Top Ten Stories of the Week
11/2/2024
All Dentists Journal · Previous Week · This Week · All Time List · Headlines

Missing, broken, or decaying teeth can impact your quality of life. It affects your smiling confidence, ability to chew food, and general oral health. Luckily dental implant surgery can help with this problem.
Dental implant surgery involves artificial teeth being implanted into the jawbone. Metal screws replace the teeth’ roots and attach to artificial teeth that look and function like regular teeth.
The dental surgeon uses general or local anesthesia or opts for IV sedation. Then, they will cut the gum and drill holes deep into the bone for the dental post, which acts as the artificial tooth’s root.
The bone around the screw needs time to grow into and around the post, which can take several months. However, once it’s healed, it provides a strong, solid base for your artificial tooth.
Unfortunately, you’ll have to wait for the bone to heal before inserting the artificial tooth. But, in the meantime, you can get a temporary tooth in its place. Just ask your oral surgeon about it.
Of course, like any surgery, you might have a few questions. Continue reading to get the answers to the commonly asked ones.
How Long After Dental Implants Can I Eat Normally?
Your teeth are responsible for the mechanical breakdown of food. Unfortunately, you can’t chew normally after dental implant surgery. Otherwise, it might damage the implant while it heals.
Usually, people can resume their regular eating habits within a week of dental implant surgery. Allowing a week of soft foods prevents suture bleeds and strain on the gums while ensuring proper gum healing.
What to Expect During the First Few Hours After My Dental Implant Surgery
Knowing what to expect after getting your dental implant is essential. It allows you to do everything possible to speed the healing process and get your million-dollar smile back.
In the first few hours after dental implant surgery, you can expect the following:
Feeling groggy immediately after the procedure, depending on the type of anesthesia.
Numbness of the gums and surrounding area.
Light swelling and bleeding at the surgical site.
Some discomfort as the local anesthesia starts wearing off.
You mustn’t poke around the surgical site, pull your lip to look at it, or fiddle it with your tongue during this time. If you do, it might cause unnecessary damage to the site and impede your healing time.
What Types of Food Should I Eat the First and Second Day?
Your teeth mash food, so your stomach can tolerate it, which puts strain on your gums. After surgically getting dental implants, you must eat suitable foods to avoid damage to the surgical site.
A soft food diet is recommended for the first and second days after dental implant surgery. Eating soft or liquid foods will ensure you don’t place unnecessary strain on the surgical site and allow proper healing.
During this time, you can eat foods like:
Soups that are smooth and don’t contain chunky bits,
Broths and bouillon,
Meal replacement drinks,
Protein shakes,
Nutritious smoothies
Yogurt or applesauce,
Mashed potatoes, and
Ice-cream.
Remember that your gums might be sensitive to heat and cold, making it difficult to eat foods like ice cream or hot soups. It all depends from person to person, though, so see what works for you. You should be good to go as long as it’s soft foods you can tolerate.
You might also find this interesting: What are all-on-4 dental implants and is for me?
What Can I Eat After the First Few Days?
After the first few days of soft and liquid foods, you should be ready to move on to foods with more sustenance.
After the first few days of dental implant surgery, you can include easily chewable foods into your diet, like:
Soft bread,
pasta,
macaroni and cheese,
rice,
cooked vegetables,
eggs,
pancakes,
potatoes, and
soft meats like chicken, fish, and ground beef.
The idea here is to incorporate chewable foods into your diet slowly. That way, you don’t place too much strain on your sutures, allowing the healing to continue without interruption. If you eat something that causes discomfort, put it off for a few more days before you try again.
Are There Any Foods I Need to Avoid and Why?
When you chew on food, bits and pieces rub against your teeth and gums. Usually, it isn’t a problem, but it might be right after dental implants.
To avoid foods damaging the surgical site, tearing the sutures open, or causing discomfort, avoid the following foods:
Hard, crunchy, and tough-to-chew foods require more bite strength to chew these foods. Because the numbing agent doesn’t wear off for a few days, you can bite your inner cheeks or tongue, causing injury. These foods can also damage or tear open the sutures and include popcorn, crackers, nuts, and crisps, to name a few.
Sticky foods require more chewing than other foods, which can be tough on your sutures. They can also get stuck on the dental implant, causing a risk of infection. These include foods like toffee, gum, and caramel.
Acidic foods irritate gums, creating a breeding ground for bacteria. While healing from your surgery, you want the surgical site to be free of opportunistic bacteria to promote speedy healing. Avoiding foods like citrus fruits, soft drinks, cheese, bread, and fried foods is best.
Hot or cold foods can irritate the surgical site, especially if you have a higher sensitivity. When the site is irritated, it allows bacteria to grow or an injury to occur. To prevent this, try having food and drinks at room temperature for a few days.
Are There Any Physical Activities I Should Not Do?
If you love being active, you’d probably want to return to physical exercise as soon as possible. Unfortunately, that might not be the best idea after you’ve had dental implants inserted.
Strenuous activity, like weight lifting or jogging, can damage the surgical site after dental implant surgery. Exercise increases blood flow throughout the body. When you’re recovering from dental surgery, it can cause throbbing, swelling, and even bleeding at the surgical site.
Lifting heavy weights can be especially dangerous because people tend to clench and unclench their jaws when they lift. It places more stress on the sutures and implant, risking the sutures to rip and cause unbearable pain. At the same time, jogging or jumping can worsen throbbing in the mouth, having the same effects as lifting weights.
Everyone reacts differently to dental surgery. Some can get back to exercising quicker than others. So, ask your dentist or dental surgeon if you’re unsure when to get back into your physical routine.
What kinds of questions should I ask my dental surgeon?
Getting dental implants might not be a big procedure, but there are things you should know before you get them. The most important thing is to ask your dental surgeon crucial questions to validate their abilities and know what to expect from the surgery.
Ask your dental surgeon the following questions about their abilities:
What training did you have in this field, particularly dental implants?
How many dental implants have you done, and how much experience do you have with this procedure?
What are your success and complication rates, and how do you manage complications?
How do you assess patient suitability for dental implant surgery?
Anyone would want a capable person cutting into their gums. So, knowing the answer to these questions will give you a good feel for your surgeon’s capabilities.
Ask your dental surgeon the following questions about the surgery:
What will the total procedure cost?
Will the new teeth match my existing teeth?
What should I do to prepare for the surgery?
What can I expect from the surgery?
What anesthesia will you use?
How long will the surgery take?
Knowing the answers to these questions is essential to prepare yourself for the surgery. That way, you know exactly what to do to let the procedure go off without a hitch.
Ask your dental surgeon the following questions about your recovery:
What can I expect immediately after dental surgery?
What oral care must I apply at each stage of the recovery process?
How can I ensure quick and proper healing of the surgical site?
What foods can I eat at each step of the recovery process?
When can I start exercising again?
Will there be a need for additional surgery?
Everyone is different, and even though you’ve researched the answers to these questions, they may differ for you. That’s why it’s best to ask your surgeon these questions to get tailored answers to your needs. Knowledge is power. The more you know about your surgeon, the procedure, and the recovery process, the better prepared you are.
The Bottom Line
Dental implant surgery can be scary, but knowing what to expect can ease some of the tension and anxiety you might feel.
Your teeth are your primary source of the mechanical breakdown of foods. Knowing what you can and can’t eat will ensure quick healing. To make it easier, consider making a list of the foods to avoid, those you are allowed to eat, and when.
Although exercise doesn’t directly impact your surgery site, it can impede healing. Strenuous activity like lifting weights and jogging isn’t the best idea within the first week after your surgery. Ensure to ask your surgeon when you can continue your exercise regimen.
Finally, for a dental implant surgery to be successful, you need a capable surgeon that knows what they’re doing. Please don’t be shy to ask them a few questions to set your mind at ease and prepare for the procedure you’re about to face.
(10/25/2024)More Information: https://www.dentalcarereport.com/how-long-after-dental-implants-can-i-eat-normally/

Waking up in the middle of the night with a dry, scratchy throat can be annoying. Not only is your sleep disturbed but you’ll most likely have to walk to the kitchen to drink some water. Even if you keep a glass of water on your nightstand, there’s no guarantee you’ll be able to go back to sleep afterward.
Having a dry throat at night, however, is pretty common, especially during winter. Most of the time, it goes away on its own. But if it happens often, that could be a sign of a more serious medical condition.
To prevent your throat from drying out at night, your first need to determine what causes it.
What Causes Dry Throat at Night?
A dry throat can be caused by a myriad of factors. Some of the most common ones are:
1. Stuffy Nose
When your nose is stuffy, you tend to breathe through your mouth. This, in turn, causes it to dry up leaving your throat feeling scratchy.
There are lots of factors that can get your nose all clogged up. The most common culprits are colds, flu, allergy, and sinus infections. Though nasal deformities and certain medical conditions may also prevent you from breathing through your nose.
2. Cold Dry Air
Because winter air has very low humidity, what little moisture that’s left in the environment gets sucked out. So as you inhale the cold dry winter air, moisture evaporates from your body leaving your nose, mouth, and throat parched.
3. Dehydration
In most cases, a dry throat at night is a symptom of dehydration. When your body doesn’t get enough water, it also struggles to produce the saliva necessary to keep your mouth and throat moist.
4. Sleeping With Your Mouth Open
Keeping your mouth open for a long period of time dries out your saliva which also leads to a dry throat.
Some people open their mouths unconsciously when they sleep. It’s especially common in people with sleep apnea as they often struggle to breathe through their nose when asleep.
People suffering from stress and anxiety may also experience shortness of breath and a feeling of being smothered. This, in turn, leads many to struggle for air and sleep with their mouth slightly ajar.
5. Medications
According to the American Academy of Oral Medicine (AOOM), there are over 1,100 medications that can potentially cause xerostomia or dry mouth. This includes common over-the-counter medicines like decongestants, antihistamines, antacids, and high blood pressure medications among others.
6. Allergies
If you have seasonal allergies, your immune system tends to release a substance called histamine. This is our body’s way of trying to get rid of pathogens that it perceives as threats.
Unfortunately, these histamines do more than just expel harmful pathogens from our bodies. It can also cause various allergy symptoms like cough, stuffy nose, inflammations, and dry throat among others.
7. Kissing Disease
Mononucleosis or “kissing disease” is a contagious infection caused by a type of herpes virus. As the name suggests, it’s commonly spread through contact with saliva. Though it mostly affects teens and young adults, anyone can get it at any age.
Aside from fever, fatigue, and swollen lymph nodes, this disease can also cause dry, scratchy, and sore throat.
8. GERD or Acid Reflux
Gastroesophageal reflux disease (GERD) or acid reflux happens when stomach acid flows back into your esophagus and mouth. Aside from heartburn, the refluxed acid can also irritate the linings of your esophagus and throat. This, in turn, dries out your throat making swallowing and even speaking difficult.
When left untreated, it can weaken the lining of your throat making it more prone to ulcers and scar tissue.
9. Tonsillitis
A dry throat is one of the first symptoms of tonsillitis. When your tonsils are inflamed, your throat feels very sore, and swallowing or even drinking water can be very painful. In general, the drier your throat is, the worse the pain will be.
10. Old Age
Dry throat, especially at night, is more common in older adults because our saliva components tend to change as we age. According to a 2021 study, our saliva contains lesser metabolites the older we get. This, in turn, can cause xerostomia and dry throat.
How to Prevent Your Throat From Drying Out at Night
Preventing dry throat at night depends on what causes your throat to dry out in the first place. But in general, you can prevent your throat from drying out by:
Drinking enough water. Keeping yourself hydrated ensures that your mouth can produce the saliva it needs to keep your oral cavities moist.
Avoid sugary drinks. Sugar can upset your mouth’s pH balance causing it to become more acidic and dry.
Avoid alcohol and caffeine. Coffee and booze can trigger GERD which, as you know, causes dry throat.
Avoid allergy triggers. Both allergy and anti-allergy medicines can dry out your throat so avoiding allergy triggers are your best bet.
Use a humidifier. This can moisten the air in your room and prevent your throat from drying out.
Use nasal strips. If you’re having sinus or congestion problems, applying adhesive nasal strips to the bridge of your nose can help. It helps to naturally open your nasal passages thus helping you breathe better.
Suck on a sugarless probiotic lozenge like Bionaze. The motion of sucking on a candy or lozenge stimulates saliva production in your mouth. Plus, probiotics can help boost your oral health by restoring the healthy balance of bacteria in your mouth.
When to See Your Doctor
Depending on the underlying cause of your dry throat, you may not need to see a doctor at all. Dry throat caused by environmental factors, allergies, and colds often goes away on its own.
However, if you experience chronic dry throat at night to the point that it affects your daily activities like eating or chewing, don’t hesitate to talk to your doctor.
(10/26/2024)More Information: https://bionaze.com/dry-throat-at-night/

Why Is the Roof of My Mouth Yellow? There are various reasons why the roof of your mouth may be yellow. However, some reasons, including jaundice, certain infections, and oral cancer, necessitate medical care. So, keep reading to learn more!
What is the roof of the mouth?
The palate, also known as the roof of the mouth, is the upper section of the mouth that divides the oral cavity from the nasal cavity. It is divided into two sections: the hard palate and the soft palate.
The hard palate
The hard palate is the bony front part of the roof of the mouth that separates the oral cavity from the nasal cavity. It helps with chewing and speech production, and any issues with it can affect a person’s ability to eat and speak properly.
The soft palate
The soft palate is the posterior (back) portion of the roof of the mouth that is composed of muscular tissue and connective tissue. It is located behind the hard palate and is not as rigid as the hard palate. The soft palate is responsible for closing off the nasal passages during swallowing to prevent food or liquid from entering the nasal cavity. It also plays an important role in speech production by helping to create certain sounds. The soft palate is movable and can be raised or lowered depending on the needs of the body.
Causes of Yellow roof of The Mouth​
Similar to having a yellow tongue, dental health, germs, and other illnesses can all contribute to a yellow mouth roof.
Oral hygiene issues
Inadequate oral hygiene can lead to an accumulation of microorganisms in the mouth. The color of the interior of the mouth might change as these bacteria grow. The tongue and roof of your mouth may turn yellow as a result of this. Bad smell, swollen or bleeding gums, and discomfort when chewing are other signs of inadequate dental hygiene.
Mouth breathing or dry mouth
When the salivary glands don’t generate enough saliva, it results in xerostomia or dry mouth. There may be a medical explanation for this, such as frequent mouth breathing. Saliva serves to keep germs from growing in the mouth. Bacteria can proliferate and cause your mouth’s roof to become yellow if there isn’t enough saliva produced.
Throat thrush
An overabundance of yeast in the mouth causes oral thrush. The roof of the mouth may develop lumps and yellow spots as a result. A burning tongue, chapped lips, and a loss of taste are some further signs of oral thrush. Although oral thrush is usually not hazardous, it can become problematic if it spreads to other body regions.
A keratosis
Little, uncomfortable ulcers known as “canker sores” develop within the mouth, notably on the roof of the mouth. Canker sores can be yellow or red in hue. The roof of your mouth could seem yellow if you have canker sores there. Canker sores often have moderate symptoms and resolve in a few weeks. Canker sores that do not disappear after a few weeks need to be examined by a dentist or physician.
Herpes oral
A herpes outbreak called oral herpes is brought on by the HSV-1 virus. The inside or outside of the mouth may develop these herpes lesions: tonsil stones, dry mouth, medical attention, oral thrush, healthcare provider, sore throat, red spots, white streaks.
Jaundice
An accumulation of a yellow pigment called bilirubin results in a dangerous illness known as jaundice. The malfunction of the liver or gallbladder is what typically causes this accumulation. Your mouth’s roof might become yellow if bilirubin levels in your blood increase. The most typical signs of jaundice include flu-like symptoms, yellow eyes and skin, and yellow skin. In the event that you experience any of these symptoms, call your doctor straight once.
Medicaments containing bismuth.
An upset stomach is treated with a drug called bismuth subsalicylate. A typical drug containing bismuth is Pepto Bismol. Using drugs that include bismuth might cause your tongue to change hues, from yellow to black, following research Trusted Source. Your mouth’s roof may also become yellow as a result of it.
Mouthwashes that include oxidizing agents
Mouthwashes come in a wide range of variations. Oxidizing substances, including hydrogen peroxide, are used in certain mouthwash formulas. The roof of your mouth and your tongue may turn yellow after using this kind of mouthwash.
Cigarette smoke
Among other problems, tobacco smoke is a risk factor for poor dental hygiene. Smoking has been linked to black hairy tongues, which give the appearance of yellow on the roof of the mouth. Another risk factor for oral thrush is smoking. Your mouth’s roof may seem yellow if you have oral thrush spots.
Roof of Mouth Yellow Symptoms
The roof of your mouth turning yellow might indicate an underlying illness if more symptoms start to occur: yellow tongue, bad breath, canker sores, a bacterial infection.
The roof of the mouth is yellow and white
The roof of the mouth may develop areas of yellow and white due to oral thrush.
White patches in the mouth might result from the disorder leukoplakia. Because it can progress to oral cancer, this disease is more dangerous.
The yellowish roof of the mouth has red dots on it
Red blisters on the roof of the mouth are one symptom of oral herpes. These blisters may include yellow pus depending on the stage of the epidemic.
Infection with hand, foot, and mouth
The viral infection thrush may result in red spots developing on the roof of the mouth.
Having a painful throat and a yellow roof of the mouth
Sometimes oral thrush can progress to esophageal thrush, which results in a painful throat.
A hurting, scratchy throat is a symptom of a bacterial or viral infection known as pharyngitis. A painful throat is brought on by strep throat, a bacterial illness.
Eating and drinking might be challenging when you have these throat infections. The roof of the mouth may appear yellow as a result of bacterial buildup.
Some Treatment Options
The specific treatment options for issues related to the roof of the mouth depend on the underlying cause of the problem. Here are some examples:
Oral hygiene
Maintaining good oral hygiene, including brushing twice daily and flossing once a day, can help prevent or treat many issues related to the roof of the mouth.
Medications
In some cases, medications such as antifungal or antibacterial medications may be prescribed to treat infections or other conditions.
Surgery
In cases where structural abnormalities are present, surgery may be necessary to correct the issue. This can include procedures to repair a cleft palate, remove tumors, or address other physical abnormalities.
Speech therapy
For issues related to speech production, speech therapy may be recommended to help improve articulation and enunciation.
Lifestyle changes
Certain lifestyle changes such as quitting smoking or avoiding alcohol can also help improve issues related to the roof of the mouth.
Yellowish Roof of Mouth Prevention
Prevention of a yellowish roof of the mouth primarily involves good oral hygiene practices. Here are some tips to prevent discoloration of the roof of the mouth:
Brush twice daily
Floss daily
Rinse with mouthwash
Quit smoking
Limit alcohol consumption
Dental checkup
Conclusion
In conclusion, a yellowish roof of the mouth can be a concerning issue that may be caused by poor oral hygiene or more serious underlying conditions. To prevent and treat discoloration of the roof of the mouth, it is important to practice good oral hygiene, quit smoking, limit alcohol consumption, and visit your dentist regularly for checkups and cleanings.
At Spring Orchid Dental, we are committed to providing high-quality dental care to our patients in Bassendean and the surrounding areas.
Our experienced team of dental professionals can help identify and treat any oral health issues, including discoloration of the roof of the mouth.
(10/26/2024)More Information: https://springorchid.com.au/why-is-the-roof-of-my-mouth-yellow/

A dental cavity is damage to the tooth’s protective enamel coating. Enamel is the hardest substance in the whole body. It’s even harder than bone. However, acids from bacteria in the mouth can erode and invade even this very toughest of barriers.
When this happens, it’s the beginning of a cavity. Cavities can range in severity from mild to very severe. Treatment can include the smallest of fillings, a root canal or even removal of the entire tooth.
Before we dig in, let me show you a quick summary of what you can do to try and prevent a cavity from getting worse.
Can You Stop A Cavity?
Yes and no. It’s absolutely possible to prevent a cavity from forming to begin with. Although some individuals seem to be more naturally prone to the development of cavities than others, generally speaking, cavities can at the very least be limited and retarded by some simple tips you can do every day at home.
You will read more about these tips just a little later on in this article. However, once the enamel has been breached by oral acids and an actual hole has begun, you can’t stop the inevitable cavity from eventually forming. You may be able to slow it down, however.
Tooth decay typically begins with a softening of the normally very hard enamel layer of the tooth. A white spot, possibly too tiny for you to see, may form. This means that there is a loss of minerals in the area, which is the first step to a cavity. It’s the enamel’s high mineral content which gives it its strength.
This is the very earliest stage of an actual future cavity. At this point, it is at least theoretically possible to prevent further damage.
At this very early point, a cavity can sometimes be reversed. The enamel can even repair itself using minerals naturally present in saliva. This may be one reason why some people are more prone to cavities than others, that is, the amount of these minerals present in a particular individual’s saliva.
Another way to prevent an actual cavity from forming at this very early point is by using fluoride. Fluoride is a naturally-occurring mineral that is also found in fluoridated water, fluoride toothpaste and fluoride supplements. It helps to remineralize teeth, making them stronger, and it reduces the oral acids formed from bacteria.
What Causes Cavities?
A dental cavity begins with bacterial acids. These acids help to form plaque, a sticky substance that coats the teeth. Plaque promotes tooth decay and gum disease, too. A diet high in sugars makes tooth decay far more likely because bacteria like to feed on them.
Plaque can be removed with proper flossing and brushing. That’s why these two things are so important. Flossing is necessary because it removes plaque not reachable with a toothbrush. Always use a fluoride toothpaste. If you’re not sure how to floss your teeth, ask your dentist.
The formation of oral acids is strongly related to diet. Reduce or even eliminate refined sugar from your diet. Refined sugar is bad for your teeth and bad for your body. So is soda.
Sticky, sugary foods like caramel are even worse. Not only is it high in refined sugar, called sucrose, but foods like caramel will stick to the teeth much longer, exposing enamel to even more damage.
Once the enamel’s surface has been breached, unless it is repaired before that point, a cavity will form. It’s just a matter of time. This is why regular dental exams are crucial. A dentist can spot and repair a tiny cavity before it has progressed far enough to severely affect the integrity of the tooth.
Things You Can Do to Prevent a Cavity
Brush and floss your teeth twice a day
Limit or eliminate refined sugar and other sugars
Limit fruit juice intake
Ask your dentist about fluoride intake
Ask your dentist about dental sealants
Always brush before bedtime
Make sure you get enough dietary calcium
Use an antibacterial mouthwash
All of these tips will help to prevent cavities in the first place, and all may help to hinder the progression of a cavity that has already begun. Remember, the main point in cavity prevention is to prevent the formation of oral acids, which mostly come from eating sugar and starches.
Even foods not normally thought to be sweet, such as pasta, are still a problem. This is because these foods are rapidly broken down, beginning in the mouth, into the simple sugars of which they are composed. There are more than 300 types of bacteria that can contribute to tooth decay.
Simple Tip – Rinse Your Mouth!!!
Rinse your mouth vigorously after every meal and snack, whether you later brush or not. This will help to wash away food particles and dilute oral acids. Never go to bed without brushing your teeth. This is because saliva flow, which helps to prevent tooth decay, slows down during sleep, making the formation of bacterial acids more likely.
Refined white sugar isn’t the only culprit. Honey, maple syrup and agave syrup, although natural sugars and not refined, are still just as likely to cause tooth decay as white sugar is. This is because the oral bacteria can use these natural sugars to form the acids that attack the teeth the same as they do with white sugar.
Antibacterial mouthwashes will help to reduce the chances of decay by reducing the amount of bacteria in the mouth, including the ones that promote tooth decay.
When to See a Dentist For Your Cavity
The time to see a dentist for a cavity is before it even starts. Regular dental checkups will identify problem areas that might still be amenable to repair themselves. Fluoride treatments can help kids prevent cavities, too.
If you notice any of these symptoms of a developing cavity, call your dentist immediately:
Tooth is suddenly sensitive to sweets, cold and heat
Pain, even if it’s mild or goes away and returns
Pain when biting down
Any black, brown or white spots on tooth surfaces
Never hesitate to get dental treatment. The sooner a dental cavity is repaired, the more likely you will get to keep that tooth forever. Remember, your teeth were meant to last a lifetime. Your dentist will work with you to make this a reality.
(10/25/2024)More Information: N

When most people think of pimples, they likely imagine the unsightly bumps that appear on their skin. But did you know that pimples can also form on your tongue?
A pimple on the tongue can be very painful and irritating. The painful yellow bump can occur as an immune response and cause irritation in the mouth. Pimples on the tongue are formed when the fungiform papillae which are on the taste buds get irritated. These small bumps on the tongue can even cause irritation while you are eating your food. They can occur anywhere on the tongue, either on the sides or the tip of the tongue but don’t worry. We have some causes and treatments listed below.
Causes-
Food allergy
There are various foods which can quickly become allergic to our body system and may lead to pimples on the tongue, nose, or anywhere on the face. Eating too much of fatty foods can also irritate the mouth papilla and result in pimples. These oily snacks also hurt the tongue when you repeatedly chew them.
Oral thrush
Oral thrush is a yeast infection which can cause pimples on the tongue. It is a fungal infection which allows the bacteria to rest on your tongue. It mainly happens with people who have weaker immune systems.
Smoking
Smoking cigarettes or hookah can excessively irritate your tongue and may lead to a pimple on the tongue. It makes the tongue sore and damages the good bacterias. Excessive smoking can injure and hurt your tongue. It can even worsen the pimples.
Injuries
Getting piercing done can irritate your tongue and can cause painful and sore pimples on the tongue. The pimples on the tongue can also appear due to excessive tongue biting or eating rough foods. It swells the sides as well as the tip of your tongue and hurts it.
Viral infections
Viral infections like flu and cold sores can form white pimples on the tongue and other parts of the mouth. It may cause a lot of pain and irritate the tongue.
Treatments-
Ice
Ice can numb the affected area on your tongue and give you soothing effect immediately. It is one of the most commonly used treatments for pimples on the tongue. Ice cubes can also reduce inflammation and swelling on the tongue and give you immediate relief. Take 1 ice cube and rub it on the affected area till it becomes numb and then take some sips of cold water from time to time to get relief from the irritation and pain caused by a pimple.
Aloe vera
Aloe vera is known for its antibacterial properties and natural healing. It is also recommended for treating pimples on the tongue as it can speed up the healing and reduce the pain. Cut an aloe vera leaf and apply the gel on the pimple and leave it for 5 minutes. Then rinse your mouth with lukewarm water and repeat this twice for about 4-5 days.
Avoid acidic foods
As it was discussed above that fatty and acidic foods can cause pimples on tongue. So, it is better to avoid eating them for some time while your tongue is recovering from the blisters.
Chew mint leaves
Chewing mint leaves can reduce the size of a pimple on the tongue and give effective results. Chew freshly chopped mint leaves. You can also make its paste and then apply it on the pimple for at least 10 minutes. Apply the paste at least 3 times a day to get relief from the pimple quickly.
Gargle
Gargle using cold water, and you can also add some salt to it as it will also help in cleaning your tongue to get rid of the bacterias in your mouth. To avoid further pimples on the tongue, gargle with salt water at least 3-4 times every day.
(10/27/2024)More Information: N

How long does a toothache last without treatment? Discover the average duration of a toothache and learn about the consequences of neglecting dental care. Explore strategies for managing dental pain, preventing complications, and seeking emergency care.
I. Introduction
A toothache is a common dental problem that affects people of all ages. It is a painful sensation that can occur due to various reasons, such as dental decay, gum disease, tooth fracture, or infection. Toothaches can range from mild discomfort to excruciating pain that causes difficulty in eating, speaking, or sleeping. In this article, we will discuss how long a toothache can last without treatment, the consequences of neglecting dental care, and ways to manage dental pain at home.
II. The Agony of a Neglected Toothache: How Long Can You Endure the Pain?
The first step in managing a toothache is understanding the symptoms, causes, and types of dental pain. Common signs of a toothache include a sharp or throbbing pain that can radiate to the surrounding areas, sensitivity to hot or cold foods, swelling, and bleeding gums. Toothaches can result from various conditions such as cavities, cracked teeth, broken fillings, or abscessed teeth.
Causes of toothaches
Dental decay: One of the most common causes of toothaches is dental decay. The decay process weakens the tooth structure, making it susceptible to bacterial infection and inflammation. If left untreated, decay can progress to the inner layers of the tooth, where the nerves and blood vessels reside, causing intense pain.
Gum disease: Gum disease or periodontitis is another leading cause of toothaches. It occurs due to the buildup of plaque and tartar on the teeth, leading to bacterial infection, inflammation, and damage to the gums. Gum disease can cause bone loss, mobility of teeth, and eventually tooth loss.
Cracked or fractured tooth: A cracked or fractured tooth can also cause a toothache. The crack can expose the sensitive inner layer of the tooth, leading to pain and discomfort. The degree of pain depends on the extent of the crack.
Abscessed tooth: An abscessed tooth is a severe condition that occurs due to bacterial infection in the tooth’s pulp. It can cause severe pain, fever, swelling, and even spreading of the infection to other parts of the body.
Types of toothaches
Acute toothache: An acute toothache is a sudden onset of pain that can be unbearable. It can occur due to various reasons such as dental injury, tooth decay, or infection.
Chronic toothache: A chronic toothache is persistent pain that lasts for weeks or months. It can result from untreated dental decay, gum disease, or cracked tooth.
How the pain increases over time
The duration of a toothache depends on the severity of the underlying condition and whether it is adequately treated. If left untreated, the pain can worsen over time as the infection spreads, causing more extensive damage to the tooth and gums. In some cases, the pain can be intermittent, while in others, it can be constant.
III. The Truth About Untreated Toothaches: How Many Days Before Relief?
The duration of a toothache without treatment depends on the severity of the pain and underlying conditions. Mild to moderate toothaches can subside within a few days, while severe toothaches can last for weeks or months. Here’s a closer look:
Mild toothaches
If the toothache is mild, it can usually go away in a day or two with over-the-counter pain medications and home remedies such as rinsing with warm salt water, applying a cold compress to the affected area, or using clove oil. Good oral hygiene practices can also help prevent mild toothaches from developing into severe conditions.
Moderate toothaches
If a toothache is moderate and persists for more than two days, it is important to seek dental care. The dentist can diagnose the underlying cause and recommend the appropriate treatment, such as a filling, root canal therapy or extraction. Delaying treatment can lead to further damage, pain, and infection.
Severe toothaches
If the toothache is severe and accompanied by fever, swelling, or pus discharge, it can indicate an abscessed tooth, which is a dental emergency. An abscessed tooth can cause severe pain and swelling that can spread to the jawbone and other parts of the body, leading to life-threatening complications. Immediate dental treatment, such as drainage of the abscess, antibiotics, or tooth extraction, is necessary to prevent the spread of the infection.
Average time before relief
The duration of a toothache is subjective and can vary from person to person, depending on various factors. On average, mild toothaches can last for a few hours to a day, while moderate toothaches can last for a few days to a week. Severe toothaches can last for more than a week and require prompt dental care. Continued pain without treatment can lead to complications such as infection and tooth loss.
IV. Gritting Your Teeth: How Long a Toothache Will Last if You Don’t See a Dentist
Ignoring dental pain and delaying treatment can have severe consequences on oral health and overall well-being. Here’s a look at what can happen if a toothache is not treated promptly:
Consequences of not seeing a dentist
Complications of untreated toothaches can include:
Spread of infection to other parts of the body
Bone loss or gum recession
Tooth decay or loss
Abscess formation requiring emergency care
Home remedies to alleviate the pain
Home remedies can provide temporary relief for dental pain, but they do not address the underlying cause of the toothache. Some home remedies include:
Rinsing with warm salt water
Applying a cold compress to the affected area
Rinsing with hydrogen peroxide
Using clove oil or tea tree oil
Over-the-counter pain medications such as acetaminophen or ibuprofen
Potential complications of not treating toothaches
Ignoring dental pain and neglecting oral hygiene can lead to various complications:
Infection, which can spread to other parts of the body, such as the brain, heart, or lungs.
Prolonged pain and discomfort, which can affect daily activities and quality of life.
Tooth loss, which can affect speech, chewing, and appearance.
V. How to Survive an Untreated Toothache: Days, Weeks, or Months?
Managing the pain of a toothache without treatment can be challenging, but there are ways to cope with the discomfort and reduce the risk of complications. Here are some tips:
Pain management strategies
Some ways to cope with dental pain without treatment include:
Applying a cold or warm compress to the affected area
Rinsing with warm saltwater
Using over-the-counter pain medications, such as acetaminophen or ibuprofen
Elevating your head while sleeping to reduce swelling
Diet and lifestyle changes
Changes in diet and lifestyle can also help alleviate dental pain. Some strategies include:
Avoiding hot or cold foods and drinks
Choosing soft, bland foods that are easy to chew
Avoiding tobacco and alcohol, which can irritate the gums
Reducing stress through relaxation techniques, such as meditation or yoga
Medications
Over-the-counter or prescription medications may help alleviate the pain of a toothache temporarily. Some options include:
Acetaminophen or ibuprofen
Naproxen or aspirin
Antibiotics or antimicrobial mouth rinses may help with infection
Replacing missing teeth
If dental pain is caused by a missing tooth, replacing the tooth with a dental implant, bridge, or denture can help restore oral function and alleviate pain.
VI. The Consequences of Ignoring a Toothache: How Long Can You Hold Out?
Ignoring dental pain can lead to severe consequences that can affect overall health and well-being. Here are some potential complications:
Infection
If the toothache is caused by an infected tooth or gum, the infection can spread to other parts of the body through the bloodstream, leading to serious health complications such as sepsis or endocarditis.
Tooth decay
Tooth decay can lead to permanent damage of the tooth structure, leading to tooth loss, gum recession, and bone loss.
Periodontitis
If gum disease is left untreated, it can progress to periodontitis, a severe form of gum disease that can cause loss of teeth and bone.
Osteomyelitis
Osteomyelitis is a rare but severe complication that can occur when the infection spreads to the jawbone, causing bone death and requiring surgery to treat.
VII. The Clock is Ticking: The Maximum Time You Can Tolerate a Toothache Without Treatment
The duration of a toothache without treatment depends on various factors such as the underlying condition, severity of pain, and individual pain tolerance. Here are some considerations:
Factors that determine how long you can handle the pain
The maximum time you can tolerate a toothache without treatment depends on the following factors:
The severity of the pain: Mild pain can be managed for a short period, while severe pain requires prompt dental care.
The underlying cause: The duration of the toothache depends on the severity and nature of the underlying condition. For example, a toothache caused by gum disease can last longer than a toothache caused by a temporary gum injury.
Pain tolerance: Individual pain tolerance can affect how long a person can endure a toothache without seeking medical attention.
When to seek medical attention
If a toothache persists for more than two days or is accompanied by fever, swelling, or pus discharge, it is crucial to seek dental care immediately.
Dental procedures to alleviate toothaches
Dental treatments such as fillings, root canal therapy, or tooth extraction can help alleviate toothaches caused by dental decay, abscess, or fracture. These treatments can help prevent complications and restore oral function.
VIII. When a Toothache Won’t Go Away: How Long Before It Gets Worse?
If a toothache persists for more than a few days or worsens despite home remedies, it is essential to seek medical attention. Here are some signs that a toothache is getting worse and requires emergency care:
Signs of a worsening toothache
Persistent pain that does not subside
Swelling in the mouth or face
Fever or chills
Bitter taste or pus discharge in the mouth
Difficulty opening the mouth
Complications of prolonged toothaches
Prolonged toothaches that are left untreated can lead to various complications:
Infection that can spread to other parts of the body
Bone loss or gum recession
Increased risk of tooth decay or tooth loss
Development of an abscess, requiring emergency care
Emergency dental procedures
Routine dental visits can help prevent toothaches and other oral health problems. If a toothache requires emergency care, some procedures that can be performed include:
Root canal therapy to remove the infected pulp
Antibiotics or antimicrobial mouth rinses to control the infection
Extraction of the damaged or infected tooth
Drainage of the abscess and removal of infected tissue
IX. Conclusion
In conclusion, a toothache can be a painful and distressing experience that can affect daily activities and quality of life. It is essential to seek prompt dental care if the pain persists or worsens despite home remedies. Poor oral hygiene, neglecting dental care, and ignoring dental pain can lead to severe complications that can affect overall health and well-being. The duration of a toothache depends on various factors, including the underlying cause, severity of pain, and individual pain tolerance. By taking good care of your teeth and seeking dental care when necessary, you can alleviate dental pain, prevent complications, and maintain good oral health.
(10/28/2024)More Information: https://www.sdpuo.com/how-long-does-a-toothache-last-without-treatment/

Oral health is a window to your overall well-being, but sometimes, unexpected discoveries like white stringy stuff in your mouth after brushing can cause concern.
This residue, often a form of biofilm, isn't just about oral hygiene; it's also tied to everything from the products you use to your body's natural processes.
What this article covers:
Identifying the White Stringy Substance in the Mouth
Major Causes of White Stuff in Your Mouth
Comprehensive Solutions and Preventative Strategies
Identifying the White Stringy Substance in the Mouth
The white film, often described as stringy or slimy, is something most people encounter, yet few understand. It's usually a soft, harmless layer that forms due to the proteins in saliva interacting with the toothpaste. However, changes in its consistency or amount could signal underlying issues, such as teeth getting yellow despite brushing.
Characteristics Of The White Residue
Texture and Consistency Observations: The substance is often slimy, stringy, or foamy, and tends to appear after brushing, indicating a reaction between saliva and toothpaste ingredients. Best teeth whitening toothbrush and electric toothbrush whiten teeth are popular choices for tackling this issue.
When Does It Appear?: Noticing this white film primarily post-brushing could point to your toothpaste's composition, especially if it contains sodium lauryl sulfate (SLS), a common foaming agent.
Major Causes of White Stuff In Your Mouth
Understanding the root causes of this white residue is crucial. It's rarely a cause for alarm, but knowing what to look for helps maintain optimal oral health.
Reaction To Toothpaste Ingredients
Some individuals might experience a reaction to certain toothpaste ingredients, like SLS, which can cause a layer of protein from the saliva to peel away, appearing as white strings or film.
How Ingredients React With Saliva
Ingredients like SLS can interact with the proteins in saliva, causing them to coagulate and appear as white debris. Switching to an SLS-free toothpaste, like the ones we offer at SNOW, can often resolve this issue.
Sensitivity To Whitening Toothpaste
Whitening toothpastes, especially those with abrasive ingredients, can sometimes exacerbate the appearance of white film due to their interaction with saliva proteins. SNOW's teeth-whitening products are formulated to be gentle yet effective, ensuring a comfortable experience even for those with sensitive teeth, thereby addressing the concern of can teeth get whiter by brushing.
The Phenomenon Of Oral Thrush
Oral thrush, a type of yeast infection, can also cause a white, cottage cheese-like coating inside the mouth. It's more common in infants and the elderly, especially denture wearers or individuals with compromised immune systems.
Brown spit when brushing teeth and yellow spit after brushing teeth could be indicators of oral thrush.
Recognizing Signs Of Candida Overgrowth
White patches that don't scrape away easily, redness, and slight bleeding might indicate oral thrush. It's different from the typical white film due to its cottage cheese-like appearance and the areas it affects.
Conditions That Encourage Oral Thrush
Factors like poor oral hygiene, dry mouth, and high sugar diets can encourage fungal growth. Regular use of SNOW's oral health products can help maintain a balanced oral environment, reducing the likelihood of such issues.
Plaque Build-Up and Its Consequences
Plaque, a sticky deposit on teeth in which bacteria proliferate, can sometimes manifest as a white substance along the gumline. It's the primary cause of many dental issues, emphasizing the need for effective plaque control.
From Plaque To Tartar: The Timeline
Plaque can harden into tartar if not removed regularly, leading to gum disease and cavities. Tartar can't be cleaned with brushing alone, making regular dental cleanings essential.
Risks Associated With Tartar Accumulation
Tartar build-up can cause gum disease, tooth decay, and tooth loss. Preventing tartar formation with proper oral hygiene is key to maintaining a healthy smile.
Comprehensive Solutions and Preventative Strategies
At SNOW, we advocate for proactive oral health practices. Prevention is always better than cure, especially when it comes to your smile.
Choosing The Right Toothpaste
Selecting a toothpaste that's compatible with your oral environment is crucial. Ingredients matter, and what works for one person might not work for another.
Recommendations For Sensitive Mouths
For those with sensitive teeth or reactions to standard toothpastes, switching to hypoallergenic or SLS-free toothpastes can make a world of difference.
The Downside Of Whitening Toothpastes
While whitening toothpastes can be effective, some can be too abrasive, especially for those with sensitive teeth. SNOW's whitening products are designed to balance efficacy with comfort, providing a superior teeth-whitening experience without the harsh side effects.
Combatting Oral Thrush
Maintaining a healthy oral microbiome is essential in preventing oral thrush. This includes regular brushing, flossing, and using antifungal medications if necessary.
Lifestyle Changes For Prevention
Reducing sugar intake, managing dry mouth, and stopping smoking are effective strategies against oral thrush. Additionally, using a gentle oral care product, like those from SNOW, can help maintain a healthy oral environment.
When To Seek Medical Attention
If you suspect you have oral thrush, it's important to seek medical attention. Early intervention can help manage the condition and prevent complications.
Effective Plaque Control
Controlling plaque is a cornerstone of oral health. It requires a consistent oral hygiene routine and regular dental check-ups.
Best Practices For Oral Hygiene
Brushing twice a day, flossing daily, and regular dental cleanings are standard practices. However, incorporating a teeth-whitening regimen, like SNOW's, can enhance your oral hygiene routine, contributing to both the health and aesthetics of your smile.
Professional Dental Cleanings
Professional cleanings are an essential aspect of oral health, helping to remove plaque and tartar that at-home brushing can't. They're also an opportunity for dental professionals to check for other issues, such as cavities or gum disease.
Conclusion
In essence, the appearance of white stringy stuff in your mouth after brushing your teeth is a common phenomenon, often linked to saliva's interaction with toothpaste or indicative of oral health conditions like oral thrush or plaque buildup. Prioritizing comprehensive oral care practices, including regular brushing, choosing the right toothpaste, and proactive health checks, is crucial. For those seeking an enhanced smile through safe and effective teeth whitening, SNOW offers tailored solutions to meet your unique needs, ensuring a radiant smile and healthier oral environment.
(10/29/2024)More Information: https://www.trysnow.com/blogs/news/white-stringy-stuff-in-mouth-after-brushing-teeth

How to use floss picks is a common question among those looking for effective dental care solutions.
Floss picks are simple to use. That's why we'll walk you through how to use floss picks, including tips on selecting the right pick, how often you should use them, and key techniques to maximize your oral hygiene routine. We'll also cover how to gently and effectively move floss picks between your teeth to avoid irritation.
Let's dive into the best ways to incorporate floss picks into your daily dental care routine.
What this article covers:
How to Floss Using Floss Picks
Selecting a Floss Pick
How Often Should You Use Floss Picks?
Should I Be Gentle with Floss Picks?
How Do I Slide the Floss Pick Between My Teeth?
How Do I Move the Floss Pick Once It Is in Position?
Tips
How to Floss Using Floss Picks
Are floss picks good? Definitely. Follow these steps to ensure you're flossing properly and keeping your teeth and gums healthy:
Grip the handle of the floss pick firmly. Ensure the pick is comfortable in your hand, allowing you to maneuver it easily.
Gently guide the floss between your teeth using a slight back-and-forth motion. Be careful not to snap the floss into your gums, as this can cause irritation or damage to the soft tissue.
Once the floss is between your teeth, curve it around one side of the tooth. This ensures that you're cleaning along the gumline, where plaque and food particles often accumulate.
Slide the floss up and down against the surface of the tooth, carefully cleaning both sides. Make sure to reach beneath the gumline for a thorough clean, but, to avoid injury, don't apply too much pressure.
After cleaning one tooth, remove the floss from between your teeth and move on to the next space. Repeat the process for each tooth. Remember to clean between tooth, including the hard-to-reach molars.
For a deeper clean that goes beyond flossing, consider using SNOW's Water Flosser. This portable device offers three pressure modes—Pulse, Normal, and Soft—to gently clean between teeth while being easy on the gums.
Selecting a Floss Pick
When selecting a floss pick, consider factors like the type of floss used, the shape of the pick, and any additional features that could improve your experience. Some floss picks offer extra strength, which is ideal for those with tight teeth, while others have softer, flexible materials that are more comfortable for sensitive gums.
Picks that have a built-in toothpick at the end can help you target hard-to-reach areas where food particles and plaque often hide.
Remember to only use one per session, as the answer to can you reuse floss picks is no.
For a natural and whitening-focused option, SNOW's Activated Charcoal Whitening Floss is a great choice. This bamboo-based floss expands during use for a deeper clean while binding to stains and bacteria.
How Often Should You Use Floss Picks?
Our research indicates that flossing should be done once a day. Floss picks are an excellent tool to use daily because they make flossing easier and more convenient.
For an eco-friendly solution, try SNOW's Charcoal Whitening Floss Picks. Made from recycled plastic, they combine oral care with environmental responsibility, making them perfect for daily use, especially while traveling. In fact, with these, the question “can I bring floss picks on a plane?“ is a thing of the past!
Should I Be Gentle With Floss Picks?
Yes, it's vital to be gentle when using floss picks. Applying too much pressure or snapping the floss down can lead to irritation, bleeding, or even damage to your gums.
Being gentle doesn't mean sacrificing cleanliness. You can still remove plaque and debris effectively by using controlled, precise movements rather than forceful ones.
How Do I Slide the Floss Pick Between My Teeth?
Based on our observations, sliding the floss pick between your teeth should be done with care. Start by positioning the floss pick at the space between two teeth and use a gentle back-and-forth motion to guide it down into the gap.
Be mindful not to force it in; instead, allow the floss to slip smoothly between your teeth.
How Do I Move the Floss Pick Once It Is in Position?
Once the floss is in position between your teeth, you should move it gently up and down against the tooth surface.
Tips
Here are a few tips to help you get the most out of using floss picks:
Floss daily: Using floss picks every day can help reduce plaque buildup and prevent gum disease. Try to incorporate flossing into your routine at the same time each day, whether it's in the morning or before bed.
Replace floss picks regularly: After each use, discard your floss pick. Based on our observations, reusing picks can introduce bacteria back into your mouth.
Pay attention to problem areas: If you have areas in your mouth where food tends to get stuck or plaque builds up, spend a little extra time flossing those spaces.
Combine with other practices: While flossing is essential, it works best in combination with brushing and rinsing with mouthwash.
Conclusion
Floss picks provide a practical, easy-to-use tool, making them an excellent choice for anyone seeking a simple way to floss. Using them properly can help you prevent plaque buildup, gum disease, and other oral health issues.
In this guide, we've covered everything from how to use floss picks, choosing the right one, and tips for improving your flossing technique. We also emphasized the importance of being gentle and precise when using floss picks.
(10/29/2024)More Information: https://www.trysnow.com/blogs/news/how-to-use-floss-picks

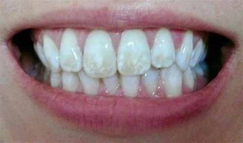
Dental fluorosis is a disorder when tooth enamel loses its aesthetic appeal. If kids consistently consume fluoride during the years when their teeth are developing, beginning at age 8, it might happen.
The majority of dental fluorosis instances are mild to moderate, with hardly perceptible white patches on the tooth’s surface and no impact on oral health.
Moderate and severe forms of dental fluorosis, which are much less frequent, lead to more serious abnormalities in enamel. In the rare, severe variant, teeth may develop pits. The severe version is uncommon in areas where the water’s fluoride level is less than 2 milligrammes per litre.
So, if you’re interested in learning more about Dental Fluorosis, its symptoms, and treatment, you’ve come to the correct spot. In this article, Eugene Kids Dentist has covered everything you need to know. So, read it all the way through.
DENTAL FLUOROSIS SYMPTOMS – INDICATES OF THIS DENTISTRY
If you see white spots or streaks on your child’s teeth or if you observe one or more discoloured teeth, make an appointment with your dentist very once. These signs of dental fluorosis may exist.
The majority of cases are small, do not result in permanent tooth damage, and there are rarely severe fluorosis cases.
When fluorosis is minor, it is a painless aesthetic condition. There can be white “smudges” or “stains” on the surface of tooth enamel as a result.
Dentists, however, categorize fluorosis into the following types:
Doubtful: The enamel has minor variations, ranging from a few white spots to a few patches of white.
Very mild: There are a few opaque paper-white patches on fewer than 25% of the tooth surface.
Mild: The white opaque regions on the surface are more widespread, but they still cover less than half of the surface.
Moderate: White patches cover half of the enamel surface.
Severe: Enamel is damaged on all surfaces. Teeth can also have pitting, which can be distinct or run together.
TREATMENT FOR DENTAL FLUOROSE
Most fluorosis cases are minor and don’t require treatment. Additionally, it may only affect the rear teeth, which are not visible.
There are several procedures that can significantly improve the appearance of teeth with moderate-to-severe fluorosis. Here are some of the techniques used to treat dental fluorosis:
In order to improve the appearance of teeth, veneers are custom-made shells that cover the front surfaces of the teeth. This method is frequently used for severe fluorosis.
The MI Paste is a calcium phosphate substance sometimes used in conjunction with other treatments to reduce tooth discoloration, such as microabrasion.
Dental crowns are another effective fluorosis treatment.
You can whiten your teeth and remove surface stains with other treatments. There is a possibility that whitening your teeth could worsen your fluorosis.
A bonding procedure involves coating your teeth with a resin that adheres to your enamel.
These are some of the ways in which dental fluorosis can be treated. You should not waste a second if you feel that this disease is at its most severe stage. Consult a dentist as soon as possible.
FLUOROSIS CAUSES – THINGS THAT STRENGTHEN FLUOROSIS
We will discuss some of the causes of dental fluorosis here. Fluorosis can be caused by a number of things that you can easily avoid:
Dental fluorosis is primarily caused by improper dental product use.
While brushing their teeth, children often eat their toothpaste rather than spitting it out because they like the taste. Most likely, it won’t be a big deal. It’s a situation we’ve all been in. If your child makes this habit a habit, now is a good time to intervene.
There is sometimes too much fluoride in tap water and some fruit juices, failing to distinguish between disregarding and preserving general dental health. If you’re considering taking supplements, this is especially important to consider.
In addition to dental products, fluorosis can be caused by a number of factors. Fluorosis risks increase unknowingly if a youngster receives more fluoride supplements than is necessary for any medical reason.
CONCLUSION
Even though no serious cases have been identified, hundreds of children are admitted to hospitals each year for consuming too much fluoride.
Therefore, whenever you wash your teeth, stay near your child. Do not use more toothpaste than a pea-sized amount. Fluoride protection is more than adequate with this amount.
Ensure that your youngster associates spitting out toothpaste with a fun experience by making it fun. Get them flavorless toothpaste if you don’t want them to spit (which is understandable).
If you keep fluoride consumption safe and away from the stomach, their grin will tell you everything you need to know about their health.
(10/28/2024)More Information: https://www.questdental.com/articles/dental-fluorosis-what-is-it-and-how-is-it-treated

You might notice signs of potential tooth issues if you’ve been feeling ongoing discomfort in your mouth. Many people have dental problems at some point, so it’s important to know when to get help. In this guide, we’ll look at common signs that could mean you need a tooth extraction near you and give tips on what to do next.
What Are the Signs of Tooth Decay?
Tooth decay, or dental caries, is a widely common dental issue caused due to bacteria that produce acids that attack tooth enamel.
Tooth Sensitivity: Increased sensitivity to hot, cold, or sweet foods and beverages can indicate tooth decay. Discomfort may occur when consuming these items or when brushing your teeth.
Visible Holes or Pits: Small holes or pits may get developed on the surface of the affected tooth as decay progresses. These cavities may be visible to the naked eye or detected during a dental examination.
Toothache: Persistent or intermittent toothache, often described as throbbing or sharp pain, may indicate advanced tooth decay. The pain may worsen with pressure or when biting down on food.
Discoloration: Discoloration or dark spots on the tooth’s surface can be a sign of decay. The affected area may appear brown, black, or white, indicating demineralization and enamel breakdown.
How Can You Recognize a Tooth Infection?
A tooth infection, also termed dental abscess, occurs when bacteria enter the tooth pulp, leading to inflammation and pus accumulation.
Severe Toothache: Intense, persistent toothache, often described as throbbing or excruciating, is a primary symptom of a tooth infection. The pain may travel to the jaw, ear, or surrounding teeth and worsen with pressure or chewing.
Swelling: Swelling of the gums, face, or jaw near the affected tooth may occur with a dental abscess. The swelling may be tender and accompanied by redness or warmth.
Fever: A fever is a systemic response to infection and may accompany a tooth abscess. If you experience fever and other symptoms of a tooth infection, seeking medical attention promptly is essential.
Pus Drainage: Drainage of pus from the impacted tooth or gums is a sign of an active infection. Pus may have a foul smell and taste and may be visible as a white or yellow discharge.
Can Gum Disease Lead to the Need for Tooth Extraction?
Gum disease, also termed periodontal disease, is a very common condition known by inflammation and infection of the gums.
Gum Recession: As gum disease progresses further, the gums may recede, hence exposing the roots of the teeth and weakening their attachment to the gums and underlying bone, increasing the risk of tooth loss.
Periodontal Abscess: Advanced gum disease may lead to the formation of periodontal abscesses pockets of pus around the tooth roots, causing severe pain and swelling, sometimes requiring tooth extraction to resolve the infection.
Bone Loss: Gum disease can result in the loss of bone tissue supporting the teeth, causing teeth to become loose and unstable, potentially leading to extraction to prevent further complications.
Chronic Inflammation: Persistent inflammation from gum disease can damage surrounding tissues, compromising the overall health of the teeth and gums, sometimes necessitating extraction to remove compromised teeth and prevent infection spread.
Is Tooth Crowding a Sign You Might Need Extraction?
Tooth crowding occurs when there isn’t enough space in the jaw for all the teeth to align correctly. This can lead to dental problems, including misalignment, bite issues, and difficulty cleaning between teeth.
Malocclusion: Crowded teeth can cause malocclusion or misalignment, affecting bite function and causing jaw discomfort.
Increased Decay Risk: Crowded teeth are harder to clean, increasing the possible risk of decay and gum disease. Extracting overcrowded teeth can improve oral hygiene and reduce the risk of cavities.
Orthodontic Treatment: In severe cases of crowding, extraction could be part of orthodontic treatment to create space for remaining teeth to align properly, improving smile appearance and function and reducing the need for invasive procedures later.
Impacted Teeth: Crowded teeth may become impacted, unable to erupt fully, causing pain, swelling, and infection, potentially requiring extraction to alleviate symptoms and prevent complications.
Are Impacted Wisdom Teeth Causing You Pain?
Impacted wisdom teeth, or third molars, may fail to fully erupt due to limited space in the jaw, leading to various symptoms, including pain, swelling, and infection.
Pain and Discomfort: Impacted wisdom teeth can result in significant pain, particularly when attempting to erupt through the gums, which may be constant or intermittent, radiating to the jaw, ear, or neighboring teeth.
Swelling and Inflammation: The gums around impacted wisdom teeth may become swollen, red, and tender, making it difficult to open the mouth fully, sometimes accompanied by a foul taste or odor.
Infection Risk: Impacted wisdom teeth are prone to infection due to bacterial accumulation below the gum line, leading to inflammation, swelling, and pus discharge.
Neighboring Tooth Damage: Impacted wisdom teeth may exert pressure on adjacent teeth, causing crowding, misalignment, and damage, potentially requiring extraction to prevent further dental issues.
How Does Trauma Affect the Need for Tooth Removal?
Mouth trauma, such as sports injuries, car accidents, or falls, can cause significant dental damage, sometimes requiring tooth extraction to address and restore oral health.
Tooth Fractures: Trauma can lead to cracked, chipped, or fractured teeth, compromising their structure and increasing infection or further damage risk, sometimes necessitating extraction.
Tooth Avulsion: Severe trauma may completely knock a tooth out of its socket, requiring immediate dental attention to attempt re-implantation. If unsuccessful, extraction may be necessary to prevent infection and maintain oral health.
Soft Tissue Injuries: Trauma can cause lacerations, abrasions, or contusions to soft tissues, including gums, lips, cheeks, or tongue, which may require surgical intervention or extraction to repair damage.
Root Damage: Trauma may cause root fractures, affecting tooth stability and increasing infection or loss risk, sometimes necessitating extraction to prevent further tissue damage and preserve oral health.
Are Chronic Dental Issues Indicative of Extraction?
Chronic dental problems, such as recurrent cavities, infections, or periodontal disease, can significantly impact oral health and quality of life, sometimes requiring emergency tooth extraction for effective resolution.
Cavity Recurrence: Chronic decay can weaken teeth, increasing fracture, infection, or loss risk, sometimes necessitating extraction if a tooth can’t be saved with filling or crown.
Persistent Infections: Chronic dental infections, like abscesses or gum disease, can spread and cause extensive damage if untreated, potentially requiring extraction to remove the infection source and preserve oral health.
Severe Gum Disease: Advanced gum disease can result in tooth loss if untreated, sometimes necessitating extraction to address infection or bone loss and prevent further complications.
Conclusion:If you’re experiencing any of the mentioned signs or have dental health concerns, contact Thumbs Up Dental – Caro for assistance. Our experienced dentist in Caro, MI, can provide a comprehensive oral health evaluation and recommend suitable treatment options, including tooth extraction. Early intervention is crucial for controlling complications and maintaining a healthy smile.
(11/02/2024)More Information: N