My BEST Dentists Journal

All Journal Entries
Share

Bruxism: monitoring and treatment to avoid dental issues

If your dentist suspects that you have bruxism, he or she tries to determine its cause by asking questions about your general dental health, medications, daily routines and sleep habits.

To evaluate the extent of bruxism, your dentist may check for:

Tenderness in your jaw muscles

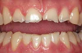
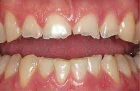
Obvious dental abnormalities, such as broken or missing teeth

Other damage to your teeth, the underlying bone and the inside of your cheeks, usually with the help of X-rays

A dental exam may detect other disorders that can cause similar jaw or ear pain, such as temporomandibular joint (TMJ) disorders, other dental problems or health conditions.

Referral

If your bruxism seems to be related to major sleep issues, your doctor may recommend a sleep medicine specialist. A sleep medicine specialist can conduct more tests, such as a sleep study that will assess for episodes of teeth grinding and determine if you have sleep apnea or other sleep disorders.

If anxiety or other psychological issues seem related to your teeth grinding, you may be referred to a licensed therapist or counselor.

Treatment

In many cases, treatment isn't necessary. Many kids outgrow bruxism without treatment, and many adults don't grind or clench their teeth badly enough to require therapy. However, if the problem is severe, options include certain dental approaches, therapies and medications to prevent more tooth damage and relieve jaw pain or discomfort.

Talk with your dentist or doctor to find out which option may work best for you.

Dental approaches

If you or your child has bruxism, your doctor may suggest ways to preserve or improve your teeth. Although these methods may prevent or correct the wear to your teeth, they may not stop the bruxism:

Splints and mouth guards. These are designed to keep teeth separated to avoid the damage caused by clenching and grinding. They can be constructed of hard acrylic or soft materials and fit over your upper or lower teeth.

Dental correction. In severe cases — when tooth wear has led to sensitivity or the inability to chew properly — your dentist may need to reshape the chewing surfaces of your teeth or use crowns to repair the damage.

Other approaches

One or more of these approaches may help relieve bruxism:

Stress or anxiety management. If you grind your teeth because of stress, you may be able to prevent the problem by learning strategies that promote relaxation, such as meditation. If the bruxism is related to anxiety, advice from a licensed therapist or counselor may help.

Behavior change. Once you discover that you have bruxism, you may be able to change the behavior by practicing proper mouth and jaw position. Ask your dentist to show you the best position for your mouth and jaw.

Biofeedback. If you're having a hard time changing your habits, you may benefit from biofeedback, a method that uses monitoring procedures and equipment to teach you to control muscle activity in your jaw.

Medications

In general, medications aren't very effective for treatment of bruxism, and more research is needed to determine their effectiveness. Examples of medications that may be used for bruxism include:

Muscle relaxants. In some cases, your doctor may suggest taking a muscle relaxant before bedtime, for a short period of time.

Botox injections. Injections of Botox, a form of botulinum toxin, may help some people with severe bruxism who don't respond to other treatments.

Medication for anxiety or stress. Your doctor may recommend short-term use of antidepressants or anti-anxiety medications to help you deal with stress or other emotional issues that may be causing your bruxism.

Treating associated disorders

Treatment for associated disorders may include:

Medications. If you develop bruxism as a side effect of a drug, your doctor may change your medication or prescribe a different one.

Sleep-related disorders. Addressing sleep-related disorders such as sleep apnea may improve sleep bruxism.

Medical conditions. If an underlying medical condition, such as gastroesophageal reflux disease (GERD), is identified as the cause, treating this condition may improve bruxism.

These self-care steps may prevent or help treat bruxism:

Reduce stress. Listening to music, taking a warm bath or exercising can help you relax and may reduce your risk of developing bruxism.

Avoid stimulating substances in the evening. Don't drink caffeinated coffee or caffeinated tea after dinner and avoid alcohol during the evening, as they may worsen bruxism.

Practice good sleep habits. Getting a good night's sleep, which may include treatment for sleep problems, may help reduce bruxism.

Talk to your sleep partner. If you have a sleeping partner, ask him or her to be aware of any grinding or clicking sounds that you might make while sleeping so you can report this to your dentist or doctor.

Schedule regular dental exams. Dental exams are the best way to identify bruxism. Your dentist can spot signs of bruxism in your mouth and jaw during regular visits and exams.

(06/09/2021)
by Mayo Clinic

More Information: https://www.mayoclinic.org/diseases-conditions/bruxism/diagnosis-treatment/drc-20356100

Views: 921
Share


My BEST Dentists Journal Headlines