My BEST Dentists Journal

All Journal Entries
Share

7 Most Common Bite Problems in Children and Adults

Your bark may be worse than your bite, but your bite is a very important part of your oral health. In orthodontics, “bite” refers to the way upper and lower teeth come together. A bad bite, called a “malocclusion,” happens when teeth meet improperly, or they don’t meet at all. While each individual bite problem is unique, there are seven broad types of bite problems that are common in children and adults.

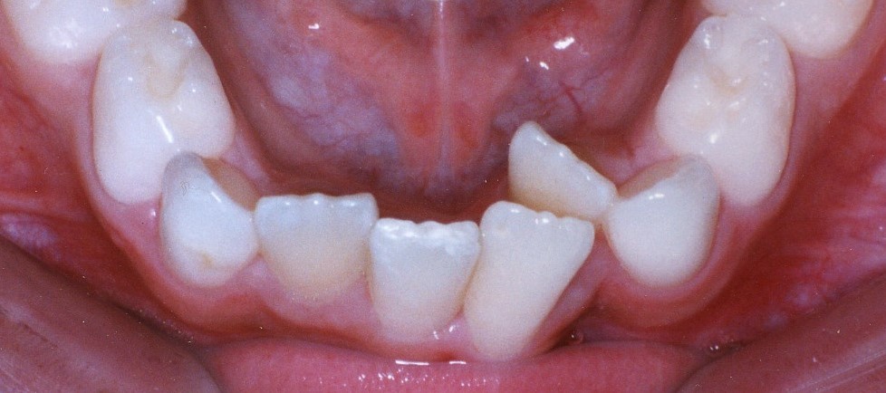
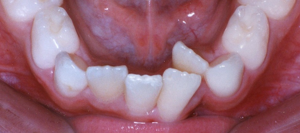
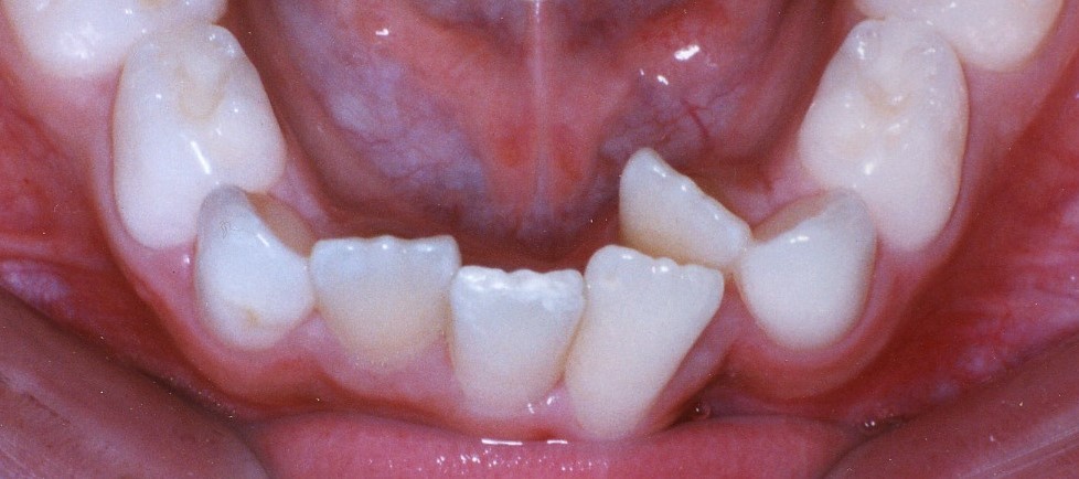
1. Crossbite

When upper teeth fit inside of lower teeth. Can be caused by misalignment of teeth (including baby teeth) or a misalignment of the bone; can affect a single tooth or groups of teeth.

Possible consequences if not corrected: The jaw shifts to one side; lopsided jaw growth; wearing down of outer layer of the tooth called “enamel”.

Posterior crossbite: If the back teeth are affected, upper teeth are to the inside of bottom teeth.

Anterior crossbite: If the front teeth are in crossbite, the top teeth are behind the bottom teeth.

2. Underbite

The lower jaw sits in front of the upper jaw.

Possible consequences if not corrected: Face has “bull dog” appearance; tooth wear; stress on jaw joints. 

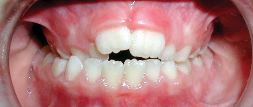
3. Open bite

Anterior open bite: Occurs when the back teeth are together, and the upper and lower front teeth do not overlap. This can result from excessive sucking, tongue thrusting or mouth breathing.

Posterior open bite: Occurs when the front teeth meet, but the back teeth do not.

Possible consequences if not corrected: Swallowing problems; tongue pushes through teeth when swallowing. Possible speech problems.

4.- Deep bite

When the bite is closed, the upper front teeth cover the bottom teeth too much.

Possible consequences if not corrected: Upper teeth can bite into lower gums; lower teeth can bite into the roof of the mouth. Possible gum disease, early enamel wear.

5. Crowding

Insufficient space for the teeth. This can be a result of big teeth or inadequate space in the jaw or both. This may result in teeth that overlap, are rotated, or take on a crooked/staggered appearance.

Possible consequences if not corrected: Hard to clean; possible cavities, especially in between the teeth; gum disease. 

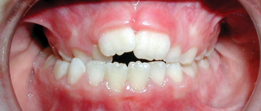
6. Spacing

Too much space between teeth. It can result from missing teeth, undersized teeth, oversized jaws, or a combination of these conditions.

Possible consequences if not corrected: Food gets stuck in open areas. Possible cavities, gum disease. 

7. Protrusion

Front teeth that stick out (“buck” teeth). Teeth may appear protrusive because the upper jaw is too far forward, the lower jaw is too far back, the teeth grew in at an angle, or a combination of these conditions. Sometimes people who have protrusive front teeth also have a deep bite.

Possible consequences if not corrected: Upper teeth are prone to accidental breaking; hard to comfortably close the mouth and lips, leading to dried out oral tissues followed by tooth decay. Speech problems. Long, narrow face.

If you suspect that you or a loved one has one of the seven common bite problems, an AAO (American Association of Orthodontists) orthodontist can help. Parents – there’s no need to wait until your child has lost all her baby teeth before you consult an orthodontist. It’s fine to talk to an orthodontist as soon as you think you see a problem in your child.

(01/16/2021)
by AAO

More Information: https://www.mybestdentists.com/resources/AmericanAssociationofOrthodon

Views: 2,854
Share


My BEST Dentists Journal Headlines