My BEST Dentists Journal

All Journal Entries
Share

Can Dental Implants be Done with Periodontal Disease?

Is it Possible to get Implants with Gum Disease?

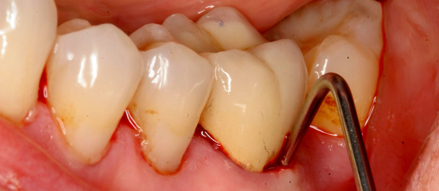
Yes. periodontal disease is loss of tooth supporting gum and bone tissue. It is an autoimmune disease of unknown or misunderstood origin. It is genetic and in most cases, when severe, it cannot be prevented or stopped. At least not until all your teeth are removed or they get loose and fall out. Gum disease is a disease of the connection between teeth and the jaw bone. This connection is called the periodontal ligament or “PDL.” Once the teeth are removed, the disease will go away since there is no longer a PDL. If the teeth are not removed, bone will continue to be lost. It can become difficult if not impossible to get dental implants once periodontal disease progresses and precious bone is lost.

Some conservative holistic dental treatments exist such as dental ozone and PRF dentistry. In cases of mild to moderate gum disease, helpful treatments include:

deep cleanings

removing amalgams with toxic mercury among other irritation metals. Copper, silver, tin are all corrosive metals in amalgam silver fillings.

Treating clenching and grinding problems. Heavy pressure on the gums leaves them chronically inflamed and causes recession. While teeth clenching will not cause gum disease, it will accelerate and fuel it.

If you clench your teeth and you have amalgam fillings, that is double trouble.

Replacing Teeth with Implants may be best if you have Severe Gum Disease

If you have severe gum disease, you will lose most of your jaw bone while your teeth get loose and fall out. There are treatments for periodontal disease, but many people will still lose their teeth after spending thousands of dollars on gum surgery that is not guaranteed to cure gum disease. You should consider removing your natural teeth and replacing them with implants before this happens. Act now while you still have enough bone for implants. This may seem like an aggressive action, but once the teeth are out, the disease process stops. The sooner you get the teeth out, the less bone the disease will destroy. Placing implants will preserve the remaining bone. And the dental implants will serve as a great teeth replacement option. Most people with severe periodontal disease will need to explore the options to replace all teeth with implants.

Periodontal disease usually will either severely damage all the teeth or just some of the teeth. The damage is done by way of severe bone loss to the point teeth get loose and fall out. The disease in the case of localized gum disease, is usually limited to the very front teeth and the first and second molars.

With Severe Gum Disease Removing Teeth and Replacing with Implants Prevents Further Bone Loss

In these cases of severe gum and periodontal disease, it is usually best to remove the teeth and replace them with permanent implant teeth. For the case of full mouth gum disease, it is best to remove all the natural teeth and replace them with full mouth implants before loss of valuable bone occurs. Full mouth implant options are generally two kinds:

full mouth dental implants such as All on 4 implants. Or it is possible to replace all the teeth with individual implants and small implant bridges.

Snap-on dentures

Your teeth play a vital role in your general well being. Our usual goal is to save your natural teeth at all costs. However, gum disease and periodontal disease weakens your teeth if proper cleaning and tooth brushing is not maintained. Teeth are held in position with the help of special natural fibers or ligaments. These periodontal ligaments surround your teeth from all sides and help in chewing and biting food. When gum disease starts, it can be stopped with the help of simple treatments. But if gum disease progresses and involves ligaments and lots of bone support around teeth, it is wiser to remove diseased teeth and place dental implants.

What is the importance of socket bone in the future success of dental implants?

Healthy socket bone is of prime importance for getting successful dental implants as replacements for natural teeth. It is the socket bone which will cover the dental implant and hold it for life. It is the socket bone which will make a biological connection and grows inside the spaces around dental implants. No periodontal ligaments are present around dental implants. Socket bone preservation will ensure future success of dental implants and restoration of your smiles, eating, chewing, biting and all functions of teeth. If you lose this important bone, you may never be able to get implants.

Should I Immediately remove my Teeth if I have periodontal disease?

If your dental health care provider examines your teeth and tells you that periodontal disease has progressed to the extent that its outcome is hopeless, then you should definitely opt for removal of such teeth. This is very important as diseased periodontal ligaments will start to damage the bone tissues around the diseased teeth and it will become difficult to get successful dental implants in future.

How should I get my diseased teeth removed for successful dental implants in future?

You should choose an expert dental implant surgeon with experience of dealing such cases. It is very important to save socket bone during removal of these hopeless teeth. Your implant surgeon should be careful and should have the knowledge to deal this situation. Teeth clenching can contribute to gum disease. How to stop jaw clenching?

How long should I wait for placement of dental implants after removal of periodontally compromised teeth?

It is best to go for immediate placement of dental implants (if at all possible) after removal of diseased teeth. No time should be wasted for preserving maximum quantity of socket bone for success of dental implants. However, if your implant surgeon feels that it is necessary to give some time for healing of disease, you must follow his instructions. Are implants possible after periodontal disease? Can someone with gum disease get implants? It all depends on if there is adequate healthy bone remaining.

Periodontal Health and Diet:

Diet is important in controlling periodontal disease because bacteria in your mouth use sugars for energy and reproduction. When oral hygiene is poor and the diet is high in sugar, there will be lots of growth of disease progressing bacteria. Stress is also a major factor. Stress + Sugar = lower acidity in the mouth and an increase in Gum Disease.

The human body needs vitamins and minerals to help regulate our metabolism. A diet high in fiber and fruits and vegetables will help reverse periodontal disease naturally. Essential Fatty Acids and Proteins provide the energy to help build vital cells. To reverse gum disease naturally, we to discipline ourselves to maintain healthier eating habits (stay away from processed foods) and keep stress to a minimum.

(09/03/2021)
by Dr Adams

More Information: https://marylandholisticdentist.com/dental-implants-after-periodontal-disease/

Views: 732
Share


My BEST Dentists Journal Headlines