My BEST Dentists Journal

All Journal Entries
Share

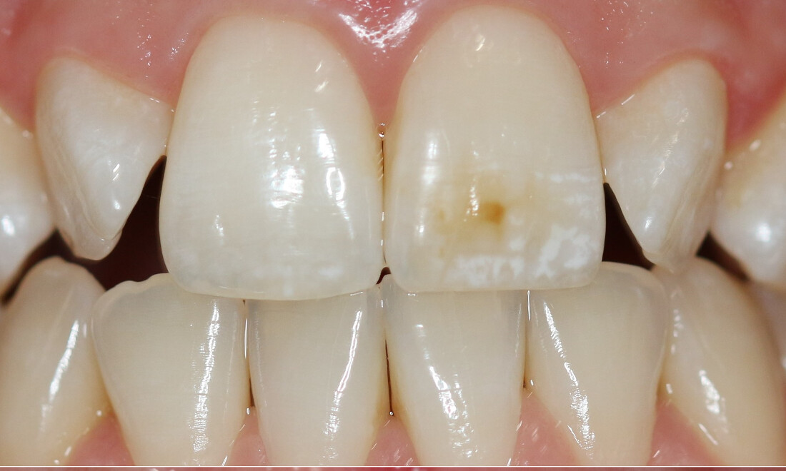
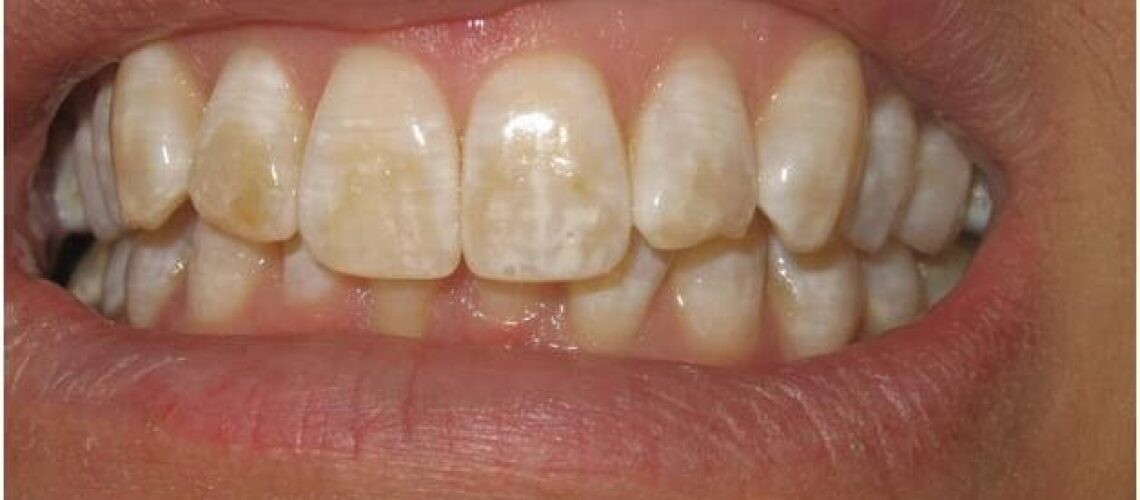
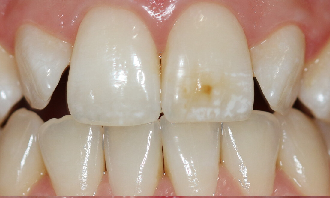
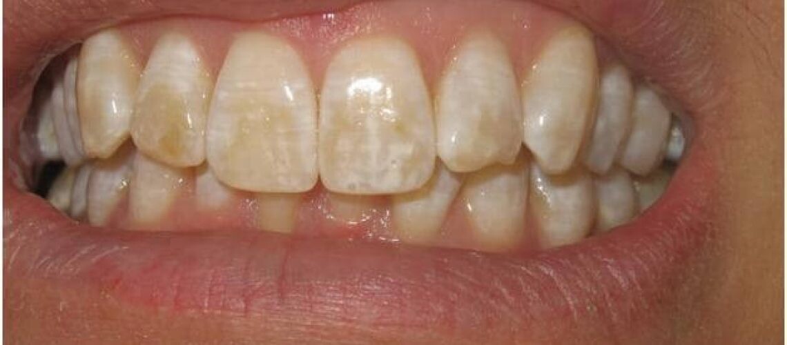
Common Causes of Brown Spots On Teeth

There’s nothing like a bright, sparkling smile—but sometimes, brown spots on our teeth appear that can be a cause for concern. Luckily, there’s plenty you can do to fix them. From tartar buildup to medical conditions, we’ll look at the reasons behind the discoloration and what you and your dental professional can do to get your smile back to a glistening and bright shade.

Common Causes of Brown Spots On Teeth

 

Decay

Sometimes, brown spots can be a sign of tooth decay, which develops from eating an excess of sugary and starchy foods, as well as sugary drinks. These foods and beverages create plaque that sticks to the tooth’s surface and damages it over time. And if you’re not brushing twice a day and cleaning between your teeth daily, the plaque can stay on your tooth, destroy your enamel, and turn it brown. These brown spots may also come from the dentin underneath, which has a naturally darker shade when exposed by worn enamel.

Tartar

Here’s a term that gets thrown around a lot: tartar. But what is it? When plaque builds up on teeth, it hardens into a substance called tartar, which is often a yellow or brown color. Tartar often appears along the gumline and in between your teeth, and regular brushing with toothpaste doesn't remove it. That’s why brushing twice daily to get rid of plaque in the first place plays an essential role in preventing brown spots.

Fluorosis

We know that fluoride is supposed to help protect our teeth from decay: but did you know that too much fluoride in the body, especially in children, discolors the tooth enamel? When you experience excessive fluoride intake, you might develop fluorosis. Permanent white lines or streaks often indicate mild fluorosis, whereas brown, gray, or black patches and pits, typically on top of an irregular tooth surface, represent more severe fluorosis. Although the teeth may look damaged, fluorosis is, in fact, only a cosmetic condition. Unless another condition has caused decay, they're perfectly healthy.

Celiac Disease

According to the American Dental Association, the tooth enamel of those who have Celiac disease is often poorly developed. White, yellow, and brown spots or bands may appear, and the enamel may be translucent. Because the effects are permanent, sufferers frequently opt for restorations to cover the condition.

Other Conditions

High fevers and dental traumas can cause brown marks on teeth, and, albeit rarely, the bones and skull’s developmental conditions have the same effect. According to the Cleveland Clinic, aging can also wear away the enamel on your teeth, revealing the darker-colored dentin beneath. Plus, while lifestyle habits like alcohol and tobacco use may not cause defined spots, they can lead to brown staining and discoloration. Further, the use of antibiotics in the tetracycline family can cause staining of the teeth, which is why they're not used by pregnant women or in children whose permanent teeth are still developing. Some mouthwashes, like the prescription antiseptic mouthrinse chlorhexidine gluconate, may also cause staining.

Prevention and Treatment

If your teeth have brown spots, ask your dental professional for a checkup. The earlier you find the cause, the better the outcome for your oral health. For at-home care, your best bet is to work on your daily oral health habits. To maintain the healthiest smile possible, be sure to brush twice daily with fluoride toothpaste and a soft-bristle toothbrush. Also, clean between your teeth daily with floss, water flossers, or another interdental cleaning device. Together, these steps create a better environment for healthy teeth. It’s also worth exploring other whitening techniques if your dental professional thinks it will benefit your teeth’s color.

It’s no fun to notice a brown stain or spot on your teeth, and it might cause you to feel self-conscious. But luckily, there are ways to fight these pesky stains, as well as cosmetic solutions. Everyone deserves a sparkling and white smile, and there’s no reason you shouldn’t have one. The sooner you chat with your dental professional, the sooner you’ll be on track to having a bright, white, shining smile.

(04/11/2022)
by Colgate

More Information: https://www.colgate.com/en-us/oral-health/adult-oral-care/brown-spots-on-teeth-causes

Views: 708
Share


My BEST Dentists Journal Headlines