My BEST Dentists Journal

All Journal Entries
Share

All About Osteosarcoma of the Jaw

Before discussing what osteosarcoma of the jaw is, it may be helpful to explain what sarcoma is in general. Sarcoma is a type of cancer that affects the body's connective tissues—the bones, cartilage, muscles, tendons, ligaments, fat, skin, nerves and blood vessels. This malignancy most commonly occurs in soft tissues, but it can also develop within the bones; when this happens, it’s referred to as "osteosarcoma" or "osteogenic sarcoma."

Although osteosarcoma can affect any bone in the body, it most commonly develops in the upper arm bone (humerus), the thigh bone (femur) and the shin bone (tibia). However, approximately 6% to 7% of osteosarcoma cases occur in the jawbone.

Jaw osteosarcoma tends to behave differently than other sarcomas. For example, when compared to osteosarcoma in longer bones, jaw osteosarcoma generally:

Develops 10 to 20 years later in life

Is less likely to spread (metastasize) to distant areas of the body

Produces higher survival rates

As such, it's important to look at jaw osteosarcoma on its own. Below, we explore causes, risk factors, symptoms and treatment options.

Jaw osteosarcoma causes and risk factors

Researchers are still working to determine precisely what causes osteosarcoma of the jaw (as well as osteosarcoma in general). However, studies suggest that the following factors may all increase a person's risk of developing jaw osteosarcoma:

Exposure to ionizing radiation and/or chromic oxide (a radioactive scanning agent)

Paget's disease

Fibrous dysplasia

Certain genetic mutations

It's important to note that while rapid bone growth is commonly considered to be a risk factor for certain other types of osteosarcoma, it’s likely not a major risk factor for jaw osteosarcoma. This is because osteosarcoma of the jaw often develops 10 to 20 years after adolescence (when growth spurts often occur), suggesting that there’s not a strong connection between jaw osteosarcoma and sudden bone growth.

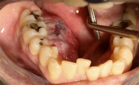
Jaw osteosarcoma symptoms

Individuals with osteosarcoma of the jaw most commonly complain of swelling (this is different than with long bone osteosarcoma, where the most common complaint is bone pain during activity). Other osteosarcoma of the jaw symptoms may include:

Pain

Tingling (paresthesia)

Ulcerations

Jaw osteosarcoma treatment

The course of treatment recommended for osteosarcoma of the jaw will vary from one patient to another. With that being said, physicians often recommend surgically removing the cancer from the jawbone. Because the jawbone is considerably more delicate and complex than longer bones in the body, jaw osteosarcoma surgery can be particularly challenging. Treatment for osteosarcoma of the jaw may also involve chemotherapy and/or radiation therapy.

Where to go for jaw osteosarcoma diagnosis and treatment

If you’re concerned that you might have osteosarcoma of the jaw, it’s important to promptly consult with a physician, since early detection and treatment can improve outcomes and quality of life. You can rely on Moffitt Cancer Center for prompt jaw osteosarcoma diagnosis and the most innovative types treatment. Our multispecialty team has extensive experience treating various types of osteosarcoma—including jaw osteosarcoma—and you can trust that we’ll provide you with a highly individualized treatment experience, start to finish.

(08/26/2024)
by Moffitt Cancer Center

More Information: https://www.moffitt.org/cancers/sarcoma/faqs/about-osteosarcoma-of-the-jaw/

Views: 449
Share


My BEST Dentists Journal Headlines