Dentists Journal

Top Ten Stories of the Week
5/8/2021

All Dentists Journal · Previous Week · This Week · All Time List · Headlines

Share

Identifying A Bruised Tooth

Most people don’t think of teeth when they think of bruises. Usually, it’s a black and blue knee versus a tooth. However, your teeth can become bruised, and it can be fairly painful. There are signs and symptoms you’ll need to be aware of, and you may need to visit the dentist depending on the severity. It may seem scary, but a bruised tooth is a common dental issue. And identifying a bruised tooth, is relatively straightforward.

CAUSES OF BRUISED TEETH

A bruised tooth is often caused by an injury to the tooth. Similar to a bruise on your skin, a bruised tooth is a reaction to excess pressure or force. While your tooth won’t turn black and blue like your skin, it can become discolored and turn a gray tint.

Identifying a Bruised Tooth

A bruised tooth is painful and may ache because the soft tissue and ligaments around your tooth essentially absorb the impact of the trauma or injury. Just like a bruise on your skin, the capillaries around the injured tooth burst. The capillaries then travel to the opening of the tip of the root, which gives the tooth a pinkish discoloration.

The pinkish discoloration may turn gray, which can be permanent. A gray tooth may mean that the pulp inside your tooth is impacted, resulting in a higher risk of infection or decay. This can result in the need for a root canal Brentwood. If your tooth does not turn from pink to gray, you may be in the clear. However, you should see the best dentist Brentwood has, as they will want to monitor your tooth and help you in identifying a bruised tooth.

TREATMENT OPTIONS FOR BRUISED TEETH

If you think you may have bruised your teeth, it’s advisable to seek dental treatment. You may be completely fine and not need any further treatment. However, in several cases, follow up appointments and possibly treatments are necessary. Your dentist will likely examine the tooth and do X-rays to see what’s happening at the root of your tooth.

You’ll need to see the dentist right away if you have a bruised tooth that also moves. This is because the tooth will need to be stabilized with a splint to ensure it is no longer mobile. Between the time you are injured and the time you see the dentist, there are some things you can do to ease your pain and care for your tooth.

Pain Relief:

The injury may cause inflammation, which can cause further pain in your mouth. Over-the-counter anti-inflammatory medication can help. Talk with your dentist once you see them for other options to help reduce your pain and discomfort.

Mouth Guard:

A mouth guard may protect your teeth at night from grinding your teeth in your sleep. This can help protect the injured tooth as you recover. However, if you are prone to grinding your teeth, it can also help protect your teeth, soft tissue, and ligaments in your mouth. Once you visit the dentist, discuss custom mouth guards, and see if they are right for you.

Caution:

While you are recovering, use caution. You do not want to further damage your teeth, so it’s important to take care of your bruised tooth. This means staying away from very hot and cold foods, hard foods, and foods that require a lot of chewing. Talk with your dentist over the phone to see if they have any additional suggestions before your visit.

(05/03/2021)
by Brentwood Dentistry

More Information: https://www.originalsmile.com/indentifying-a-bruised-tooth/#:~:text=A%20bruised%20tooth%20is%20often,and%20turn%20a%20gray%20tint.


Views: 1,047
Share
Share

4 Longitudinal Fracture Issues And How They're Treated

Cracked teeth can happen due to a variety of circumstances: trauma due to an accident, chewing on hard food, a weak tooth structure. Sometimes, those cracks result in a type of damage called longitudinal fractures. While these fractures don’t always cause symptoms, they can cause pain and grow bacteria, which can lead to irritation and infection. Luckily, dental professionals can treat longitudinal tooth fractures, and the process to recovery will depend on the type of fracture. Here are the four types to be aware of.

Types of Longitudinal Fractures

1. Craze lines: While craze lines are considered a fracture, they’re not considered a dental emergency and generally do not need treatment. That’s because these lines only affect the tooth enamel and do not cause pain. Teeth grinding, nail-biting, or changing temperatures in the mouth may cause these types of fractures. While these cracks should not cause concern, some adults seek out cosmetic fixes like teeth whitening.

2. Fractured Cusp: Fractured cusps occur when a piece of a tooth’s chewing surface breaks off, typically near a filling. This type of fracture usually does affect your pulp or cause pain and typically can be repaired through a filling or crown.

According to a report in the Journal of Clinical & Diagnostic Research, fractured cusps are the most common type of longitudinal fracture. A number of conditions may cause them:

Teeth weakened by restorations

Large cavities

Age

Traumatic injuries

Abnormal biting habits, such as teeth grinding

If you do have a fractured cusp and experience pain or sensitivity to cold fluids, reach out to your dental professional for immediate attention.

3. Cracked Tooth: A cracked tooth is when a crack extends from the crown of the tooth toward the root, though the tooth is not split into pieces. This fracture is more extensive than a fractured cusp and, therefore, more likely to affect the nerve of the tooth. There are several possible causes for a cracked tooth, including:

Teeth grinding

Dental work that weakened the tooth

Trauma to the tooth

Treatment will vary based on the location and extent of the crack, which your dentist may need to investigate. If the nerve of the tooth is affected, an endodontist might perform a root canal treatment. If the crack extends down below the gumline, the tooth may need to be extracted.

4. Split Tooth: A split tooth is a complete fracture from the crown that extends below the gumline through the middle of the tooth. This is usually the result of an untreated cracked tooth, as the fracture extends over time, it can happen either suddenly or due to the long-term growth of the crack. The tooth may require extraction, but in some cases, an endodontist may save a portion of the tooth and complete a restoration to make the tooth functional.

Who Treats a Longitudinal Fracture?

Depending on what causes a longitudinal fracture and what kind you have, different specialists may be required to diagnose and treat your problem. For example, endodontists have additional training in finding the cause of tooth pain and performing procedures on the interior of the tooth, according to the AAE. They may diagnose a longitudinal fracture or perform root canal treatment.

Alternately, prosthodontists work on tooth restoration to maintain its health, function, comfort, and appearance. They do so by saving and restoring natural teeth or replacing missing teeth with crowns, veneers, bridges, or dentures. When it comes to longitudinal fractures, they would be involved in restoring the tooth with a filling or crown.

Longitudinal Fracture Treatment

If your dentist diagnoses you with one of these longitudinal fractures, rest assured that treatment options are available to help make your mouth healthy again. While more severe cases might call for a root canal procedure or extraction, smaller fractures might be solved by a filling. If you experience any sudden pain in a tooth, see your dental professional as soon as possible for a diagnosis.

Longitudinal fractures might seem frightening or unfamiliar, but don’t worry—the sooner you contact your dental professional, the sooner you can get examined and start treatment. While longitudinal fracture causes aren’t always preventable, maintaining excellent oral health in the meantime can help prevent decay and enamel weakening. That includes brushing twice daily with fluoride toothpaste and soft-bristle toothbrush and cleaning between your teeth daily with floss or another interdental device. Also, be sure to visit your dental professional every six months for regular checkups. The more you maintain your teeth’s health, the more long-lasting strength and sparkle they’ll have!

(05/03/2021)
by Colgate

More Information: https://www.colgate.com/en-us/oral-health/dental-emergencies-and-sports-safety/4-longitudinal-fracture-issues-and-how-your-dentist-will-treat-them


Views: 798
Share
Share

Black Teeth: Symptoms, Causes and Treatment

Black teeth can be a concern for many people; a black tooth will affect your smile and impact on your confidence. If you have a black tooth, read on to find out more about the symptoms and causes and treatments that may be available.

What causes a tooth to go black?

There are many reasons why a tooth can begin to go black, anything from simple staining to the death of the tooth can cause blackness and darkening.

Poor oral hygiene

Poor oral hygiene can cause your tooth to go black. In the early stages this is likely to be staining from substances like tobacco, red wine and strongly colored food. If your oral hygiene routine is not thorough enough to remove the acid-excreting bacteria each day, the acid will slowly eat away at your tooth.

As the tooth gets eaten away, tooth decay sets in. Tooth decay naturally looks black and can give the appearance of a black tooth. This gives the look of rotten teeth and is a classic result of not looking after your teeth for a considerable period of time.

The death of a tooth

When a tooth dies, the blood supply – which gives the tooth its natural, healthy color – will stop. Because the tooth is not receiving the nutrients it needs, it will begin to necrotise, darken, die and slowly go black.

Will my tooth go black after root canal?

A common misconception is that a tooth will go black after a root canal treatment. Teeth will often go black before root canal treatment as the tooth rots and decomposes on the inside. If root canal treatment is done well, all of the decomposing tissue will be removed and the blackness will not get worse. There may, however, be some mild darkening of the tooth after a root canal, depending on exactly how the root canal treatment is done and with which material.

How long does it take for a tooth to go black?

If the cause of the blackness is due to tooth decay, the blackness can happen over a period of years. If the cause of the blackness is due to trauma, as soon as the blood supply has been cut off from the tooth, the internal tooth tissue will begin to die and turn black.

Will a dead tooth go black?

If a dead tooth is left untreated, it will go black as the internal tooth tissue dies and decomposes. If the dead tooth has been root treated with a tooth-colored treatment, the tooth may not go completely black, although it may darken slightly.

Black teeth can be a concern for many people; a black tooth will affect your smile and impact on your confidence. If you have a black tooth, read on to find out more about the symptoms and causes and treatments that may be available.

What causes a tooth to go black?

There are many reasons why a tooth can begin to go black, anything from simple staining to the death of the tooth can cause blackness and darkening.

Poor oral hygiene

Poor oral hygiene can cause your tooth to go black. In the early stages this is likely to be staining from substances like tobacco, red wine and strongly colored food. If your oral hygiene routine is not thorough enough to remove the acid-excreting bacteria each day, the acid will slowly eat away at your tooth.

As the tooth gets eaten away, tooth decay sets in. Tooth decay naturally looks black and can give the appearance of a black tooth. This gives the look of rotten teeth and is a classic result of not looking after your teeth for a considerable period of time.

The death of a tooth

When a tooth dies, the blood supply – which gives the tooth its natural, healthy colour – will stop. Because the tooth is not receiving the nutrients it needs, it will begin to necrotise, darken, die and slowly go black.

Will my tooth go black after root canal?

A common misconception is that a tooth will go black after a root canal treatment. Teeth will often go black before root canal treatment as the tooth rots and decomposes on the inside. If root canal treatment is done well, all of the decomposing tissue will be removed and the blackness will not get worse. There may, however, be some mild darkening of the tooth after a root canal, depending on exactly how the root canal treatment is done and with which material.

How long does it take for a tooth to go black?

If the cause of the blackness is due to tooth decay, the blackness can happen over a period of years. If the cause of the blackness is due to trauma, as soon as the blood supply has been cut off from the tooth, the internal tooth tissue will begin to die and turn black.

Will a dead tooth go black?

If a dead tooth is left untreated, it will go black as the internal tooth tissue dies and decomposes. If the dead tooth has been root treated with a tooth-colored treatment, the tooth may not go completely black, although it may darken slightly.

Will my chipped tooth go black?

If the chip in your tooth is just in the enamel (the hard outer layer of your tooth) then, so long as you keep the tooth clean, the chances are it will not go black. There is no need to see a dentist urgently, simply make an appointment at your earliest convenience to discuss how this can be repaired.

If the chip in your tooth goes through the enamel and into the dentine (the softer part of your tooth) then the dentine may pick up stains more readily and go dark. Because the dentine is softer, it will also be more prone to dental decay causing a black tooth. You should see a dentist about this; however, it would not be considered an emergency appointment unless it is accompanied by pain.

If the chip goes all the way through the enamel, dentine and down to the pulp (the living blood supply part of your tooth) this will more than likely be extremely painful and you may even see blood from the chip. If this is left untreated, not only could you be in extreme pain but the tooth could begin to die and will almost certainly go black. You will need to see an emergency dentist as soon as possible.

I hit my tooth- will it go black?

If the tooth has simply been knocked or hit, then it will not necessarily go black. If, however, the tooth has been hit so hard as to damage the blood supply then the tooth may begin to go black if the nerve dies. If you have hit your tooth and there is bleeding around the gum margin, we recommend you visit an emergency dentist to have an assessment.

Treatments for a black tooth

Black spots on teeth can be treated quite simply, these can often be caused by a small pit or chip in the tooth which either picks up staining or has a small amount of decay. Your dentist can usually remove a small amount of tooth around this area, removing the staining and/or decay and placing a some tooth-colored bonding material over this area. The tooth bonding will blend in naturally with your surrounding teeth, making the repair invisible.

Dead tooth whitening is also possible. This is whitening with a peroxide gel which can whiten teeth significantly; however, sometimes teeth whitening alone is not enough to whiten a dead tooth and some form of restorative option needs to be considered, either a dental veneer or a dental crown.

(05/06/2021)
by Dr Kala Jones

More Information: https://www.thedentalcentrelondon.com/black-teeth-symptoms-causes-and-treatment/


Views: 2,946
Share
Share

Teeth Prone To Tooth Decay? These Tips Will Help Reduce Cavities

Your daily lifestyle habits and the foods you eat affect both your overall health and the state of your teeth and gums. If you are someone who avoids going to the dentist because it seems you're always hearing you have one or more cavities, it likely causes you frustration. While some people are more genetically prone to developing tooth decay, the condition of your teeth is most likely a direct result of your daily oral hygiene routine and the foods and drinks you most often consume. 

If your teeth are prone to tooth decay, these tips will help to reduce the potential of cavities at your next dental exam. 

Establish a Diet That's Healthy For Your Teeth 

Making a conscious effort to eat healthier is a great place to take better care of your teeth and gums. Not only do foods high in nutrients help to fuel your body with what it needs to run smoothly, but a healthy diet is one of the best ways to ensure a healthy smile. Ensure you're eating a healthy and balanced diet by incorporating these healthy foods:

Raw Vegetables. 

Raw vegetables are packed full of nutrients that you can't get anywhere else. Vegetables are the perfect snack option, and they also work as a natural toothbrush by removing bacteria from your teeth before they can affect your enamel. 

Fresh Fruits. 

Raw fruits hold healthy nutrients that make for the perfect, natural snack when your sweet tooth hits. We recommend staying away from dried fruits because they easily stick to your teeth, cause cavities, and are often just as damaging as a piece of candy. 

Water. 

Water is the best thing you can drink for your overall health. By drinking water throughout the day instead of a soda or juice, you're rinsing food particles from your teeth and also keeping your body hydrated. Drinking water will help make you feel more aware and awake, even during the dreaded afternoon stretch. 

Dairy products include phosphorus, calcium, and other enamel-strengthening nutrients. Plain yogurt and cheese can help balance the mouth's pH levels, neutralizing acids, and help to prevent enamel wear. 

Avoid These Damaging Diets 

The snack and drink choices you make daily can quickly wreak havoc on your teeth if you're consuming these top offenders too often: 

Sugar. 

One of the best places to start when looking to live a healthier lifestyle is to become aware of just how much sugar you're consuming daily. Sugar is a top offender when it comes to whole-body health. Overindulging and overeating sugar will quickly lead to cavities, obesity, and diabetes. The sugar you consume should only provide 5% of your daily energy, meaning you should be consuming no more than 25 grams of sugar a day. We recommend checking labels on foods before consuming them. You may be surprised to learn that your morning yogurt has your daily limit of sugar or a protein bar has as much sugar as a candy bar.  

Drinks.

Your tooth enamel is porous, and when you drink dark-colored liquids, the staining compounds enter your enamel and linger. Over time, frequent drinking causes these stains to build up and cause discoloration. Drinking dark-colored liquids high in sugar is even more damaging to your teeth and leaves them coated in sugar with every sip. 

Acidic Foods and Beverages. 

Your tooth enamel's job is to protect the inner layers of your teeth. When it wears away, it's easier for cavities to form and damage the sensitive dentin. Acidic snacks lower your mouth's pH levels, giving acid from foods and drinks free reign to erode your enamel. Steer clear of things like coffee, soda, and citrus fruits and juices when possible.  

Improve Your Oral Hygiene Routine

If you find yourself being diagnosed with cavities tooth decay at your routine dental cleanings and exams, try the following to level up your brushing:

Improve Your Brushing Technique - Make sure to brush the outward-facing, tongue-facing, and chewing surfaces of each tooth, and give extra attention to your molars because they have more cracks and fissures.

Use a Fluoride Toothpaste - Fluoride toothpaste is helpful for those with sensitive teeth who need extra help in fighting cavities. 

Invest in a New Toothbrush - You should be using a new toothbrush every three months because bacteria build up on toothbrush bristles over time. Old toothbrushes can do more harm than good. Make sure you're using a soft-bristled toothbrush to help protect your gums. 

Floss Every Day - Get in a flossing habit that you can do every day to help establish a routine. 

Incorporate a Mouth Rinse - For some patients, using a mouth rinse regularly helps to improve bad breath and also kills harmful plaque causing bacteria that leads to cavities and decay. 

Identify Harmful Habits that Cause Tooth Decay

Consider these risk factors to learn more about how seemingly innocuous habits might be leading to cavities. 

Snacking or sipping often

Certain foods and drinks

Grinding your teeth

Not getting enough fluoride

Dry mouth

Heartburn

Talk to Your Dentist

Your dentist knows better than anyone why you have frequent cavities. At your next exam, ask about areas of your mouth that have plaque buildup and which areas can improve with your oral hygiene routine. Explain your current oral hygiene tools and habits by your dentist and hygenist at your next cleaning and exam so we can help you find where your routine may be lacking and where you can improve. Contact Tompkins Dental today to schedule your next cleaning and exam. 

(05/01/2021)
by Tompkins Dental

More Information: https://www.tompkinsdental.com/blog/teeth-prone-to-tooth-decay-these-tips-will-help-reduce-cavities


Views: 813
Share
Share

Tooth Contouring Can Reshape Your Teeth

Tooth reshaping, or dental contouring, is an incredible cosmetic dentistry treatment that quickly removes minor amounts of tooth enamel to change the shape or length of one or more teeth. This procedure is highly effective for quickly and painlessly altering teeth that are chipped, cracked, or overlapping. In certain situations where imperfections are minor, dental contouring may even be a substitute for braces. This procedure offers patients a subtle yet noticeable change to their smile while creating better overall health.  

How Dental Contouring Works 

When a skilled and trained cosmetic dentist uses the technique, tooth contouring can be performed with little to no patient discomfort. Before having the procedure, dental x-rays will be taken to evaluate the size and location of the pulp of each tooth to ensure that there is enough bone between the teeth to provide proper support. Your dentist will then gently start to remove a small amount of tooth enamel with a laser or drill. Your provider will trim any misshapen areas, excessively long teeth will be shortened, and poorly shaped teeth will be evened out for proper bite and alignment. After the contouring is complete, your dentist will polish your teeth for a natural-looking shine. Depending on the extent of the contouring recommended, reshaping may take just one 30 minute appointment to transform your teeth. 

Benefits of Tooth Contouring

Tooth contouring treatments are considered a cosmetic dental procedure that produces quick and noticeable results. This treatment is ideal for reshaping the teeth and correcting minor imperfections. 

Top benefits of tooth contouring include:

Only one appointment is necessary

The treatment typically takes less than an hour to complete

There is no associated pain or discomfort during or after treatment 

Results are permanent

Minor Cosmetic Issues Contouring Can Fix 

Tooth contouring is designed to fix minor cosmetic issues with your teeth. Your tooth enamel is only 2.28mm thick, and some remaining enamel is necessary to ensure your teeth remain healthy and protected for many years to come. Enamel is needed to protect your overall dental health and to keep your teeth from becoming sensitive. 

Tooth contouring can help to address the following:

Slightly misshapen teeth

Overly long teeth

Minor chips or cracks along the edge of a tooth

Minor crowding 

Minor positioning issues

Tips For Keeping Teeth Healthy After Treatment 

The main concern with tooth recontouring is that it will leave your teeth slightly thinner. This can make your smile more sensitive to hot and cold sensations. It's also necessary to protect your teeth from abrasive substances, and remember to brush with care to prevent damaging any remaining enamel. The best tip for keeping your newly altered teeth in great shape is to continue an excellent dental regimen. Brushing with fluoride toothpaste twice a day will help keep your teeth white and stain-free after your treatment. 

Other tips for keeping teeth healthy after contouring include:

Avoiding sugar-filled beverages or snacks

Adding extra calcium into your diet or take a supplement 

Use a non-abrasive toothpaste 

Do not grind your teeth or clench your jaw

Maintain great dental hygiene

See your dentist regularly for checkups

Are Your Teeth Contouring Candidates?

Dental contouring is an incredibly simple and straightforward process. Suppose you're interested in learning more about contouring, bonding, or other cosmetic dentistry treatments to address any minor imperfections in your smile. In that case, an initial exam is a great place to start. Following an exam, we will confirm if your teeth are healthy if you have sufficient enamel for the procedure, and if you are a great candidate for the treatment. Contact Tompkins Dental today to learn more about tooth contouring and if this treatment is right for you.

 

(04/30/2021)

More Information: https://www.tompkinsdental.com/blog/5-ways-tooth-contouring-can-reshape-your-teeth


Views: 843
Share
Share

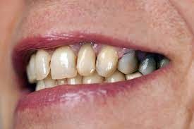
What Causes The Dark Line On My Gums?

You have seen smiles that you know have dental crowns in the front. You look at them and say to yourself that something is not natural. Many times, it is the dark rim of gum tissue that gives it away. The dark rim of gum tissue does not occur around natural teeth, only around teeth that have been covered with dental crowns.

The dark line is associated with an old porcelain dental crown. This style of dental crown is referred to as a porcelain fused-to-metal dental crown because it uses tooth-colored porcelain on the outside and it uses metal under the porcelain for strength. The dark line originates from the edge of the dental crowns where the porcelain and the metal meet at a knife-edge at the gum line. At the knife-edge, a very thin amount of the metal always shows. One of the illusionary techniques cosmetic dentists have used was to hide the thin dark line under the gum line. Over time, the gum tissue would recede and expose the dark line. In some patients the dark line would show through the gum and make it appear dark as well.

How Do You Get Rid of It?

The only way to eliminate the esthetic problem is to replace the dental crowns. When replacing just one single dental crown in the front, you should expect that it might take more than one try-in of the new dental crown before it is permanently cemented into place. Because your central incisors are the most prominent teeth in the mouth, matching them is the most difficult esthetic challenge. Only the best dental technicians are able to mimic one central incisor tooth next to another.

What Are Some of the Replacement Dental Crowns Like?

Some of the clever ways dentists and dental technicians have been able to mimic natural teeth is through the new advancements in dental materials. New all-tooth-colored ceramic dental crowns are the latest technological advancement cosmetic dentists have to recreate natural teeth. In comparison to porcelain fused-to-metal dental crowns, all-ceramic dental crowns do not contain any metal, thus no dark line can appear.

Some advantages and disadvantages of all-ceramic dental crowns are as follows:

Advantages of All-Ceramic Dental Crowns

High esthetics

Excellent fit

If gum recession occurs, there is no dark line

Disadvantages of All-Ceramic Dental Crowns

Not as strong as porcelain-fused-to-metal dental crowns

Cannot be used in all areas of the mouth.

(05/07/2021)
by Rye Smiles for Life

More Information: https://www.ryesmilesforlife.com/learning-center/what-causes-the-dark-line-on-my-gums/#:~:text=The%20dark%20line%20originates%20from,line%20under%20the%20gum%20line.


Views: 931
Share
Share

Can a Tooth Cracked In Half Be Fixed?

One moment you’re biting into a crisp, flatbread pizza, and the next, you’ve got a tooth cracked in half. There are a few reasons why this can happen with no warning, but luckily, your dentist can usually fix a cracked tooth. There’s plenty to know about what causes a tooth to crack, and what you can do about it before it’s beyond restoration.

Reasons a Tooth Might Break

Over time, jaw clenching, teeth-grinding and crunching hard objects like candy or ice can damage your tooth enamel and cause the tooth itself to crack. The pulp inside your tooth contains nerves and blood vessels and, according to the American Association of Endodontists (AAE), can therefore become painful if the tooth has suffered a crack in it. A telltale sign of a cracked tooth is sudden pain while eating, especially if your food is an extreme temperature, though it is possible to have a cracked tooth and not feel it.

What to Do if a Tooth Cracks in Half

Call your dentist’s office for an appointment right away to let them know your tooth cracked in half. A broken tooth is not something you should put off, because the longer you wait, the more you risk infection in the tooth’s pulp – which can spread to the gum and bone beneath your tooth. If you can’t see your dentist immediately, follow your usual oral hygiene routine up until your scheduled visit, but use extra care.

How to Repair a Cracked Tooth

Your dentist will then be able to take a look at the damage and decide the best treatment for saving your tooth. Ultimately, however, treating a cracked tooth depends on how extensive the fracture is. If a tiny piece of enamel or filling has chipped off, you may only need a new filling or some bonding material to restore the chipped portion. Part of your tooth may also be salvaged if only a small piece broke off, allowing your dentist to place a crown over it to protect the remainder of the tooth. Or, endodontic surgery may be required to remove the fractured portion. Other times, the crack may extend down into the pulp, and a root canal or tooth extraction may be more appropriate.

Taking swift action can make a big difference in your ability to save a cracked tooth, so be sure to get on your emergency dentist appointment soon. It could prove vital in preventing the loss of the tooth altogether.

(05/05/2021)
by Beddington Dental

More Information: https://beddingtondentalclinic.com/tooth-cracked-in-half-can-it-be-fixed-0515/#:~:text=If%20a%20tiny%20piece%20of,the%20remainder%20of%20the%20tooth.


Views: 790
Share
Share

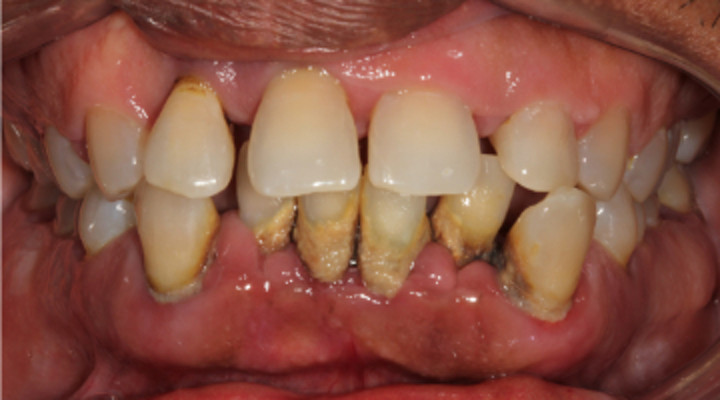
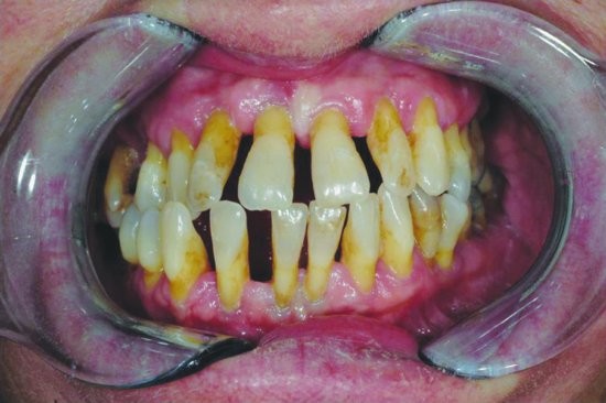
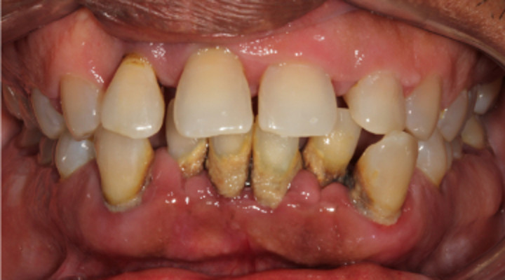
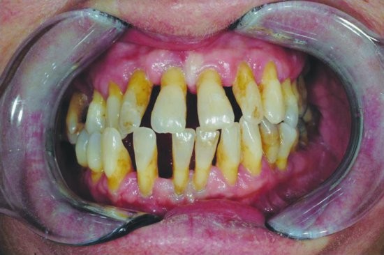
What are the different stages of periodontal disease?

Four stages of periodontal disease

Periodontal disease is broken up into four different stages, which include:

Gingivitis: This is the only stage of the disease that is reversible as it hasn’t attacked the bones yet. This is a result of plaque buildup around the teeth. Bleeding gums is one of the first symptoms you may experience. However, most symptoms of gingivitis are painless, which is what makes periodontal disease so common. Good oral hygiene and regular dental exams and routine dental cleanings can help treat and reverse gingivitis successfully.

Slight Periodontal Disease: Slight periodontal disease is the second stage of gum disease. It isn’t reversible, but can be managed. Once you reach stage two, the infection has spread to the bone and has begun to destroy bones. The bacteria have become more aggressive, which is what leads to bone less. Scaling and root planing can be used to deep clean the teeth gums. It removes deposits of bacteria that are deeply rooted in your gums.

Moderate Periodontal Disease: The third stage of periodontal disease has more probing depths, which allows for even more bacteria to attack the bones and the blood stream, too. Much like slight periodontal disease, our professional specialists will use scaling and root planing to thoroughly clean the area.

Advanced Periodontal Disease: The final stage of periodontal disease is when the infection has evolved into disease-causing bacteria. It can cause redness, swollen gums that ooze pus, sensitivity, loosening of teeth, painful chewing, severe bad breath, and bone loss. This stage requires periodontal surgery or laser therapy with the PerioLase MVP-7 TruePulse to clean the deep bacteria-filled pockets. If left untreated, stage four can lead to gaps or spacing between the teeth, the need for dentures, gum recession, and other serious health problems.

Treating periodontal disease quickly is important. At Premier Periodontics, we teach our patients good oral hygiene habits that will help them to halt the progression of their periodontal disease.

Periodontal disease treatments

The periodontal disease treatment chosen will be determined by the severity of the disease. Treating gum disease as early as possible can minimize damage and decrease the need for surgery. It also reduces the chance of tooth loss from occurring.

Some of the most common periodontal treatments that we use include:

Dental cleaning: During a routine dental cleaning, plaque and tartar are removed from above and below the gumline of the teeth. If any signs of gum disease are suspected, we may recommend more frequent dental cleanings.

Scaling and root planing: For cases that are found early, scaling and root planing is used. This deep-cleaning and nonsurgical procedure is done under local anesthesia. Plaque and tartar are scraped away from above and below the gumline, and rough spots on the tooth root are smoothed with planing. Smoothing these rough spots removes bacteria and provides a clean surface for the gum to reattach properly to the teeth.

Flap surgery/pocket reduction surgery: For advanced stages of periodontal disease, a surgery may be required. During this surgical procedure, the gums are lifted back and tartar is removed. In some situations, irregular surfaces of damaged bone are smoothed where disease-causing bacteria may be hiding. The gums are then placed so that the tissue will fit snugly around the tooth. This reduces the space between the gum and tooth, which reduces the chance of bacteria from growing.

Bone grafts: This procedure uses fragments of your own bone, donated bone, or synthetic bone to replace bone destroyed by gum disease. This promotes regrowth of bone, which makes the teeth more stable. Soft tissue grafts can also be used to reinforce thin gums or to fill in places where the gums may have receded.

Laser gum surgery: This surgery is used by periodontal specialists because it is less painful, reduces sensitivity post-op, and requires very little downtime after treatment compared to traditional osseous surgery.

(04/30/2021)
by Premier Periodontics

More Information: https://premierperiodontics.com/dental-blog/what-are-the-different-stages-of-periodontal-disease


Views: 1,063
Share
Share

Broken Wisdom Tooth – Is It Considered An Emergency?

Wisdom teeth are usually the last adult teeth to come through and tend to erupt in the later teens or early twenties. Known as the third molars, they do not always come through the gums at all, and if they do, sometimes they may not be straight.

In these cases, there may be an increased risk of infection. Gaps allow debris to gather and bacteria to grow, which raises the risk of gum disease and tooth decay. Some experts recommend the early removal of wisdom teeth to avoid such occurrences, while others believe it is best to leave them alone if possible.

However, one situation where your dentist is very likely to recommend removal is if a wisdom tooth is broken. While it is possible to retain the broken tooth, to avoid further complications, it is best to get the tooth removed completely.

Why Do Wisdom Teeth Break?

As wisdom teeth are the last to come through, there may be limited space in your mouth. As they try to erupt through your gum, another tooth may already be occupying the same spot. Your wisdom tooth may come through at an unnatural angle, or even crack as it forces its way out.

Wisdom teeth may be more likely to break than your other teeth if they have not erupted correctly. You may find it more challenging to use those teeth to chew, and there is a greater chance of decay if it is harder to clean thoroughly around that area.

As with any other tooth, your wisdom teeth are susceptible to blunt force trauma, such as an impact on your jaw, or biting into something hard. If your teeth crack, or fragments of your wisdom tooth break off, this is likely to cause discomfort.

Risks from Having a Broken Wisdom Tooth

Bacteria can thrive in gaps where bits of the tooth broke. A gap in a wisdom tooth is a hospitable environment for an infection and a weak point in the tooth.

Additionally, a broken or cracked wisdom tooth puts the entire tooth’s health at risk. Bacteria can invade the tooth and infect the dental pulp. In those cases, the tooth must either be extracted or given a root canal treatment. In most cases, it’s better just to remove the tooth.

It is essential to see your dentist quickly if you have a broken wisdom tooth. Your dentist will carry out an assessment and tell you if you should have a wisdom tooth extraction.

Although it is possible to fill a broken tooth, or repair it using a crown, you will want to consider removing your wisdom tooth. Wisdom teeth usually do not bring any real benefits to your mouth, but they can increase the chances of breakages and infections.

Wisdom Teeth Removal

If you need to have your wisdom teeth removed, your dentist can perform the procedure in just one visit. Depending on how your tooth has erupted through the gums and sits in the jawbone, you may need a simple or complex extraction.

In a simple extraction, your dentist numbs the area around the tooth and using a rocking motion, loosens the tooth from its socket. In a complex extraction, you may require general anesthesia or conscious sedation, especially if you are an anxious patient.

Your dentist makes an incision in the gum line and breaks the tooth into sections, removing the pieces. After the extraction, your dentist places a piece of gauze over the site to stem the bleeding and may use sutures. Bring a chaperon to drive you home, as the sedation’s effects can last in the body for a few hours after your procedure.

Aftercare

Your recovery time is crucial, and your dentist advises on how you can help minimize any discomfort and assist your body’s natural healing processes. The areas where your dentist removes the teeth may feel tender and swollen. You should use an ice pack to gently press around the affected areas to help soothe your gums.

It is fine to take over-the-counter medications, as recommended by your dentist. Your dentist may also prescribe you pain relievers for the first few days.

Adjust your diet for a minimum of one week. Avoid hard or chewy foods and instead opt for soft or blended alternatives. Your oral cavity has been through an operation, and now it needs time to heal. Eating soft foods allows your mouth to rest and reduces the risk of dislodging the blood clot or stitches.

It’s essential to follow a good oral hygiene regime to reduce the risk of infection. Using a warm salt water rinse can also help kill off infections which may require further treatment and cause unnecessary discomfort. Do not spit the rinse out; instead, tip your head and allow it to spill into the sink.

After your symptoms have subsided, your mouth will feel and act as normal. Wisdom teeth usually play little part in chewing, so their removal should not impact how you eat or speak.

(05/04/2021)
by No Gaps Dental

More Information: https://www.nogapsdental.com/broken-wisdom-tooth/


Views: 670
Share
Share

Front Tooth Replacement Options

Losing a front tooth can be particularly distressing, as, after all, your smile is an important part of your personality. When you cannot smile, laugh and talk freely without feeling embarrassment, it can affect your self-esteem and self-confidence. Additionally, it is always important to replace any missing tooth as its loss can affect your remaining natural teeth, decreasing their stability and allowing them to drift out of position. This, in turn, can affect your bite. Here at Spokane Family Smiles, we understand the distress caused by a missing front tooth and will provide you with compassionate and expert dental care to comfortably restore your smile.

What Are the Options for Replacing Front Teeth?

There are three possible options for replacing front teeth which are to use a flipper, to have a dental bridge, or to choose a long-lasting dental implant.

Dental Flipper

A flipper, is generally only suitable as a temporary solution. It is essentially a one tooth denture that is created for cosmetic purposes, filling in the gap in your smile while you choose a more permanent solution. Although a flipper can look quite nice, it isn’t particularly stable, and you will not be able to bite down very easily.

Dental Bridge

The second option is to have a dental bridge which is supported by the teeth adjacent to the gap. These teeth must be crowned, and the crowns are attached to a false or replacement tooth called a pontic which creates a strong and stable restoration. This is a reasonable solution for tooth loss but the adjacent teeth which are called abutment teeth must be ground down in preparation for the dental bridge to be fitted. It is necessary to remove quite a substantial part of these teeth to create sufficient room for the crowns which prevents them from looking and feeling too bulky and unnatural. If the teeth adjacent to the gap are decayed, broken down, stained or discolored and could benefit from being crowned, choosing a dental bridge could be advantageous. However, if these teeth are strong and healthy a bridge will mean that your dentist has to remove perfectly good tooth structure when reshaping these teeth. Once this tooth structure is removed it can only ever be artificially replaced.

While a dental bridge can provide a good aesthetic outcome, it’s important to remember that no dental restoration will last forever and that eventually, you will need to replace your dental bridge which will be at least a three-unit or three-tooth bridge. This is where the third solution can prove to be more cost-effective in the longer term. When you choose a dental implant, you will only be replacing the tooth that is missing so that when the time comes to replace your restoration, you will only need to budget for a single implant crown.

Dental Implant

A dental implant is the most sophisticated way to replace a missing front tooth and it can provide a highly aesthetic outcome. A single implant-supported crown looks amazingly natural because it will emerge from your gums just like a real tooth, rather than sitting on your gums which is the case with a bridge tooth or with a dental flipper. There will be no need for our dentist to reshape the adjacent teeth and often a dental implant can be the healthiest way to restore a front tooth.

(05/02/2021)
by Spokane Family Smiles

More Information: https://www.spokanefamilysmiles.com/Blog/Post/Front-Tooth-Replacement-Options


Views: 1,040
Share