur in your mouth:

Chickenpox

Shingles

Hand, foot and mouth disease

HIV

Infectious mononucleosis

Oral Thrush

Oral thrush is a fungal infection and anyone can get it but you will be more prone to infection if you have a weakened immune system or underlying health conditions.

Oral thrush can appear as cream-coloured lesions in many places within your mouth.

Oral Cancer

Oral cancer can affect many areas of the mouth including:

Roof of the mouth

Insides of the cheeks

Back of the mouth

Tongue

Salivary glands

Gums

Some of the most common symptoms include:

Painful lesions that won’t heal

Lumps or growths

White or red patches inside the mouth

Pain or difficulty swallowing

Numbness in the lower lip, face, neck or chin.

Risk factors include:

HPV infection

Heavy alcohol consumption

A weakened immune system

A family history of cancer

Being male

Home Remedies For Mouth Pain

Take an over the counter painkiller like ibuprofen or paracetamol.

Make a saltwater rinse.

Apply ice.

Avoid spicy, acidic or salty foods.

Drink more fluids.

Avoid smoking.

Brush and floss your teeth gently.

(05/24/2024)
by Newby Dental Practice

More Information: https://www.newbydentalpractice.co.uk/what-is-causing-your-mouth-pain-and-what-can-you-do/


Views: 379
Share
Share

All About Herpes in the Mouth

Of all the possible sores found in the mouth and on the lips, some of the most common ones are caused by herpes, a type of sexually transmitted infection (STI). Read on to learn how prevalent herpes inside the mouth is, how it's contracted, and what treatments can relieve the symptoms.

How Common Is Herpes in the Mouth?

According to the World Health Organization, about 67 percent of the world's population lives with a herpes infection (HSV-1). During 2015-2016, data from the United States National Health and Nutrition Examination Survey estimated that the prevalence of HSV-1 among Americans was 47.8 percent.

How Is Herpes in Your Mouth Contracted?

Oral herpes can be easily transmitted from one person to another by contact, such as kissing and shared utensils or toothbrushes. Children often contract the virus because of their curiosity and their affinity for exploring objects with their mouths.

Once a person contracts HSV-1, it can lie dormant for months or years. Factors such as stress, excess exposure to sunlight, and trauma to the lips and oral cavity may cause a breakout of sores on the lips and mouth. Female patients may also experience an outbreak in the mouth due to the hormonal changes initiated by menstruation.

Where Does It Occur?

Herpes in the mouth is located mostly on the lips or near the mouth. However, sores may also appear elsewhere on the face, tongue, or gums. Make sure to practise good hygiene and avoid touching the sores or picking at scabs when sores are healing, to prevent the virus from spreading to other parts of your body.

What Exams and Treatments Are Available for HSV-1?

Oral herpes can be difficult to diagnose. It is often confused with many other infections and can only be confirmed with a virus culture called PCR, blood test, or biopsy. The treatment for each case of oral herpes may vary due to factors such as severity and location.

Symptoms could last from seven to 10 days in the first outbreak. Subsequent outbreaks may heal completely in eight to 10 days. Medications can sometimes eliminate symptoms faster than if they were left to heal without intervention. Ask your physician or dentist about over-the-counter and prescription antiviral medications that can be used to treat herpes.

Medication is most effective when the symptoms are just starting (prodromal stage) and can stop the virus if treated early. However, once herpes in the mouth forms raised, blister-like lesions known as vesicles, the medication will likely not be as effective.

Talk to your primary care physician or dental professional if you suspect a herpes outbreak in or around your mouth. They will be able to properly diagnose your condition and help get you on the road to recovery and a pain-free smile.

(05/24/2024)
by Colgate

More Information: https://www.colgate.com/en-za/oral-health/mouth-sores-and-infections/all-about-herpes-in-mouth


Views: 494
Share
Share

Five Facts You May Not Know About Wisdom Teeth

People have many opinions when it comes to wisdom teeth. Most times, they visit the dentist with notions regarding the eruption and extraction of wisdom teeth, some of which are incorrect.

Five important facts you may not know about wisdom teeth

Wisdom teeth have outlived their usage in modern adults

Our mouth has the structure to hold 28 teeth. However, wisdom teeth or the third molars were vital for humanity's ancestors. Due to the nature of their diet, they needed additional teeth to chew and process foods in the mouth. They also did not have good oral hygiene and dental care, which often caused tooth loss while they were still young. When they reached teenage years or adolescence, the wisdom teeth would erupt. The extra set of teeth would be vital for normal oral functions.

Nowadays, wisdom teeth are not as important. Our diets are different, and the additional set of teeth are no longer needed to process foods. Experts recommend you go for a wisdom teeth extraction once you notice any issue with their eruption, such as impaction.

Wisdom teeth eruption can cause halitosis

You already know that erupting wisdom teeth can be accompanied by a great deal of pain. However, you may not know that they can also cause halitosis or bad breath. During the process of breaking out from the gums, they can cause tears that trap food particles and bacteria. As the particles decay and the bacteria grow, the patient may start to notice persistent halitosis, even after brushing the teeth. This may be an excellent reason to consider wisdom teeth extraction.

Wisdom teeth can disrupt normal teeth alignment

You may have worked tirelessly to achieve a beautiful smile through orthodontic treatment and teeth whitening. However, once wisdom teeth start erupting, they can disrupt the position of other teeth, especially if there is not enough space on the jaw to accommodate them. This could hamper the beauty of your smile and cause teeth crowding. The wisdom teeth may need to be removed to restore normalcy.

Impacted wisdom teeth hardly ever erupt

Not all wisdom teeth make it out of the gums. Some get impacted, meaning they are trapped in the jawbone or blocked by other teeth. This often happens when the wisdom teeth come in at an awkward angle. Impacted wisdom teeth can cause severe pain and will need to be removed through a surgical procedure.

Wisdom teeth extraction is not as painful as you thought

Many people may have mentioned that the process of extracting wisdom teeth is painful and debilitating. That is not always so if you undergo the procedure with a professional and experienced dentist. The dental expert will ensure maximum comfort during the procedure by administering anesthesia and other forms of sedation dentistry.

Final note

If you suspect that your wisdom teeth are coming in, you should book an appointment with your dentist to have them checked. If they are bound to cause trouble, the dentist will suggest extraction to prevent the pain of eruption and impaction.

(06/26/2024)
by Facial Spectrum

More Information: N


Views: 499
Share
Share

Five Steps To A Healthy Mouth

Most of us realize that diet and exercise play an important part in keeping us healthy. But did you know that a healthy mouth is also an important part of a healthy body?

Poor oral health can affect a person’s quality of life. Oral pain, missing teeth or oral infections can influence the way a person speaks, eats and socializes. These oral health problems can reduce a person’s quality of life by affecting their physical, mental and social well-being.

Oral disease, like any other disease, needs to be treated. A chronic infection, including one in the mouth, is a serious problem that should not be ignored. Yet bleeding or tender gums are often overlooked.

Research has shown there is an association between oral disease and other health problems such as diabetes, heart disease and stroke, respiratory illness in older adults, as well as pre-term and low-birth-weight babies. Although researchers are just beginning to understand this relationship, evidence shows that oral disease can aggravate other health problems and that keeping a healthy mouth is an important part of leading a healthy life.

1. Keep your mouth clean

Use a soft-bristle toothbrush and fluoride toothpaste.

Wait at least 20–30 minutes after eating before brushing your teeth.

Floss every day.

Eat a well-balanced diet.

Limit foods and beverages containing sugar or carbohydrates.

Ideal snack foods: cheese, nuts, vegetables, and non-acidic fruits.

Look for oral care products with the Canadian Dental Association (CDA) Seal.

2. Check your mouth regularly

Look for signs of gum disease:

Red, shiny, puffy, sore or sensitive gums

Bleeding when you brush or floss

Bad breath that won’t go away

Look for signs of oral cancer:

Bleeding or open sores that don’t heal

White or red patches

Numbness or tingling

Small lumps and thickening on the sides or bottom of your tongue, the floor or roof of your mouth, the inside of your cheeks, or on your gums

3. Eat well

Good nutrition helps build strong teeth and gums.

Munch on mouth-healthy snacks like cheeses, nuts, vegetables, and non-acidic fruits.

4. See your dentist regularly

48% of Canadians who haven’t seen a dentist in the past year have gum disease. Regular dental exams and professional cleanings are the best way to prevent and detect problems before they get worse.

5. Don’t smoke or chew tobacco

Smoking and chewing tobacco can cause oral cancer, heart disease, gum disease, and a variety of other cancers.

(05/28/2024)
by Quali-Dent Dental Clinic

More Information: http://quali-dent.ca/5-steps-healthy-mouth/


Views: 363
Share
Share

Should A Tooth Extration Hurt?

In a perfect world, you would keep all your natural teeth for your whole life. There are certain cases, however, where a tooth extraction is the best thing for your health. Wisdom teeth extractions are common. A tooth might also need to come out if it has severe decay or trauma. Does this process hurt?

HOW WE PERFORM TOOTH EXTRACTIONS

We’ll always provide pain management during extractions. For a simple extraction, we’ll numb the area around your tooth with a local anesthetic. You’ll remain awake, but you’ll just feel pressure as we pull the tooth. It should not hurt. If the extraction is more complicated, dental sedation is an option. During our preparations, we’ll discuss your medical history and determine what kind of sedation works best for you.

EXTRACTION AFTERCARE

What about after your tooth is removed? We’ll provide instructions on what you should (and shouldn’t ) do after an extraction. For many people, over-the-counter pain relievers are all that’s needed. We also often prescribe pain medication, which you should always take only as directed. After the numbing agent wears off, you may feel some discomfort and swelling for the next 24 hours. If the pain is severe, please contact us.

(05/27/2024)
by Seastone Dental

More Information: https://seastonedental.com/blog/should-a-tooth-extraction-hurt/


Views: 401
Share
Share

Health Issues That Stem From Teeth

From a young age we learn that neglecting our teeth can cause problems with our gums, and that brushing twice a day and a regular flossing regime can help prevent bacteria and cavities starting to form.

What most of us are never taught however is that dental health is actually one of the cornerstones of keeping the body and organs healthy too.

This is especially true if someone has certain medical conditions or auto-immune problems.

It is now known that the whole body is linked and your teeth are a pivotal part of that so when something becomes infected in the teeth, gums or jaw it can actually get into the bloodstream and begin to change our blood cell balance leading potentially to some extremely serious conditions such as organ failure or heart disease, and highly exacerbating those already present such as auto-immune conditions like diabetes, lupus or rheumatoid arthritis.

The good news is that this is a much researched area now and dental practitioners are always on the alert for tell-tale signs that in the past may have gone unnoticed.

The following is a list of conditions known to be affected by poor oral health.

Heart Disease and Stroke

These two extremely serious implications are placed together as the cause of both from a dental angle is usually the same.

The best guess for higher rates of causality is that periodontitis builds up and then ultimately releases into the bloodstream creating greater inflammation in the walls of the arteries leading to either brain or heart.

If this inflammation plaque build-up gets too much it can then become detached and block the artery leading to stroke in the arteries leading to the brain, or heart disease and potential heart attack in the arteries leading to the heart.

Atherosclerosis

Going hand in hand with heart disease atherosclerosis is the name for the condition of decreased blood flow through the arteries due to a thickening of the artery wall caused by plaques, it is a leading cause of stroke and heart attack.

Endocarditis

The endocardium is the inner lining of the chambers and valves of the heart, and this can also become inflamed and infected over time by plaques carried in the blood from other areas of the body including the gums.

Diabetes

Diabetes, especially for newer sufferers may be less controlled, and at these times periodontal disease is more likely to be an issue. Periodontal disease is an infection of the gums and bone areas that hold the teeth rigidly, and this causes effects such as halitosis (bad breath) tooth loss, and mild to severe pain.

Diabetes will also increase the sugar production level within your saliva potentially causing oral thrush, a fungal infection causing patchiness and potentially a significant amount of pain.

Dementia

The bacteria caused by gingivitis can access the brain through either the nerve channel or the bloodstream and is a primary cause of Alzheimer’s disease.

Respiratory infection

When the bacterial build-up is significant and we are inhaling it all day every day, this can substantially impact lung health and performance, as well as heighten the chance of pneumonia.

Kidney disease

If a patient is suffering from Kidney Disease, then their immune system is likely to be weaker and therefore they will be more susceptible to tooth and gum infections, creating a cyclical relationship between the disease and the dental implications as both make the other worse.

Sjogren’s Syndrome

Another of the auto-immune conditions, Sjogren’s is often linked to other auto-immune diseases such as lupus or rheumatoid arthritis, and causes a patients eyes and mouth to be dryer than normal, this causes issues with chewing function and can easily lead to difficulty maintaining high standards of oral health. Patients are much more likely to develop oral thrush.

Rheumatoid Arthritis

The relationship between dental health and rheumatoid arthritis is a frequent one and as such has been at the forefront of studies in this area.

As far back as Hippocrates there are records of ‘pulling out the teeth’ as a treatment option for arthritis, and this does have some theoretical backing, but of course we now know that it's a terrible idea for gum health.

The common understanding is that periodontal conditions can stimulate rheumatoid arthritis, as well as the condition itself making it harder to maintain optimal oral health routines such as brushing and flossing.

Lupus

Common side effects of lupus are chronic ulceration of the lips, as well as lesions appearing on the tongue, lips and mouth areas.

This auto-immune condition also attacks the parotid, submandibular and sublingual glands, collectively known as the salivary glands and can lead to dry mouth and an ample environment for bacterial growth.

Lupus in terms of causality is often linked to Sjogren’s Syndrome.

Parkinson’s Disease

Parkinson’s is a progressive disorder of the central nervous system.

It can cause stiffness in jaw muscles making it very hard to chew and swallow. This in turn increases the likelihood of a patient choking and also causes saliva to pool within the mouth and throat, which leads to infection.

This collectively creates a bacterial overload that can easily lead to severe gum disease which as mentioned can then enter the bloodstream and cause even more serious conditions.

Amyotrophic Lateral Sclerosis (ALS)

Known more commonly as Lou Gehrig disease, ALS causes muscles to weaken, and progressively weakens physical functioning. This causes brushing and flossing to be difficult.

The condition creates a substantial saliva build-up and greatly increases the chances of plaque and bacteria, potentially leading to gum disease, cavities and pneumonia.

Osteoporosis

Periodontitis can create a low bone mineral density in the part of the jaw that holds the tooth sockets, this is known as alveolar bone loss and is a significant trait of osteoporosis.

Huntington’s Disease

Huntington’s progressively affects the nerve cells within the brain, causing a lack of control in the hands and arms. This leads to difficulty maintaining good oral health and has been shown to lead to much higher levels of gum disease.

Sufferers may also be more prone to bruxism (teeth grinding) and be at much greater risk of developing TMJ disorders, tooth fractures and other resultant factors such as headache or earache.

This list of conditions stemming from from periodontal issues is by no means complete, other notable potential serious outcomes include fibromyalgia, HIV and prostate cancer as well as many others, so please be especially mindful of your dental care as it affects so much more than just your smile.

(05/27/2024)
by Life Dental & Wellbeing

More Information: https://www.lifedentalandwellbeing.co.uk/news/health-issues-that-stem-from-teeth/


Views: 624
Share
Share

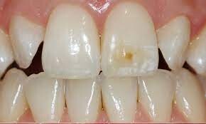
Seven Reasons Your Teeth Have Brown Stains

Do you have brown stains on your tooth and wonder where they might have come from? It takes no rocket science to figure out that whatever you consume leaves its marks on your teeth. Sometimes, your teeth may appear brown due to some particular oral health condition. So, knowing the causes behind these unattractive brown stains can prevent your teeth from worsening. Here are six reasons your teeth may have brown stains.

1.-Tobacco Products

Your teeth can develop brown spots when you use tobacco and its products like cigarettes, cigars, etc. In an exclusive interaction with OnlyMyHealth, Dr Kishkindha, BDS, on "the impact of smoking and tobacco on saliva," said that tobacco stains are the toughest stains to remove from teeth and in cases of chronic smoking, the stains could even get intrinsic and involve dentin; as a result, the teeth develop brown stains.

2.- Tartar Buildup

Tartar buildup is another reason you may have brown stains on your teeth. The colour of tartar ranges from yellow to brown and develops when the plaque is not removed regularly, hardening like a rock and leading to tartar.

3.- Foods & Drinks

Many foods and drinks could be the culprits behind your brown teeth stains. Beverages like coffee, tea, soda, alcoholic beverages, and some sauces can stain your teeth brown. Not only brown but blue, grey, and yellow stains can appear due to these food items.

4.- Fluorosis

It may seem ironic that the same fluoride that protects your teeth can harm it when taken in excess. Dental fluorosis usually occurs due to high fluoride intake during the tooth development stage due to the level of natural minerals. In mild cases, it takes a whitish appearance with a lacy marking, while in severe cases, which is rare, it causes brown spots, pitting across the surface of the teeth.

5.- Ageing

With ageing comes many different ailments, like eye conditions, hearing loss, and oral health problems. Brown stains can also develop on your teeth due to ageing. What you consume throughout your life has an effect on your teeth. The argument that smoking and tobacco stain the teeth is valid here too. These spots can develop due to teeth absorbing more from food and the environment throughout your life.

6.- Enamel Hypoplasia

Enamel hypoplasia is a condition in which teeth do not have enough enamel, which can occur due to genetic and environmental factors. A deficiency of certain vitamins or minerals can also affect this condition. This condition can affect more than one tooth and lead to the development of rough textured brown to yellow cloured spots.

7.- Trauma

Another reason you may have brown spots on your teeth is because of an injury or trauma. Trauma can damage your tooth nerve from within; as a result, your teeth can either turn partially or completely brown.

Conclusion

The prevention of brown stains on your teeth majorly depends on how much care you take for your teeth. If you’re practising good oral hygiene, you are unlikely to develop brown spots due to tartar and plaque buildup. Following a healthy diet for teeth, along with quitting smoking and tobacco products, can prevent brown stains due to these issues. In cases where brown stains are developed due to fluorosis or enamel hypoplasia, cosmetic, restorative, or structural treatment can be done based on the damage's extent.

(05/28/2024)
by Only My Health

More Information: https://www.onlymyhealth.com/reasons-for-browns-stains-on-teeth-1671437717


Views: 529
Share
Share

Tooth Pain After Filling: Is It Normal?

Cavities can be treated with a dental filling procedure, which involves cleaning away tooth decay and sealing the holes or fractures with resin. While fillings are safe, they can leave many people with short-term tooth pain afterwards.

If you are experiencing some discomfort after a filling, read the rest of this article below to help you find out if your symptoms are normal post treatment.

Is tooth pain after filling normal?

Tooth pain after filling is not unusual, and it is a temporary discomfort that should go away on its own after a few days. It is also normal for certain actions, such as clenching the teeth, brushing, and flossing, to trigger a toothache. Several other factors can also set off post-filling sensitivity, which includes:

breathing in cold air

consuming hot or cold drinks and foods

eating sugary food

drinking acidic liquids, like juice and coffee

When to contact your dentist

As mild tooth pain is normal in the days following a dental filling, an appointment with your dentist may not be necessary. However, contact them if:

the pain is unbearable;

the pain makes it difficult for you to eat or move your mouth; or

you are experiencing other symptoms, such as fever, redness, or rashes.

Any of these could indicate an underlying illness that may need treatment.

Causes of severe post-filling tooth pain

Some of the possible reasons that your dentist may find that cause abnormal toothache after a dental filling include:

Inflamed or Irritated Nerve. The filling procedure is invasive and requires injecting a numbing agent around the tooth, cleaning out the decayed area (typically with a dental drill), and filling the cavity. As such, it can cause inflammation of the nerve inside the tooth. This commonly occurs in deep fillings that reach close to the nerve endings. Any pain or discomfort should subside within a few days or weeks as the irritated nerve heals.

Change or Misalignment in Bite. It is normal to experience minor sensitivity when biting down after the procedure, and the bite will usually correct itself in a few weeks. However, a filling that sticks out from the tooth may cause severe pain; it can result in extra pressure when biting or closing the mouth.

Pulpitis. Inflammation of the pulp— the connective tissue forming the centre of the teeth— is called pulpitis. It results from advanced cavities, multiple invasive dental restorations, or trauma. There are two types of pulpitis: reversible, where the inflammation of the pulp is mild enough to be treated with a simple filling or go away on its own; and irreversible, where the nerve is significantly damaged and unable to heal itself. The latter would require extraction or a root canal treatment.

Allergic Reaction. It is also possible that tooth pain may be caused by an allergic reaction to the substance used in filling caries. You may experience itching or rashes alongside tooth sensitivity.

(05/29/2024)
by Beacon Cove Dental

More Information: N


Views: 525
Share