Dentists Journal

Top Ten Stories of the Week
10/30/2021

All Dentists Journal · Previous Week · This Week · All Time List · Headlines

Share

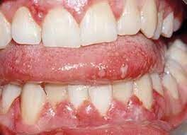
What is gingivostomatitis?

Gingivostomatitis is a common infection of the mouth and gums. The main symptoms are mouth or gum swelling. There may also be lesions in the mouth that resemble canker sores. This infection may be the result of a viral or bacterial infection. It’s often associated with improper care of your teeth and mouth.

Gingivostomatitis is especially common in children. Children with gingivostomatitis may drool and refuse to eat or drink because of the discomfort (often severe) caused by the sores. They may also develop fever and swollen lymph nodes.

Contact your doctor if:

symptoms worsen or persist more than a few days

your child experiences fever or sore throat

your child refuses to eat or drink

What are the causes of gingivostomatitis?

Gingivostomatitis may occur because of:

herpes simplex virus type 1 (HSV-1), the virus that causes cold sores

coxsackievirus, a virus often transmitted by touching a surface or an individual’s hand contaminated with feces (this virus can also cause flu-like symptoms)

certain bacteria (Streptococcus, Actinomyces)

poor oral hygiene (not flossing and brushing your teeth regularly)

What are the symptoms of gingivostomatitis?

Symptoms of gingivostomatitis can vary in seriousness. You may feel minor discomfort, or experience severe pain and mouth tenderness. Symptoms of gingivostomatitis may include:

tender sores on the gums or insides of cheeks (like canker sores, they are grayish or yellow on the outside and red in the center)

bad breath

fever

swollen, bleeding gums

swollen lymph nodes

drooling, especially in young children

a general feeling of being unwell (malaise)

difficulty eating or drinking due to mouth discomfort, and in children a refusal to eat or drink

How is gingivostomatitis diagnosed?

Your doctor will check your mouth for sores, the main symptom of the condition. More tests are not usually necessary. If other symptoms are also present (such as cough, fever, and muscle pain), they may want to do more tests.

In some cases, your doctor may take a culture (swab) from the sore to check for bacteria (strep throat) or viruses. Your doctor may also perform a biopsy by removing a piece of skin if they suspect other mouth sores are present.

What are the treatments for gingivostomatitis?

Gingivostomatitis sores usually disappear within two to three weeks without treatment. Your doctor may prescribe an antibiotic and clean the infected area to promote healing if bacteria or a virus is the cause of gingivostomatitis.

There are some actions you can take to relieve discomfort.

Take medications prescribed by your doctor.

Rinse your mouth with a medicated mouthwash containing hydrogen peroxide or xylocaine. These are readily available at your local drugstore. You can also make your own by mixing 1/2 teaspoon of salt in 1 cup of water.

Eat a healthy diet. Avoid very spicy, salty, or sour foods. These foods can sting or irritate the sores. Soft foods may also be more comfortable to eat.

Over-the-counter (OTC) pain relievers may also help. Continue to brush your teeth and gums, even if it hurts. If you don’t continue to practice good oral care, your symptoms could worsen. You’ll also be more likely to develop gingivostomatitis again. Gently brushing with a soft toothbrush will make brushing less painful.

How to prevent gingivostomatitis

Taking care of your teeth and gums may decrease your risk of getting gingivostomatitis. Healthy gums are pink with no sores or lesions. Good oral hygiene basics include:

brushing your teeth at least twice a day, especially after eating and before going to sleep

flossing daily

getting your teeth professionally examined and cleaned by a dentist every six months

keeping mouth pieces (dentures, retainers, musical instruments) clean to prevent bacteria growth

To avoid the HSV-1 virus that can cause gingivostomatitis, avoid kissing or touching the face of a person who is infected. Do not share makeup, razors, or silverware with them.

Frequently washing your hands is the best way to avoid the coxsackievirus. This is especially important after using public toilets or changing a baby’s diaper and before eating or preparing meals. It’s also important to educate children about the importance of proper hand washing.

What is the outlook for gingivostomatitis?

Gingivostomatitis can be mild, or it can be uncomfortable and painful. Generally, sores heal in two to three weeks. Treating the bacteria or virus with the right antibiotics or antiviral agents may help to expedite healing.

(10/27/2021)
by Healthline

More Information: N


Views: 859
Share
Share

Remedies To Prevent a Mouth Infection

Mouth infections signs that you have a mouth disease incorporate, tooth ulcer, excited gums and internal cheeks, and most ordinarily, blister. Mouth infections can be caused by nervousness, poor sustenance, and smoking, which all put weight on the resistant framework. Gum sicknesses increment the measure of microscopic organisms in the mouth, which can likewise lead to mouth infection.

Golden Seal

Golden seal has been on old fashioned most loved in Europe and the United States for treating and forestalling disease. It has astringent and antibacterial properties and slaughters a few infections, while decreasing irritation. All encompassing Online suggests including 2 tsp. of dried herb to some bubbling water. Enable it to soak for 15 minutes and strain. Flush your mouth a few times every day with the tea.

Myrrh

As indicated by Holistic Online, myrrh has been a mainstream solutions for mouth infections for quite a long time. Powdered myrrh is rich in tannins, which makes it useful for lessening aggravation. You can break up 200mg to 300mg of myrrh powder in warm water or include 4 mL of myrrh tincture to a glass of water and wash the mouth for two to 3 minutes. This ought to be completed a few times each day when you brush.

Heating Soda

Heating pop has been utilized for a considerable length of time as a cure for some ills. It is useful for mouth bruises since it diminishes irritation and eliminates microorganisms. As indicated by Health-911, you can spot heating pop straight onto the distressed region, or break up 1 tsp. into some warm water and use as a mouthwash.

Lemon Balm

As indicated by Ayurvedic Remedies, a day by day mouthwash produced using lemon emollient concentrate dispenses with oral microorganisms. Lemon analgesic highlights clean and antiviral properties, and can help counteract bruises in the mouth and kindled gums. You can add five drops of oil to your normal mouthwash, or apply it specifically to the influenced region.

Aloe Vera Mouth Wash

To utilize an aloe vera mouthwash Swish the juice in your mouth for 30 seconds. Release the arrangement. Rehash a few times each day.

Tea Tree Oil Mouth Wash

To utilize a tea tree oil mouthwash mean three drops of tea tree oil to some warm water. Rinse the arrangement in your mouth for up to 30 seconds. Release the arrangement. Rehash a few times each day.

Sage Mouth Wash

To utilize a savvy mouthwash bubble 1 to some water. Include 2 tablespoons of crisp sage or 1 teaspoon of dried sage to the water. Give it a chance to stew 5 to 10 minutes. Strain and let the water cool. Utilize the answer for wash a few times each day.

(10/23/2021)
by Medium

More Information: https://medium.com/@ergonomicedge84/remedies-to-prevent-a-mouth-disease-2fd7d0803615


Views: 756
Share
Share

Three Questions to Ask Your Dentist On Your First Visit

Regular dental visits are extremely important for maintaining healthy teeth and a perfect smile. Finding a dental practice and a dentist that’s right for you isn’t a very difficult job when you know what you are looking for and are aware of the questions you should ask your dentist. Good communication is the key to a healthy relationship. Your connection with your dentist depends on how effectively you communicate with them.

Discussing your health concerns, dental habits, fears, and apprehensions with your dentist makes a big difference. After all, this is the person who will look inside your mouth every 6 months. Hence, you must be comfortable with your dentist, especially when asking questions! Here are three questions that you must ask when going to a new dentist.

Question 1: How Can We Improve My Dental Health?

Dental health can be improved when you and your dentists work together towards the same goal. Share your routine with your new dentist and get the necessary guidelines about brushing and flossing. You can ask about what kind of toothbrush you should use and how often should you replace it. Ask your dentist to demonstrate the right way to brush and floss. Your dentist will guide you about the frequency of your dental visits. You can discuss the oral hygiene products that you are using or wish to use. Your dentist will give suggestions about your fluoride intake, night guards, and bad breath. Be sure to inform your dentist about any pain, discomfort, or anything out of the ordinary that you’re experiencing.

Question 2: How Is My Current Dental Health?

A new dentist will most probably examine your entire oral cavity, including teeth, gums, jaws, tongue, and throat. You’ll be checked for lesions, wounds, bumps, cavities, plaque, tartar, or signs of teeth grinding. They’ll assess your overall dental health and will be able to give you a proper analysis. Once this is done, they’ll discuss your treatment options and preferences. This is a good time to ask your dentist any questions about your current oral health, and any ways you can improve your oral health.

Question 3: What Ways Can I Optimize My Dental Health Through Diet and Hygiene?

Your diet and oral hygiene impact your oral health in many ways. Ask your Dentist about ways you can adjust your daily routine to support any dental treatments or needs you may have. What foods may impact your teeth for better or worse? What daily habits will support your goals? Your Dentist may be able to advise specific changes that will help to support what they are doing to treat or maintain your oral health.

(10/23/2021)
by Peppermint Dental & Orthodontics

More Information: https://mypeppermintdental.com/3-questions-to-ask-your-dentist-on-your-first-visit/


Views: 682
Share
Share

Chlorophyll: The Cure for Bad Breath?

Chlorophyll is the chemoprotein that gives plants their green color. Humans get it from leafy green vegetables, such as broccoli, lettuce, cabbage, and spinach. There are claims that chlorophyll gets rid of acne, helps liver function, and even prevents cancer.

What does the research say?

Another claim is that the chlorophyll in a shot of wheatgrass can stave off bad breath and body odor.

Is there any scientific evidence to back this up? Are you really getting what you’re paying for when you buy a chlorophyll supplement or a shot of wheatgrass at the health food store?

“There was a study conducted back in the 1950s by Dr. F. Howard Westcott, which showed that chlorophyll can help combat bad breath and body odor, but the results of that research have basically been debunked,” says Dr. David Dragoo, a Colorado physician.

There hasn’t been any research since to support that chlorophyll has any effect on body odor, though some people continue to use it.

“The National Council Against Health Fraud says that since chlorophyll cannot be absorbed by the human body, it can therefore have no beneficial effects on folks with halitosis or body odor,” Dragoo explains.

Does it help with other ailments?

Other widely circulating claims are that chlorophyll can ease symptoms related to arthritis, cystic fibrosis, and herpes. But again, Dragoo doesn’t buy it. “As far as factually verifiable research, there is no truth to the fact that chlorophyll can be effectively used to treat those illnesses,” he says.

Vegetables rich in chlorophyll, such as leafy greens, have plenty of health benefits on their own. Elizabeth Somer, MA, RD, and the author of “Eat Your Way to Sexy,” says that the lutein found in leafy greens, for example, is great for the eyes.

Even without scientific evidence, Somer says it’s fine for people to think chlorophyll is good if it causes them to eat more vegetables.

Somer also affirms that no scientific evidence exists to support chlorophyll’s deodorizing properties. The suggestion that it reduces breath, body, and wound odor is unsupported. It’s obviously still a widely held belief, she notes, given the post-meal parsley that restaurants use to garnish plates.

While chlorophyllin has been used since the 1940s to neutralize certain odors, studies are outdated and show mixed results.

The most recent studyTrusted Source of people with trimethylaminuria, a condition that causes a fishy odor, found that chlorophyllin significantly decreased the amount of trimethylamines.

As for claims about chlorophyllin reducing bad breath, there’s little evidence to support it.

(10/28/2021)
by Healthline

More Information: N


Views: 961
Share
Share

What To Do if You Have a Cracked Molar

When it comes to eating, your molars do a lot of work. So it’s no surprise that if one of them gets a crack, it’s a big deal. You need them. Here’s a look at cracked tooth symptoms and cracked tooth treatment if you’ve cracked one of your molars.

How Does it Happen

Cracks are a common occurrence for your molars because they are in the back and side of your mouth and absorb most of the force when you chew. Eating hard types of foods (like hard candy) and chewing on ice can lead to a cracked tooth that needs repair. Grinding your teeth can too. You may not know the exact moment when it happens. It isn’t always painful when it does. If you experience pain or sensitivity while chewing or eating or drinking hot or cold foods, you may have a crack. Please make an appointment with your dental professional to have it checked out.

Waiting For Your Appointment

Here’s what you should do until your dentist can see you.

If you’re in pain, make a note of where your pain is coming from

Avoid chewing on that side to keep the crack from worsening

Keep hot and cold liquids away from that area

Minor Cracks in The Tooth

Good news. If your dentist discovers your crack is a minor one that only affects your tooth's hardened outer layer, he or she may decide you don’t need anything done. These are referred to as craze lines, which are hairline fractures.

They’re superficial, and your dental professional may able to polish them away.

Treatment for Cracked Molar

There are times when you may not even know you have a cracked molar. Your dental professional may discover it at a routine appointment. Another reason why keeping up with routine check-ups is vital.

If the crack has gone beyond the enamel, treatment will be needed to prevent problems such as an infection or a deeper fracture. Treatment will be based on the severity of the crack. Your dentist may recommend a crown, root canal, or tooth extraction. If your dentist thinks a crown is best, a filling material can repair the crack. If the inside of your tooth is damaged, your dentist may suggest a root canal to remove the damaged tissue. The root canal will be recommended if there’s an infection. Tooth extraction is the last case scenario if the tooth is too far gone and can’t be saved.

Molars are an important part of your dental structure. If you think you've cracked one of your molars, it’s wise to have a dental professional look at it. If it’s painful or sensitive to hot and or cold, the sooner you see your dentist, the better. A hairline fracture is a best-case scenario. Early treatment is optimal because it can mean the difference between a crown, a root canal, or an extraction. Practice good oral hygiene and keep up with your routine cleanings and check-ups to keep your teeth (including those hard-working molars) healthy.

(10/26/2021)

More Information: https://www.colgate.com/en-us/oral-health/cracked-tooth-syndrome/what-to-do-if-you-have-a-cracked-molar


Views: 779
Share
Share

Is it ever too late to save a tooth?

Sometimes, letting go is the best option. If a tooth is causing you significant pain, or may cause you pain down the road, your dentist may recommend extracting, or removing, a tooth. While far from ideal, extracting a tooth may be the most prudent decision for your overall oral health. There are, however, basic oral hygiene steps you can take to cut down on culprits such as gum disease or infection and potentially save your teeth.

Reasons a tooth might be extractedA tooth may need to be removed for a variety of reasons, ranging from illness, to accident, to more standard procedures like wisdom teeth removal. Some of the most common issues that may lead to tooth extraction include:

A broken tooth: Leaving a chipped or broken tooth untreated can lead to all sorts of problems, including intense pain when exposed to hot or cold food. While other treatments, such as veneers, a dental implant or a root canal, can usually be used to save the tooth, in some cases, extraction is the best option.

Deep tooth infection: A tooth can become infected if its inner dentin is exposed. If left unchecked, dental infection can spread into the face and neck, and may even be fatal in extreme cases.

Gum disease: Gum disease is caused by the buildup of plaque between teeth and near the gum. If left untreated, mild gum disease can become periodontitis, which can weaken the gum and destroy bone.

Crowded teeth: This means there isn't enough room in your mouth for all of your teeth to grow in. If left untreated, teeth crowding may result in serious jaw pain and an increased risk for gum disease. In many cases, especially for younger patients, teeth crowding can be corrected through an orthodontic intervention, such as braces or a retainer, rather than tooth extraction.

Wisdom teeth growth: Wisdom teeth are typically the very last adult teeth to erupt, often in a person's teenage years or early 20s. These teeth may grow in at an angle that either impacts other teeth near them or damage the cheek and gum. Both could result in severe mouth pain.

In most cases, the extraction procedure itself is relatively quick. A dentist will typically apply localised anesthesia before loosening and then removing the problem tooth.

Recovering from tooth extractionFollowing a tooth extraction procedure, your dentists will probably ask you to take certain precautions to ensure your socket stays clean and to mitigate pain. These will typically include sticking with soft foods in the days or weeks following extraction and trying your best to chew on the unaffected side of your mouth. In some cases, your dentists might give you a prescription to pain relief medication to reduce inflammation, or recommend an over-the-counter treatment, as needed.

If you experience ongoing severe pain, bleeding or a fever in the first one or two weeks following the extraction of a tooth, contact your dentist for a follow up appointment.

How to save your teethYou can prevent tooth extraction that results from gum disease or tooth infection by looking for the warning signs of these illnesses and staying on top of your daily oral hygiene. That includes brushing twice a day and flossing. Teeth crowding, meanwhile, can be eased through orthodontia such as brace, Invisalign or a retainer. Be sure to follow all instruction from your dentist and orthodontists to properly clean and use your recommended orthodontia and you be able to mitigate the need for any of your teeth to removed.

In some cases, tooth extraction simply can't be prevented, no matter your oral health practises. There isn't really anything you can do to prevent wisdom teeth from coming in, for example. Wisdom teeth removal is an extremely standard procedure, and it's common for anywhere from just one to all four wisdom teeth to be extracted. Whatever your reason for needing a tooth to be extracted, it's important that you understand that your dentist has your overall oral health at heart.

Tooth extraction can be anything from a routine procedure to a serious intervention. Whatever your needs, the team at City Dentists is here to help! City Dentists takes the convenience of its patients to heart, with its central location by the Wellington train station, professional staff and modern offices. Our experienced dentists and dental hygienists can determine if a tooth needs to be removed, or if not, what steps you can take to save it.

(10/22/2021)
by City Dentists

More Information: https://www.citydentists.co.nz/dental-blog/dental-treatment/is-it-ever-too-late-to-save-a-tooth/


Views: 751
Share
Share

Straight Teeth Don’t Mean You Don’t Need an Orthodontist

There are several reasons why having straight teeth doesn’t mean you don’t need orthodontics. Here are a few examples:

Narrow Palate or Upper Jaw

A narrow palate or upper jaw often causes teeth to become crowded, which is usually visible because the teeth come in crooked trying to fit into the space available. However, this condition can also cause another issue that can’t be seen unless you look inside the patient’s mouth.

For some people with narrow palates, their teeth are straight, but their upper teeth fit inside of their lower teeth in the back of their mouths, which means their teeth aren’t properly aligned. This misalignment can cause teeth to wear unevenly or eventually cause pain when chewing.

Midline Shift

A midline shift occurs when the teeth are straight, but they are off-center. This can be the result of a couple issues. If there is a crossbite in the back of the mouth, it can cause all of the teeth to be shifted more to one side. A midline shift can also be caused if you have lost a tooth on one side, but not the other. This allows the teeth to shift unevenly into that space and therefore shifting the midline.

Overbite or Underbite

Along with crossbites, we discussed these conditions and the problems that they can cause in a previous post. Individuals with an overbite or underbite can have perfectly straight teeth, because the bite is not aligned properly, it can lead to jaw pain and uneven wearing of the teeth if not corrected.

Open Bite

We recently shared a post about the problems that can be caused by thumb sucking or using a pacifier after a certain age. One of the issues is called an open bite. While the teeth look straight when the jaws are closed, there is a gap between the top and bottom teeth. An open bite can also be the result of a tongue thrusting habit which can be addressed with orthodontic treatment. An open bite is normal as baby teeth fall out and adult teeth are coming in, but not all open bites correct themselves.

Having an open bite once the adult teeth are in can cause back teeth to wear unevenly and may cause painful chewing or a speech impediment. Extreme cases of open bite even allow food or liquid to escape between the teeth if the tongue isn’t properly placed to block the gap. Having an orthodontist examine your child’s teeth as their adult teeth are erupting – around age 7 – will enable you to find out if they may have an open bite that requires orthodontic treatment.

All of these issues should be treated to ensure optimal dental health. 

(10/25/2021)
by Charleston Orthodontic Specialists

More Information: https://www.charlestonorthodonticspecialists.com/straight-teeth-dont-mean-you-dont-need-an-orthodontist/


Views: 754
Share
Share

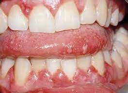
Long term risks of untreated gum diseases

Oral health can affect many aspects of your life, from eating, smiling, and laughing to your confidence and self-image. When people think about maintaining their oral health, they often pay more attention to their teeth than to their gums. No matter what age you are, gum disease can strike and create significant issues that impact your oral health for years to come.

Gum disease is an infection of the tissues that support the teeth. It’s mainly caused by bacteria from plaque build-up. In some people who are susceptible to gum disease, the body over-reacts to the bacteria around the gums and causes too much inflammation. In others, the inflammation doesn’t clear up properly. The result of the intense gum inflammation is that it also affects the bloodstream, and is believed to slowly damage blood vessels in the heart and brain over a long period of time.

Unfortunately, gum disease is a very serious problem that leads to severe consequences. If left untreated, gum disease – also known as periodontal disease – can result in substantial health issues and make individuals more susceptible to a range of conditions, including cancer of the kidney, pancreas and blood. In the beginning stages of gum disease, plaque hardens and turns into tartar. Once tartar is built up on your teeth, professional attention is required to remove it. During this phase of gum disease, called gingivitis, patients will experience gums that bleed when they brush and floss. Other early signs of gum disease include bright red, inflamed, or swollen gums. While there are no irreversible, long term effects at this point, it is essential to seek help immediately. Gum disease can quickly turn from mild to severe as tartar, full of dangerous bacteria and deposits, starts to spread down below the gum line.

Left untreated, gingivitis can turn to periodontitis. As tartar advances, the gums pull away from the teeth, forming periodontal pockets which harbour even more bacteria. These pockets allow the infection to live on in an area that you can’t reach with brushing or flossing. As your body tries to fight the infection, its antibodies also attack many of your healthy cells, so the condition of your gums and the underlying bone will rapidly deteriorate. The effects of periodontitis include receding gums, bone damage, and tooth loss. In fact, periodontitis is the leading cause of tooth loss in adults.

The long-term effects of periodontal disease don’t stop with dental health. As bacteria continue to grow, it can leach into your bloodstream and travel throughout your body causing problems. In fact, research has shown that the same oral bacteria that cause tooth decay have been found in the plaques that line your arteries, contributing to heart disease. Your body reacts to these bacteria by sparking an inflammatory response. For this reason, periodontal disease can aggravate other inflammation-causing illnesses, such as rhuematoid arthritis, respiratory disease, kidney cancer, and even blood cancers like leukemia.

Periodontal disease has also been found to increase blood sugar, which is why it is so troublesome in people who have diabetes. In fact, people with diabetes are more likely to develop periodontal disease, and the mere presence of periodontal disease can signal the development of diabetes later in life–even if patients haven’t shown symptoms of diabetes yet.

Since periodontal disease causes health problems throughout your body, it decreases your overall immune response, which can put you at a higher risk for other infections. There is also a correlation between serious gum disease and overall physical health problems. Although the mechanism behind the correlation is still unknown, it can result in substantial health issues and make individuals more susceptible to a range of conditions, including cancer of the kidney, pancreas and blood.

(10/22/2021)
by Surya Dental Care

More Information: http://www.suryadentalcare.com/long-term-risks-of-untreated-gum-diseases/


Views: 606
Share
Share

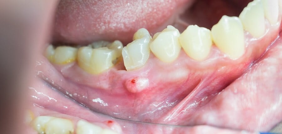
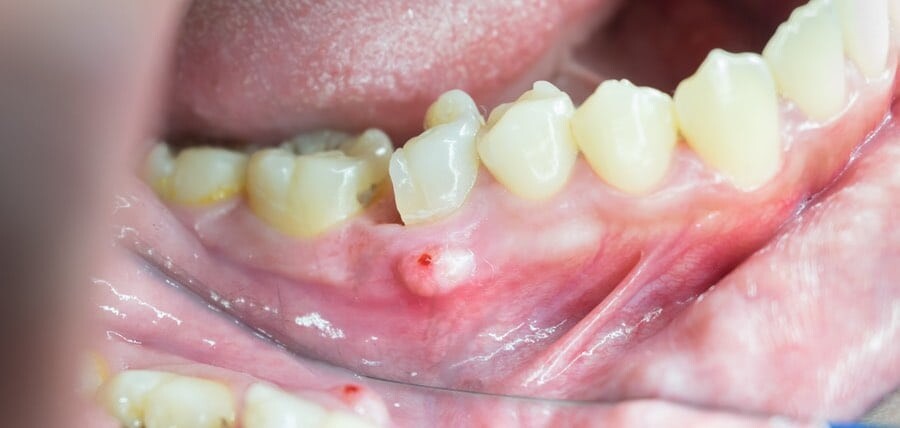
Parulis Fistula: Dental Abscess Treatment and Symptoms

Parulis Fistula

Fistulas can occur in many different areas of the human body where bone or tissue are present. When faced with an area of chronic infection, the body’s natural response is to create a fistula. Persistent inflammation occurring on your gums can lead to the creation of puss which in turn can cause a puss corridor. Sometimes, the passage becomes lined with specialized cells produced by the body to fight infection which in turn lead to the formation of granulated tissue around the puss. When this corridor reaches the surface, it’s known as Parulis Fistula. The condition is sometimes called a fistula on the gum or a gum boil.

Dental Fistula Symptoms

A fistula on the gum may or may not be painful. It usually looks like a reddened or yellowish, inflamed pimple or ulcer on your gum tissue. It may bleed easily, and if you press on it, pus may come out.

A Serious Matter

A fistula on the gum is a serious condition that can lead to dental complications or even tooth loss. If left untreated, the infection could potentially spread and possibly destroy bones in the jaw and face. In rare cases, the infection can seep into the bloodstream and cause you to become septic.

Dental Abscess Treatment at Home

There are ways to treat a fistula on the gums. Rinsing your mouth with a solution of warm water and salt up to three times a day can be helpful. Salt is a natural anti-bacterial agent which may help to reduce the infection while the warm water will aid in increasing blood circulation. These are two important factors in healing the fistula. You can also try dampening a tea bag and holding it on the gum fistula. This treatment may help to relieve swelling and encourage the puss to drain, however, it is always recommended to visit your dentist.

Seek Help

If you have a gum fistula, it is necessary to seek the help from your dentist. They will be able to provide endodontic therapy also known as endodontic treatment or root canal therapy if needed.  They can also prescribe antibiotics to ensure the fistula does not worsen or cause lasting damage. In some cases, you may need surgical intervention and removal of the tooth to repair damage posed by the fistula. Some dentists may also want to drain the infection to help speed up the healing process.

A fistula on the gum is a serious issue and can have lasting effects and harrowing complications. If you suspect that you have a parulis fistula, gum boil, an appointment should be made to see a dentist as soon as possible, even if you are not experiencing pain. Rinsing your mouth with a solution of salt and warm water or applying a dampened tea bag may provide some relief while you are waiting to be seen by your dentist.

(10/24/2021)
by Maiden Lane Dental

More Information: https://maidenlanedental.com/parulis-fistula-dental-abscess-treatment-and-symptoms/


Views: 1,174
Share
Share

Narrow palate: what problems and how to solve them

The narrow palate is a fairly common dental condition mainly in children, but it is not always easy to identify. If diagnosed, it can be treated and avoid repercussions on the body’s health.

What is meant by a narrow palate?

In the development of human anatomy, the width of the palate develops thanks to the action of the tongue. When the palate does not develops the right width, the main reason is an incorrect pressure of the tongue and the excessive contrast of the facial muscles. The narrow palate is therefore due, especially in children, to:

incorrect positioning of the language;

hypertonus of facial muscles (thumb sucking, mouth breathing, wrong swallowing).

The symptoms of a narrow palate can be:

malocclusions (misalignment of the dental arches, deep bite, …);

dental overcrowding;

vault of the deep palate.

The symptoms of a narrow palate may not always be ascertained with a self-diagnosis. To identify with certainty the presence of a wrong development of the palate it is advisable to contact a competent dentist who can carry out a diagnosis also making use of technological instruments.

What does it mean to have a tight palate?

In the presence of a narrow palate there is a condition of lack of space for the teeth, so it is very likely that there may be dental overcrowding.

Another consequence is the lack of alignment between the two dental arches. The lower arch, not finding the right correspondence with the upper arch, leads the jaw to deviate in order to act correctly during the phases of chewing and swallowing, but this results in a visible asymmetry.

A narrow palate also involves breathing difficulties. The jaw bone is in fact at the base of the nasal cavities, so if it is tight, the passage of air will be lower and the patient will be forced to breathe with his mouth. So at the base of some breathing problems, especially in children, there may be a problem with a narrow palate and it will therefore be useful to consult, in addition to an otolaryngologist, also a dentist.

Added to this are problems with phonation and swallowing.

The main causes of the narrow palate

Incorrect palate development may be due to hereditary or environmental factors. The main causes are therefore the following:

genetic factors;

incorrect habits (prolonged sucking of the thumb or pacifier, position of the wrong tongue);

trauma to the face.

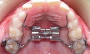
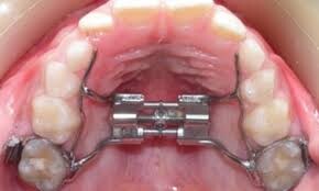
How to work on the narrow palate?

Orthodontic treatment is required to correct the palate. The dentist will insert a fixed palatal expander, anchoring it to at least four teeth. The action of the force exerted by the expander moves the palate outwards gradually enlarging it.

The orthodontic appliance does not compromise the aesthetics of the patient because it is not visible on the outside. The success of an orthodontic treatment with a palatal expander depends very much on the age of the patient.

In pediatric age it is much easier to get effective results in a short time, a condition that is not always possible in adulthood, when the conformation of the palate is now structured.

(10/25/2021)
by Sanident

More Information: https://www.sanident.com/en/narrow-palate-what-problems-and-how-to-solve-them/


Views: 920
Share