Dentists Journal

Top Ten Stories of the Week
11/28/2020

All Dentists Journal · Previous Week · This Week · All Time List · Headlines

Share

Anemia Gums And Your Oral Health

Anemia occurs when your body doesn't create a sufficient amount of red blood cells. Because these cells carry oxygen throughout your bloodstream, not enough of them keeps the body from getting the oxygen it needs. This can lead to a variety of symptoms, including lack of color of the gums, soreness in the tongue and other problems affecting your oral health just as much as your energy level.

How anemia affects oral tissue:

Because anemia reduces the number of red blood cells present, one common symptom is paleness in the gums, which some have come to consider anemia gums. Instead of a normal, healthy pink, they begin to take on a faded or even whiter shade of their normal color. This paleness can also affect the tongue and the mucous membranes inside your mouth, as well as your palms and the linings of your eyes, as explained by the National Institutes of Health (NIH). These are important symptoms of anemia and should be evaluated by a doctor as soon as possible.

Other effects of anemia on the oral tissues include:

Pain in the tongue.

Redness of the tongue.

A swollen tongue, or glossitis.

What it can lead to:

No matter how it may feel, your dentist should evaluate any changes in the appearance of your tongue, gums and surrounding tissues in your mouth. These types of changes could indicate systemic problems or serious illness. Diseases that affect the bone marrow – leukemia, for instance – can cause symptoms that resemble anemia gums.

If you have persistent anemia, let your dentist know. He or she may prescribe special antimicrobial rinses like Colgate® PerioGard® Rinse to help prevent gum disease, or antibiotic drugs to reduce your risk of related infection. If you have undergone dental work or oral surgery, you might need treatment to prevent excessive bleeding as well. This can mean altering the types of treatments and tools your dentist uses during treatment. Patients with severe anemia might even require oxygen during treatment to compensate for anemia's hindrance on the amount of oxygen in your bloodstream.

Treatment for anemia:

There are different types of anemia, but the end result is a lack of red blood cells, reducing the amount of oxygen that is carried to the body's tissues. Keep in mind that treatment can differ based on the type of anemia in question. For example, pernicious anemia is caused by a lack of vitamin B12, as described by the National Heart, Lung, and Blood Institute (NHLBI). Therefore, treatment involves supplying this vital nutrient.

The most common form of anemia, iron deficiency anemia, occurs because the body does not process the iron that keeps you focused and resilient during the day. Treatment can include iron supplements, as well as changes in the diet to include iron-rich foods such as red meat and dark greens. Fanconi anemia, according to the NHLBI, is a genetic condition that increases the risk of oral cancer. Patients with this type of anemia must visit the dentist consistently for oral cancer screenings as well as regular dental care.

Avoiding anemia:

Anemia is often self-induced, and can therefore be prevented through a healthy, well-rounded diet. Iron is most readily found in meats, eggs and certain fruits and vegetables like prunes, kale and spinach. Consult with your doctor to see if supplementation is necessary, and in slow-release forms that don't upset your stomach. Vitamin B12 is similarly found in most meat products, as well as multivitamins.

If you notice paleness in your gums, speak to your dentist or doctor. Further examination might be necessary to determine a proper diagnosis and effective treatment.

(11/20/2020)
by Colgate

More Information: https://www.colgate.com/en-us/oral-health/threats-to-dental-health/anemia-gums-and-your-oral-health


Views: 1,199
Share
Share

How The Lymphatic System Impacts Dental Health?

What is the Lymphatic System?

The human lymphatic system is a network of tissues and organs made up mostly of lymphatic vessels, which are somewhat similar to the circulatory system’s veins and capillaries. It helps the body get rid of waste, toxins, and other unwanted materials.

The lymphatic vessels transport lymph, a clear, colorless fluid. The name derives from the Latin word “lympha,” meaning “connected to water.” Lymph is rich in the white blood cells that combat infection.

The lymphatic vessels connect to lymph nodes that filter the lymph. Hundreds of lymph nodes are present in the body from the head down to around the knees and are found both deep inside and near the surface, for example, in the armpits and groin.

The spleen, thymus, adenoids, and tonsils are all components of the lymphatic system. The spleen is the largest of the lymphatic organs. It filters blood to control the number of red blood cells, regulates blood storage, and detects potentially dangerous viruses, bacteria, and other microorganisms in the blood, it, along with the lymph nodes, creates white blood cells called lymphocytes to protect against the unwanted organisms by generating antibodies that destroy them and prevent infection from spreading. (This is why, although people can live without a spleen, those who lack them are more susceptible to infection.)

The Lymphatic System and Dental Health:

From the above, it’s easy to extrapolate how the lymphatic system impacts dental health in particular. The tissues in the teeth and gums are, after all, parts of the body and share in all its needs and vulnerabilities. The blood that flows there needs to be cleaned to eliminate toxins, produce a healthy resistance to infection, and keep the teeth and gums free of disease and pain.

Drainage Considerations of the Lymphatic System:

So we know that the lymphatic tissue helps with detoxing of the body and helps boost the immune system. But what happens when the system is damaged somehow? Damage to lymphatic vessels,nodes, and tissues, whether it is the result of surgery or from trauma will have a negative effect on the functioning of the system.  Post-surgical swelling is common when lymphatic tissues are involved and during recovery, the drainage is impaired. It is important to watch closely for infections and other signs of toxicity during this time. Dysfunction or injury to the lymphatic system that is severe and not properly monitored or that does not heal as it should will result in long-term consequences including lymphatic swelling or lymphedema. Why does this matter in regards to dental health? Many dental procedures, even simple cleanings, expose teeth and gums and carry a small chance for infections; surgical procedure and more involved treatments have a higher risk. This, combined with a lymphatic system that is not operating as it should mean that side effects could potentially be severe.  In addition, long-term dental trauma and health will be determined by how the lymphatic system impacts dental health:

“When a tooth gets infected or has a mercury filling, its contents drain via the lymphatic system (drainage system of the body) to the entire body, which can affect any area. A lot of depression problems stem from toxins from root canal teeth, which can directly affect the thyroid. When the thyroid becomes dysfunctional multiple symptoms can occur: depression, anxiety, panic attacks, muscle spasms, weak ligaments, constipation, thinning of the hair, vertigo, tinnitus, balance problems, insomnia, heart palpitations, acne, tooth decay, weak immune system (chronic infections), brittle nails, headaches, digestion problems, dry skin, mental fog, poor memory to name a few” 

(11/23/2020)
by Mathew Bullock

More Information: https://www.comfortcaredentists.com/how-the-lymphatic-system-impacts-dental-health/


Views: 827
Share
Share

HPV infection linked to poor oral health

Infection with oral human papillomavirus (HPV) – a main cause of throat cancer – could be linked to poor oral health, including gum disease, according to a study published in the journal Cancer Prevention Research.

Researchers from the University of Texas Health Sciences Center in Houston analyzed data from the 2009-2010 National Health and Nutrition Examination Survey (NHANES), which was carried out by the National Center for Health Statistics of the Centers for Disease Control and Prevention (CDC).

Some 3,439 participants were included in the data, aged between 30 and 69 years. Participants were chosen based on their available oral health data and the presence or absence of 19 low-risk HPV types, as well as 18 high-risk HPV types in the oral cavity.

The oral health data included the following four measures:

Self-rating of overall oral health

Presence of gum disease

Use of mouthwash to treat dental problems (within past 7 days of survey)

The number of teeth lost.

Factors that may influence HPV infection were also analyzed, including age, gender, marital status, marijuana use, cigarette smoking and oral sex habits.

Oral health an ‘independent risk factor’

The findings showed that the participants who reported bad oral health had a 56% higher risk of developing oral HPV infection compared with those who had good oral health.

Those with gum disease showed a 51% higher risk of oral HPV infection, while those with dental problems had a 28% higher risk. The researchers were also able to link oral HPV infections to the number of teeth lost.

Additionally, the findings showed that males who smoked cigarettes, used marijuana and participated in oral sex regularly had increased risks of oral HPV infection.

They note that self-rated overall oral health was an independent risk factor for the infection, as the link did not vary regardless of whether the participant smoked or had multiple oral sex partners.

Thanh Cong Bui, postdoctoral research fellow in the School of Public Health at the University of Texas Health Sciences Center, says:

“Poor oral health is a new independent risk factor for oral HPV infection and, to our knowledge, this is the first study to examine this association.

The good news is, this risk factor is modifiable. By maintaining good oral hygiene and good oral health, one can prevent HPV infection and subsequent HPV-related cancers.”

(11/26/2020)
by Medical News Today

More Information: https://www.medicalnewstoday.com/articles/265083#Oral-health-an-independent-risk-factor


Views: 748
Share
Share

Can Probiotics Help With Gum Disease?

More than 700 kinds of bacteria can live in your mouth -- some helpful, and some harmful. Don’t run for your toothbrush or mouthwash just yet. As long as they’re in balance, the “good” kind keep the “bad” ones from hurting you.

But if that balance gets out of whack, the harmful ones can take hold and lead to gum disease.

You might have heard how good bacteria in certain foods and supplements (called probiotics) may help with this kind of imbalance in your gut. Well, scientists are finding that they may help fight gum disease in much the same way.

That might give you and your dentist another tool to use to treat or prevent gum issues along with the standard ones.

How Does the Imbalance Happen?

Researchers are still trying to sort out what lets the harmful bacteria go to work in your mouth. The triggers can include:

Not taking care of your teeth and gums. This lets the bad bacteria multiply and shifts the balance.

A weak immune system. This can affect the way the bacteria in your mouth relate to one another and give the harmful kind an advantage.

Your body’s genetic blueprint. Some people may not have enough of the helpful bacteria, or they may be more likely to have the bad kind.

Dry mouth. Your saliva has substances that help fight harmful bacteria. But some medicines, like painkillers and decongestants, can affect how much you have.

How Does That Lead to Gum Disease?

An imbalance of bacteria can affect your body’s defenses and keep your white blood cells from killing harmful bacteria. Those bacteria can inflame your gums. That inflammation, in turn, gives off chemicals that feed bad bacteria, which multiply. More bacteria inflame your gums and start to eat away at the bone that anchors your teeth.

If this goes on long enough, your gums and the bone that supports your teeth can be ruined. You might end up losing teeth.

It also can set you up for tooth decay and bad breath. Researchers think it also may help cause oral cancer.

And if you have too many harmful bacteria in your mouth, they can move to other parts of your body and may be linked to:

Diabetes, Heart disease, Rheumatoid arthritis.

Probiotics and Gum Disease:

A group of helpful bacteria called lactobacilli can fight several kinds of bad bacteria and may help restore a healthy balance in your mouth.

Researchers put some of this bacteria into chewing gum and asked people with the gum disease gingivitis to use it every day. (With gingivitis, your gums are red and swollen and bleed easily.) After 2 weeks, the teeth of the people in the study had less plaque -- the clear, sticky film that can cause cavities or gum disease.

Another study found that lozenges with the same kind of bacteria also helped with inflammation and plaque.

If you have gum disease or are worried about it, talk with your dentist about whether a probiotic like this might be good for you. But remember that the most important things you can do to guard against gum disease are to brush and floss your teeth.

(11/20/2020)
by WebMD

More Information: https://www.webmd.com/oral-health/probiotics-gum-disease


Views: 838
Share
Share

What is Noma (Cancrum oris)?

Noma, also known as cancrum oris or gangrenous stomatitis, is a severe and aggressive gangrenous process (a condition wherein body tissues die due to infection or lack of blood supply) that affects the mouth, nose, and lips. This fatal disease is particularly prevalent among children in sub-Saharan Africa, with an estimated frequency of 1 to 7 cases per 1,000 individuals.

Noma usually begins as an ulcer on the mucus membrane at the alveolar margin of the mouth and rapidly spreads into other parts of the mouth, including teeth, jawbone, cheek, tongue, lips, and nose. This eventually results in extensive necrosis and destruction of soft tissues and bones.

Pathogenesis of Noma:

The exact pathophysiology of noma is not completely understood. The disease mostly affects malnourished children living in underdeveloped tropical countries who have had systemic diseases, such as malaria, measles, primary herpes simplex, scarlet fever, tuberculosis, cancer, or enteritis. In other words, a combination of malnutrition, bacterial infection, and compromised immunity is considered to be the main reason behind the onset and progression of this devastating disease.

Signs and Symptoms:

The typical signs and symptoms of noma include swollen gums, swollen cheek lining, and ulcer formation. These ulcers spread rapidly and destroy oral and paraoral soft tissues and bones, causing deformity of the face and loss of teeth. The color of the oral cavity may also change into a greyish color.

In addition, the ulcer rapidly turns into edema with foul-smelling drainage, causing bad breath and skin odor. This also causes excessive saliva secretion from the mouth.

Diagnosis:

A physical examination is done initially to check for inflamed mucus membranes, oral cavity ulcers, and skin ulcers. This is followed by taking a detailed medical history of the patient.

X-ray, MRI, or CT scans of the jaw, head, and neck can also be done to check the extent and severity of the damage.

Bacterial culture analysis using oral swabs can be done to detect the causative species. In some special cases, biopsy of the oral tissue is also performed.

Blood tests are recommended to determine the immune system functioning.

Treatment:

The conditions associated with noma are often life-threatening, if not treated appropriately on time. Complications mainly include face deformity, discomfort, difficulty eating, drinking, and even speaking, and social isolation.

Administration of systemic antibiotics along with proper nutrition is considered to be the golden standard for managing noma. Supplementation with folic acid, iron, vitamin B complex, and ascorbic acid is also recommended in some cases. In addition, measures should be taken to avoid dehydration and maintain proper electrolyte balance.

 

Plastic surgery is necessary to reform facial bones and regain the function of mouth and jaw, in addition to removing damaged tissues.

(11/25/2020)
by Dr. Sanchari Sinha Dutta, Ph.D.

More Information: https://www.news-medical.net/health/What-is-Noma-(Cancrum-Oris).aspx


Views: 853
Share
Share

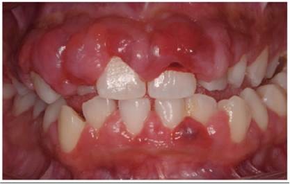
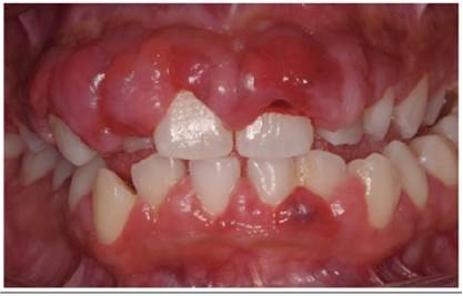
What Is Gingival Hyperplasia And How Is It Treated?

Gingival hyperplasia is an enlargement or overgrowth of the gum tissue, also known as the gingiva, around the necks of the teeth. It is an increase in the size of the gingival tissues and thus the term overgrowth is many times used in place of the term hyperplasia.

Read on to learn the facts about the condition, what causes it and how it is treated.

The Root Cause:

Gingival overgrowth can be caused by several mechanisms but will have very similar appearances. A study in the journal Histopathology describes the condition as "a small papillary or velvety bright red gingival overgrowth that bleeds easily." However, the overgrowth can be extensive and round in appearance. It is usually found on the front of the teeth and can be on the tongue side in some cases.

One of the causes is inflammation. The inflammation can be induced by poor oral hygiene or from a dental appliance like orthodontic braces. Other factors include systemic conditions (like hormonal imbalances or leukemia), medications or heredity conditions, according to the American Academy of Oral Medicine (AAOM). Also, localized overgrowth can be a benign or malignant lesion.

Drug-Induced Gingival Hyperplasia:

The drugs that have been associated with overgrowth fall into three categories: anti-seizure medications, immunosuppressant medications used in transplant patients and calcium channel blockers used to treat various cardiovascular conditions like high blood pressure.

According to a study published in the Journal of Indian Society of Periodontology, gum inflammation may be an initiating factor of a gum overgrowth. Therefore, it is important to notify your dentist or dental hygienist if you take any of these drugs. He or she can then pay special attention to make sure these agents do not start to affect the gingiva.

Diagnosis and Treatment:

As there can be several reasons for the overgrowth, it is important to receive the right diagnosis.

A biopsy may be necessary to rule out pathological conditions. If the cause is gingival inflammation, then periodontal therapy and improved oral hygiene will be needed. If the cause is a medication, then your physician may need to be consulted. Stopping or changing the medication can help limit the overgrowth, but never stop a medication on your own. Just stopping the medication will not reverse the overgrowth, so additional treatment is usually required.

Surgical Removal:

In the end, the overgrown gums may need to be surgically removed. The AAOM notes that good oral hygiene, especially the effective removal of plaque between the teeth, can alleviate the condition. In the case of drug-induced overgrowths, if patients are not able to discontinue the medication, surgical removal may be the only effective treatment. This can be done with a scalpel or laser.

However, if the root cause is not adjusted, the enlargement will return, and surgery may have to be performed numerous times. Pressure devices that look like night guards are sometimes used to try and limit the rate of rebound of the tissues. Also, your dentist may have you return every three months to clean the areas to limit the effects of inflammation on the soft tissues.

(11/24/2020)
by Colgate

More Information: https://www.colgate.com/en-us/oral-health/gum-disease/gingival-hyperplasia


Views: 842
Share
Share

Leukoplakia causes and treatment

Leukoplakia is a condition that involves white patches or spots on the inside of the mouth. It can be caused by chewing tobacco, heavy smoking, and alcohol use.

It’s the mouth's reaction to ongoing (chronic) irritation of the mucous membranes of the mouth. Leukoplakia patches can also develop on the female genital area; however, the cause of this is unknown.

Leukoplakia patches can occur at any time in your life, but it is most common in senior adults.

"Hairy" leukoplakia of the mouth is an unusual form of leukoplakia (caused by the Epstein-Barr virus) that only happens in people who are infected with HIV, have AIDS, or AIDS-related complex. White, fuzzy patches show up on the tongue and sometimes elsewhere in the mouth.

Causes of leukoplakia include:

Irritation from rough teeth, fillings, or crowns, or ill-fitting dentures that rub against your cheek or gum

Chronic smoking, pipe smoking, or chewing tobacco

Chronic inflammation or irritation

Prolonged alcohol use

Sun exposure to the lips

Oral cancer (although rare)

HIV or AIDS.

Leukoplakia Treatment:

Treatment for leukoplakia, if needed, involves removing the source of irritation. For example, if leukoplakia is caused by a rough tooth or an irregular surface on a denture or a filling, the tooth will be smoothed and dental appliances repaired. If leukoplakia is caused by smoking, you’ll be encouraged to minimize or stop smoking or using other tobacco products.

Leukoplakia is usually harmless, and lesions usually clear in a few weeks or months after the source of irritation is removed. If eliminating the source of irritation is ineffective in reducing leukoplakia, the lesion may need to be surgically removed. The lesion can be removed either by your general dentist or by an oral surgeon.Hairy leukoplakia needs treatment with an antiviral medication.

Leukoplakia Prevention:

The best way to prevent leukoplakia is to avoid the things that may cause it. Try these lifestyle changes:

Stop smoking or using tobacco in other ways.

Limit your alcohol.

Eat a healthy diet with lots of fruits and vegetables.

Vitamin A and beta-carotene supplements may help.

(11/25/2020)
by Web MD

More Information: https://www.webmd.com/oral-health/guide/dental-health-leukoplakia


Views: 941
Share
Share

Oral candidiasis, causes, types and treatment

Oral candidiasis is an opportunistic infection of the oral cavity often caused by the overgrowth of Candida, a yeast-like fungus commonly found in the gastrointestinal tract of humans, as normal skin flora and in mucous membranes.

Candida albicans (C. albicans) accounts for around 80% of infections and can colonise the cavity, either alone or in combination with non-albican species, including Candida glabrata and Candida tropicalis.

With increased availability and prescribing of broad-spectrum antibacterials (e.g. penicillins, fluoroquinolones, macrolides) and immunosuppressive agents (e.g. corticosteroids, azathioprine, methotrexate), and with increased immunosuppressive comorbidities, including diabetes, cancer and AIDS, there has been an increase in the number of reported cases of opportunistic oral Candida infections. While not life-threatening for most patients, it can cause significant patient discomfort and, in elderly or hospitalised patients, can result in significant morbidity owing to impaired nutrition.

However, in severely immunosuppressed patients, invasive and life-threatening systemic Candida infection may develop. A tertiary care hospital reported that, of their patients suffering from Candida bloodstream infection, 45% received immunosuppressive therapy.

More than half a million prescriptions for oral Candida infections are issued each year in England.

Classification:

Pseudomembranous candidiasis is the most common type and is characterised by an extensive white ‘cottage cheese-like’ film, found on the buccal mucosa, tongue, periodontal tissues and oropharynx. The plaque can usually be scraped off to expose an underlying erythematous mucosa. If thrush is associated with the use of corticosteroid inhalers, rinsing the mouth with water (or cleaning a child’s teeth if not able to rinse and spit) immediately after using the inhaler may avoid the problem. Patients should be counselled on good dental hygiene on initiation of corticosteroid inhalers.

Acute atrophic candidiasis is associated with a burning sensation in the mouth or on the tongue, and often referred to as ‘antibiotic sore mouth’, because of its association with prolonged use of broad-spectrum antibiotics. The tongue may be bright red and painful. Although this type of candidiasis is less common, diagnosis may be difficult, but should be considered in the differential diagnosis of a sore tongue, especially in a frail, older patient with dentures who has received antibiotic therapy or who is on inhaled steroids. Other conditions that may be confused with acute atrophic candidiasis include mucositis, denture stomatitis, erythema migrans, thermal burns, erythroplakia and anaemia.

Chronic presentations of oral candidiasis can occur, often with chronic inflammation associated with denture usage.

Classification:

There are several classifications of oral candidiasis, and their similarities and differences are outlined below.

Pseudomembranous candidiasis is the most common type and is characterised by an extensive white ‘cottage cheese-like’ film, found on the buccal mucosa, tongue, periodontal tissues and oropharynx. The plaque can usually be scraped off to expose an underlying erythematous mucosa. If thrush is associated with the use of corticosteroid inhalers, rinsing the mouth with water (or cleaning a child’s teeth if not able to rinse and spit) immediately after using the inhaler may avoid the problem. Patients should be counselled on good dental hygiene on initiation of corticosteroid inhalers.

Acute atrophic candidiasis is associated with a burning sensation in the mouth or on the tongue, and often referred to as ‘antibiotic sore mouth’, because of its association with prolonged use of broad-spectrum antibiotics. The tongue may be bright red and painful. Although this type of candidiasis is less common, diagnosis may be difficult, but should be considered in the differential diagnosis of a sore tongue, especially in a frail, older patient with dentures who has received antibiotic therapy or who is on inhaled steroids. Other conditions that may be confused with acute atrophic candidiasis include mucositis, denture stomatitis, erythema migrans, thermal burns, erythroplakia and anaemia.

Chronic presentations of oral candidiasis can occur, often with chronic inflammation associated with denture usage.

Angular chelitis is defined as fissuring, scaling and erythema of the corners of the mouth. It may be associated with Candida infection, but can be co-infected with staphylococcus or streptococcus bacteria, which can complicate treatment and lead to other oral bacterial infections.

Risk factors:

Reduced salivary production can predispose patients to oral candidiasis, as salivary constituents inhibit the overgrowth of Candida. Therefore, conditions reducing the amount and characteristics of saliva secretions may lead to a Candida overgrowth.

Dental prostheses, such as dentures or fillings, can create a favorable environment for the Candida organisms to latch. Topical or inhaled corticosteroids temporarily suppress the oral immune system and cause alterations in the oral flora, leading to an overgrowth of Candida.

Unbalanced dietary intake of sugars, carbohydrates and dairy products can promote Candida growth by making the oral cavity more acidic and consequently favouring the Candida organisms.

Systemic factors:

Extremes of age may predispose individuals to candidiasis owing to immature or weakened immunity, along with the variations in the Candida carriage rates.

Malnutrition, particularly in iron but also in other nutrients such as essential fatty acids, folic acid, vitamins A and B6, magnesium, selenium and zinc, is often associated with increased risk of oral candidiasis. Iron deficiency diminishes the fungistatic action of transferrin and other iron-dependent enzymes used in suppressing fungal overgrowth in the oral cavity.

Prolonged use of broad-spectrum antibiotics (e.g. co-amoxiclav), or immunosuppressants (e.g. azathioprine), alters the local oral flora by killing off bacteria and suppressing the immune system. This results in a favorable environment for Candida to grow.

Diagnosis:

Recognition of the associated lesions, such as the white plaque seen in the Figure, via an oral or oesophageal examination (i.e. examining the back of the throat) should provide a diagnosis of the more common forms of oral candidiasis (e.g. pseudomembranous candidiasis). Diagnosis can, however, be confirmed microscopically via a mucosal smear or biopsy as a Candida overgrowth, and should be considered for refractory disease or the alternative presentations of the condition. A positive microbiology result for Candida alone does not indicate a necessity for treatment as patients are routinely colonised, as aforementioned. Oral candidiasis is uncommon in healthy adults and may be the first presentation of an undiagnosed risk factor.

Treatment:

Traditionally, topical antifungals are the preferred treatment for oral candidiasis. Locally administered antifungals offer the advantage of reduced systemic exposure, which results in fewer adverse drug reactions or interactions. The British National Formulary (BNF) lists two options: nystatin and miconazole. However, the four-times-per-day administration makes patient adherence for the requisite 7–14 days challenging. Reiterating the importance of this regular administration to patients for preventing infection can help improve compliance.

(11/21/2020)
by Royal Pharmaceutical Society

More Information: https://www.pharmaceutical-journal.com/cpd-and-learning/oral-candidiasis-causes-types-and-treatment/20208483.article?firstPass=false


Views: 897
Share
Share

Do Fillings Cause Mercury Poisoning?

Most research finds no relationship between fillings and symptoms of mercury poisoning.

Dental caries (tooth decay) are pervasive. The U.S. Centers for Disease Control and Prevention (CDC) reported that 41 percent of children had dental caries in their primary (baby) teeth and 90 percent of adults had caries in their permanent teeth.

Facts about Fillings:

Dental amalgam fillings contain powdered silver, tin, and copper combined with metallic mercury (liquid mercury, quicksilver). The components, mixed together in the dentist's office immediately before use, form a hard, stable material. These "silver" fillings have been used since the nineteenth century and are still used millions of times every year in the United States. The U.S. Food and Drug Administration (FDA) estimated that more than one billion dental amalgam fillings were placed between 1988 and 2008.

Amalgam fillings are widely used because they are strong and so provide durable chewing surfaces. They can be inserted more quickly than some other types of fillings, making them useful when treating children. They are less expensive to place than other types of fillings and they usually last longer.

Facts about Metallic Mercury:

Mercury is a naturally occurring substance found in earth, water, and air. Most people have measurable but small amounts of mercury in their bodies. Eating fish and shellfish is associated with higher mercury levels, as is working with or handling mercury in an unprotected environment, for example, amateur smelting of gold ore. Another source of mercury in humans is vapor from the metallic mercury in dental amalgam fillings.

Metallic mercury, like other forms of mercury, occurs naturally. Also referred to as "silver mercury" and "quicksilver", metallic mercury has a long history of use in commercial and medical applications. Until recently, it was found in most fever thermometers used by consumers along with blood pressure monitors and other medical equipment.

Unlike other types of mercury, metallic mercury is essentially non-toxic if swallowed; it passes through a healthy gastrointestinal tract without being absorbed into the body or causing harm. Even swallowing metallic mercury from a broken thermometer, a dental amalgam preparation, or pieces of an amalgam filling would not cause mercury poisoning.

(11/23/2020)
by National Capital Poison Center

More Information: https://www.poison.org/articles/2010-dec/do-fillings-cause-mercury-poisoning


Views: 862
Share
Share

Autoimmune Diseases' Effect On Oral Health

Autoimmune diseases are disorders caused by a reaction of an individual's immune system to the tissues or organs of the person's own body. Most body parts can be affected by these diseases, and even though treatments exist to control symptoms, there are no cures. Some of these diseases affect the oral cavity and have a negative effect on oral health.

Understanding Autoimmune Diseases:

The purpose of the immune system is to defend the body from invading microorganisms. When the immune system attacks the body's own cells and tissues, autoimmune disorders occur. Many of these diseases share symptoms, such as fatigue, dizziness and low-grade fever. According to the Office of Women's Health, approximately 23.5 million people in the United States are afflicted with at least one autoimmune disease, and women are at greater risk of acquiring an autoimmune disease than men are. Heredity and hormones often play a role in the onset and symptoms of the diseases. Hormonal changes can cause symptoms to change, sometimes for the better but sometimes for the worse. There are oral manifestations of many autoimmune diseases.

Disease That Affects Saliva:

Sjögren's syndrome is the second most common autoimmune disease, according to Medscape. About 90 percent of the patients are women, and approximately 3 percent of all women over age 50 are affected by the disease. Some instances of Sjögren's syndrome are associated with rheumatoid arthritis. This disease attacks the glands, which leads to dryness of eyes, mouth and other body tissues. People afflicted with the disease may experience trouble eating and swallowing. Some patients' saliva takes on a thick consistency while other patients do not produce saliva at all. Both of these symptoms disturb taste and speech and cause an increase in dental cavities. The tongue may take on a cobblestone-like appearance because of the change in saliva. Patients with Sjögren's syndrome often get a fungal infection, called candidiasis, in the mouth. Good oral hygiene and frequent dental visits are needed to minimize the effects of this disease.

Diseases That Affect the Mouth:

Crohn's disease involves the entire GI tract. This disease usually occurs in the patient's 20's and 30's but may also occur later in life in the 60s and 70s, according to Medscape. Crohn's disease affects the oral cavity in 8 to 29 percent of the patients who have this disease. The oral symptoms of Crohn's include swelling of the gums, ulcers in the mouth and swelling of the lips. These symptoms can cause eating difficulty and may be among the first of the disease's symptoms to appear.

Systemic lupus erythematosus damages body parts including skin, joints and kidneys, according to the Office of Women's Health. It mostly develops in young women, but it can affect people of either gender at any age. This disease causes fever, weight loss and a butterfly rash across the nose and cheeks. The oral manifestation that is most significant is mouth ulcers; the sores may not cause the patient pain.

Psoriasis is an autoimmune disease of the skin. It affects about 2 percent of the population of the United States, according to Medscape. It typically develops in a patient's 20's or 30's. The scalp, elbows and knees become affected with scaly white plaques. Although psoriasis is not common in the mouth, oral lesions may occur on the lips, tongue, palate and gums.

Diseases That Affect Swallowing:

Hashimoto's disease is an inflammation of the thyroid. It is the most common of diseases that cause an underactive thyroid, according to the Office of Women's Health. Women are more likely to get this disease than men are, and it often occurs at middle age. This disease can cause facial swelling, weakness, fatigue and sensitivity to cold. The throat may swell to such a degree that patients have difficulty swallowing.

Scleroderma causes abnormal growth of connective tissue in the skin and blood vessels and can lead to organ failure. The disease can cause skin to become thick or cause facial skin to become extremely tight. People with this disease may have trouble swallowing.

There are more than 80 different autoimmune diseases. The number of people with autoimmune disorders is growing, yet many of these diseases are difficult to diagnose. If you experience any of the symptoms described, seek a doctor with experience in treating these types of diseases, and make sure to have frequent dental exams and good oral hygiene to combat or neutralize the negative oral effects of the disease.

(11/22/2020)
by Colgate

More Information: https://www.colgate.com/en-us/oral-health/immune-disorders/autoimmune-diseases-effect-on-oral-health


Views: 770
Share