Dentists Journal

Top Ten Stories of the Week
8/8/2020

All Dentists Journal · Previous Week · This Week · All Time List · Headlines

Share

Dentistry as one of the oldest medical professions

Dentistry is one of the oldest medical professions, dating back to 7000 B.C. with the Indus Valley Civilization.  However, it wasn’t until 5000 B.C. that descriptions related to dentistry and tooth decay were available.  At the time, a Sumerian text described tooth worms as causing dental decay, an idea that wasn’t proven false until the 1700s!

In ancient Greece, Hippocrates and Aristotle wrote about dentistry, specifically about treating decaying teeth, but it wasn’t until 1530 that the first book entirely devoted to dentistry—The Little Medicinal Book for All Kinds of Diseases and Infirmities of the Teeth—was published.

By the 1700s, dentistry had become a more defined profession.  In 1723, Pierre Fauchard, a French surgeon credited as the Father of Modern Dentistry, published his influential book, The Surgeon Dentist, a Treatise on Teeth, which for the first time defined a comprehensive system for caring for and treating teeth.  Additionally, Fauchard first introduced the idea of dental fillings and the use of dental prosthesis, and he identified that acids from sugar led to tooth decay.

In 1840, the first dental college (Baltimore College of Dental Surgery) opened, establishing the need for more oversight.  In the United States, Alabama led the way by enacting the first dental practice act in 1841, and nearly 20 years later, the American Dental Association (ADA) was formed. The first university-affiliated dental institution, the Harvard University Dental School, was founded in 1867.

By 1873, Colgate had mass produced the first toothpaste, and mass-produced toothbrushes followed a few years later.

What may come as a surprise is that the first African American to earn a dental degree dates all the way back to 1869, and the first female dental assistant was employed in New Orleans in 1885. What might be most surprising of all is that most Americans did not adopt good brushing habits until after World War II, when soldiers stationed abroad brought the concept of good oral health back to the United States!

Other Fun Teeth Facts:

-Hesy-Re was an Egyptian scribe who lived around 2600 B.C. and is recognized as the first dental practitioner.

-Paul Revere, famous for warning Colonial troops that the British were coming, was also trained as a dentist by America’s first dentist, John Baker.

-Edward H. Angle, who started the first school of orthodontics in 1901, created a simple classification for crooked teeth in the late 1800s, a system still in use today.

-The first dental X-ray was used in 1896.

(08/03/2020)
by ADEA

More Information: https://www.mybestdentists.com/resources/AmericanDentalEducationAssociati


Views: 4,164
Share
Share

The four different types of Sedation used to make many patients more comfortable

Sedation dentistry refers to the use of sedation during dental treatment. Sedation is most commonly used during extensive procedures, for patients with dental phobia or for patients who find it difficult to sit still. Sedation is endorsed by the American Dental Association and is an effective way to make many patients comfortable during their dental visit. 

Before using a sedative or anesthetic, it is important to tell your dentist about any medications or medical treatments you are receiving. Before administering any sedative or anesthetic, your dentist will talk to you about the process of sedation and pre-and post-sedation instructions. 

Types of Sedation 

Oral Conscious Sedation

Through the use of sedatives and pain relievers, oral conscious sedation produces a relaxed state of consciousness to lessen pain and discomfort. Patients who receive oral conscious sedation are still able to speak and respond to questions during treatment, and express any pain or discomfort they may be having, although they may remember very little or nothing about the procedure. Other side effects include headache, nausea and vomiting. 

Nitrous Oxide Sedation

Nitrous oxide, more commonly known as "laughing gas," is often used as a conscious sedative during a dental visit. The gas is administered with a mixture of oxygen and has a calming effect that helps phobic or anxious patients relax during their dental treatment. After treatment, the nitrous is turned off and oxygen is administered for 5-10 minutes to help flush any remaining gas. The effects wear off almost immediately. Nitrous oxide rarely has side effects, although some patients may experience minor nausea and constipation. 

IV Sedation

Intravenous ("IV") sedation is sometimes known as "sleep dentistry" or "twilight dentistry," and involves administering a dose of sedatives directly into the bloodstream via an IV. IV sedation is highly effective for patients who are fearful or anxious about their dental visits, as the sedatives will calm the patient almost immediately. It also acts as an amnesiac, causing them to not remember the dental operation afterwards, even though the patient will remain conscious and responsive during the procedure. 

General Anesthesia

General anesthesia puts a patient completely to sleep during a dental procedure. The anesthesia can be administered in a variety of ways, including injection, gas inhalation or through an IV, depending on the circumstances. Aside from keeping the patient unconscious, the sedation also acts as an amnesiac, causing the patient to forget the events immediately before and after the procedure. General anesthesia is very safe under trained supervision.

(08/04/2020)
Views: 1,312
Share
Share

A new study has confirmed that regular smokers have a significantly increased risk of tooth loss

Male smokers are up to 3.6 times more likely to lose their teeth than non-smokers, whereas female smokers were found to be 2.5 times more likely.

The research, published in the Journal of Dental Research, is the output of a long-term longitudinal study of the EPIC Potsdam cohort in Germany carried out by researchers at the University of Birmingham and the German Institute of Human Nutrition.

Smoking causes gum disease:

Tooth loss remains a major public health problem worldwide. In the UK, 15% of 65-74 year olds and over 30% of 75+ year olds are edentate (have lost all of their natural teeth). Globally, the figure is closer to 30% for 65-74 year olds.

Lead author Professor Thomas Dietrich, from the University of Birmingham, explained, “Most teeth are lost as a result of either caries (tooth decay) or chronic periodontitis (gum disease). We know that smoking is a strong risk factor for periodontitis, so that may go a long way towards explaining the higher rate of tooth loss in smokers.”

Smoking can mask gum bleeding, a key symptom of periodontitis. As a result, the gums of a smoker can appear to be healthier than they actually are.

Professor Dietrich added, “It’s really unfortunate that smoking can hide the effects of gum disease as people often don’t see the problem until it is quite far down the line. The good news is that quitting smoking can reduce the risk fairly quickly. Eventually, an ex-smoker would have the same risk for tooth loss as someone who had never smoked, although this can take more than ten years.”

Gum disease is only the beginning:

Kolade Oluwagbemigun, from the German Institute of Human Nutrition, said, “Gum disease and consequential tooth loss may be the first noticeable effect on a smoker’s health. Therefore, it might give people the motivation to quit before the potential onset of a life-threatening condition such as lung disease or lung cancer.”

The findings were independent of other risk factors such as diabetes, and are based on data from 23,376 participants which aimed to evaluate the associations between smoking, smoking cessation and tooth loss in three different age groups.

The association between smoking and tooth loss was stronger among younger people than in the older groups. In addition, the results clearly demonstrated that the association was dose-dependent; heavy smokers had higher risk of losing their teeth than smokers who smoked fewer cigarettes.

Professor Heiner Boeing, also from the German Institute of Human Nutrition, added, “In addition to the many noted benefits for cardiovascular health, and risk of lung disease and cancer, it is clear that dental health is yet another reason not to take up smoking, or to quit smoking now.”

(07/31/2020)
by Journal of Dental Research
Views: 817
Share
Share

What Dentists Say about the Use of Hydrogen Peroxide to Whiten Teeth

You can blame it on Hollywood or Instagram, but it’s undeniable—everyone wants a bright, white smile. This has led to an explosion of teeth whitening or “bleaching” products, and many of them contain hydrogen peroxide. 

“Hydrogen peroxide has actually been used in teeth bleaching products and oral care products like toothpaste and mouthwash for decades,” dentist and Waterpik spokesperson Chris Strandburg, DDS, tells Health.

But how safe is the ingredient really, and—for those who’re on a quest for the perfect Hollywood smile—how effective is it as a teeth whitener?

What is hydrogen peroxide and how does it make teeth whiter?

Hydrogen peroxide is an acidic chemical compound with the formula Hâ‚‚Oâ‚‚, and in its pure form, it’s a very pale blue liquid. Oral care products aside, it’s often used as a household cleaner, bleaching agent, or antiseptic. 

Although hydrogen peroxide has only one more oxygen molecule than water (that’s the Hâ‚‚ part of its chemical formula), it has very different properties. It’s a powerful oxidizer in high concentrations, and can be corrosive to the eyes, skin, and respiratory system. For this reason, it needs to be used with caution on people and animals. 

It’s hydrogen peroxide’s strong bleaching properties that make it a common ingredient in teeth whitening products. “Hydrogen peroxide brightens and whitens the teeth via a chemical process, by breaking down the stains from polymers into monomers via an oxidation process,” UK dentist Dr. Lisa Creaven, co-founder of Spotlight Oral Care, tells Health. “In teeth whitening products, it works to dissolve stains so teeth are gradually and safely whitened without damaging tooth health.”

But because hydrogen peroxide is a potent bleaching agent, it’s typically diluted with a whitening product, such as baking soda, to prevent damage to the enamel and gums. 

How safe is it to put hydrogen peroxide your teeth? 

When regulated and controlled, hydrogen peroxide is completely safe, both in toothpaste and other products, like a gel that is squeezed into a rubber tray that wraps around the user’s teeth, or teeth whitening strips. These products allow hydrogen peroxide to come in close contact with the tooth surface; where it breaks down stains and brightens the overall shade of the tooth. “Hydrogen peroxide has a long track record of safety for bleaching teeth without significantly affecting the strength of tooth enamel,” Dr. Strandburg says.

However, it is possible to overdo it and cause damage to your teeth and gums over time. Teeth whitening products containing hydrogen peroxide typically contain concentrations of the compound from 3% to 20%—even higher in the dentist office. Most toothpastes and mouthwashes, for example, contain a lower amount of hydrogen peroxide, which makes the bleaching properties weaker and therefore safer for long-term use. In these situations, hydrogen peroxide has another role to play—helping to kill the bad bacteria that contributes to gum disease, which results in improved gum health. 

Teeth bleaching strips or gels, however, contain hydrogen peroxide in higher amounts, and so should be used less frequently. “Prolonged bleaching with these high concentrations of hydrogen peroxide, especially when used multiple days in a row, can lead to highly irritated gums and sensitive teeth,” Dr. Strandburg warns. “Gum irritation can get severe if more bleaching is done when the gums are already irritated. Tooth sensitivity is usually temporary (24 hours or so), but significant bleaching can increase tooth sensitivity permanently with long term use.”

Dr. Strandburg recommends limiting an initial treatment to seven to 14 sessions. An even safer approach is to give your teeth and gums a day’s rest in between sessions. If you have more than 20 bleaching sessions per year, you risk affecting the integrity of your teeth’s enamel, due to the slightly acidic properties of high concentrations of hydrogen peroxide. If you follow this advice, Dr. Strandburg says most people “get a nice boost to their tooth brightness with little to no lasting negative effects.” 

Orthodontist Heather Kunen, DDS, MS, co-founder of Beam Street, advises against using any whitening product course with hydrogen peroxide more than once or twice per year. “Once you have achieved the level of whitening you want (over the course of three to 10 days), wait at least another six to 12 months before whitening again,” she tells Health.

You can buy hydrogen peroxide solutions over the counter at your pharmacy and online, but great care should be taken if you create your own teeth whitening mixture at home. “The bleaching agent can badly burn your gums and damage enamel if the concentration is too strong,” Dr. Kunen warns. She recommends at least a 1:1 ratio of water to hydrogen peroxide if you are creating your own solution, but always check with your dentist first.

Are there teeth-whitening alternatives to hydrogen peroxide? 

Hydrogen peroxide isn’t the only teeth whitening ingredient out there. Although baking soda isn’t a true bleaching agent, Dr. Kunen says it helps to lift stains from teeth to give them a nice sparkle. Pthalimidoperoxycaproic acid (PAP) is another bleaching alternative. “Other whitening brands are starting to stray from traditional peroxides and use new formulas that are less harsh, such as pthalimidoperoxycaproic acid (PAP),” she adds. “PAP is far less harsh on the enamel and gum tissues than hydrogen peroxide, so this formula may become more popular for other brands in the near future.” 

You may have also heard about charcoal for teeth whitening, but Dr. Creaven advises against this. “Research shows that toothpastes and teeth whitening products that contain abrasives such as charcoal can cause irreversible damage to the tooth surface,” she says. “Charcoal-based toothpastes work by mechanically removing the outermost layer of the enamel surface, which physically and permanently removes tooth structure. When these products are used over a long period of time, they can make the top surface of the teeth rough and dull, leading to a more yellow appearance overall.” 

Regardless of how you choose to whiten your teeth, it’s a good move to chat to your dentist and make sure your teeth and gums are in good shape. “Dentists have the health of your mouth as their first priority so making them part of your routine will ensure excellent oral health throughout your life,” Dr. Creaven says.

(08/04/2020)
by Claire Gillespie

More Information: https://www.health.com/condition/oral-health/is-it-safe-to-use-hydrogen-peroxide-to-whiten-teeth


Views: 964
Share
Share

Microbes in your mouth are a reminder to floss your teeth and go to the dentist

Most people know that good oral hygiene -- brushing, flossing, and regular dental visits -- is linked to good health. Colorado State University microbiome researchers offer fresh evidence to support that conventional wisdom, by taking a close look at invisible communities of microbes that live in every mouth.

The oral microbiome - the sum total of microorganisms, including bacteria and fungi, that occupy the human mouth -- was the subject of a crowd-sourced, citizen science-driven study by Jessica Metcalf's research lab at CSU and Nicole Garneau's research team at the Denver Museum of Nature & Science. Published in Scientific Reports, the study found, among other things, a correlation between people who did not visit the dentist regularly and increased presence of a pathogen that causes periodontal disease.

For the experiments, carried out by Garneau's community science team in the Genetics of Taste Lab at the museum, a wide cross-section of museum visitors submitted to a cheek swab and answered simple questions about their demographics, lifestyles and health habits. Microbial DNA sequencing data analyzed by Metcalf's group revealed, broadly, that oral health habits affect the communities of bacteria in the mouth. The study underscored the need to think about oral health as strongly linked to the health of the entire body.

"Our study also showed that crowdsourcing and using community scientists can be a really good way to get this type of data, without having to use large, case-controlled studies," said Zach Burcham, a postdoctoral researcher and the paper's lead author. Senior author Metcalf is an associate professor in the Department of Animal Sciences and a member of CSU's Microbiome Network.

Cheek swabs

Back in 2015, paper-co-author Garneau and her team trained volunteer citizen scientists to use large swabs to collect cheek cells from museum visitors - a naturally diverse population -- who consented to the study. These trained citizen scientists helped collect swabs from 366 individuals -- 181 adults and 185 youth aged 8 to 17.

The original impetus for the study was to determine whether and to what extent the oral microbiome contributes to how people taste sweet things. In collecting this data, which was also reported in the paper, the researchers noted more significant data points around oral health habits.

To help translate the data, Garneau turned to Metcalf's team of experts at CSU. Burcham and the microbiome scientists employed sophisticated sequencing and analysis tools to determine which microbes were present in which mouths. Sequencing for the data was performed in collaboration with scientists in Rob Knight's group at University of California San Diego. A nutrition team from Michigan State University also brought in expertise on the importance of child and maternal relationships to the data analysis.

"Together, we had a dream team for using community science to answer complicated questions about human health and nutrition, using state-of-the-art microbial sequencing and analysis," Garneau said.

Flossing and regular dental care

The study grouped people who flossed or didn't floss (almost everyone said they brushed, so that wasn't a useful data point). Participants who flossed were found to have lower microbial diversity in their mouths than non-flossers. This is most likely due to the physical removal of bacteria that could be causing inflammation or disease.

Adults who had gone to a dentist in the last three months had lower overall microbial diversity in their mouths than those who hadn't gone in 12 months or longer, and had less of the periodontal disease-causing oral pathogen, Treponema. This, again, was probably due to dental cleaning removing rarer bacterial taxa in the mouth. Youth tended to have had a dental visit more recently than adults.

Youth microbiomes differed among males and females, and by weight. Children considered obese according to their body mass indices had distinct microbiomes as compared to non-obese children. The obese children also tended to have higher levels of Treponema, the same pathogen found in adults who hadn't been to the dentist in more than a year. In other words, the researchers saw a possible link between childhood obesity and periodontal disease. "This was very interesting to me, that we were able to detect these data in such a general population, with such a variable group of people," Burcham said.

Other data uncovered: The microbiomes of younger participants, mostly in the 8- to 9-year-old range, had more diversity than those of adults. However, adult microbiomes varied more widely from person to person. The researchers think this is due to the environments and diets of adults being more wide-ranging than children.

They also saw that people who lived in the same household shared similar oral microbiomes.

"When you look at families who live together, you find they share more of those rare taxa, the bacteria that aren't found as often in higher abundances," Burcham explained. It was a data point that underscored the relevance of one's built environment in relationship to the microbial communities in our bodies.

Working on the mouth study was fascinating, albeit outside Burcham's normal scope; he is usually focused on studying microbial ecology of decomposition.

"I think how our lives are essentially driven by our microbiomes, and affected by our microbiomes, is interesting, no matter what system we're looking at," Burcham said.

The study was made possible by a Science Education Partnership Award from the National Institute of General Medical Sciences, National Institutes of Health (Award #R250D021909).

(08/03/2020)
by Anne Manning

More Information: https://www.sciencedaily.com/releases/2020/03/200302162248.htm


Views: 1,020
Share
Share

The toothshower will let your brush, flossing, working to encourage you to handle all of your oral hygiene tasks as part of your daily shower routine

While we all like to think that we’re honest people, the truth is that little white lies spring up all the time. You don’t intend to lie. But through surprise or embarrassment or just a desire not to start a situation, falsehoods start tumbling out of your mouth.

Like the last time your dentist asked if you flossed. You probably said yes. That was probably a lie because we know only about 30 percent of us actually do floss every day. But at least we’re mostly honest about our lying because almost half of us admit we’ve exaggerating our flossing regimen to our dentist.

It’s usually not because you hate flossing. It’s just so easy to forget. However, that might no longer be the case with the help of something like the ToothShower Water Flosser Suite 2.0.

The ToothShower takes a stealthy approach to your flossing, working to encourage you to handle all of your oral hygiene tasks as part of your daily shower routine.

Unlike the mess of a countertop water flosser that inevitably sprays everywhere, the ToothShower hooks easily to your showerhead so you can handle the whole procedure right there in the shower with zero mess.

And this isn’t just an irrigating water spray in your mouth either since the ToothShower is actually a three-piece system. First, you can use the dual-headed toothbrush to scrub the fronts and backs of your teeth at the same time. Then, fire up the irrigating gum messenger, which both exercises your gums to increase blood flow while loosening plaque that can form at the gumline. Finally, you can swoop in with the irrigating tip to help flush out and expel any remaining bits of food still stuck in your teeth.

Everything stays stored in the ToothShower’s handy side compartment and the whole process won’t add more than an extra minute or two to your morning shower.

(08/02/2020)

More Information: https://www.newsbreak.com/news/1608764167262/the-toothshower-lets-you-brush-floss-and-handle-all-your-oral-care-easily-right-in-the-shower


Views: 832
Share
Share

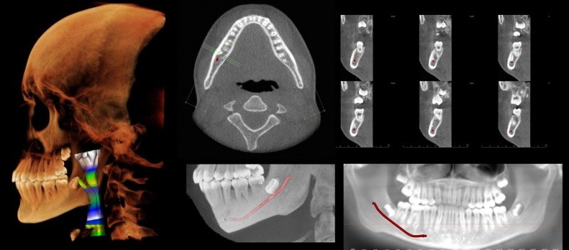
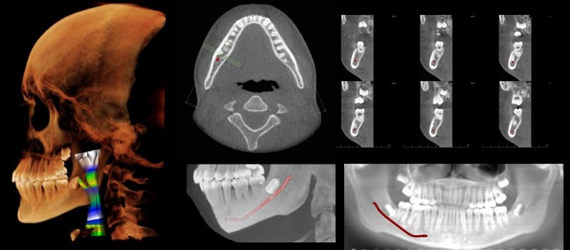
Tooth tech could help dentists diagnose problems more quickly

Imagine that your dentist's office has a new cyber assistant. This virtual aide can look for troublesome signs on your X-rays while your dentist conducts your exam. The X-ray analysis might be cheaper and more precise—and you're freed from the chair a little faster.

This scenario could become reality in the not-too-distant future, thanks to an interdisciplinary team of researchers from the School of Dental Medicine and the School of Engineering. The group is creating an artificial intelligence (AI) program that scans dental images like panoramic X-rays and alerts clinicians to results that require follow up.

"There is big potential for the use of AI in dental diagnosis," said Aruna Ramesh, professor and associate dean for academic affairs at the dental school, and a specialist in maxillofacial radiology.

Projects like this are just part of a shift toward "digital dentistry," as technology transforms a profession that was once mostly dependent on manual skills. With the aid of computers, dentists can now produce crowns in their office in about the time it takes to make a pair of eyeglasses, for example. They can also use software to design drill guides customized for their patients' jaws, to help place implants more accurately.

Imaging technologies such as MRIs and cone-beam CT scans, which produce a 3-D cross-sectional image, have expanded the ways dentists can explore beyond the teeth and gums. Panoramic X-rays, which capture the whole mouth in one two-dimensional image, are commonly used during checkups and to plan dentures, implants, braces, and extractions.

But interpreting some of these images can be time-consuming—and dental insurance typically does not cover the cost of analyzing an X-ray, Ramesh said. If digital advancements could speed up the analysis, the cost to the patient could drop.

An AI analysis can potentially cut down on human error. According to Karen Panetta, professor and dean of graduate education at the School of Engineering, images like an X-ray contain information that the eye can't detect but a computer can.

Ramesh, Panetta, and graduate engineering student Rahul Rajendran hope to teach the AI system to scan images—they are starting with panoramic X-rays—and flag areas that appear abnormal. Panetta has done similar work using AI to read mammograms or detect signs of cancer revealed by other kinds of medical imaging, as well as detecting diseases like COVID-19.

"Everybody thinks AI is a magic box you stick data in and it gives you answers," Panetta said. "But first you have to inform the AI by giving it robust data, curated by validated experts."

So Ramesh and a dental student, Ruby Wagimin, D20, have been analyzing a thousand panoramic X-rays, feeding detailed descriptions into the AI program. The program also records the researchers' spoken comments and tracks their eye movements—whether they hesitate for a fraction of a second on a particular spot, for example.

Once that data is assembled, the researchers will have the AI program spit out its assessment of the X-rays, flagging those with suspected abnormalities, and compare that analysis with the professionals' conclusions. With wide variation among normal human jaws, it is a task that's hard to standardize.

Even if the results from this initial round are promising, the AI will need years to assimilate data from hundreds of thousands more X-rays before it is ready to show up at your dentist's office—strictly in a supporting role. "The computer is not becoming the radiologist," Ramesh said. "I don't think it will ever replace a diagnostician."

(08/03/2020)
by Tufts University

More Information: https://www.mybestdentists.com/dental-schools/TuftsUniversity


Views: 1,909
Share
Share

Everything you need to know about canker sores

Canker sores are easily identified in the mouth; they are a widespread, well-known condition.

Although they can be very uncomfortable, they are rarely a cause for concern.

In this article, we ask if there is anything that can be done to relieve canker sores, and if there are times when they require medical attention.

A canker sore is a type of mouth ulcer, known medically as an aphthous ulcer. Canker sores are one of the most common complaints of the mouth.

They can occur at any age but are more likely in younger adults and women.

Children as young as two years may develop canker sores, but they do not normally appear until adolescence.

Although most people only have occasional canker sores, around 20-30 percent of people have recurrent episodes.

Canker sores are sometimes split into two categories:

Simple canker sores: they appear 3-4 times a year; they generally occur in people aged 10-20, and last about one week.

Complex canker sores: less common, larger, and more painful. They may last up to one month and leave a scar. Complex canker sores are often due to an underlying condition, such as a compromised immune system, Crohn’s disease, or vitamin deficiency.

Causes

Researchers have not yet provided a scientific explanation of why canker sores develop; however, there are some factors that are known to be involved, including viral infection.

The causes of recurrent cases of canker sore – known as recurrent oral aphthous ulcers or recurrent aphthous stomatitis – are also unclear, although there are links with a number of factors including a family history of aphthous ulcers, and allergies.

Ulcers are sometimes associated with other conditions needing medical attention, such as inflammatory bowel disease, compromised immunity, allergies, and nutritional deficiency.

The following factors are thought to be involved in the development of canker sores:

1. Hormonal changes.

2. Physical trauma (damage to the lining of the mouth, such as during dental treatment).

3. Drugs

4. Food hypersensitivity – for instance, citrus fruits and tomatoes can trigger or worsen a canker sore.

5. Nutritional deficiencies, including iron, folic acid, zinc, and vitamin B12.

6. Stress

A report by the United States Surgeon General estimates that up to 25 percent of the general population are affected by recurrent canker sores, noting there may be higher numbers among selected groups, such as health professional students.

Symptoms

Canker sores cause local pain and can be easily irritated. In simple cases, these are the only symptoms, although the pain may cause feelings of being fed up with the mouth ulcer.

Common features of canker sores include:

Well-defined, round, smaller than a centimeter across, and usually shallow in the mouth’s lining – mucosal surface.

Sometimes there is a tingling sensation before they appear.

White or yellow-gray center surrounded by an inflammatory red margin.

Often fading to gray over time.

Normally in the front part of the mouth, on its floor, inside of the lip (labial mouth), inside of the cheeks (buccal), or under the front or sides of the tongue.

Sometimes affecting the gums and, relatively uncommonly, the surface of the back part of the mouth.

Typically persists for 1-2 weeks before healing.

In some, more severe cases, symptoms can include:

1. feeling sluggish

2. swollen lymph nodes

3. fever

Canker sores and cold sores are different conditions:

Canker sores appear as white circles with a red halo; cold sores are normally fluid-filled blisters.

Canker sores appear inside the mouth; cold sores appear outside the mouth- often under the nose, around the lips, or under the chin.

Canker sores are not contagious; cold sores are caused by the herpes simplex virus (HSV) and, more rarely, HSV-2 (the genital herpes virus). Cold sores are contagious.

Common canker sores usually heal without the need for medical treatment. More severe or recurrent cases may be eased by prescribed treatments, although these do not “cure” the ulcers.

The home remedy below is suggested by the U.S. Library of Medicine and can be followed three or four times a day:

Rinse with mild, over-the-counter mouthwash or salt water (do not swallow).

Make a mixture that is half hydrogen peroxide and half water.

Use a cotton swab to apply some of the mixture directly to the sore.

Dab a small amount of milk of magnesia on the sore.

So-called alternative therapies may also be worth trying. A review of the management of canker sores written for the journal American Family Physician, listed a number of options, although it noted that there had been no randomized controlled trials to properly test safety and efficacy:

Anecdotes of relief and better healing from sucking on zinc gluconate lozenges (sold for the common cold).

Vitamin C, vitamin B complex, and lysine “may speed healing when taken orally at the onset of lesions.”

Sage and chamomile mouthwash 4-6 times a day may help – infuse equal parts of the two herbs in water.

Carrot, celery, and cantaloupe juices “have been reported as helpful.”

(08/06/2020)
by UIC

More Information: https://www.mybestdentists.com/dental-schools/UniversityofIllinois


Views: 3,318
Share
Share

Keep your teeth for the rest of your life with these four rules of oral health

According to the Australian Dental Association's 2020 Adult Oral Health Tracker, nearly a third of the adult population in 2020 has untreated tooth decay, up from 25 per cent in 2018, while less than half the adult population report brushing twice daily or visiting a dentist in the last 12 months.

Understanding the processes going on in your mouth is critical to preventing poor oral health, according to dentist Dr Crystal Koh, from at Lakeside Studio in Swansea, NSW.

"Bacteria feed on food and debris left on teeth surfaces, producing acid, which causes break down of tooth structure, leading to cavities.

"Bacteria in the mouth also leads to inflammation of the gums (gingivitis), which manifests as swollen, red and bleeding gums.

"Gingivitis can progress to periodontal disease, which can lead to tooth loss.

"Bacteria also produce odor which left unbrushed will lead to halitosis (bad breath)."

In the lead-up to Dental Health Week (August 3-9) the ADA is urging adults and children to follow four simple rules to maintain good oral health.

1. Brush morning and night

Saliva plays a pivotal role in flushing the oral environment during the day but when we are asleep, our salivary glands produce very little saliva.

"That's why it is so important to brush before you go to bed and when you wake up," Dr Koh said.

"Brushing before bed removes food particles that bacteria may feed on, and brushing in the morning will help remove the by-products of that bacterial activity, for a fresher morning breath."

There are also some golden rules when it comes to the right way to brush your teeth to maintain gum hygiene.

Use a small soft brush so as not to damage enamel or gums.

Use one pea-sized blob of fluoride-toothpaste.

Tilt your brush at 45 degrees to clean gums.

Brush in circles gently.

If using an electric toothbrush hold the brush still for three seconds on each tooth.

Brush inside and outside on all chewing surfaces. Then upper and lower teeth. Don't miss inside front teeth. Brush up and down to reach these properly.

Brush tongue to get rid of bacteria.

2. Floss regularly

It is important to floss every night to ensure that food or debris in between the teeth is removed before going to bed.

"Brushing only cleans three out of five surfaces of your teeth," Dr Koh said.

"Flossing helps clean in between the teeth, where toothbrush bristles cannot get access to.

"This will help minimize the occurrence of halitosis, gum disease and cavities."

Dr Koh suggests a "Wind, Guide, Glide and Slide" approach.

"Wind the floss between your fingers to form a 3cm to 5cm string, guide that string between your teeth, glide it across the base and contours of the tooth and slide it up and down," she said.

 3. Nutritious diet low in sugar

Food choices and frequency of consumption will affect not just your general health, but also your oral health.

"Frequent consumption of bottled fruit juices, soft drinks, energy drinks and snacking on foods with hidden sugars like biscuits, crackers, cereals, chips and even dried fruit can cause acid attacks on your teeth," Dr Koh said.

4. Visit your dentist regularly

Regular dental check-ups and x-rays will reveal issues that can be easily fixed before they turn into something more serious and painful.

"Regular scaling and cleaning will also help maintain gum health and keep gum disease at bay," Dr Koh said.

(07/31/2020)
Views: 1,029
Share
Share

Dental implants are the closest you can get to healthy and natural teeth

Dental implant is considered to be the greatest breakthrough in dentistry replacing loss teeth. Thanks to dental implant, missing teeth is no more “nightmare” to people.

Dental implant may be a good option no matter how many teeth you lose. Dental implants are metal posts or frames made of titanium that are positioned into the jawbone through surgery. Once integrated in jawbone, a tooth-shape crown is placed on to recover both function and appearance of missing tooth.

Titanium material is credited to its excellent biocompatibility, which is also used in groin repair surgery.

Modern dental implants have been used successfully for over 30 years. They are the strongest devices available to support replacement teeth – and even better, they allow these new teeth to feel, look and function naturally.

When performed by a trained and experienced dental implant dentist, dental implant surgery is one of the safest and most predictable procedures in dentistry.

Five facts about dental implants:

Ancient dental implants have been traced back to around 600 AD, when tooth-like pieces of shell were hammered into the jaw of a Mayan woman.

Dental implants are the only dental restoration option that preserves natural bone, actually helping to stimulate bone growth.

In 1951, a small group of dentists who were successfully placing dental implants formed the AAID – American Academy of Implant Dentistry – to share their knowledge on the practice of implantology. AAID is the first professional organization in the world dedicated to advancing implant dentistry.

In 1952, Swedish orthopedic surgeon P.I. Branemark discovered that titanium naturally fuses with bone, eventually switching his research focus to the mouth from the knee and hip.

3 million people in the United States have implants, a number that is growing by 500,000 annually.

(08/01/2020)
by AAID

More Information: https://www.aaid-implant.org/dental-implants/what-are-dental-implants/


Views: 980
Share