My BEST Dentists Journal

All Journal Entries
Share

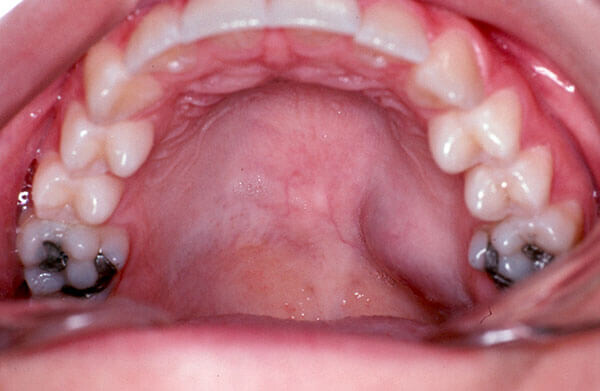
Bump on the Roof of the Mouth: 8 Causes And What to Do

A bump on the roof of the mouth can be related to many conditions, like torus platinus, cancer sores or a mucocele. They are often not of concern and do not require any specific treatment. They can emerge for other reasons, however like pemphigus vulgaris or cancer, which are considered to be more serious and require urgent medical attention  

Bumps on the roof of the mouth can occur with symptoms like pain, discomfort, wounds or blisters, and in some cases, bleeding. Wounds may also appear on other parts of the mouth, like the cheeks, hums, lips, tongue or throat. 

Most times, it is not a clinical concern and often disappears on its own. However if the bump bleeds or persists over time, you should see your family doctor or dentist for further assessment. He or she will confirm a diagnosis and initiate treatment as appropriate with medications, laser therapy or surgery.  

The main causes for a bump on the roof of the mouth are: 

1. Oral cancer 

Oral cancer is one of the most common causes of a bump on the upper palate of the mouth. In addition to presenting with bumps, oral cancer can also cause wounds, red rashes in the oral cavity that do not heal, sore throat, difficulty chewing, bad breath and sudden weight loss.

Oral cancer is more frequent in men over 45 that excessively smoke or drink alcohol. It can also occur in men who wear ill-fitting dentures or do not maintain adequate hygiene. This type of cancer is usually not painful in its initial stages, but if left untreated, it can quickly become fatal.  

What to do: If you notice any signs and symptoms of oral cancer, you should see your family doctor or dentist immediately to confirm a diagnosis. Treatment for oral cancer usually involves removal of any tumors followed by chemotherapy or radiation therapy. 

2. Torus platinus 

Torus platinus is an overgrowth of the bone in the roof of the mouth. It causes a hard lump, that can be smooth or rough to the touch. This bone can grow slowly throughout the lifetime, and can interfere with biting or chewing.

Torus platinus is not painful nor serious, however overgrowth can cause discomfort.

What to do: If a bump is noted at the roof of the mouth, you should see a family doctor or dentist to confirm a diagnosis and to assess whether surgical removal is required. 

3. Canker sores 

Canker sores are blisters or wounds that can appear on the mouth, lips, gums, cheeks, tongue or throat. They are light in color, oval-shaped and less than 1 cm in diameter. They can cause symptoms like discomfort and difficulty eating or speaking. 

Canker sores can occur for many reasons, like stress, auto-immune disease, changes in mouth pH or vitamin deficiency. Read more about the causes of canker sores and what you can do to treat them.

What to do: Generally, canker sores disappear on their own within 5 to 10 days. However, if your canker sore is painful or persists for longer, you should see a dentist or family doctor to identify the underlying cause and initiate the most appropriate treatment. The doctor may opt to prescribe topical ointments, like anti-inflammatories, anesthetics or antiseptics. 

To relieve pain and inflammation at home, you can gargle warm water with salt 3 times per day, or suck on an ice cube. You should also avoid eating acidic food when healing a canker sore, like kiwi, tomato and avocado, as acid can aggravate the wound and cause more pain. Check out other tips for getting rid of canker sores naturally.

4. Mucocele

A mucocele is a benign mucus cyst that usually occurs due to a blocked salivary gland or due to direct trauma to the area. These lumps can form on the roof of the mouth, the lips, tongue, or cheeks. They are usually round, rough, red and fluid-filled.What to do: If a bump is noted at the roof of the mouth, you should see a family doctor or dentist to confirm a diagnosis and to assess whether surgical removal is required. 

3. Canker sores 

Canker sores are blisters or wounds that can appear on the mouth, lips, gums, cheeks, tongue or throat. They are light in color, oval-shaped and less than 1 cm in diameter. They can cause symptoms like discomfort and difficulty eating or speaking. 

Canker sores can occur for many reasons, like stress, auto-immune disease, changes in mouth pH or vitamin deficiency. Read more about the causes of canker sores and what you can do to treat them.

What to do: Generally, canker sores disappear on their own within 5 to 10 days. However, if your canker sore is painful or persists for longer, you should see a dentist or family doctor to identify the underlying cause and initiate the most appropriate treatment. The doctor may opt to prescribe topical ointments, like anti-inflammatories, anesthetics or antiseptics. 

To relieve pain and inflammation at home, you can gargle warm water with salt 3 times per day, or suck on an ice cube. You should also avoid eating acidic food when healing a canker sore, like kiwi, tomato and avocado, as acid can aggravate the wound and cause more pain. Check out other tips for getting rid of canker sores naturally.

4. Mucocele

A mucocele is a benign mucus cyst that usually occurs due to a blocked salivary gland or due to direct trauma to the area. These lumps can form on the roof of the mouth, the lips, tongue, or cheeks. They are usually round, rough, red and fluid-filled.

A mucocele is not a serious health condition and generally does not cause any pain, unless it becomes wounded. Read more about what causes mucoceles and the symptoms associated with them.

What to do: The lump usually disappears on its own within a few days, and therefore does not require any treatment. If it continues to grow or persists for longer, the doctor may opt to perform a small procedure to remove the affected salivary gland. 

5. Pemphigus vulgaris 

Pemphigus vulgaris is a rare autoimmune disease that is characterized by the production of antibodies that destroy oral mucosa cells. It leads to the formation of painful blisters or wounds on the roof of the mouth that burn. Once the wounds heal, they scar tissue remains dark and persists for many months. 

At first, the blisters that to form in the mouth or throat are often thought to be canker sores. However, they start to spread to other areas with mucus membranes, like the nose, eyes, genital area, anus or esophagus. 

What to do: Pemphigus vulgaris is a serious illness that requires treatment. If you notice any early signs or symptoms of this disease, you should see a family doctor or dermatologist for start treatment. Treatment involves the use of corticosteroids, immunosuppressants, or antibiotics.

6. Gingival fibromatosis 

Gingival fibromatosis is the excessive growth of gum tissues that cause bumps on the roof of the mouth or anywhere within the mouth. 

This condition can be caused by poor dental hygiene or genetic factors.

What to do: You should see a dentist for assessment via a mouth x-ray. If confirmed, the dentist can indicate appropriate treatment, which may involve surgical removal of the overgrown scar tissue.

7. Oral squamous cell papilloma

Squamous cell papilloma is an infection caused by the human papillomavirus (HPV). It can cause a cauliflower-like bump or nodule on the roof of the mouth. These bumps can also grow on the cheeks, tongue or lips. They generally form slowly and are not painful. 

HPV is an infection transmitted through sexual contact. Having squamous cell papilloma can increase your risk for developing oral, neck or pharynx cancer. 

What to do: Treatment of oral squamous cell papilloma should be guided by a doctor or dentist, who may indicate laser therapy, surgery or medications, like acetic avid hydrocloride at 70 to 90% strength, or alpha-interferon.

8. Hyperdontia

Hyperdontia is the development of more teeth than average. It is usually noted in the upper palate of the mouth, and is characterized by a lump (a tooth) behind the front teeth or on the roof of the mouth. These extra teeth can cause extra symptoms like headache and facial or jaw pain.

What to do: You should see a dentist to diagnose the extra tooth with a dental xray. If necessary, the dentist may recommend surgical removal of the tooth. 

When to see the doctor 

You should see a doctor or dentist if you experience any of the following symptoms: 

Pain or discomfort that does not improve in 2 days

A wound that does not heal

Difficulty speaking or swallowing

Bleeding or foul odor from the bump

The emergence of more bumps, wounds or spots in the mouth

Increase in size 

It is very important to see a dentist or family doctor if the bump does not disappear on its own within a few days. The bump should be assessed to confirm a diagnosis. Once confirmed, treatment can be started, which can help to prevent further complications or worsening, like oral cancer.

(01/15/2024)
by Tua Saude

More Information: https://www.tuasaude.com/en/bump-on-roof-of-mouth/

Views: 747
Share


My BEST Dentists Journal Headlines