Dentists Journal

Top Ten Stories of the Week
7/6/2024

All Dentists Journal · Previous Week · This Week · All Time List · Headlines

Share

Rash Around the Mouth? Perioral Dermatitis And What It Means For You

You try to take care of your skin, but despite applying sunscreen and regularly cleansing and moisturising your face, you may still notice a rash around your mouth. As far as skin conditions go, MedlinePlus notes that rashes around the mouth are most likely to affect young women and children, but can ultimately affect anyone. This condition is called perioral dermatitis, and its causes might surprise you. By understanding what it is and how to treat it, you can soothe your rash to reveal healthy, glowing skin once again.

Rash Around the Mouth: Causes

People with sensitive skin are most likely to suffer from perioral dermatitis, as it's generally associated with topical products. This means the very products you use to keep your skin and mouth healthy could be causing your rash break-out. Here are some of the most common causes of the condition:

Topical steroid creams

Inhaled steroids

Poor skin hygiene, such as failing to wash your face regularly

Using too many irritating topical products

Fluoridated toothpaste

Make-up

Hormonal changes or taking oral contraceptives

An oral infection

Different individuals may experience different symptoms of perioral dermatitis, but it generally manifests as red, flaky skin around the mouth, a burning sensation, bumps, and even an accompanying rash on the nose, forehead and cheeks.

Treatment Options

Perioral dermatitis is typically treated by a dermatologist, but your treatment plan will vary depending on the cause of the rash. MedlinePlus recommends stopping the use of any products that could be irritating your skin, including new make-up, harsh cleansers and sunscreen. Instead, substitute your usual cleanser with warm water and, with your doctor's permission, a mild soap. You can also talk to your doctor about any steroid medications you may be taking or applying, and adjust your dosage to account for your rash.

For stubborn cases, the American Osteopathic College of Dermatology suggests stopping the use of fluoridated toothpaste. If your dermatologist thinks your rash may be due to using fluoridated toothpaste, consider using a fluoride-free toothpaste instead. It's unlikely that you'll have to swap out your toothpaste forever, since the condition can resolve itself with changes to your hygiene routine, habits and even hormones.

Your dermatologist may also be able to prescribe antibiotics to help clear up your skin and get rid of the embarrassing and often painful rash around your mouth. Together, you can come up with a treatment plan to help soothe your skin and balance out your complexion.

Even if you're taking all the necessary steps for a healthy skin, a rash can still break out around your mouth and make you feel like your favourite products and make-up are suddenly working against you. The good news is that, once you isolate the issue, you can work with your dermatologist and dentist to follow treatments and use products that help keep your skin calm, clear and rash-free.

(06/29/2024)
by Colgate

More Information: N


Views: 525
Share
Share

Learn the Facts About What Toothpaste Does for Your Oral Health

Do you ever wonder if the toothpaste you use really does anything for your oral health? Or do you just buy whatever’s on sale without considering what’s in it and how it’ll actually benefit your teeth? If so, then you’re certainly not alone.

Every day, consumers are faced with an overwhelming variety of choices when it comes to taking care of their pearly whites—from minty-fresh flavors to tartar control varieties. But how exactly can all these different kinds of toothpastes help oral hygiene? In this blog post, we’ll tackle that question head-on by giving patients a comprehensive look at how specific ingredients in today’s leading brands foster healthy teeth and gums. Let us show you why knowing the facts about what toothpastes contain is key to making smart decisions regarding your dental health! 

What Toothpaste Does for Your Oral Health

The most important role of toothpaste is to remove plaque—a sticky film that accumulates on teeth and gums due to bacteria. Plaque can lead to cavities and gum disease, so it’s essential to remove it regularly in order to maintain healthy teeth and gums. Toothpaste works by combining mild abrasives, fluoride, and detergents to fight plaque.

The abrasive components help scrub away food particles that have become stuck on your teeth, while the fluoride helps strengthen tooth enamel and prevent decay. The detergents help break down plaque so that you can easily wipe it away.

Ingredients to Know About

Many toothpastes also contain other beneficial ingredients, such as calcium carbonate, which helps to remineralize teeth and fortify enamel. Another common additive is sodium bicarbonate, or baking soda, which helps neutralize the acidity of oral bacteria and promote fresher breath.

Xylitol is another popular ingredient that helps reduce the number of harmful bacteria present in the mouth, while silica is often added to help gently polish teeth and remove surface stains. Some brands also contain enzymes that are thought to help maintain oral health by breaking down plaque-causing food particles.

The ingredients in your toothpaste matter because they interact with and strengthen each other. For instance, fluoride may be more effective when combined with sodium bicarbonate because it helps the fluoride penetrate deeper into the enamel.

So, whether you’re looking for a toothpaste that whitens your teeth or one that fights cavities, be sure to check the label of any given product to ensure that it contains the right ingredients for your oral health needs.

What Toothpaste is Best For You?

Ultimately, the best toothpaste for you is one that meets your oral health needs. You could benefit from:

Sensitive toothpaste: Look for ingredients such as potassium nitrate or strontium chloride, which block pain signals to the nerve of the tooth by stopping up the tiny tunnels in your teeth, which go to the nerve.

Whitening toothpaste: This type of toothpaste helps remove surface stains to make your teeth look brighter and whiter.

Tartar-control toothpaste: Tartar-control toothpastes are designed to help minimize the buildup of plaque on teeth and gums, making them less vulnerable to decay and other forms of damage.

Beyond the Toothpaste

No matter what toothpaste you choose, be sure to follow good oral hygiene habits, such as brushing twice a day, flossing regularly, and visiting your dentist for checkups every six months. With the right combination of ingredients in your toothpaste and good oral hygiene practices, you can ensure that your teeth and gums stay healthy for years to come.

By taking the time to learn about what toothpastes contain and how they work, you’ll be able to make informed decisions about your oral health care. Doing so can help protect your teeth and gums from plaque buildup, cavities, and other problems that can arise due to poor oral hygiene habits. With the right toothpaste and healthy habits, you can maintain a beautiful, healthy smile for years to come.

The Takeaway

Taking the time to learn about what toothpastes contain and how they work will help you make informed decisions regarding your oral health care. Doing so can protect your teeth and gums from plaque buildup, cavities, and other problems that can arise due to poor oral hygiene habits. With the right toothpaste and healthy habits, you can maintain a beautiful, healthy smile for years to come. Good oral hygiene is an essential part of overall health and well-being– so make sure to take the time to find the right toothpaste for your needs and practice good brushing habits.

(06/30/2024)
by Glacier Creek Dental.

More Information: N


Views: 592
Share
Share

Deep Cleaning Your Teeth: When to Do It

Deep teeth cleaning, might sound like a dental procedure that will be needed after that late Saturday afternoon braai just before or after the last soccer game. A procedure your dentist will recommend after a spree of unhealthy eating, lack of brushing and flossing or midnight feasting without proper care and teeth cleaning. If your answer consisted of the removal of plaque and tartar or the prevention of gum and periodontal diseases you are spot on. Deep cleaning of your teeth is performed by your local dental hygienist whom you should visit every six months, this includes the retired community as well, according to the South African Dental Association (SADA).

The Need for Deep Cleaning

The dental hygienist will use their instrument, the probe, to ensure that your teeth and gum tissue stay healthy. The probe is also used to measure the space between the teeth and the gums. If the space is more than 3mm, the space, that is called a pocket, can be the cause of gum and periodontal disease. The Dental hygienist will use the probe to scrape away the plaque and tarter off the enamel and up under the gum, not just along the gum as with regular brushing and cleaning. They also reach up along your roots to smooth the softer cementum on the surface to prevent plaque from forming in uneven or open spaces. Going to visit the dental hygienist twice annually, is a very good routine to adopt, as stated by Netcare.

Deep Cleaning Process

Deep cleaning can be performed on one or two quadrants of the mouth, or the entire mouth can be treated in one visit. It is also known as scaling and root planing and the dentist will do the recommendation of the treatment. The dental hygienist will numb the area to be treated. Scaling is the first procedure and involves removing plaque and tartar from the teeth and from the pocket areas between the teeth and gums and under the gum line, if necessary.

The second half of the process involves the root planing using either electiceor ultrasonic instruments or manual scaling tools. The dental hygienist shape or plane the root of the tooth, to remove places where bacteria can hide. Root planing procedures require a minimum of two visits, and a follow up visit might be necessary to ensure that teeth are healthy and that there is no pocket depth.

Care after Scaling and Root Planing Appointments

Gum disease can be treated and is curable with regular visits to the dentist and dental hygiene, cleaning your teeth regularly. It is a good idea to monitor the status of your teeth, gums and bone. You need to make sure it healed and that the bacteria did not return. Individuals predisposed to having gum disease may need to return for regular periodontal maintenance cleanings while others may be able to return to regular hygiene routine and 6-month dental checkup visits.

Colgate Total Toothpaste, recommended by dentist worldwide, provides antibacterial protection, more plaque and gingivitis reduction than regular fluoride toothpaste, ADA Seal of Acceptance and effective prevention against caries, gingivitis, plaque, caculus build up and malodor. Just for a bit more protection it is also a good idea to use Colgate Total 12 Clean Mint Alcohol Free Mouthwash that also promotes mouth hygiene, healthy teeth and gums and protection against plaque and germs.

In the event that the periodontal disease persist or re-occur, individuals can ask their dentist to be referred to a Periodontist which will be able to recommend the best treatment and the way forward to perfect oral hygiene and health.

(07/01/2024)
by Colgate

More Information: https://www.colgate.com/en-za/oral-health/dental-visits/deep-cleaning-your-teeth-when-to-do-it-0314


Views: 395
Share
Share

Common Oral Health Mistakes

For many of us, teeth are a secondary thought, they do their job and as long as they don’t hurt, don’t seem to need a lot of maintenance.

This is unfortunately far from the truth, as teeth are constantly being affected by what we eat, what we do and the chemicals we use such as toothpastes and mouthwashes.

The teeth are often a hidden issue, as they do not behave like a bruise or cut, the growing damage is usually not visible until it is far too late.

In this article I shall offer guidance into the how’s and why’s of tooth maintenance, and offer instruction that may assist your own daily routine.

It is important to know that teeth are not just a solid mass for biting and chewing, each one is an intricate collection of 4 types of integrated tissue, pulp, dentin, enamel and cementum.

Pulp sits inside the tooth and contains connective tissues, nerves and blood vessels.

Dentin surrounds and protects the pulp, it's hard bone-like density gives teeth their natural yellow tint.

Enamel is the exceptionally hard outer shell that forms the crowns outermost layer, this is our natural protection from bacteria and from heat and cold sensitivities.

Cementum sits under the gumline, protecting the root and holding the tooth in place.

All of these tissues need protecting from the constant bombardment of modern living, enhanced products and today’s increased stresses.

How to brush your teeth

Oral Health is something so easily taken for granted, brushing seems like a logical process and flossing is something that many of us only include later in life and again seems fairly straightforward.

Unfortunately there is much more to correct tooth brushing than many of us realise, and it is in these finer details that ongoing premium oral healthcare resides.

From a very young age we are told to ‘Brush our Teeth’ but this phrasing does not explain the ‘why’ we do it.

‘Brushing the teeth’ properly actually extends well beyond the teeth, as it is very often the gumline where issues begin to cultivate.

Oral bacteria works its way into these unseen places and only noticeably affects the teeth once the gums are infected.

So, on that basis, the first set of tips are all about correct brushing.

Tip 1: Gum brushing

Ensure to brush across the line of the gums preferably at a 45° angle, this is absolutely paramount to dislodge settling bacteria and remove the chance of tartar build-up before it sets.

Tip 2: Pay attention to the tops

Bacteria can nestle into these ridges and go undisturbed, working their way into the tooth over time.

Tip 3: Don’t forget the back

The backs of the tooth are also a habitual breeding ground as front brushing often doesn’t disturb the bacteria hidden behind the tooth.

Tip 4: Use a soft bristled brush

Hard bristles can damage both the gumline, contributing to receding gums, and tooth enamel, weakening the tooths defensive barrier.

Tip 5: Replace your brush often

Frequently replace your brush, every 3 to 4 months is the recommended maximum.

Toothbrush heads are designed specifically to target bacteria, once the bristles become misaligned, bacteria is likely to get missed.

Tip 6: 2 minutes twice a day

Thorough brushing is essential, you must target all areas of the tooth surface and the gumline, at the times when they are most vulnerable to bacteria.

When skipping on a thorough routine, tartar and the resultant biofilms will not be properly removed, this can lead to deposits of plaque, gum inflammation, halitosis (bad breath) and ultimately, cavities.

We all know about brushing at night, but overnight new bacteria can be produced and allowed to fester due to decreased saliva production during sleep.

Morning brushing also ensures a clean foundation to start the day.

Flossing

The next critical mistake that factors heavily in tooth decay is either not flossing at all, or flossing incorrectly.

When flossing it is important to change the angle of the flossing action several times during each floss, this ensures that all sides of the gap have been addressed including (and essentially) the gum root.

It is also critical to focus specifically on each gap, going backwards and forwards atleast 3 or 4 times to free stubborn particles and make sure every part of the surface is addressed.

Flossing can cause bleeding but this is not a sign to stop, bleeding helps to combat infection and flossing more is actually a better choice but always feel free to consult your dentist if you have concerns.

Specialist brushes

In the flossing category we can also place specialist brushes, such as interdental and tepee brushes, these are ‘made for the task’ brushes of differing head sizes that can fully fill a gap and free debris that brushing and perhaps even flossing cannot reach.

These specialist brushes should be utilised in the same way as flossing, focussing on each gap in a concentrated way rather than seeing it as a chore and only briefly poking the brush in once. This seems like a small thing but is a significant contributor to managing potential gum disease.

Ongoing oral mistakes

Once you have a solid tooth brushing routine in place, it is important to address other areas which may be contributing to poor oral health.

There are many small daily mistakes that many of us have never heard of, that over time can add up to significant issues, among these are:

Brushing too soon after eating

Instinctively, after eating you may feel like you want to clean your teeth, much as getting dirty hands warrants a trip to the sink, we feel the same about our teeth.

Studies now show that this is a bad idea. When we eat we soften the enamel of our teeth and brushing while the enamel is in this softened state can actually damage it.

Brushing an hour afterwards gives the teeth ample time to regain their strength.

Don’t brush too hard

It is very easy when not paying attention to put a little extra downward pressure in your brushing action, this has 2 negative impacts, one is to damage tooth enamel making it prime for bacterial attack, and it can also weaken the connection between tooth and gum. As a third note, it is also less effective than softer brushing.

A few tell-tale signs that you are brushing too hard might be a scattered brush head in under 2 months, or an increase in tooth or gum sensitivity or appearance.

Electric brushes are best with soft bristled heads, some of these even come with a pressure indicator that monitors the intensity of your brush stroke.

How to store your brush

This is one of the little known factors of toothbrush care.

As your brush sits in a drawer or led on its side it can remain wetter for longer, and so has a much greater likelihood of developing its own bacteria!

This is then brushed into the teeth and joins forces with the daily bacteria already there. Correct storage is to sit it upright with a protective guard on the brush head.

Beyond the Brush

As well as brushing itself and correct toothbrush care, there are other factors that can severely damage your dental wellbeing.

Sugar consumption

You may have a stellar and highly disciplined tooth cleaning regime, but consuming lots of sugar will still have an impact, sugar consumption will embed into the gumline over time despite our best efforts. It is also a significant contributor to many other debilitating health issues such as heart disease and diabetes.

High sugar drinks are one of the leading problems in today’s oral health, with a 16 ounce drink containing as much as 30 grams of sugar. Sugars are essentially carbohydrates that the bacteria already in your mouth like to feed on, add to this their acidic nature and we can see that sugars are extremely harmful to our health.

A better option would be green tea, black tea, or even coffee, all of which not only have a lot less sugar but also have other intrinsic health benefits.

If you are concerned about staining from these options, sipping through a straw can effectively combat this.

Overall, if you consume a lot of sugar, the advice is simple, cut down.

Not drinking enough water

Water is amazing stuff, it is essentially the oil for our engine, and the teeth will also benefit. Regular water consumption helps to reduce plaque causing bacteria between brushing. Normal tap water also contains fluoride which is a natural healthy cleaning agent for our teeth and gums.

Lack of hydration also leads to dryness which provides an ideal breeding ground for bacteria.

Incorrect oral health products

It is so easy to see tooth brushing as a necessary add on to the weekly shop, something we can do ‘on the cheap’ to offset the cost of that luxury cake, but this is not a wise choice for your teeth.

We would recommend researching the product you use, checking for harmful health implications from the ingredients, and ensuring you use a fluoride toothpaste, consistent use of fluoride adds daily strength to your teeth and gums in the constant fight against bacteria.

It is also important to use toothpastes that are dentally approved as these contain the necessary combination of ingredients for correct tooth cleaning and daily protection.

If you already have tooth issues it is important to consult with your dentist as to the correct product for your specific needs.

Different approved toothpastes will target different elements of oral health such as ‘inflammation toothpastes’ for gingivitis, ‘fluoride toothpastes’ for cavity protection and so on, so do make sure to get the best advice for your own situation.

Beware of ‘Whitening’ products

So called ‘Whitening’ products are everywhere these days, but many do more harm than good, please seek for dentally approved brands only as these have undergone rigorous testing to ensure they perform as expected, and in a health conscious way.

Don’t wait for pain to see the dentist!

Your teeth feel fine and the last check-up was fine so what could have changed?

The answer, plenty! Skipping dental visits, especially as we get older is one of the more damaging mistakes that people make, gum disease can develop undetected and asymptomatically, turning rapidly from gingivitis into periodontitis within a few months or even weeks.

We advise that you view your dental visits and especially cleanings as essential and not optional so that any beginning issues can be addressed and any problems greatly minimised and treated.

(07/02/2024)
by Life Dental & Wellbeing

More Information: N


Views: 356
Share
Share

Fizzy Water and Your Teeth

With so many drinks out there boasting some form of health related boost, simple tap water has been pushed a little into the background by its shiny ‘healthy’ alternatives.

Recently though, water has been fighting back. Becoming the solo focus on many health articles and indeed the backbone of many health plans.

With this resurgence, there is of course a commercial angle and many companies have jumped on the idea of making water more exciting, and so we come to the main focus of this article, fizzy or ‘sparkling’ water.

When it comes to the benefits and drawbacks of sparkling water, the leading question from a dentistry viewpoint is one of carbonation, and its potential damage to teeth and gums.

In this article we will seek to clear up the pluses and minuses of sparkling water and to take an honest look at the alternatives.

Teeth and the ‘fizz’ factor

The science behind carbonation:

Carbonation is formed by adding carbon dioxide to water in a pressurised environment of up to 12000 pounds per square inch. This slow, controlled release creates bubbles of carbon dioxide gas or ‘fizz’.

This carbon dioxide then remains carbon dioxide while it sits in your glass. Then, as we drink, it enters the bloodstream and its chemical state changes to become carbonic acid, it is this carbonic acid which theoretically presents a threat to tooth enamel.

So, it is actually a form of acid that is attacking our teeth, having entered the bloodstream and being pumped around.

Do not be alarmed though, the damage of fizzy water alone would appear to be small when well-managed, indeed there have been saturation tests comparing sparkling water and regular water on teeth erosion and surprisingly the erosion levels were actually very similar.

Based on this, it would seem that the real threat is that many of these ‘water’ replacements are jazzed up with flavourings and sweeteners such as Aspartame or Xylitol, both of which are present in many household items such as toothpaste and cough drops, and have been proven to affect general health when consumed in large quantities, and the teeth are not spared.

Lemon or Orange flavourings, particularly boasting fruit benefits and improved taste, are especially harmful due to their excessive acidity.

It is a good idea for your oral and overall health if these drinks and sweeteners can be cut from your diet, but if you really can't face giving them up, slight changes in how you drink can go some way to better protecting your teeth.

Protecting your teeth from sugary acids

Minimise your drinking time, having sparkling water with a meal can dilute the potential damage on your teeth

Avoid sipping, sipping causes a continued refresh of bacteria, a beverage consumed in one go has a much reduced effect.

Using a straw, this allows the acids and sugars to largely bypass the teeth

Do not swirl, swirling drinks in your mouth may feel refreshing but from a dentistry standpoint, it takes the harmful compounds into distant areas such as wisdom teeth and other hard to reach gaps, as well as keeping the acids in contact with the teeth for longer

Rinse after consumption

Rinsing with regular water is always a good idea, once again this dilutes and breaks up the acids and sugars, lessening the potential damage.

An overall assessment

There is now plenty of research to suggest that sparkling water is generally a reasonable option for your teeth as long as it is kept to small quantities, research methods are ever improving and more defined guidelines will come ever closer.

One certainty is that carbonated water is definitely better for us than anything high in sugar, sugary drinks that leap out at us from the shelves shouting their ‘high energy’ message are just bad in every way, and should definitely be avoided.

Even water alternatives with ‘low sugar’ are still a threat to dental health and should only be consumed at very limited levels, with the greater intake of our water consumption coming from natural processes and fluoridated water.

What is fluoridated water I hear you ask, that seems like work! Well, the good news is that water naturally contains fluoride so the fight against cavities begins by just turning on the tap.

Always read the ingredients

It is important to recognise the difference between products dressed up as ‘healthy’ but high in sugar and/or acids, and electrolyte based products that contain sodium, calcium, potassium, magnesium, chlorides and phosphates. The latter are all essential minerals for health and many of these products are a great option.

It can be tricky but a little product discipline can go a long way to helping your everyday health.

One key culprit to watch for is the ‘Citrus’ water options, these are often labelled to promote their benefits, without highlighting their pitfalls, so special care should be taken when considering these.

More water alternatives

As mentioned, the two most damaging elements for teeth are sugar and acid, and there are a few other standout products which we may take for granted as being healthy which are in fact, not.

Soda water for example often has high levels of sugar, and where there is sugar, cavities and tooth decay can swiftly follow, plus increased acidity contributes to teeth erosion, making the teeth and gums weaker and more vulnerable.

Tonic water contains quinine, used to give water a distinctive bitter flavour, and promoted as a health benefit. Indeed quinine can be very effective against malaria, but beyond this has no noted health benefits.

Tonic water also often contains added sugars which actually present an even greater threat than soda water.

And finally, mineral water, a reasonable option but acid content can still be present so it's always a good idea to read the ingredients.

Sports drinks are at the other end of the healthy spectrum, these are known to be extremely erosive to our teeth as well as just generally being bad for overall health, so be very mindful of advertising slogans that promote increased energy, always read the ingredients to see where that energy is coming from, if it's sugar, then from a dental perspective, we advise going to the next fridge.

Summary

Beyond the presented guidelines, hard and fast rules are difficult to state, but a sensible approach if you do like some fizz in your water is to stick to the unsweetened and unflavoured brands, such as spindrift and highland spring.

If you actually like water, or just don’t dislike it, just normal fluoride based tap or spring water is the healthiest choice of all.

Aside from water, there is little better for your teeth than milk, once again, consider all the healthful and harmful benefits of milk before consuming it in large quantities, but calcium is fantastic for continued strong teeth and bones.

(07/02/2024)
by Life Dental & Wellbeing

More Information: https://www.lifedentalandwellbeing.co.uk/news/fizzy-water-and-your-teeth-2/?_gl=1*1lb2biz*_up*MQ..*_ga*Mjc1ODk4MzAxLjE3MTk4OTI2MzI.*_ga_TMT10LRH1M*MTcxOTg5MjYzMS4xLjAuMTcxOTg5MjYzMS4wLjAuMA..


Views: 491
Share
Share

Important Tips for Healthy Teeth and Gums

Caring for your teeth is essential if you want a beautiful smile. Maintaining healthy teeth and gums requires daily care and regular care from a licensed dentist.

You need to do several things regularly if you want to have a beautiful smile. Seeing a dentist twice a year for routine dental cleanings is highly recommended. Once a year, the dentist will take X-rays to monitor the condition of your teeth as a preventive measure.

There are routines you can follow between appointments to reduce plaque buildup and prevent cavities. Here are our six best tips for healthy teeth and gums.

1. Tips for Healthy Teeth and Gums Start With Brushing Twice a Day

As children, going to the dentist was something our parents had control over. For adults, keeping up with dental care can take a backseat. Understanding how to have healthy teeth and how to have healthy gums is the first step to caring for your teeth.

Brushing twice a day can make a difference between appointments. Scheduling appointments ahead of time will help you remember to get your regular cleanings.

2. Practice Flossing After Each Meal

Benefits of flossing after each meal include includes reducing bacteria and plaque. Flossing also dislodges particles, and food stuck between your teeth.

Floss comes if several forms. The most popular are waxed dental floss, floss picks, and a water flosser.

3. Ask the Dentist for Dental Sealants

Before going to the dentist, make a list of questions and concerns you might have about how to have healthy teeth. One idea is to learn more about dental sealants.

Sealants are a protective coating placed over your back teeth. They don’t replace the need to brush or floss. However, they can prevent tooth decay.

4. Avoid Food and Drinks That Contain Sugar

Avoiding food and drinks high in sugar is great for your diet and for caring for your teeth. When plaque builds up on your teeth, it can interact with sugary substances and lead to tooth decay.

5. Don’t Start Using Alcohol, Smoking, or Tobacco

Like sugar, drinking alcohol, and using smoking products are unhealthy for your teeth. Knowing how to have healthy teeth means understanding what substances are harmful to your overall oral health and hygiene.

6. Use the Best Oral Care Products

Your dentist will offer tips for healthy teeth and gums. The suggestions will include the best oral care products. Whether it’s floss, toothpaste, or mouthwash, your dentist is the best source for products to use based on your current oral health.

Give Your Teeth the Care They Deserve

Staying abreast of your dental care can save you time and money in the long run. It can also save your teeth. These six tips for healthy teeth and gums are a good start to preventing cavities.

(07/01/2024)
by Dr. Parul Mehta DDS

More Information: https://www.hi-techsmiles.com/6-important-tips-for-healthy-teeth-and-gums/


Views: 337
Share
Share

Living with Lupus Affects Oral Health

May is Lupus Awareness Month. Like many other systemic diseases, lupus can affect your mouth. About five million people worldwide suffer from this chronic condition, which can range from mild to life-threatening. In some cases, dentists have been among the first medical professionals to play a role in diagnosing the disease. 

Life with Lupus

Lupus is a chronic autoimmune disease in which the body attacks its healthy tissues, leading to damage of joints, organs, and skin. Over time, this process can cause inflammation, pain, and permanent damage. It affects more women than men, particularly those of child-bearing age. Those who have a family member with an autoimmune disease are at increased risk for lupus as well as other autoimmune diseases. 

Oftentimes, lupus is tricky to diagnosis since the symptoms can mimic many other conditions. While there is no cure for lupus, there are medications to treat symptoms and improve quality of life.

Here are common symptoms of lupus:

Anemia

Blood clotting issues

“Butterfly rash” (across cheeks and nose)

Chest pain with deep breathing

Extreme Fatigue

Fever

Headaches

Light sensitivity

Mouth and nose sores 

The Link Between Lupus and Oral Health

Oral diseases can cause bacteria to travel to the lungs and bloodstream leading to infection. Lupus is associated with chronic inflammation, so conditions such as periodontal (gum) disease is worrisome because it can exacerbate inflammation throughout the body and lead to serious complications. 

Many symptoms of systemic diseases affect the mouth and oral tissues. Oral sores or mouth ulcers are visible symptoms of lupus. They typically appear as red lesions surrounded by a white halo with lines radiating outward. At first appearance, these sores may raise a red flag for oral cancer. With thorough testing, certain conditions can be ruled out while others can be narrowed down. 

Xerostomia (dry mouth) is a common symptom of autoimmune diseases, and the medications used to manage lupus may also be a contributing factor. Additionally, some of the strong medications can weaken the immune system and increase the risk of developing infections and oral cancer. 

Those who suffer from lupus and other autoimmune diseases are at risk for Sjogren’s Syndrome, which affects the lacrimal glands in the eyes and salivary glands in the mouth. Oral symptoms include burning, cracked lips, dry tongue, gingivitis, swelling of salivary glands, and tooth decay. 

Keeping Your Mouth Healthy

Proper oral hygiene such a regular brushing and flossing can make a big difference for those suffering from systemic conditions. It’s also important to inform your dentist of any health problems such as lupus so that you will receive the best dental care catered to your medical needs. 

(07/03/2024)
by Whitney In Oral Health

More Information: N


Views: 413
Share
Share

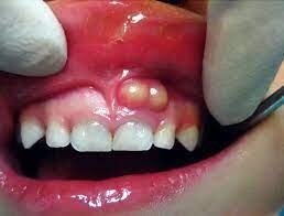
How To Get Rid Of An Abscess In The Mouth

Dealing with an abscess in the mouth can be both painful and concerning. It’s crucial to address this dental condition promptly to alleviate discomfort and prevent further complications. In this article, Coombe End Dental will guide you through the steps to effectively get rid of a mouth abscess while providing insights on its causes and prevention.

Understanding Mouth AbscessesA mouth abscess is a collection of pus caused by a bacterial infection. It typically develops due to dental decay, gum disease, or trauma to the tooth or surrounding tissues. Common symptoms include severe toothache, sensitivity to hot and cold, swollen gums, facial swelling, bad breath, and a bitter taste in the mouth.

Steps to Treat a Mouth Abscess

Step 1:

Seek Professional Dental CareThe first and most important step is to schedule an appointment with your dentist at Coombe End Dental. Dental professionals have the expertise to diagnose and treat mouth abscesses effectively. Prompt intervention will prevent the infection from spreading and causing more severe issues.

Step 2:

Drainage and AntibioticsDepending on the severity of the abscess, your dentist may drain the pus to provide immediate relief. They will make a small incision to allow the accumulated fluid to escape. In addition, your dentist may prescribe antibiotics to control the infection and prevent it from spreading.

Step 3:

Pain ReliefTo manage the pain associated with a mouth abscess, over–the–counter painkillers such as ibuprofen or acetaminophen can be used. Follow the instructions provided on the packaging or consult with your dentist for the appropriate dosage.

Step 4:

Maintaining Good Oral HygieneProper oral hygiene is vital in preventing and managing mouth abscesses. Brush your teeth twice daily using fluoride toothpaste and a soft–bristled toothbrush. Don’t forget to clean between your teeth using floss or interdental brushes. Rinsing your mouth with an antimicrobial mouthwash can also help reduce bacterial growth.

Step 5:

Warm Saltwater RinseA warm salt water rinse can alleviate discomfort and reduce swelling associated with a mouth abscess. Mix half a teaspoon of salt in a glass of warm water and gently swish the solution around your mouth for about 30 seconds before spitting it out. Repeat this process several times a day.

Prevention Tips:

Practice Good Oral Hygiene: Brushing, flossing, and using mouthwash daily will minimise the risk of dental infections.Regular Dental Check–upsSchedule routine dental visits at Coombe End Dental for professional cleanings and thorough examinations to detect any potential issues early on.

Address Dental Problems PromptlyIf you notice any signs of dental decay or gum disease, seek dental care promptly to prevent complications such as abscesses.

Avoid Smoking and Tobacco ProductsSmoking and tobacco use increase the risk of gum disease and compromise your oral health.Follow a Healthy DietA balanced diet low in sugary and acidic foods can help maintain healthy teeth and gums.A mouth abscess should never be ignored. Seeking professional dental care is essential to effectively treat the abscess and prevent the infection from spreading. Coombe End Dental encourages regular dental check–ups and diligent oral hygiene practices to minimise the risk of developing abscesses and other dental issues. By following these steps and adopting preventive measures, you can maintain a healthy and pain–free smile.

(07/04/2024)
by Coombe Dental Care

More Information: N


Views: 569
Share
Share

Simple Steps for Managing Your Patient's Toothache

It all begins with the phone call: "I’m in terrible pain. I need an appointment ASAP to see the doctor."

Often we get these calls in the middle of a busy day. Managing patients with acute pain is a crucial cornerstone of most dental practices and this needs to be done methodically, consistently and efficiently every time.

If all aspects of the workflow were to go right, what would that look like? Let's examine the steps behind diagnosis and treatment of a case of acute irreversible pulpitis.

1. ​Gathering information on the patient's condition

The front desk person has to listen with empathy, gather all the required information from the patient and then schedule the most appropriate appointment time.

Capture and record the patient's chief complaint in his or her exact words

Location, severity and trigger factors of patient's pain

New forms or updates to medical and dental history if they are current patients

Ask: Does the patient need medicine before this appointment?

Help the patient understand financial/paperwork obligations for the visit

2. ​Preliminary evaluation

The assistant reviews all the information. When she seats the patient in the chair, she narrates to them what she knows about the problem. Then she LISTENS to the patient's story.

Get an intraoral image of the tooth/quad

When the dentist is in the room, narrate the findings. Start by saying the patient's name and then stating the chief complaint in their words

Begin the appropriate notes in the chart 

3. Clinical exam checklist

Evaluation of soft tissue: Inflammation, swelling or draining fistula

Evaluation of teeth: Defective restorations, cracks, decay or fracture

Perio-probing: Walk the probe around the circumference of suspect teeth

Periapical test by palpation and percussion of all the teeth in the quad and the opposing quad

Bite stick test to check for cracked tooth syndrome

Pulpal health: Check control teeth and then suspect tooth with Cold test. If results are inconclusive, an Electric Pulp Test can help supplement the diagnosis

Radiographic evaluation

4. ​Controlling tooth pain

If the patient is in significant pain, it helps to get it under control with a local anesthetic right away. This option is offered to the patient.

Local anesthetic block injection.

If patient has not taken a pain medication in the last four hours, offer the appropriate OTC pain medication.

Blocking the transmission of pain to the CNS by giving local anesthesia will help the sensitized central pain receptors to return to normalcy. In addition, ibuprofen combined with acetaminophen helps relieve pain and reduce the local mediators of inflammation.

5. Communicating the diagnosis and treatment plan

With the acute pain in control, the patient is in the right frame of mind to now hear the diagnosis. The following need to be addressed:

Diagnosis

Endodontic Tx plan

Restorative Tx plan

Pain management plan

6. ​Initiating most effective, immediate treatment for toothache

In this situation, pulpectomy would be the most ideal immediate treatment.

Check adequate anesthesia on the tooth with a Cold Test.

If needed, supplement with 4 percent articaine infiltration.

Additional long acting anesthesia given as a block helps ensure adequate pain control.

Create a small access hole into the pulp chamber and place intra pulpal anesthesia. Keeping the access hole small helps create backpressure, which is necessary for successful intra pulpal injections.

Complete pulpectomy under rubber dam.

Occlusal reduction.

7. ​Post-pulpectomy home care

Patient is instructed to take the analgesic every four to six hours for the first few days. This allows for consistent blood level of the drug and ensures consistent pain relief. Prescription pain medications follow a flexible protocol. This provides the best pain control with minimal side effects.

If the patient can take them, maximize the NSAID dose (i.e 600mg of Ibuprofen q6h).

Add acetaminophen if additional pain control is needed.

Give the patient the option of narcotic medications, which can be taken in place of acetaminophen if additional pain control is needed.

Antibiotics are only needed in selective cases when there is swelling.

8. ​Following up after treatment

A follow-up call that night or the next day goes a long way in ensuring patient comfort and is a great practice builder. Following these eight steps, you can consistently expect successful results.

(07/03/2024)
by Spear

More Information: N


Views: 393
Share
Share

Which Oral Pains Are a Dental Emergency and Which Can Wait?

Dental problems cause some of the most uncomfortable and debilitating pains in your teeth, gums, and jaw. If you are one of the thousands of Americans who suffer from toothaches constantly, you agree with us. We’re sure you’ll agree with us if you’ve ever had a toothache! Oral pains are distracting and debilitating. While it may be tempting to contact the dentist right away for immediate help, not all cases of oral pains are dental emergencies and can wait. 

We’ve compiled a list of the major problems where you should see a dentist straight away and minor ones that can be addressed later. You should still visit a dentist if you suffer from any oral pain, but these are minor issues that do not require immediate medical attention.

Along with our guide to what is and isn’t a dental emergency, we’ve included some tips on how best to look after your dental health and keep your teeth looking and feeling their best.

Some oral pains are signs of serious problems that should be addressed by a professional as soon as possible.

1. Agonizing Toothache

You shouldn’t ignore any toothache, but some pose a more significant threat than others. A toothache with a deep and ceaseless pain can be an indicator of severe tooth decay. Here’s how you know if a toothache needs to be treated right away: 

Pain is continuous and throbbing, even when no pressure is applied to the tooth. 

Discomfort continues for more than one day

Your toothache is paired with fever, earache, or any other symptoms. 

After a thorough physical examination, the dentist will determine the best treatment to ease pain and treat the condition. These may include: 

Filling in a cavity 

Extracting the damaged tooth entirely

Performing a root canal 

2. Oral Abscess

An oral abscess is another reason for calling the dentist straight away. An abscess occurs when an infection forms a pocket of liquid around the root of the tooth, causing severe discomfort in the jaw and gum. An oral abscess cannot be left untreated, as this will lead to the infection spreading to other teeth or into the jaw and neck bone.

When your gum is swollen and red, you are experiencing pain in your tooth, gum, or jaw, and/or you’re having trouble breathing and swallowing, you may be suffering from an oral abscess. Visit a dental expert immediately to get it sorted.

3. Severely Cracked Tooth

The moment a tooth is severely cracked or fractured, you are at risk of developing an infection and may find it painful to chew or swallow. It can happen as a result of a tooth cavity, a fall, or another accident. These large cracks in your teeth don’t just put your oral health at risk, but any infection that develops will have a substantial effect on the health of the entire body. 

 

4. Knocked Out Tooth

If your tooth has been knocked out, you need to act quickly. Get to the dentist as soon as possible – ideally within 30 minutes of the incident – like every minute can make a difference between saving and losing your tooth. To maximize the dentist’s chances of saving your tooth, here are a few steps to follow: 

Pick up the tooth by the crown, the surface that you chew with, not by the root. 

If it’s dirty, lightly rinse it with water, do not use any chemicals or soap. 

You need to keep the tooth moist, so either reposition it within the socket or put it in a bag filled with a small amount of milk inside. 

Get to the dentist as fast as you can, within 30 minutes if possible. 

Minor Problems – The Dentist Can Wait

These oral problems might be disconcerting or painful, but they are not dental emergencies. Book an appointment to see your family dental team and get these sorted, but there is no need to stress and head right over to the clinic. 

1. Mild Toothache

Toothaches are never a pleasant business, but there are many causes for toothache, not all of which require urgent medical attention. Unless the toothache is: 

Causing you serious ongoing pain 

Showing other symptoms of being unwell such as fever or jaw pain 

Preventing you from eating

You do not need to rush straight to the dentist’s, although you should see them in the future for a checkup, so the problem doesn’t grow into something worse.

2. Chipped Tooth

A chipped tooth can happen for a variety of reasons. Whether from a sporting accident or from eating something crunchy, it’s a common dental issue, and it does not call for an emergency trip to the dentist. The enamel that coats your teeth provides a strong protective layer, but if enough force is placed upon it, pieces can break off. The likelihood of this happening increases as you age and your tooth enamel wears down.

Wash your mouth out with salt water to prevent infection, and eat soft foods so as not to damage the tooth any further. Your dentist at Sheehan Dental will be able to repair, fill or smooth off the chipped tooth to prevent any future problems from developing.

3. Bleeding Gums

Bleeding gums are among the most common issues affecting oral health. Whether accompanied by pain or not, bleeding gums can be a sign of the early stages of gum disease. Bleeding gums are often caused by the buildup of plaque and can be treated by improving your dental hygiene.

Make sure to talk with your dental team during your next checkup if you are experiencing bleeding gums. However, if you notice a little bit of blood while you brush your teeth, there is no need for rushing over to your local clinic. 

Tips for Healthy Teeth and Gums

Most oral pain and dental emergencies can be prevented by practicing good dental hygiene and keeping your teeth healthy.

Brush your teeth thoroughly at least twice – before breakfast and before you go to bed. Replace your toothbrush regularly. If you use an electric toothbrush, follow the manufacturer’s recommendations for replacing the head. 

Floss and use a dentist-approved mouthwash once a day to remove food and plaque that can get trapped between teeth

Avoid smoking or chewing tobacco as this can lead to discoloration and gum disease.

Protect your teeth during sports using a dental shield

Avoid damaging drinking liquids, such as fruit juice, coffee, and alcohol. Drink through a straw to help protect your teeth

Visit your dentist regularly – at least once every six months for a checkup and professional clean.

There is a fine line between what is and isn’t a dental emergency, so it’s important that you’re informed before contacting your dentist if something doesn’t feel right. We hope this list helps clarify the different grades of oral problems and helps you make the best decision for your teeth if you ever have an issue.

(07/04/2024)
by Dental House

More Information: N


Views: 482
Share