Dentists Journal

Top Ten Stories of the Week
12/11/2021

All Dentists Journal · Previous Week · This Week · All Time List · Headlines

Share

The way you sleep can affect your oral health

A Good Night’s Sleep For Good Teeth And Gums

Sleep apnea is a medical condition that affects about 22 million Americans. Over-relaxation of the muscles in the airway and throat are the primary cause of this condition. The relaxed muscle tissue partially blocks the airway, causing oxygen intake during sleep. The body responds to the lack of air by waking and sometimes, gasping for air. Often, the sleeper doesn’t realize that he or she has awakened. The cycle of sleeping and waking can happen hundreds of times each night.

The result is poor quality sleep and daytime drowsiness, but these aren’t the only effects on the body. Sleep apnea sufferers can also experience higher incidences of coronary artery disease, stroke, high blood pressure, diabetes and heart disease. Because their bodies struggle to breathe at night, sleep apnea sufferers can also experience symptoms that affect their oral health. These symptoms include dry mouth, bruxism, periodontal disease and even tooth loss.

Doctors categorize sleep apnea as mild, moderate or severe. Surprisingly, 80% of patients who have moderate to severe sleep apnea are never diagnosed! While snoring is a telltale sign of sleep apnea, it isn’t conclusive proof of the condition. Other conditions can cause a sleeper to snore. At the same time, many sleep apnea patients don’t snore at all!

Because many sleep apnea sufferers aren’t diagnosed, it’s important for dentists to evaluate each patient’s overall oral health. Since untreated sleep apnea can impact oral health, identifying the causes of dental symptoms is essential. For example, patients who often wake up with a dry, sore throat and headaches, or who experience chronic insomnia may actually be suffering from undiagnosed sleep apnea.

Sleep apnea affects both men and women, but women are eight times less likely to be diagnosed with the condition.

How does sleep apnea affect your oral health

Dry mouth. A dry mouth is a common consequence of sleep apnea. During sleep, the body’s production of saliva naturally drops. Saliva is an important natural defense against tooth decay. Regular saliva production washes away food particles and neutralizes acids that form in the mouth. It also keeps the specialized tissues in your mouth moist and healthy. One of your body’s natural reactions to a decrease in airflow is mouth-breathing. Your mouth is much larger than your nose, and admits a lot more air. Unfortunately, breathing through your mouth causes the tissues inside to dry out and shrink. This increases bacterial exposure above and below the gum line, since your saliva can’t wash away food and bacterial acids. Not only is this uncomfortable, but it also sets the stage for periodontal disease. Short term impacts also include dental infections and bad breath.

Bruxism (teeth grinding). Some people grind their teeth when they sleep. When you grind your teeth, you can cause them to wear prematurely, and you can damage the enamel. Since your body can’t heal damaged teeth, it’s best to avoid damaging them! Some researchers think that teeth grinding, like mouth-breathing, is a reflexive response to reduced air flow. When you grind your teeth, you bring your lower jaw forward. This action automatically changes the size and shape of the airway and admits more air. Long-term grinding can damage the chewing surfaces of molars and can also damage your incisors. Over time, your teeth may become thin and brittle. They can also become sensitive from enamel wear. Conventional treatment for teeth grinding involves preventing the upper and lower jaw from contacting each other during sleep. A specially formed mouth guard or bite splint can do the trick, but it doesn’t treat the underlying cause – sleep apnea.

What are the other impacts of sleep apnea?

Periodontal disease. Periodontal disease is a long-term consequence of poor oral health. Sleep apnea can play a major role in establishing periodontal disease. Over time, the reduced saliva production, chronically dry mouth tissues, teeth grinding and bacterial exposure take their toll on your teeth, gums and tooth roots. Your teeth can loosen, especially if bacteria sets up shop below the gum line. In this scenario, you can also experience bone loss, which destabilizes your teeth. As your teeth deteriorate and loosen, tooth loss becomes a very real possibility. Tooth loss can lead to other serious, chronic health problems in both younger and older adults.

Regular visits to the dentist can help identify oral health concerns that may be related to sleep apnea. Early intervention, as well as diagnosis and treatment of sleep apnea, can reduce the possibility of serious health consequences. It can also help protect your teeth and gums, and improve your oral health.

(12/03/2021)
by ViewPoint Dentistry

More Information: https://viewpointdentistry.com/the-way-you-sleep-can-affect-your-oral-health/


Views: 683
Share
Share

Why is my tongue tingling?

Tingling of the tongue refers to a numb or burning sensation on the tongue. Though it starts on the tongue, it can potentially spread to the lips, gums, throat and eventually the entire mouth. This condition is as a result of the loss of sensation either from damage to the nervous system or pressure.

The lingual nerve supplies blood to the tongue. Damage to this nerve causes the numbness or tingling sensation in the tongue otherwise known as Paresthesia of the tongue.

Signs and symptoms

Symptoms of Paresthesia of the tongue will include a feeling of:Burning sensation in the tongue and mouthWeaknessColdNumbnessTinglingChange in color of the tongue to blue, red or pale especially if the primary cause is Raynaud’s disorder.

Causes of tingling tongue

Damage to the lingual nerve 

This can happen during dental procedures such as extraction of the wisdom tooth, root canal or implants.

Stroke 

Stroke is caused by the sudden stop of blood flow to the mind. This can be momentarily or permanent. Stroke therefore results in numbness or tingling feeling in the tongue. Coupled with other stroke symptoms, it can be an indicator of an impending severe stroke.

Allergies 

Oral allergy syndrome caused by certain fruits may result in tingling of the tongue, mouth and throat. The tingling should be shorter and soon disappear after taking antihistamines or drugs.

Canker Sores 

These are small ulcers which appear in the mouth resulting in pain or numbness of the affected area. The numbness disappears as the sore heals.

Hypoglycemia 

Low blood sugar levels can cause your tongue to tingle. People with diabetes should be extra cautious of their blood sugar levels even though Hypoglycemia can affect anyone. In such a case, taking a piece of candy or drink with high sugar levels should provide instant relief.

Burns 

Burns inflicted on the tongue can be the cause of tingling or burning sensation as they heal. Taking cold water after the burn speeds up the healing process reducing the overall effects of the burn.

Reaction to medicine 

Some oral drugs have Paresthesia listed as a side effect. A good example is Acetazolamide (Diamox). Once the dosage of the administered drug is finished, the tingling should subside and soon cease.

Raynaud’s disorder 

It affects the flow of blood to your tongue, toes, fingers and lips. This will result in a tingling feeling on your tongue. Treating the disorder also treats the tingling sensation on your tongue as it subsides over time.

Treatment for tingling tongue

Paresthesia of the tongue is treated by treating the primary causes of the condition. Since there are several causes, a proper diagnosis from a doctor will rule out other illness and point put the primary cause of the tingling. These include:

Managing stress and anxiety levels 

Paresthesia of the tongue can be caused as a response to high levels of stress and anxiety. When under immense stress, the body responds by being hypersensitive. If you are struggling with stress and anxiety, seeking counseling and therapy will help stabilize your body’s reaction to regain its normal performance.

Deep breathes 

If the tingling in your tongue is caused by Hyperventilation, deep and relaxed breathes help eliminate the hyperventilation causing the tingling to subside and cease completely.

Lifestyle changes 

Lifestyle habits play a role in your overall health. For instance, excessive smoking may cause dental problems necessitating the need for dental procedures. In the process, your lingual nerves may be damaged causing Paresthesia of the tongue. Therefore, it is important to be on the lookout for any lifestyle habits that affect your health I one way or another.

Conclusion

Paresthesia of the tongue is not a common disease yet a good number of people are affected by it. Little is known about its causes and treatment but it is mostly as a result of damage to the lingual nerve. Understanding the basics of this disease helps in taking the necessary preventive measures and treatment options. If you suspect that you are suffering from Paresthesia of the tongue, visit your doctor for proper diagnosis.

(12/03/2021)
by Jauhal Dental

More Information: N


Views: 711
Share
Share

Mouth Health And Salivary Gland Diseases: What You Need To Know

When it comes to organs of the body, the salivary glands don’t get a great deal of press. But saliva plays an important role in mouth health. Salivary gland diseases and disorders, while generally uncommon, can lead to serious health issues. We asked DR SK NG to enlighten us on the topic.

The role of saliva

Did you know that we produce between 0.5 and 1.5 litres of saliva every day? You probably don’t think much about it, but it plays an important role in our general health. Saliva is produced by the salivary gland and it flows along the salivary duct to reach our mouth – and that’s where it works its magic.

Dr Ng says that saliva is important in several ways; these include:

#1 Easy eating.

It moistens and lubricates food to allow smooth swallowing. In fact, saliva also contains an enzyme that is involved in the digestive process.

#2 Oral hygiene.

In addition, it has a mild antiseptic function that is very important in maintaining oral hygiene. That explains why those patients with impaired salivary function, for example, after radiotherapy for head and neck cancer, suffer from dental problems.

#3 Comfort and speech.

Equally important, saliva keeps the mouth continuously moist which is imperative for comfort and speech.

The anatomy of the glands

Our saliva is mainly produced by three major pairs of salivary glands, says Dr Ng. One pair is located behind the jaw (the parotid glands), one pair is under the jaw (the submandibular glands) and one pair is under the tongue inside the mouth (the sublingual glands). There are also hundreds of tiny salivary glands located within the mucous membrane of the mouth, nose and throat.

The related health issues

What happens with things go wrong? According to Dr Ng, the main forms of salivary gland diseases include functional disturbance, tumours and obstructive ductal diseases.

• Salivary hypofunction gives rise to dry mouth and dental problems. It’s usually a result of systemic problems that affect all salivary glands. Examples are dehydration, adverse effects of drugs, and radiotherapy treatment for head and neck cancer. It can also be caused by an uncommon disease called Sjogren syndrome.

• Tumors are another form of salivary gland disease. While most of these are benign, they can be cancerous; fortunately, they’re not common.

• Obstructive ductal problems are mainly caused by salivary ductal stones and narrowing. At times, the salivary flow at the duct can get blocked, causing backflow of saliva to the glands. Those afflicted by this disease will complain of recurrent painful salivary gland swelling, typically related to meals when saliva production is stimulated. The swelling usually resolves in a matter of hours. We’re not entirely sure what causes the formation of stones, but they appear to be associated with dehydration and other factors, including drugs that reduce salivary flow.

The tools of the trade

With the advancement of technology, we’re better equipped to deal with a variety of diseases than ever before – and that goes for the mouth, too, says Dr Ng. Nowadays, many patients can be treated in a minimally invasive manner through sialendoscopy, thus avoiding open surgery. Sialendoscopy entails passing a very thin endoscope (with a diameter of just 1-1.6mm) into the salivary ducts via their tiny openings in the mouth. Once it’s within the duct, various miniature instruments can be passed along the working channel of the endoscope to treat the disease in the duct. On other occasions, sialendoscopy is used to assist more targeted open surgery.

(12/04/2021)
by Expat Living Singapore

More Information: https://expatliving.hk/salivary-gland-diseases-mouth-health-talem-medical-centre-hong-kong/


Views: 678
Share
Share

Four Reasons to Get Braces as an Adult

As an adult, you may feel like you’ve missed the window of opportunity to get braces. Maybe you’ve gotten used to smiling with tight lips in photographs because you’re embarrassed about your teeth. But you’re wrong if you think you’re stuck with the smile you have now for the rest of your life. More and more people are choosing to start orthodontic treatment in their adult years. Here are four reasons adults should get braces.

Braces Can Improve Self-Confidence

As an adult, you are likely meeting a lot of new people in your career and in your personal life. Nothing helps boost confidence more than a perfect smile. When you opt to get braces as an adult, you are starting yourself on a journey towards a beautiful smile, which can, in turn, help you with your social interactions. You might have more confidence during a job interview or on a date.

Braces Can Improve Alignment and Pain

It can feel easy to get used to having to deal with an issue in our mouth, perhaps by overcompensating with a certain way of chewing or smiling. But many of these problems can be solved by orthodontic treatment. By addressing issues with your bite or the alignment of your teeth, you have the chance to eat comfortably and alleviate chronic pain in the future.

More Treatment Options Than in the Past

There are now more treatment options available than when you were a child, including Invisalign, ceramic (clear) braces, champagne braces and gold braces. Many of these treatments were created with adults in mind.

Invisalign treatment and ceramic (clear) braces blend into the teeth to allow for a low-profile look, while champagne and gold braces add a bit of flair to your mouth. Whether you want to complement your style or choose a product that simply blends in, you’ve got different options for your treatment plan.

Caring For Braces Is Easier as an Adult

Now that you’re an adult, you realize the importance of maintaining your braces and taking proper care of your teeth. You’re more likely to avoid foods that can damage your braces, and you’re also more willing to take care of your teeth by participating in proper oral hygiene practices, including proper brushing and flossing techniques. You can also ensure you don’t skip your orthodontic appointments so you stay on track for success.

Achieve a Perfect Smile at Any Age

The next time you’re thinking braces aren’t for adults…think again! More and more adults are choosing to improve their self-confidence by opting for braces. You don’t have to get nervous every time someone brings out the camera at an event; it’s time to show off your spectacular smile!

(12/04/2021)
by Charleston Orthodontic Specialists

More Information: https://www.charlestonorthodonticspecialists.com/4-reasons-adults-should-get-braces/


Views: 779
Share
Share

Root Resorption: What It Is And What To Do About It

Resorption occurs any time a part of the body gets absorbed into another part of the body. When we talk about tooth resorption, we generally mean the inflammation and loss of dentin (the inner tissue of the tooth) and cementum (the outer tissue of the tooth) due to absorption. Root resorption specifically refers to when the roots of a tooth or teeth get absorbed into the gums and jaw.

Root resorption is a natural part of the body’s way of recycling old tooth and bone material, and the process of the body eating away at the roots of a tooth are a natural part of losing baby teeth. But when the body starts to absorb material from the roots of permanent teeth, that’s a problem.

Root resorption in adult teeth is usually a result of some sort of trauma to the teeth, often caused by forced shifting of the teeth. This can happen after someone suffers a blow to that tooth, such as in a high-impact sport, but it can also happen as a result of orthodontic treatment.

When we wear braces, the teeth are being pushed and pulled into alignment to produce a healthier bite. Ideally, the bone should be remodeled to accommodate the new position of the teeth, but if the shift happens too quickly, the bone might not have time to readjust, leaving the roots of the teeth to decay and be absorbed back into the rest of the body. If the roots dissolve too much, they could loosen in the gums and even fall out.

In addition to the possibility that the teeth were moved too quickly in the process of orthodontic treatment, other possible factors include the duration of the orthodontic treatment, the amount of force exerted on the teeth, and the direction in which the teeth were moved.

Other Causes

In addition to orthodontic treatment, other health factors have been linked to root resorption. Patients with allergies, asthma, or chronic alcoholism appear to be at a higher risk of suffering root resorption. Age, gender, and genetics might also play a role in whether a patient experiences root resorption.

Prevention

Since no one knows for sure what causes root resorption, it’s hard to know how to prevent it, but since we know there’s a link between orthodontic treatment and root resorption, orthodontists should keep an eye on their patients’ roots. Take regular x-rays and always be on the lookout for decay.

Dentists should also keep an eye on the roots of any patients they know are undergoing orthodontic treatment. Stay alert for any signs of decay and make sure everyone who’s supposed to be helping you take care of your teeth (your orthodontist and your dentist) are all on the lookout for warning signs.

 

And, as always, be sure to maintain a healthy dental hygiene routine, especially if you’re wearing braces. Make sure to brush twice a day and floss regularly. If you aren’t already using mouthwash, you might want to add it to your routine to help reduce the chance of infection.

(12/06/2021)
by Briana Oller, DMD

More Information: https://simplysmilesdentistry.com/2019/06/18/root-resorption-what-it-is-and-what-to-do-about-it/


Views: 641
Share
Share

Many Surprising Reasons to See an Orthodontist

Everyone knows that you need to see an orthodontist to straighten your front teeth and have a nice smile—but there are other reasons that you may benefit from a visit to the orthodontist. Here are some of them:

There are many reasons for orthodontia besides a nice smile

First, orthodontists spend as much or more time getting a proper fit of the back teeth as they do with the front teeth. Getting the posterior teeth to mesh properly is important for the longevity of the dentition.

Poorly aligned back teeth are more susceptible to adverse tooth wear. In extreme cases, repairing these worn teeth can require root canal therapy and crowns

Second, crooked teeth are more at risk for periodontal or gum disease. Conditions such as crossbites can put adverse forces on teeth that can make them become loose and cause recession of the gum tissue.

Periodontal disease becomes worse if there is traumatic occlusion. Teeth that have tipped into spaces for missing teeth also have compromised gingival health.

The orthodontist can correct the alignment of the teeth and ensure that the forces when biting are optimal.

Improving airway and jaw function

Another area that the orthodontist can help beyond a nice smile is help with a healthy airway and obstructive sleep apnea.

Many people suffer from obstructive sleep apnea. Often, the cause of the airway being closed off is due to the tongue blocking the airway.

Orthodontists can help with this condition in two ways. One is to help make sure the tongue has adequate room. People with constricted narrow arches don’t have as much room for their tongue. Orthodontic treatment to widen the arches may help accommodate the tongue.

Another way they can help is by providing oral appliances for people who are CPAP intolerant. These appliances are very similar to the appliances that we use to treat orthodontic problems. These removable appliances are worn while sleeping.

They aim to move the lower jaw forward. This is because the tongue and the associated muscles are attached to the lower jaw. Moving the jaw forward pulls the tongue forward. This opens a person’s airway so they can breathe better.

Airway issues in children

Children can also suffer from airway issues. They should not snore while sleeping.

Children who have difficulty breathing while sleeping can have a number of problems. They are often diagnosed with ADHD. They may have discipline problems in school, failure to thrive, and even bed wetting.

These children often have these issues due to enlarged tonsils and adenoids. They can also often have very narrow upper jaws.

The orthodontist can help by expanding the upper jaw. The other side of the roof of the mouth is the floor of the nose so widening the jaw not only makes more room for the tongue but also widens the floor of the nose and makes breathing easier. Jaw widening along with proper treatment by an ENT and their pediatrician can make a world of difference for these children.

TMJ dysfunction

Many orthodontists provide treatment for temporomandibular joint dysfunction (TMJ) pain and headaches. Treatment may only involve an orthotic to be worn while sleeping. But sometimes more extensive therapy is necessary including the use of ultrasound, cold laser, muscle manipulation, and relaxation techniques.

In addition, for some people with occlusal conditions that may be contributing to their temporomandibular disorder (TMD), the orthodontist can correct the bite and create a healthier condition that will make the person less reliant on orthotics.

Replacing and restoring teeth

The services of an orthodontist can be very helpful prior to extensive restorative dental work. Replacing and restoring teeth is easier and results in a better outcome when the teeth are properly aligned.

Teeth tend to drift when a tooth is removed. The teeth on each side tend to tip into the space of the missing tooth. Putting a replacement tooth in this altered space can result in a compromised result.

Orthodontic treatment can move the teeth back to where they belong so that a normally shaped tooth can be inserted.

In the case of a tooth that is broken off at the gum line, the orthodontist can extrude the tooth so that a crown can be placed and the tooth saved.

The orthodontist can also close the space for a missing tooth so that a replacement is unnecessary. This is often done in the case of missing upper lateral incisors. In appropriate cases, the upper canine teeth can be moved to the lateral’s position and reshaped to take the lateral incisor’s place.

An orthodontist is useful in the case of dental trauma. Teeth that have been displaced by a blow to the facial area can be repositioned by the orthodontist and stabilized so that they can heal and be maintained.

The bottom line

An orthodontist’s job goes far beyond just creating beautiful smiles. They are an important part of the dental team for optimal dental and general health.

(12/05/2021)
by James M. Crouse, DDS, PA

More Information: https://thedoctorweighsin.com/orthodontist/


Views: 653
Share
Share

Holiday Foods to Avoid after a Filling

One of the holiday season’s challenges is resisting foods and beverages that could be bad for teeth. This is especially true if you recently had a dental filling. Afterward, you may experience sensitivity or soreness; protect your mouth by following the dentist’s post-procedure instructions.

A dental filling removes decay and restores the function and form of a tooth. After your dentist inserts a filling, proper care is necessary to uphold its integrity. Choose holiday foods and drinks wisely to avoid potential problems and discomfort. It’s possible to protect your teeth by taking precautions while consuming festive treats:

1. Hot/Cold Foods and Beverages – After a filling, teeth can feel sensitive, especially when they come into contact with hot or cold food and drinks. After cavities are scraped and drilled by the dentist to remove decay, the change in the tooth composition can make nerve endings somewhat vulnerable for a few days.

2. Sticky Treats – Caramel and taffy can pull apart recent dental work. Depending on the material used, some fillings may take time to harden. Even crowns and other restorative procedures are vulnerable to sticky substances; take care of these areas. If you do indulge in holiday candies, chew them in areas of the mouth where you don’t have fillings or other dental work.

3. Hard Foods – Certain foods like carrots, nuts, and whole apples require extra effort to chew. Be careful when biting into hard substances; they may knock loose a filling, causing pain and sensitivity. If this should happen, visit your dentist as soon as possible.

4. Sugary and Starchy Foods – Sugars and starches are among the main causes of cavities. Even after getting a filling, avoid eating these foods, and take care to property clean teeth after every meal.

(12/06/2021)
by Ohana dental

More Information: https://www.ohanadental.ca/foods-avoid-after-filling/


Views: 656
Share
Share

Gum Swelling After Root Canal

It can be difficult to smile through gum pain and swelling. When your gums feel uncomfortable, you can receive the treatment you need from an endodontist or a dentist who specializes in root canals.

Gum swelling and pain can distract you from everyday activities. They often indicate problems in your mouth, and these issues can worsen if left untreated. Make an appointment with Dr. Lipner today if you are suffering from gum swelling.

What Causes Gum Swelling and Pain After a Root Canal?

Many factors can cause swollen, painful gums. Food or dental floss stuck between your teeth can lead to swelling. Neglecting to floss could also create gum pain. Pregnancy or an abscessed tooth can also lead to swollen gums.

Gingivitis (gum disease) can arise from poor brushing and flossing habits. This condition can turn into periodontitis, which is more serious and can lead to lost teeth.

Your gums may also swell due to certain medications. Inform Dr. Lipner about any medicines you take.

Treatment for Gum Swelling

Treatment depends on the severity of your swelling and pain as well as the cause. You may need X-rays so your dentist can locate the source of the pain, such as an abscess or inflamed nerve. If you have an infection, you may require antibiotics. Scaling and root planing can address gingivitis and clean your mouth.

In some cases, you may need a root canal to address the underlying issues in your gums. In this case, you should choose an endodontist with experience dealing with painful gums.

Do I Need a Root Canal for Gum Swelling?

If you have developed serious tooth decay or an infection in your tooth, which has lead to swollen gums, you may need a root canal.

Infections can spread to the pulp of your teeth due to poor dental hygiene and other factors. The infection may travel from the root of your tooth into the periodontal ligament. It may then enter the gums, causing painful swelling.

A root canal can alleviate this pain. Using the latest technology can help determine if you need a root canal. During the evaluation and treatment process, Dr. Lipner may:

Use a diagnostic pulp tester to determine whether your pulp is infected or if something else may be causing your symptoms.

Employ a high-powered dental microscope, which assists with maintaining the structure of the tooth by allowing Dr. Lipner to create smaller access points in your mouth.

Finish with a higher-end rotary system, which shapes and cleans the root canal for treatment.

Once you have undergone a root canal, we recommend practicing good oral hygiene habits to keep your gums healthy and decrease the chance that the swelling will return.

How Much Pain Is Normal After a Root Canal?

Dr. Lipner uses the most advanced techniques for root canals. The modern approach and the use of local anesthetics mean root canals are less painful than many people think. Often, these procedures cause soreness similar to that from a filling. Still, the level of pain can vary depending on the patient.

It is normal to experience some pain after a root canal and some gum swelling. The area may feel sore and tender to the touch for a few days. You can address some of the pain and swelling by taking any pain medication your dentist or endodontist has prescribed to you as directed. If you experience significant pain that goes unaffected by your prescription, or if your soreness lasts longer than a few days.

Swollen gum after a root canal usually goes away on its own within 72 hours. However, the exact time it will take you to recover will depend on many factors, including your overall health.

Be alert for new swelling or swelling that persists. If you have swollen gums that linger after your root canal, contact your endodontist.

Endodontists perform root canals to remove infections. These procedures save the tooth by taking the pulp out of the damaged or infected tooth after an injury, decay or other causes. Root canals cure infections for most patients.

Reinfection can happen in rare cases. You may notice pain, a hot feeling in your mouth, bad breath, swelling and other symptoms. If reinfection occurs, seek help from your endodontist immediately to receive the antibiotics you need to treat it. An untreated root canal infection can spread to surrounding teeth, gums and other tissue in the area. Though the risk of reinfection is slight, these cases can become serious quickly.

If you notice anything amiss after your root canal, contact to your dentist at once.

(12/07/2021)
by Midtown Endodontist NYC

More Information: N


Views: 598
Share
Share

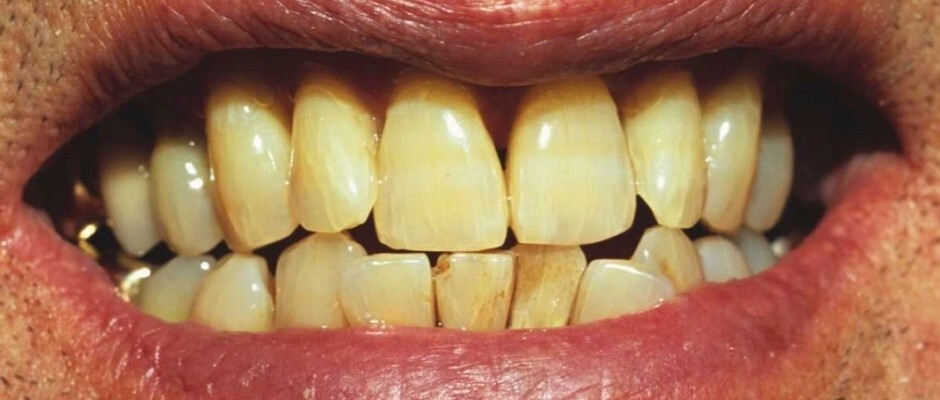
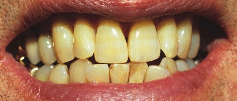
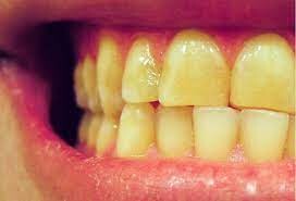
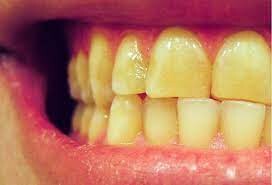
Can Yellow Teeth Be Caused By A Medical Issue?

One of the biggest trends I’ve been seeing online lately is self-care. This means an uptick in skincare, physical therapy and comfort practices like acupuncture and massage, and our favorite for obvious reasons: teeth whitening. We’ve been seeing a ton of UV lights and charcoal pastes being promoted on social media by celebrities and influencers and we think this is great. Taking time to take care of yourself, your teeth included, is a great way to build self-confidence and look your best.

If you’re not the type of person who takes a lot of time in your appearance, or even thinks of this as shallow, you might be wondering if yellowing teeth is a sign of any health concerns, or if it’s simply an aesthetic issue. This depends on the source of the yellowing. Yellowing can be linked to a few different sources, and for the most part, they’re harmless. Here are some reasons your teeth might be yellowing over time.

Aging

One of the downsides to getting older is that your teeth naturally begin to turn more yellow. As part of the aging process, enamel on our teeth naturally wears thin. Dentin, which is the inner layer of your teeth, has a naturally darker appearance and starts showing through your enamel, or the thin, top layer of your teeth. There are ways you can slow enamel thinning, such as avoiding overly sugary or acidic foods and keeping acid reflux under control. However,  it’s natural for some darkening to occur, often giving the appearance of yellow teeth.

Genetics

You might not have known this but teeth yellowing can actually be due to your DNA. In the same way that your parents and ancestry influences your hair, skin and eye color, they can influence the color of your teeth. This is because of the thinness of your enamel. If you naturally have thinner enamel, your darker dentin will start to show, just as we mentioned in the last section.

Chemicals

There are some childhood medications that can affect the yellowing of teeth. This is because some ingested chemicals in those medications can damage your dentin. Tetracycline, an antibiotic that is sometimes used to also treat asthma and allergies can yellow or otherwise discolor teeth. Now that we know this, many doctors know that it’s best to hold off on prescribing these until about age 10, but if you took this or a drug that reacts in a similar way, you might be left with those lasting effects. Chemotherapy and other radiations can also affect this.

Yellowing teeth can be caused by medical reasons, but none of them are especially concerning. However, yellow teeth aren’t very aesthetically pleasing in the eyes of most. As mentioned before, taking care of your teeth is a great way to build self confidence, so even if you’re someone who doesn’t spend much time worrying about your appearance, having your teeth whitenedonce a year can go a long way in building your self esteem.

(12/08/2021)
by Coral West Dental

More Information: https://www.coralwestdental.com/blog/can-yellow-teeth-be-caused-by-a-medical-issue


Views: 658
Share
Share

Allergies: Swollen Tongue

A swollen tongue isn't always the result of an allergy, but it usually requires emergency treatment.

Your tongue can swell for a number of reasons, most commonly due to medications, allergies, and underlying medical problems. The swelling may be referred to as angioedema, which means the swelling occurs in the deeper layers of the skin.

Sometimes, it is not only the visible part of the tongue that swells, but also the back of the tongue, the mouth, the gums, and occasionally the larynx or voice box, says Lorraine Smith, MD, of the Osborne Head and Neck Institute in Los Angeles.

The tongue is primarily a muscular structure covered by layers of cells called epithelium. Its surface is lined with taste buds, which allows us to differentiate tastes like bitter, sweet, and salty. Like the tongue, the taste buds on your tongue can swell.

Because a swollen tongue can interfere with your airways and cause serious problems with your breathing, it is usually a medical emergency that requires immediate treatment.

What Causes a Swollen Tongue?

Swelling is an important defense mechanism in our bodies. Swelling fights off harmful bacteria and parasites, and helps with injury and healing. However, inappropriate swelling or swelling that persists can be harmful.

There are multiple chemical pathways that turn swelling on and off, which are complicated and only partially understood, says Anna Feldweg, MD, a clinical instructor of medicine at Harvard Medical School and attending physician in allergy and immunology at Brigham and Women's Hospital in Boston. A swollen tongue can happen when something — a medication, allergen (something that causes an allergic reaction), or medical problem — interferes with these pathways. Here’s a look at some common causes.

Medications. Many cases of a swollen tongue are the result of a reaction to a medication such as an ACE inhibitor, used to treat high blood pressure, or an NSAID, or non-steroidal anti-inflammatory drug, such as aspirin, ibuprofen [Advil, Motrin], or naproxen [Aleve, Naprosyn]. A swollen tongue due to a reaction to ACE inhibitors usually occurs during the first year of taking the medication, but can also happen after years of taking it, says Dr. Feldweg.

Allergens. In addition to allergic reactions to medications, allergic reactions to other substances — such as foods or bee stings — can cause swelling. In food allergies and bee sting allergies, the tongue can swell, but it is less common to have a swollen tongue than it is to have a swollen throat or lips.

Infection. Another possible cause of a swollen tongue is an infection deep inside the tongue or in the floor of the mouth. This usually develops over a day or two — more slowly than the allergic type of swelling.

Some people develop fungal infections in the mouth known as thrush. Fungal infections are caused by the fungus Candida and usually occur after a course of antibiotics. It’s the same fungus that can cause vaginal yeast infections. People with compromised immune systems, like those with HIV, also are susceptible to this yeast, also called simply candida thrush, that can cause the tongue to swell. Candida thrush can be treated with thrush medications that you swish and swallow, or swish and spit, Dr. Smith says. An oral medication often used to treat recurring thrush is fluconazole (Diflucan).

Herpes viruses also can cause infections that result in swelling of the tongue. “While there is no treatment for viral infections, recovery can sometimes be enhanced with the medicine acyclovir (Zovirax),” Smith says. Other similar drugs may also help. Herpes tongue lesions or ulcers are often extremely painful. They present as a red sore with a white overlying layer that can be wiped off with a cotton swab.

Medical illness. Very slow swelling of the tongue over weeks or months can occur in a condition called amyloid, a disease in which harmful amyloid proteins are deposited into tissues and organs. "With [amyloid], the tongue gets bigger and bigger over time," says Feldweg.

Irritants and trauma. You may find that your tongue swells if you accidentally bite it or burn your tongue with hot liquids or hot foods. Dental appliances also can irritate your tongue and cause it to swell. Tobacco is yet another irritant that can cause tongue pain and swelling.

Tongue cancer. Tongue cancer is a common cancer of the head and neck — more than 10,000 new cases are diagnosed in men and women in the United States each year. Highly curable if caught early, tongue cancer usually starts as a lump, ulcer, or white spot or patch on the outer layer of the tongue or a surrounding area.

“Cancer of the tongue is often painful,” Smith says. An infection tends to be self-limiting and will go away, whereas tongue lesions associated with cancer often persist and increase in size with time. Suspicious lesions need to be biopsied and treated appropriately if found to be cancerous, Smith says. “Some tongue cancers may not involve pain but any mass that persists for more than two weeks needs to be biopsied.”

Other tongue cancer symptoms include pain when chewing or swallowing, ear pain, numbness in the mouth, bleeding in the mouth, and a persistent sore throat.

A red patch on the tongue is often painless, but has a higher chance of being associated with cancer than a white patch on the tongue. But both patches need to be biopsied to get a definite diagnosis, Smith says, and to be able to apply the appropriate treatment.

Both tongue disorders and cancers of the tongue may present with swollen lymph nodes — under the chin and in the mandible region. If you have an infection, the swollen lymph nodes or swollen taste buds near the tongue will eventually go away after the infection clears. But another tongue cancer sign is if the swelling continues to progress and doesn’t go away, Smith says.

Related Conditions

In addition, a swollen tongue can be caused by:

Hormonal disorders such as acromegaly

Congenital disorders such as Beckwith Wiedemann syndrome

Genetic disorders such as Down syndrome and hereditary angioedema

Hypothyroidism, an underactive thyroid

Poor vitamin B12 absorption

Pituitary gland disorder

Treating a Swollen Tongue

Because a swollen tongue can lead to breathing problems, it should be looked at as an emergency situation. Medical personnel usually treat a dangerously swollen tongue with an injection of epinephrine, which may or may not work, depending on the cause. Once the person arrives at the hospital, "we usually give people steroids and antibiotics in the emergency room," says Feldweg, adding that treatment for a swollen tongue ultimately depends on the cause.

If the swollen tongue is caused by a drug reaction, the person must stop taking the medication. In food allergies, foods that trigger the swelling must be avoided. Anyone who has a history of a swollen tongue due to an allergic reaction will probably be advised to carry an injectable dose of epinephrine with them, which may help control the swelling if the tongue begins to swell again. If the cause is infection or amyloid, those will be treated accordingly.

There are many different causes of a swollen tongue. Most are straightforward to treat and the swelling goes away. If your tongue swells and interferes with your breathing, you need to go to the ER for treatment. If it’s a persistent problem, see your doctor so he can determine the cause of your tongue swelling and find the most appropriate treatment.

(12/07/2021)
by Every Day Health

More Information: N


Views: 684
Share