My BEST Dentists Journal

All Journal Entries
Share

Common Bite Problems that Affect Children and Adults

Bite problems (medically known as malocclusion) are more than just a cosmetic issue. Having upper and lower teeth that don’t align properly increases your risk of tooth decay, gum disease, and tooth damage. In some cases, bite problems can also cause painful chronic conditions, like TMJ disorder which lead to jaw pain, and interfere with a person’s ability to speak, breathe, or eat properly. If you think you have one of the bite issues outlined below, you should talk to the team at Davis Dental Care about your treatment options.

7 Bite Problems to Watch Out For

     1. Overbite

Over the last 250 years, overbite – a condition where the upper teeth cover part or all of the bottom teeth – has become increasingly common. The frequent use of baby bottles, soothers, and utensils, along with dietary changes that favour soft processed foods, have all contributed to the prevalence of overbite.

Though having a slight overbite isn’t necessarily harmful. Extreme overbites can lead to tooth damage, gum irritation and disease, early enamel loss, and a heightened risk of tooth decay. If your upper teeth cover most of your lower teeth, or your lower teeth contact the back of your upper teeth (or upper gums) when you close your mouth, your overbite is probably severe enough to require treatment.

     2. Underbite

Underbites are characterized by lower teeth that protrude and cover part of the upper teeth. Underbites are less common than overbites (affecting just 10% of the population), but they’re more likely to cause serious problems, such as difficulty speaking and chewing as well as cosmetically unpleasing due to facial imbalance. For this reason, most underbites are corrected during childhood.

 3. Crowding

Tooth crowding, like overbite, is related to evolutionary changes in human facial shape. Over the last 10,000 years, our jaws have gotten progressively smaller, owing to the advent of agriculture. (Grains are much easier to bite and chew than meat and fibrous plants, so we no longer need large, strong jaws to survive.) Unfortunately, our slender modern jawlines can’t always accommodate all 32 of our teeth, which leads to tooth crowding. This change in jaw size is the reason why most modern humans need to have their wisdom teeth removed, whereas prehistoric humans did not. Left untreated, tooth crowding dramatically increases the risk of tooth decay and gum disease because it makes the teeth very hard to clean properly. If your teeth appear crooked or overlap one another, having them aligned will help you avoid painful cavities/gum disease and early tooth loss.

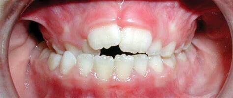
     4. Open Bite

When a person has an open bite, their upper and lower teeth don’t wholly connect when their mouth is closed. Open bites can be caused by genetics, or by bad habits, like excessive thumb sucking in childhood. Open bites contribute to chewing difficulties and frequently create speech impediments, like lisping, so this condition should be treated as soon as it becomes evident.

     5. Crossbite

A crossbite is a genetic condition wherein one or more upper teeth “cross” backwards to sit behind the lower teeth. (This condition is different from an underbite, which involves the protrusion of the lower jaw.) In severe cases, having a crossbite makes closing the mouth difficult. It can also cause significant cosmetic, speech, chewing problems, as well as cheek biting

     6. Spacing (gaps)

Significant gaps between teeth trap food particles and plaque, in addition to being an unsightly cosmetic problem. Closing these gaps is, therefore, recommended to prevent tooth decay.

     7. Protrusion

Informally known as “buck teeth,” protrusion occurs when the front teeth just forward at an unnaturally sharp angle. Unlike overbite, protrusion affects the front incisors, not the entire upper row of teeth. As a result, a protrusion is often more visible than a moderate overbite and may cause significant embarrassment. Protruding front teeth can press into the lips, resulting in chronic irritation and increasing the likelihood of lip injury during accidents. Front teeth that protrude are also more susceptible to cracks, chips, and more severe breakage. Other problems related to tooth protrusion include oral dryness (which contributes to gum disease), speech issues, and unwanted changes in facial shape. (Buck teeth can give the face a long, narrow appearance.)

Can Bite Problems Be Corrected in Adulthood?

One of the most common misconceptions people have about braces (and other orthodontic treatments) is the idea that they’re only active while the mouth and jaw are still growing. Though it’s true that treating malocclusion early in life is more manageable and prevents complications in adulthood, bite alignment can be corrected at any age, as long as you have a healthy set of teeth. Thanks to modern advancements like Invisalign, you may not even need visible braces to align your teeth properly. To find the best orthodontic solution for your teeth, contact Davis Dental Care in Newmarket – we’ll be happy to help you achieve a healthy, beautiful smile. Bite problems (medically known as malocclusion) are more than just a cosmetic issue. Having upper and lower teeth that don’t align properly increases your risk of tooth decay, gum disease, and tooth damage. In some cases, bite problems can also cause painful chronic conditions, like TMJ disorder which lead to jaw pain, and interfere with a person’s ability to speak, breathe, or eat properly. If you think you have one of the bite issues outlined below, you should talk to the team at Davis Dental Care about your treatment options.

(08/19/2024)
by Davis Dental Care

More Information: https://davisdentalcarenewmarket.com/7-common-bite-problems-that-affect-children-and-adults/

Views: 284
Share


My BEST Dentists Journal Headlines