Dentists Journal

Top Ten Stories of the Week
1/29/2022

All Dentists Journal · Previous Week · This Week · All Time List · Headlines

Share

What Causes a Tingling Tongue?

Nearly everyone has experienced that uncomfortable feeling of "pins and needles" at some point. Perhaps you were kneeling on the floor for longer than you'd planned, and when you stood up, you realize your legs were asleep! Or perhaps you've woken up with a numb hand after spending the night asleep with your arm in an awkward position. This tingling feeling, known as paresthesia, often occurs in the hands and feet. But did you know it can also occur in other body parts, including the tongue? Let's go over the potential causes of a tingling tongue and when you should see a medical or dental professional about your symptoms.

The University of Rochester Medical Center explains that paresthesia results from a "traffic jam in your nervous system." This analogy refers to a "roadblock" that's created when constant pressure is on a nerve. This pressure prevents the electric impulses from traveling up and down the nerves as they normally would. Once the pressure is removed, the impulses can travel freely again. But when the blockage is first released, the electric impulses will pick up faster than usual, causing a tingling sensation in the affected area.

However, the tingling you may feel in your tongue is rarely from falling asleep in a strange position or holding your tongue in a particular spot for too long. Let's go over a few things that can cause a tingling tongue.

Nerve Damage After Surgery

Some people get a tingling feeling in their tongue after oral surgery, like a wisdom tooth extraction or a root canal procedure. A case report in the Journal of Dental Anesthesia and Pain Medicine (JDAPM) notes that it will usually occur directly after the procedure for those who do experience paresthesia from oral surgery. In rare cases, a person can have a delayed-onset tingling of the tongue.

Two of the most likely nerves contributing to a tingling feeling in the tongue after oral surgery are the lingual nerve (LN) and the inferior alveolar nerve (IAN). The JDAPM notes that IAN paresthesia occurs in 0.35 to 8.4 percent of people who undergo oral surgery.

If you've recently had oral surgery and have noticed that your tongue feels tingly, don't worry. Most paresthesia cases due to oral surgery disappear on their own within a few months at the latest. You should schedule a visit with your dental professional if you are particularly concerned about the sensation or if it has lingered for longer than a few months.

Oral Allergies

While many of us may not be aware of every type of substance we could be allergic to, there's an interesting relationship between the allergy to certain pollens and a tingly or itchy tongue you may want to be aware of. The American Academy of Allergy, Asthma, and Immunology reports that up to three-quarters of adults with a birch pollen allergy also have oral allergy syndrome. One of this syndrome's symptoms is a tingling and itchy tongue after eating certain raw fruits and vegetables, such as apples, peaches, cherries, and carrots. If you have oral allergy syndrome, your best bet to avoiding a tingling tongue is to eliminate from your diet the raw fruits and vegetables that can trigger an allergic reaction.

Canker Sores on the Tongue

You may be familiar with canker sores, a prevalent oral condition of small, white swellings that aren't contagious but can be a nuisance. They can develop almost anywhere on the soft tissue inside the mouth, including the lips, cheeks, soft palate, and tongue. While canker sores' exact cause is unknown, risk factors range from genetics to a weakened immune system to smoking cigarettes.

As noted by the Mayo Clinic, a tingling or burning sensation in your mouth and tongue can develop a couple of days before the sore itself is visible. This means you may be able to tell when a canker sore is coming on! Canker sores may be painful, but they usually clear up on their own and don't require treatment. If you notice your canker sores are large or don't clear up within two weeks, schedule an appointment with your medical professional. They can evaluate the sore and discuss your treatment options.

"Hypo" Causes of a Tingling Tongue

A tingling tongue means that you are missing one of the substances your body needs to thrive. For example, low blood sugar and low calcium levels can be the cause of your tongue's paresthesia. There are two important things worth noting about "hypo" causes of a tingling tongue:

A "hypo" cause of a tingling tongue is relatively rare.

If a deficiency in blood sugar or calcium is the cause of paresthesia, this tingling sensation does not occur until your calcium or blood sugar levels are severely low. It's essential to note that tingling and numbness in the tongue, lips, or cheeks are some of the more severe signs of low blood sugar. And Merck Manual connects tingling in the tongue with tetany, an involuntary contraction of the muscles that often develops when calcium levels are deficient.

Working with your doctor to manage the situation can help you avoid a tingling tongue and other complications. This is especially true if you have a condition that causes low calcium levels or diabetes, which is the usual reason for a dip in blood sugar. In most cases, a tingling sensation is nothing to worry about. But we always advocate for immediate professional care if you are experiencing a symptom of diabetes. This will ensure that you are fully knowledgeable about the signs and symptoms of a diabetic blood sugar low. You deserve to be confident in your oral and overall health. That's why education and open conversations with your medical professionals is vital!

While there's a wide range of possible reasons for your tingling tongue, you don't need to panic! Consider what you already know about your body and current health. Did you recently have oral surgery? Have you experienced cold sores in the past? Are you diagnosed with diabetes? Discussing your health and diagnoses with a dental or medical professional can help them figure out why you are experiencing a tingling tongue and get you on the correct treatment path if necessary.

(01/26/2022)
by Colgate

More Information: https://www.colgate.com/en-us/oral-health/mouth-and-teeth-anatomy/what-causes-a-tingling-tongue


Views: 582
Share
Share

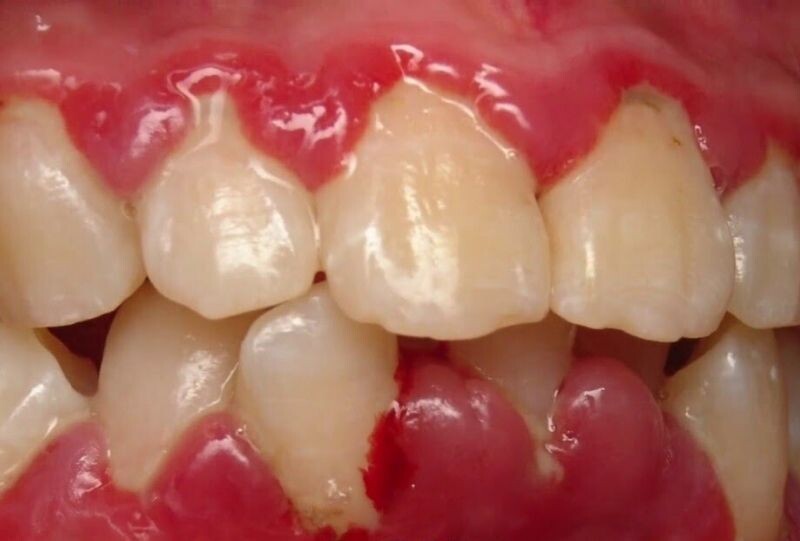
How Gum Disease Evolves?

Have you ever experienced swollen or bleeding gums right after you’ve completed your dental hygiene regimen? Sometimes this can occur if your gums aren’t in the best condition. Due to an overabundance of bacterial growth, this is where the start of gum disease occurs.

Also known periodontal disease, this condition is one of the most common dental problems in America. In fact, the CDC estimates that half of Americans aged 30 or older have periodontitis— the more advanced stage of the disease.

Why is this? Many people aren’t following a proper hygiene routine to take care of their teeth and gums each day, plus they aren’t receiving professional dental care. This can lead to a variety of dental problems in the future, often beginning with gum disease.

Why Do I Have Periodontal Disease?

This inflammatory disease affects the soft and hard areas within the gum line that are designed to support teeth. Gum disease is generally caused by poor oral hygiene due to the buildup of bacteria that leads to plaque and tartar.

With 30 years of dental experience, Dr. Terence Lau says that many patients don’t know if they have gum disease until it gets worse because it’s often unnoticeable to many in its earliest stage, gingivitis. However, without treatment, it can rapidly progress and lead to tooth loss due to the destruction of tissue.

Being aware of the stages of gum disease can help you get the care you need before your periodontal disease exacerbates. Here’s everything you need to know about the three stages of gum disease.

Stage One: Gingivitis

Known as the first and mildest stage of gum disease, gingivitis is inflammation in the gums caused by plaque buildup along the gumline. The plaque will start to buildup when there’s a lack of proper brushing and flossing to remove debris and bacteria from under the gum line and between teeth.

Common signs of gingivitis are:

Bright red gums

Tender gums

Bleeding from the gums when brushing or flossing

Bad breath

Swelling

Receding gumline

Soft gums

Luckily, this first stage of periodontal disease is easy to treat by a quick visit to the dentist. The plaque and tartar stuck on your teeth can be removed with scaling and root planing. Additionally, excellent brushing and flossing are crucial for your dental health so the gingivitis doesn’t return!

Stage Two: Periodontitis

The second stage of gum disease is known as periodontitis. This stage occurs when gingivitis is ignored and not treated. The supporting bone that holds your teeth become damaged and your gums will start to pull away from your teeth, which is much more difficult to treat.

With periodontitis, your gums will form a pocket below the gum line that easily traps food and plaque, which aggravates your dental problem. Along with the similar symptoms associated with gingivitis, you may also notice spaces and pus begin to appear between your teeth.

Along with practicing good oral hygiene, Dr. Eric Herman says he’ll clean out bacteria from the pockets below the patient’s gumline to prevent further bone and tissue destruction.

Stage Three: Advanced Periodontitis

Advanced periodontitis is the most severe stage of gum disease and will often lead to tooth loss. During this stage, the fibers and bone are completely destroyed which eliminates the ability for your gums to support your teeth.

Symptoms associated with advanced periodontal disease include:

Bleeding gums during and after brushing and flossing

Red, puffy, gums

Persistent bad breath

Receding gums

Deep pockets between teeth and gums

Loose & shifting teeth

Changes in bite

Once gum disease advances to this stage, there is a higher chance that good oral hygiene and non-surgical treatments won’t be as effective, and alternatives may be the solution. These options may include flap surgery to reduce the pocket size and lift up the gumline, or bone and tissue grafts which help naturally regenerate lost bone and tissue.

Suffering from tooth loss is one thing no one ever wants to endure. However, if you’ve allowed you gum disease to advance to its most severe stage, then tooth loss may be inevitable. Now, with new developments in dental treatments, replacing a missing tooth can be a simple fix.

Whether you replace one or more teeth with a dental bridge, denture, or dental implant, all of these solutions help enhance the appearance of any smile, improve your oral health, and allow you to eat and speak without hesitation.

Finding a dentist who can restore your smile is the first step. Most dentists are capable of placing a dental bridge or denture, however, not all dentists can place implants. Dental implants are known as the longest-lasting, most natural-looking restorative treatment available today. 

Don´t Let Gum Disease Harm Your Smile

It isn’t always easy to take perfect care of your smile, but the more you continue to properly brush and floss your teeth and gums, the less of a chance you’ll endure an oral problem like gum disease. With the right hygiene routine, you won’t have to worry about this common dental disease taking over the beauty of your smile.

(01/21/2022)
by Dentistry-Review

More Information: https://dentistry-review.com/dental-health/the-evolution-of-gum-disease/


Views: 789
Share
Share

Bone Resorption: Types, Causes, Complication, Symptoms And Treatment

Bone resorption is a process by which the bones are absorbed and broken down by the body. Dental bone resorption refers to dental injury or irritation that causes a loss of a part of a different part of a tooth. Also, you may notice swelling in your gums and pink or dark spots on your teeth. However, it is hard to see the symptoms of resorption.

Resorption causes long-term damage to permanent teeth than primary teeth or baby teeth. Resorption of baby teeth varies from bottle rot (a condition that can occur when a child’s teeth become covered in sugar from sweetened foods or drinks). This happens mostly when parents leave their babies with a bottle of formula or milk overnight. Tooth resorption stimulates infections, crooked teeth, tooth loss, and other dental issues that negatively affect your teeth, gums, and jaw as well. It’s essential to see your dentist if you notice any of the above symptoms.

Types Of Bone Resorption

It is classified internally and externally, depending on the place of tooth loss. External resorption is comparatively easier to see than internal resorption because it commonly occurs on the outer surface of a tooth.

Internal – Internal resorption affects the interior of a tooth. It is less common than external resorption, and most of its’ patients are men. People who have extensive oral surgery are more affected by bone resorption. 

External – External resorption is more frequently seen than internal resorption, which affects any part of the outside of the tooth. It is like deep holes or chips, and the roots of a tooth can be visible in X-rays.

Causes Of Bone Resorption

Various reasons can cause a tooth to get resorbed. External resorption is often stimulated by injuries in the mouth and teeth that cause swelling and loss of bone. Such damages may take place from prolonged use of orthodontic appliances such as braces/ tooth grinding/ tooth bleaching.

Complications From Bone Resorption

Tooth resorption can cause several complications, such as:

Infections

Chipped teeth

Loss of teeth

Pain

Crooked teeth

Tooth weakness and discoloration

Cavity-like holes

Recession of roots

And if you don’t like the appearance of your teeth, you may visit a cosmetic dentist once the resorption treatment is over.

Symptoms Of Bone Resorption

In most of the cases, a person may not notice tooth resorption for years.

However, as resorption worsens, symptoms often develop, which include:

swelling and redness of the gums

pain stemming from the root, crown, or inside of a tooth

teeth that are brittle and chip easily

dark or pinkish discoloration

cavity-like holes in the teeth

unusual spacing between the teeth

Treatment For Bone Resorption

The type of treatment depends on what part of a tooth is affected, and the extent of the damage. The cause of bone deterioration needs to be studied before deciding about the treatment. Once tooth extraction is done, a dentist may go for an immediate dental implant, which can prevent bone loss. Dental implants impel the bone to restore the balance between natural bone production and resorption. Bone grafting may be needed before implants can be placed in sites that have already experienced significant bone loss. Treatment for dental resorption aims at preserving any remaining parts of a tooth that has begun to experience loss.

(01/23/2022)
by Mohamed Ali, DDS

More Information: https://www.malidds.com/bone-resorption-types-causes-complication-symptoms-treatment/


Views: 802
Share
Share

Understanding Stomatology

If we take a look at the groups of professionals that make life in dental clinics, we could only think that all of them are dentists or hygienists. But this is the wrong view of dental clinics. In fact, in these facilities you can find a wide variety of specialists in the oral field that are segregated by the different branches of health that they practice and that make the care of a patient so complete.

Among the many specialties that we can find in a dentist, today we will take a look at stomatologists. This specialization is hidden from most patients’ eyes, and they may even think that it has nothing to do with oral health, but it is quite the opposite. Are you curious? We are glad to know, because in this article we will guide you through stomatology and frequently asked questions around this profession that are immersed in our oral health.

What are the branches of stomatology?

Like any branch of medicine, stomatology is divided by different roots that can encompass large blocks of specializations. Here are some of the divisions found in this field:

● Oral rehabilitation

● Orthodontics, prosthodontics and dental prosthesis.

● Periodontics, endodontics and dental implantology.

● Pediatric dentistry and geriatric dentistry

● Esthetic dentistry

● Cariology, maxillofacial surgery or preventive dentistry

● Neurofocal dentistry

● Cariology and forensic dentistry

● Facial orthopedics, gnathology

● Maxillofacial prosthodontics

● Oral pathology

● Infant and prenatal dentistry

● Oral radiology

● Sports dentistry

What differentiates stomatology from dentistry?

This profession, besides fulfilling a specific role in general medicine, maintains some differences with its sisters: dentistry and maxillofacial surgery.

Among the most outstanding differences we can note that it is not the same title and there are different branches of study for this profession. Stomatologists receive the title of Licentiate in Medicine specialized in Stomatology. While the dentist is only licensed in dentistry, therefore it could be said through these data that a stomatologist is more qualified to provide general medical care than a dentist, and also has the joy of being able to practice without any problem the career of general medicine.

Oral diseases treated by stomatology

We have already explained what it treats, but what diseases can this specialist cure or treat? Here is a short list of some of the most relevant problems that stomatology can treat:

Traumatic stomatitis.

This disease is presented through blisters or small ulcers that may appear on the inner part of our cheek thanks to constant biting, this is very common in people with psychological conditions such as anxiety or OCD. Although they can also appear thanks to poor oral hygiene, internal burns, poorly placed dental implants and even a poorly organized diet. It is more common in older populations, between the age of 65 and older.

The solution to prevent this disease is to constantly brush our teeth properly and avoid damaging our mouth. Also, avoid foods that are too strong in taste, by this we mean citrus fruits or foods with high salt content. But in any case, it should be treated by a stomatologist in order to present the best treatment against the blisters.

Burning mouth syndrome

This disease is not very well known in general, but it can affect a considerable part of the population. Its symptoms are constant burning in the inner part of the mouth accompanied by an uncomfortable numbness sensation, both intermittently and specifically when performing any type of movement. The most affected areas are usually the tongue or cheeks.

In half of the cases its origin is unknown, although the most frequent reasons for which this syndrome develops are: Inconveniences with maxillofacial mechanics, internal infection, food allergy, medical treatment prior to any extra disease, tobacco consumption and even stress situations and psychological conditions such as anxiety.

An accurate diagnosis is needed to be able to focus on solving the problem from the root, it is not an easy treatment because it requires great patience and to prove that it is what works for the patient. It can even be accompanied by psychological help in case it is due to a problem of stress or anxiety.

Halitosis

Although this can be seen as a common ailment, sometimes you have to worry about the frequency with which it occurs and the type of odor that you can develop.

It is normal for the mouth not to smell like mints and flowers all day long, all thanks to the pH of our saliva, but neither should we carry unpleasant and unbearable odors in our oral cavity.

There are two types of halitosis, oral and extraoral. Although we must consider that in both the origin of the problem will always come from an internal problem. The most common reasons for halitosis are poor dental hygiene, ranging from not using fluoride toothpaste to poor tooth brushing. In addition, we can also find problems with tobacco or cigarette addiction, which can eventually damage or infect our gums.

Although they are few cases, and as we have already mentioned, halitosis can be extraoral. This means that they come from reasons that are not specifically developed in the mouth of the person. For example, problems that have to do with the digestion system of our body or diseases derived from the kidney.

Yes, halitosis can be seen as a more socially focused problem because it seems harmless, but it could actually be a sign of deeper problems that we need to check if it develops on a constant basis.

In a high percentage of cases, this can be solved with thorough hygiene by a specialist and perhaps new cleaning techniques, but this will only be determined by your doctor, so it is important to have an occasional check-up to make sure there are no major problems.

Aphtha’s

Chances are that you have already suffered from this at some point in your life for whatever reason, probably as a child or on a trip to another country, as it is a very common disease that can affect anyone.

Canker sores are small white balls that can be painful and are accompanied by other symptoms such as fever. They are very annoying, but are not totally serious if treated correctly.

They are usually caused by temperature changes, accidental bites, something that has touched the area and left bacteria, eating very acidic or salty foods, and a host of other reasons!

Usually the sores go away after a few days, so no treatment is needed. However, we should be concerned if there is a proliferation of them and they do not go away after several days. In addition to bringing new symptoms such as headache or difficulty eating, that is when we should attend a stomatologist to reevaluate the situation and can assist us with the appropriate treatments.

Mouth cancer

Oral cancer is becoming more constant than it should be. It is currently reported that 50 out of every 100,000 men may be affected, being the gender most attacked by this disease.Oral cancer can develop through diseases that seemed harmless at the time, or perhaps symptoms that did not pass through our brain’s alerts and could have prevented the imminent development of this disastrous disease.

If you want to know what are the most relevant symptoms of oral cancer, we will leave them here below:

Spots of strange origin:

They can be of different colors, the most prominent are white, red or an interspersed between these two types. It is worth noting that they appear in the area of the lips, tongue, gums and the inner part of the cheeks.

Constant sores:

Both in the mouth area and inside the throat, and have the particularity that they do not go away with the days and are very painful. In fact, they can make it difficult to eat and swallow because the simple contact with food triggers a lot of pain.

Mobility problems:

This can be both in the tongue and the jaw bones.

Lumps of strange origin:

These are a little more general, as they can be anywhere on the face, neck, cheeks, any side of the jaw, gum or tongue.

If you have presented or present any of these symptoms, it is recommended that you take the time to visit a specialist in stomatology and they can send the corresponding examinations to determine exactly what is happening with you.

How to avoid oral diseases?

Some diseases cannot be totally avoided and are even necessary to develop, but most of them can be avoided with specific health and hygiene measures.

Use good dental hygiene technique

Brush your teeth every time you eat, it is recommended that you give it at least 2 minutes in general. Also, use dental floss or another type of irrigator to make sure you don’t leave pieces of food between your teeth.

Using a good brushing technique allows us to accumulate less plaque and dental tartar on the surface layer of our teeth, therefore we will not allow the adhesion of harmful bacteria that will affect our gums or other parts of our mouth.

Avoid addictions

By this we mean the horrible habit of smoking and chewing tobacco. Alcohol is bad, but there is nothing worse than a cigarette not only for our dental health, but for our general health. They are the focus of multiple infections and bring us nothing better than developing cancer or periodontal disease.

(01/22/2022)
by City Dental Clinic

More Information: N


Views: 723
Share
Share

Essentials Nutrients for Your Gums and Teeth

While proper nutrition benefits the entire body, it’s easy to forget the entire body also includes your gums and teeth. By consuming the correct vitamins and nutrients, whether through supplements or food choices, you can better protect your overall oral health. To ensure you’re making the right choices for your oral health, here are several essential nutrients for both gum and teeth health.

Calcium

We’ve all heard that calcium is good for bone health, but it's also crucial for your teeth, with the National Institutes of Health stating calcium helps develop and sustain healthy teeth. To get your daily dose of calcium, you should try dairy products, such as yogurt and milk, which have a kind of calcium your body can easily absorb. Canned, bone-in sardines and salmon are good calcium sources as well, with vegan options including leafy green vegetables, fortified cereals, and blackstrap molasses.

Phosphorus

Another essential nutrient for healthy gums and teeth is phosphorous, which, according to the University of Maryland Medical Center, is one of the most prevalent minerals in the human body, with much of it being in the teeth. Phosphorus is necessary for the repair and maintenance of your body's tissues, and it works with calcium in order to keep teeth strong. Fortunately, phosphorous is in many protein-heavy foods, such as eggs, dairy, meats, legumes, and nuts, as well as dried fruits, whole grains, and some carbonated drinks. Most individuals get plenty of phosphorous in their normal diet without requiring supplements.

Vitamin D

This micronutrient plays a huge part in maintaining healthy teeth and your overall health, telling the intestinal tract to absorb calcium you've consumed and then transport it to your bloodstream. Without the right amount of vitamin D, the human body would leach the calcium right from the bones. Certain foods have been fortified with vitamin D, such as breakfast cereals, milk, and other food items. You can check nutrition labels to see if the foods you like have vitamin D in them.

Vitamin A

In addition to being good for the eyes, vitamin A is good for the mouth as well, helping to develop and sustain tissues, such as the mucus membranes and the teeth. This essential nutrient has two forms: provitamin A and preformed vitamin A, with the latter being found in poultry, dairy, meat, and similar animal products. As for provitamin A, it’s found in vegetables and fruits, with the body converting it to its active form.

Vitamin C

There are many nutrients that are good for teeth, but others, vitamin C in particular, are good for gums. Vitamin C, per the Mayo Clinic, is necessary for the creation of blood vessels as well as other teeth-supporting tissues. Also, this nutrient is crucial for healing, so much so that patients with severe deficiencies in vitamin C can suffer from bleeding gums. To get a good dose of vitamin C, you can always check out berries, citrus fruits, spinach, brussel sprouts, and similar vegetables and fruits.

(01/25/2022)
by Wellness Dental Plan

More Information: https://www.wellnessdentalplan.com/blog/essentials-nutrients-for-your-gums-and-teeth


Views: 720
Share
Share

Surprising Ways to Improve Your Oral Health

Oral health is a very important part of our overall health and well-being. It’s essential to take care of your teeth and gums to prevent tooth loss and gum disease.

Here are a few surprising ways that you can improve your oral health.

Visit Us Regularly

Your teeth are the foundation of your smile. They also help you chew your food, talk to others, and interact with the world around you. It’s important to take care of your teeth by visiting dental professionals regularly. Regular visits allow dentists to monitor your oral health and identify any problems that may arise, including tooth decay and gum disease. Dental professionals can then take steps to help you maintain optimal dental health and prevent future problems.

Cut Down On Sugar

The American Dental Association has published a list of foods that are known to increase the risk of tooth decay. These foods are:

Sugary drinks, such as soda and fruit-flavored drinks

Candy or sweets, especially sticky ones

Bacteria in the mouth can use sugar in these foods to make acids that attack tooth enamel, leading to tooth decay. The more often you eat these types of food, the more likely you are to get cavities.

Brush Better & Floss Regularly

Brushing and flossing are two of the most important things you can do to improve your oral health. They’re also two of the easiest.

Brushing

Brush your teeth at least twice a day, preferably in the morning and before bed. The best way to brush is to move the toothbrush in small circular motions across the tooth surfaces, paying particular attention to hard-to-reach places like behind the last row of teeth, for at least 2 minutes.

Flossing

Flossing removes plaque from where your toothbrush can’t reach. It’s important to floss at least once a day. To floss properly, wrap the end of the floss around one of your fingers and gently pull it between all of your teeth using a gentle up-and-down motion.

If you’re having trouble making time to brush and floss, try setting a timer on your phone or watch so you’ll know when the time is up. This simple act can help you develop better oral hygiene habits.

Give Up Harmful Habits

It’s not easy to quit smoking, but eliminating this harmful habit can improve your oral health. Smoking can lead to dental problems, such as tooth decay and gum disease, and quitting can help to reduce your risk. You can speak with dental professionals about how smoking negatively affects your oral health during your next checkup.

Cut Down On Soda

Many people are unaware that drinking too much soda is bad for your health. The acids in soda erode tooth enamel, causing tooth decay. Drinking too much soda can also lead to tooth erosion, which is a serious problem. For those who drink soda regularly, it can be hard to break the habit, but it is worth the effort. By cutting back on soda consumption, you will be able to prevent problems with your teeth and gums.

Using A Proper Toothbrush

A bad toothbrush can cause your teeth to get worse. Make sure the bristles on your toothbrush are soft and round. It is strongly recommended that you replace your toothbrush every three months and never share your toothbrush with another person. When you are brushing, you want to brush in small circles, making sure to brush the inside of your teeth. You also want to make sure that you brush for two minutes at a time. Finally, it is important that you use fluoride toothpaste when brushing, as it helps to strengthen tooth enamel and keep your teeth healthy.

Start Caring For Teeth At An Early Age

Good oral health is an essential component of overall health. Without good oral health, your body becomes susceptible to serious illness and disease. It is also important to remember that your child’s teeth are still developing and it is important to start caring for them at an early age.

Here are some tips for parents:

1) Make sure your child brushes their teeth twice daily and flosses once a day.

2) Avoid giving your child sugary snacks and drinks after lunchtime.

3) Be sure to schedule regular dental visits, especially when you notice any signs of tooth decay or gingivitis.

4) Encourage your child to brush their teeth before bed with an electric toothbrush if they are old enough.

5) Visit dental professionals every six months, or sooner, if they have any dental problems or cavities that need to be addressed.

Clean Your Tongue Well

Your tongue is an important part of your oral health. When not properly cared for, it can lead to bad breath and tooth decay. Here are some ways to keep your tongue clean:

Brush your tongue with a toothbrush. This removes the bacteria that causes bad breath.

Use a tongue scraper or an old-fashioned scraper to get rid of tough bacteria that is on the surface of your tongue.

Try using a mouthwash with alcohol in it once per day for one minute.

Add some salt to warm water and gargle it on your tongue for one minute, then spit out the mixture after gargling. This will kill some bacteria and cleanse your mouth.

Take Care Of Your Elder’s Oral Health

Older adults need to work on their oral health in order to prevent tooth decay, gum disease, and oral cancer. Regular dentist visits with dental professionals are important for teeth whitening, cavity treatment, dental work, and even denture repairs.

Dental professionals can provide additional treatments like root canal therapy. If you are an older adult in need of care for your teeth, schedule an appointment with us today.

Conclusion

Good oral hygiene is something we should all be practicing every day. Unfortunately, it’s not always easy to remember to brush our teeth or floss in the morning when we’re in a rush to get out the door. That’s why it’s important that you start your day with a fresh, clean mouth by brushing and flossing before you eat breakfast. It’s also important that you maintain good oral hygiene throughout the day by brushing once more at lunchtime or before dinner.

While there are many ways to keep your teeth healthy, one of the most important things you can do is limit the amount of sugar you consume. Sugar is terrible for your teeth because it causes tooth decay and cavities which can lead to tooth loss, discomfort, gum disease and even heart disease. Be sure to schedule regular appointments with your dentist to maintain a healthy mouth.

(01/21/2022)
by Dentistry Today

More Information: https://www.dentistrytoday.com/surprising-ways-to-improve-your-oral-health/


Views: 671
Share
Share

What Causes Sour Tongue and How to Prevent It

Sour cream is great on a baked potato. Heavy metal is great to work out to. But a sour or metallic taste in your mouth is not great. Occasional bad tastes are one thing, perhaps triggered by too many cups of coffee. But when it becomes more frequent, that sour taste is worth getting to the bottom of it. What's the cause of these sour and metallic tastes? What does it mean? How can you prevent it? Check out all of those answers below.

What Causes the Condition?

Before getting to the cause, let's identify it first. What you may be experiencing is commonly referred to as dysgeusia (or parageusia). This taste disorder leaves your tongue and mouth with a very unpleasant lingering sensation. It's often described as a bitter, metallic, or sour taste perception. And many factors could cause it. Taste disorders, like dysgeusia, can be caused by:

Infection

Infections to your teeth, gums, mouth, or throat cause swelling, reduce taste bud blood flow, and can alter your taste.

Inflammation

Taste pores can close up if your tongue is swollen and inflamed.

Vitamin or mineral deficiencies

Shortages in certain minerals and vitamins, especially B12 and zinc, can affect your sense of taste.

Dry mouth

When there's a lack of saliva flow, dry mouth is very common, causing your taste receptors to not being stimulated.

Medication side effects

ACE inhibitors, antibiotics, diuretics, and chemotherapy agents can all affect your ability to taste.

Nerve damage or trauma

If you've been in a traumatic accident on the tongue, neck, or have had Bell's palsy or other ear surgeries, your taste could be affected.

Neurologic disorders

MS, Alzheimer's, and Parkinson's disease can all decrease your taste.

Metabolic changes

Kidney disease, diabetes, pregnancy, and hypothyroidism can all cause taste disturbances.

Tobacco use

All forms of tobacco (smoking, chewing tobacco, etc.) can affect your tongue, throat, mouth, and tasting ability.

Acid reflux or GERD

Suffers of gastroesophageal reflux disease often experience a sour taste in their mouth.

Oral hygiene

Bad breath and an unpleasant taste in your mouth can be attributed to poor oral hygiene — making proper oral care and regular dental checkups imperative.

Ways to Prevent Sour Tongue

Preventing and treating sour tongue or dysgeusia really depends on the cause of it. There are many things that you could try. Some are just sensible decisions when it comes to good oral care, and some are recommended by the American Academy of Otolaryngology-Head and Neck Surgery:

Hydrate

Drinking plenty of water can help wash the sour taste away and stimulate saliva flow.

Sugarless gum

Chewing sugar-free gum stimulates your saliva flow and help eliminate the bad taste associated with dry mouth.

Dietary changes

If suffering from GERD, avoid foods that may irritate your stomach, like tomatoes, citrus fruits, caffeine, chocolate, or soda, leading to higher levels of acid reflux.

Vitamins and minerals

Supplementing specific or multi-vitamins could help if deficient.

Switching medications

If possible, your doctor can adjust certain medication levels or change to a different one to help restore your taste.

Avoid alcohol and tobacco

Habitual use of these can have long-term health effects on your body, and your sense of taste may only be the beginning.

Proper oral care

See your dentist for your regular checkups on top of routine brushing, flossing, and antibacterial mouth rinse to eliminate the bad breath and sour taste.

Sometimes, the cause of a sour tongue is out of your hands. And sometimes, your sense of taste will return to normal after you've taken all of your medication, delivered your baby, or managed your GERD. But you and your dentist can do your part to eliminate the sour taste by caring for your teeth, gums, tongue, and mouth. Which, is actually pretty sweet.

(01/22/2022)
by Colgate

More Information: https://www.colgate.com/en-us/oral-health/adult-oral-care/sour-tongue-causes-prevention


Views: 565
Share
Share

What You Need to Know About Your Tooth Pulp

If you were to crack open a tooth, you’d find that it isn’t solid all the way through. Each of your teeth has a jelly-like core called tooth pulp or dental pulp.

Each of your teeth are made up of four layers, which include:

Enamel. This is the visible outermost layer that protects your tooth. Your enamel is the hardest tissueTrusted Source in your body.

Dentin. This is the middle layer that supports your enamel and protects the inner pulp.

Tooth pulp. This is the innermost layer that contains nerves and blood vessels.

Cementum. This is the hard layer that coats and protects the root of your tooth underneath your gums.

Your tooth pulp is protected by the harder outer layers. But if your tooth is damaged or if you have tooth decay, the pulp can become exposed.

Exposed pulp is susceptible to an infection and requires prompt treatment from a dental professional.

In this article, we’ll take a closer look at what tooth pulp is, as well as the conditions that can affect this inner part of your tooth.

What is tooth pulp?

Your tooth’s hard enamel and dentin layers are mostly composed of minerals. Your tooth pulp is the part of your tooth that’s alive. It has a jelly-like consistency and contains:

blood vessels

nerves

connective tissue

specialized cells

The main functions of your tooth pulp are to create dentinTrusted Source and to provide your tooth with nutrition.

Your tooth pulp also helps keep your dentin layer healthy by providing it with moisture and essential nutrients like albumin and fibrinogen.

Nerves in your dental pulp help protect your tooth by allowing you to sense damage to your tooth as well as changes in temperature or pressure.

Your tooth pulp is the only part of your tooth that contains blood vessels and nerves.

If your pulp becomes severely damaged, your tooth will lose its blood and nerve supply.

What is a pulp chamber?

Your tooth pulp is found in the hollow center of your tooth. This hollowed out area is divided into two parts: your pulp chamber and your root canal.

Your pulp chamber is the hollowed-out space in the body or crown of your tooth, and your root canal is the section that extends down the root.

What are the symptoms of a possible tooth pulp concerns?

Specific symptoms of a tooth pulp concern can vary depending on the condition. Most pulp conditions such as pulpitis are a result of tooth decay and may cause not only pain, but also:

inflammation

increased sensitivity to hot and cold

sensitivity to sweet foods

If you develop a serious infection in your tooth pulp, you may notice:

fever

bad breath

dental abscess (pus)

swelling around your cheek

swollen lymph nodes

If you notice these symptoms, it’s important to schedule an appointment with your dentist.

If your dentist diagnoses a tooth condition early, the treatment will likely be less invasive, and it may be easier to restore the health of your tooth.

What conditions can affect tooth pulp?

Pulpitis

Pulpitis is inflammation of your tooth pulp. It happens when bacteria bypass your dentin and enamel and get into your dental pulp.

Tooth decay, sudden injuries, and chronic tooth grinding can expose your pulp and put it at risk of developing an infection.

Pulpitis can be classified as either reversible or irreversible. Both types of pulpitis can cause not only pain, but also inflammation, and sensitivity. Symptoms are more severe with irreversible pulpitis.

Here’s a look at the key differences between these two conditions:

Reversible pulpitis

Reversible pulpitis refers to inflammation that’s mild enough for your tooth pulp to be saved. Pain is generally mild, and you may only notice it while eating.

The most common cause of reversible pulpitis is tooth decay.

According to a 2016 research reviewTrusted Source, treatment involves removing the area of tooth decay and restoring your tooth with a pulp cap and filling.

Irreversible pulpits

Irreversible pulpitis is inflammation that has progressed to the point that your tooth pulp can’t be saved. It can cause severe, lingering pain, that also lead to pulp necrosis or pulp death.

A dental professional may be able to save your tooth with a pulpectomy.

A pulpectomy is the first part of a root canal and involves removing your pulp. In other cases, your dentist may need to remove your entire tooth.

Pulp necrosis

Pulp necrosis refers to the death of your pulp inside your tooth. It’s often the result of chronic pulpitis. According to a 2016 research reviewTrusted Source, tooth decay is the most common cause of pulpitis and pulp necrosis.

Before your condition progresses to pulp necrosis, you may experience pain, inflammation, and other symptoms of pulpitis. Once at the stage of necrosis, you may no longer feel pain if a nerve dies.

Pulp necrosis can lead to a dental abscess, which is a buildup of pus inside your tooth. If untreated, a dental abscess can move to other parts of your body and be life threatening.

In some cases, a root canal may be able to save a tooth with pulp necrosis. In other cases, your tooth will need to be pulled.

Dental pulp calcification

Dental pulp calcification is a condition that causes hard lumps of calcium to form in your pulp. These hard lumps are also known as dental pulp stones.

Pulp stones can develop in one or all of your teeth, according to a 2016 research review. They can either float freely in your tooth pulp or bind to the surrounding dentin. They occur more often in molar teeth.

The cause of dental pulp calcification remains largely unknown, but your risk of developing this condition seems to increase with age.

Pulp stones often don’t cause any symptoms, but they may cause problems during a root canal.

How to prevent tooth pulp concerns

The most effective way to lower your risk of conditions like pulpitis and pulp necrosis is by practicing good dental hygiene. This includes:

brushing your teeth twice a day for a minimum of 2 minutes each time with a soft-bristled brush

brushing each tooth on all sides every time you brush your teeth

using a fluoride toothpaste

flossing between your teeth at least once a day

drinking water regularly, especially after eating

using a mouthguard at night if you tend to grind your teeth when you sleep

contacting your dentist twice a year for a checkup and dental cleaning.

(01/24/2022)
by Healthline

More Information: N


Views: 724
Share
Share

Do You Know All The Human Teeth Names And Their Functions?

Your teeth are divided into four types: incisors, cuspids, premolars and molars. The Indian Dental Association explains that humans are diphyodont, meaning that they develop two sets of teeth in a lifetime. The first set of teeth, the deciduous teeth are also called the milk, primary, temporary, or baby teeth. The milk teeth usually start erupting from the 6th month of age and by the time a child is 3 years old, he or she has a set of 20 deciduous teeth, 10 in the lower and 10 in the upper jaw. Each jaw has four incisors, two canines and four molars. Whereas adults have 32 teeth. Getting a little brush up—pun intended—on all the human teeth names, each type's location and their function can help you better understand why your oral care is so important.

Incisors Slice Food

Your smile begins with your incisors. The IDA further notes that the incisors are the squarish, sharp-edged teeth at the front and middle of the mouth. There are four at on the bottom and four on the top. Your incisors mainly work to slice and dice food into more easily chewable pieces. There are two types of incisors:

Central Incisors

National Oral Health Programme explains that central Incisors are placed at the centre, they help you bite and cut food, they are the first milk tooth to erupt in your mouth. . . A research study published in the International Healthcare Research Journal notes that injuries to the upper central incisors are common during sports, that's why it's important for children and athletes alike to use special protection, such as a mouth guard, when engaging in sports.

Lateral Incisors

Your front two teeth might have a "central" role in your smile, but the teeth just next to these — your lateral incisors — also help to form the perception of a great smile. A study in Periodontics and Prosthodontics points out that the shape, location and position of these teeth in relation to your central incisors make up the "golden proportion," which is the size relationship that humans perceive as visually pleasing.

Cuspids Grip and Tear Food

Your four cuspids are the fang-like teeth that sit next to your lateral incisors. They're also often known as eye teeth (in the case of the upper two) or canines. Byjus explains that canines are also called cuspids. They are situated at the ‘corners’ of the dental arches. They are characteristically sharp, elongated and pointy surface. Their primary function is to grip and tear food (tough food such as meat). Humans have four canines, two in the upper jaw and two in the lower jaw.

Premolars Crush Food

According to the IDA, behind the canines are the premolars, or bicuspids. There are two sets, or a total of four premolars, in each jaw two behind each of the canines on the bottom and two behind each canine on the top. These teeth are absent in the primary set. Premolars are also called bicuspids and are located behind the canines, notes Byjus.

Molars Grind Up Food

The IDA explains that the molars, situated behind the premolars, have cusps points and grooves. There are 12 molars in the adult mouth — three sets in each jaw called first, second, and third molars. In a full set of permanent teeth, there will be six molars in total, with three on the top and three on the bottom:

First and Second Molars

Your first molars are located toward the back of your mouth next to your second premolars. Behind them are your second molars, as the ADA chart outlines. These teeth have pits and fissures, which are grooves that can harbour bacteria and decay. The IDA suggest that parents should consider professionally-applied sealants as another way to protect children's teeth from cavities. Sealants, a thin coating of bonding material applied over a tooth, act as a barrier to cavity-causing bacteria.

Third Molars

The IDA explains that the third molars are called wisdom teeth. Wisdom teeth get their name because, as the last teeth to erupt, they break through when a person is becoming an adult and is supposedly wiser.

Per the ADA, teeth can actually last for hundreds of years, but they're susceptible to wear, damage and decay over a lifetime. Make sure to brush twice a day, floss daily and keep up with regular dental appointments to ensure all of your teeth stay healthy.

(01/24/2022)
by Colgate

More Information: N


Views: 811
Share
Share

What are Von Ebner Glands?

While it’s not something most people think about (with it being an everyday part of our lives), saliva helps us digest, taste, speak, and protect tooth enamel, which is why dry mouth is such a great concern when it happens. However, there is actually more to the role saliva plays than meets the eye, with there even being more than one kind of salivary gland necessary for human beings to get by. If you’re curious to know more about these glands and their role in helping you enjoy the foods you eat, check out our quick guide below.

The Basics of Von Ebner Glands

To begin, saliva fulfills several functions to preserve the health of one’s oral cavity, starting with protecting the gums and teeth from acids and bacteria, lubricates the mouth, starts the digestion process, and has a major role when it comes to taste. There are six minor and major salivary glands, and they’re found in the lips, cheeks, mouth floor, palate, tongue, and pharynx. Regarding the Von Ebner salivary glands (or serous glands), they’re minor salivary glands at the back of the tongue, where they secrete the digestive enzyme amylase, which helps people break food down while chewing . However, these glands are also unique for their other purpose, which is aiding your sense of taste.

Taste and the Salivary Glands

The human tongue has more than one thousand taste buds located within sponge-like bumps called papillae, the types of which include circumvallate, foliate, fungiform, and filiform. Von Ebner salivary glands can be found near the tongue’s circumvallate and foliate papillae, located toward the back end of the tongue. Whenever you drink or eat, the liquid the glands secrete moves food particles onto and over the papillae, sending flavor to your taste receptors and to the taste-oriented part of the brain.

Per research published by the International Journal of Oral Health Dentistry , it’s been found that Von Ebner salivary glands also release proteins unlike others found within the mouth, and they’re not unlike ones located in the nasal cavity, which assists olfactory receptors, thereby causing scientists to believe these glands could play a greater role in connecting taste receptors with flavor.

Conditions Affecting Taste

When it comes to how the functions of Von Ebner and other glands can be disrupted, a person’s sense to taste can be greatly affected by a loss of saliva or a loss of tongue papillae, with the most common cause of such changes being dry mouth. These changes in the production of saliva are fairly common in senior patients and may even be the result of particular medications as well as neck or head radiation for cancer treatment. For those who suspect they’re suffering from such a condition, seek the assistance of an oral health care professional, who can help you develop a treatment plan for alleviating symptoms and maintaining strong oral health.

(01/25/2022)
by Wellness Dental Plan

More Information: https://www.wellnessdentalplan.com/blog/what-are-von-ebner-glands


Views: 956
Share