My BEST Dentists Journal

All Journal Entries
Share

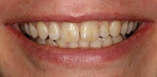
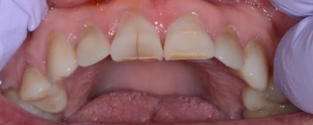
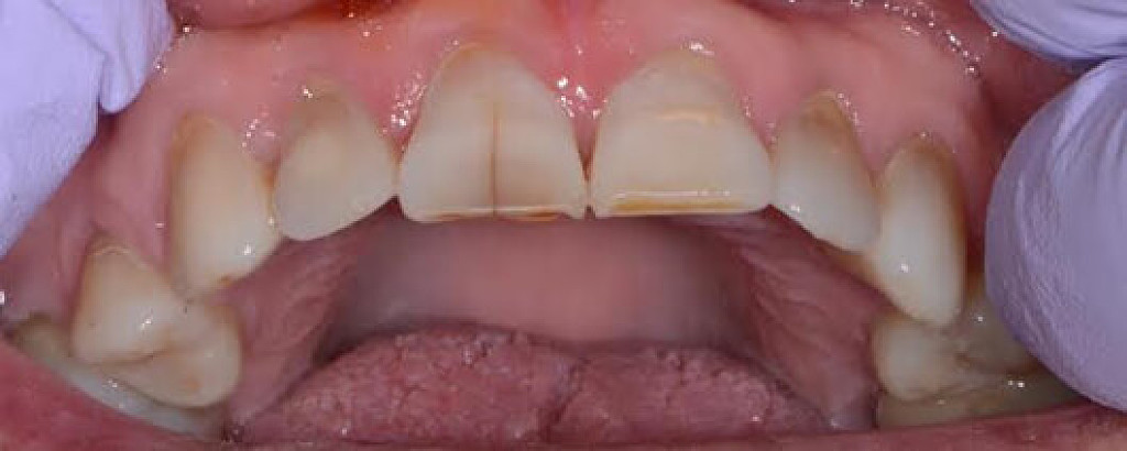
Craze Lines on Your Teeth Making You Crazy?

If you suddenly see tiny lines or cracks on your enamel, it’s normal to feel worried. You might think they're a sign of something much more serious. But it’s important to know that these cracks, known as craze lines, are most likely only causing aesthetic problems. Find out what causes craze lines on your teeth and if there’s a way to fix them.

Causes of Craze Lines

Craze lines are multiple tiny cracks that only impact the outer enamel. They can occur on the front or back teeth but are more noticeable if they appear on your front ones.

So what causes them? They’re typically caused by years of chewing and regular wear and tear of teeth. Some seminal studies also connect their occurrence with other habits or conditions like biting nails or bruxism. Bruxism is the grinding, gnashing, or clenching of teeth. It can cause many problems, including the wearing down of enamel.

Effects on Dental Health

The AAE notes that craze lines are very common in adult teeth and typically are shallow and cause no pain. They are usually only a cosmetic concern.

That said, if the cracks do extend beyond the enamel, you should seek treatment immediately. A cracked tooth will often cause tooth sensitivity and, if untreated, may result in tooth extraction. Your dentist will help you figure out if the cracks are craze lines that are only impacting your enamel.

Prevention and Treatment of Craze Lines

How do you prevent getting craze lines? Unfortunately, craze lines may happen naturally as you get older. That said if they’re being caused by another habit or behavior, like bruxing, addressing that issue can help ensure you don’t get any more craze lines. For instance, using a night guard can prevent you from grinding your teeth at night.

How do you fix the craze lines in your teeth? If the appearance of your craze lines is bothering you, one solution is to get veneers. Veneers can restore chips, cracks, or an uneven appearance and make your teeth look youthful again.

While the sudden appearance of craze lines on your teeth may be unsettling, they are most likely just a cosmetic concern. Consult with your dentist to ensure that the cracks don’t go beyond your enamel, and remember, whether or not you decide to get veneers, your smile is still beautiful!

 

(07/17/2021)
by Colgate

More Information: https://www.colgate.com/en-us/oral-health/mouth-and-teeth-anatomy/craze-lines-making-you-crazy--here-s-what-you-need-to-know

Views: 1,156
Share


My BEST Dentists Journal Headlines