My BEST Dentists Journal

All Journal Entries
Share

Abrasion In Your Mouth Can Cause Serious Issues

One of the most common types of dental conditions that can sometimes require a surgical procedure and that other times might not require a serious dental procedure is a dental abrasion.

What Is a Dental Abrasion?

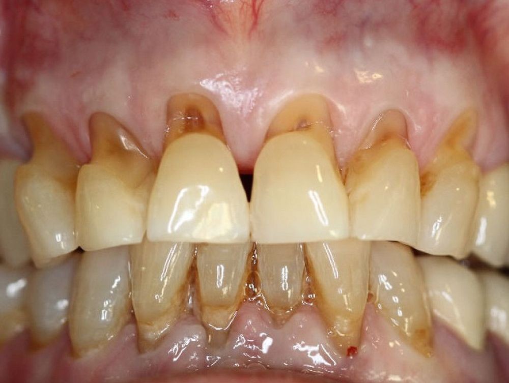
A dental abrasion refers to the loss of a tooth structure due to outside forces. Basically, a dental abrasion is when the tooth’s enamel begins to wear away. The enamel is the hardest part of the tooth, and it covers the dentin. In fact, the enamel’s hard shell is the toughest part of the human body, but that doesn’t mean that it isn’t subject to abrasion. It can crack and chip. It’s important the individuals attempt to preserve their enamel and keep from developing an abrasion on it because once enamel is gone, it cannot be recovered.

This is because enamel has no living cells, and, therefore, the body cannot regenerate it. The enamel is essential because it helps protect the teeth from daily activities such as chewing, biting, grinding and crunching. It also helps protect the teeth from chemicals and potentially painful temperatures.

Causes of a Dental Abrasion

The most common causes of a dental abrasion are due to brushing the teeth too vigorously, improperly flossing the teeth, chewing tobacco and biting down on hard objects like fingernails, bottle caps, pens and more. Other causes of dental abrasions include frequently using toothpicks and frequently removing and setting any dental appliances inside the mouth. Usually, the teeth that are most often affected by dental abrasions are the canines and premolars. As a result of dental abrasion, the teeth might become more sensitive to hot and cold temperatures as well as sweet or acidic foods and drinks. If the dentin underneath the enamel is exposed, then the pain could be increased since the dentin is where the nerves and blood vessels of the tooth reside.

Signs and Symptoms of a Dental Abrasion

There are a couple of different ways to determine whether or not you have a dental abrasion on one or more of your teeth. The way that many dentists check for dental abrasions is by holding a light up to the teeth. Because enamel is translucent, light can be seen through it. The way that individuals can check for dental abrasion on their own is by examining their teeth and looking for any signs of V-shapes on the teeth that can indicate excessive pressure during brushing. Abrasions are visible on the cervical necks of the teeth, and they look like deep ridges. Instead of having the carious appearance that enamel usually has, it will have a shiny appearance, which indicates that some of the dentin is exposed. In some severe cases of dental abrasion, sometimes the ridge is even deep enough to see the pulp of the tooth itself.

Treatment For A Dental Abrasion.

In minor cases of dental abrasions, dentists will usually simply recommend that patients change their oral habits. This might consist of making sure that they don’t bite down on hard objects and that patients use a soft brush toothbrush rather than a medium or hard one. Dentists will also likely recommend that patients brush their teeth gently and that they brush in vertical motions rather than horizontal ones. Additionally, they might instruct you on the proper way to use dental floss and toothpicks to avoid worsening the abrasion.

Other types of treatment might include prescription fluoride gels, or if the enamel needs restoration, they might treat the tooth with composites or glass ionomers. For particularly severe abrasions where the pulp of the tooth is exposed and the patient is in severe pain, a root canal might be necessary.

(09/18/2021)
by Dentist 24 Hourly

More Information: https://dentist.24hourly.com/dental-abrasion/

Views: 688
Share


My BEST Dentists Journal Headlines