My BEST Dentists Journal

All Journal Entries
Share

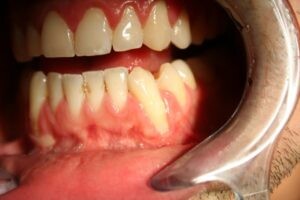
Can Receding Gums Grow Back?

If you’re experiencing shrinking gums or tooth sensitivity while brushing and flossing your teeth, it could be due to receding gums. Also called gum or gingival recession, receding gums can’t grow back, but there are ways to catch the problem early and prevent your gums from getting worse. This article will discuss the causes, symptoms, treatment and how to prevent receding gums.

What happens when gums recede?

Receding gums are best avoided for several good reasons. Gum recession can lead to tooth sensitivity and even affect your smile, but that’s not all. Your gums (or gingiva) are critical in protecting the bone that holds your teeth in place. If the gums begin to shrink away, tooth roots can be exposed. Tooth roots can be more easily worn away than enamel covered surfaces and are susceptible to decay.

Symptoms of gum recession

Gum recession can occur without any symptoms, so again, keeping up with your routine dental appointments is critical. Your dental professional will notice early signs, but if you do get gingival recession symptoms, the most common ones include:

Exposed tooth roots that cause sensitivity

Shrunken gums

Causes of gum recession

Gingival recession can be caused by various issues. Here are some of the most common ones:

Poor oral health: When bacteria in plaque (biofilm) builds between the gums and teeth, the gums surrounding the teeth can become inflamed. This inflammation, if left untreated, can result in deterioration of the gums and supporting bone structure. This then leads to gum recession and periodontal disease, a severe gum infection.

Overly aggressive brushing or flossing: It’s great to be enthusiastic about oral care, but make sure you’re gently brushing your teeth and not scrubbing too hard. Over-brushing can wear down the gum and cause damage and recession

Genetics: Sometimes dental issues are partly out of our control. If either of your parents has gingival recession, you may be at higher risk.

Abnormal tooth positioning: Having poorly aligned teeth or a misaligned bite can create undue friction on the area, causing localised gum recession.

Grinding and clenching your teeth: Also called bruxism, this habit can cause many dental issues, including gum recession. Like abnormal tooth positioning, the extra force exerted can wear down your gums due to tooth movement.

Hormonal changes: Women can go through several stages of dramatic hormone fluctuations in their lifetime, such as puberty, pregnancy, and menopause. Unfortunately, these natural life phases can make a woman more susceptible to gum disease and recession.

Trauma to gum tissue: Gum tissue may recede when a traumatic injury has occurred. Recession can appear at the site of the damage or close to it.

Tobacco: Smoking and tobacco use increases your risk of receding gums by increasing the likelihood of numerous dental issues - for several reasons. These include reducing saliva flow, which allows for more plaque to build up - and weakening the immune system, which slows down the tissue repair process.

Treatment options for receding gums

Many people wonder, 'can receding gums grow back?' But as we've mentioned, this isn't possible. Once your gum tissue has pulled back and away from your teeth, it’s gone for good. However, there are some options for managing gum recession, so see your dental professional for an evaluation to determine the cause of this problem. After an assessment, they can recommend the best course of treatment for your needs.

A dental professional may treat early signs of gum disease by performing a deep cleaning (aka root planing and scaling). This procedure cleans bacteria from the pockets between the gums and teeth, removing infection and giving the gums the chance to heal.

If you have a progressive, noticeable gum recession and are experiencing sensitivity, or you’re not happy with the appearance of your gums, your dentist may recommend a gum graft to replace the lost tissue. Gum grafting is a surgical procedure; it usually involves taking a small amount of tissue from one area, e.g., roof of the mouth, then transferring it to the area in need. This treatment is not possible for all areas of recession. Your dentist will be able to advise if this is an option for you.

Preventing further recession

Your dental professional can also teach you how to prevent further gum recession. They can recommend mitigation strategies, like adopting new oral care habits or quitting smoking. Alternatively, they could suggest wearing a mouthguard at night to protect your teeth when you grind or clench.

Good oral care habits can also prevent gingival recession. Always use a soft-bristled toothbrush and proper brushing techniques to help protect your teeth and gums. Although good oral care won’t correct your current gum recession, it is part of an oral hygiene program that can mitigate the chances of it worsening. And if receding gums are due to other concerns, such as crooked teeth or a misaligned bite, talk to your dental professional about solving this issue to help slow or stop the problem. For example, if your teeth are out of alignment, orthodontics could be the solution.

No one likes an oral health issue to take them by surprise. But while you can’t reverse receding gums, there are many ways to manage them or prevent them from becoming worse. Rest assured, your dental professional can recommend treatment based on the cause. So speak to your dental professional if you have any concerns – and keep up with your excellent oral care routine.

(12/22/2022)
by Colgate

More Information: https://www.colgate.com.au/oral-health/gum-disease/can-receding-gums-grow-back

Views: 567
Share


My BEST Dentists Journal Headlines