My BEST Dentists Journal

All Journal Entries
Share

Best Effective Natural Cure for Swollen Gums

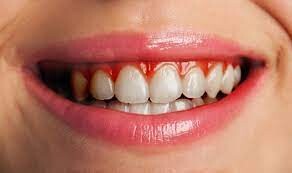
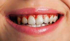
Do your gums bleed while brushing and flossing your teeth? Do you have swollen or inflamed gums? If yes, then you may have a condition known as gingivitis or gingival swelling. You possibly often experienced much discomfort and ache that makes your life like hell. Ingesting meal even drinking slightly cool water delivers shudders downs the spine due to the swelling in your gums.

In order to minimize the discomfort and swelling, there are certain remedies that can help. But before you know the natural cures of swollen gums, here are some most common symptoms include:

Swollen and red gums.

Bleeding of the gums.

Pain in gums.

Gaps increases between the gums and teeth.

Bad breath.

Here you have a couple of most effective and easy natural remedies that can soothe your swollen gums.

Salt Water

Saltwater is the most commonly used natural cure for oral issues. It helps to neutralize your mouth’s pH and soothes swollen gums. Hence, it might help minimize swelling around the gums.

However, many scientific pieces of research are required to determine the effect of this solution on gingivitis. Take one tablespoon of salt and dissolve it into a glass of warm water. Rinse the mouth with salt water for three to five minutes and spit the solution out. You can swish your mouth twice a day or after having the meals.

Clove Oil

Clove oil is also a traditional cure that is frequently used to treat inflamed gums. Because clove has analgesic, antibacterial, and anti-inflammatory properties that can assist you in reducing swelling as well as infection around the gums. Take two to three drops of clove oil and apply it on the swollen gums with a gentle massage after massage leaves it on gums. You can also add black pepper with clove oil in order to decrease pain and inflammation.

Ginger

Ginger is another most effective natural remedy for swollen gums. It also possesses antifungal, anti-inflammatory, antibacterial, and antioxidant properties that can assist in reducing the swelling in the gums. Take a small piece of ginger and mash it. When it comes in the form of a paste, add the salt in order to get a coarse paste. After then rub the paste on the swollen parts of the gums. Leave it on the gums for at least 10 to 15 minutes. Then wash your mouth with normal water. Other than these, you can also use oils of tea tree, peppermint, and chamomile. It can also soothe your discomfort gums. Peppermint and tea tree oils have strong antimicrobial properties.

On the other hand, chamomile oil soothes the redness and swollen as well as reduce the pain in gums. Without investing hundreds of dollars, you can easily treat your swollen gums at home!

(11/24/2021)
by Arlington Endodontics

More Information: https://arlington-endodontics.com/best-effective-natural-cure-for-swollen-gums/

Views: 797
Share


My BEST Dentists Journal Headlines