My BEST Dentists Journal

All Journal Entries
Share

Dealing With The Dreaded Gingivitis

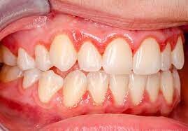
While in the dentist office for cleanings or other necessary appointments, gingivitis may be a word that that you hear thrown around frequently. Gingivitis is a form of gum disease, that causes irritated and inflamed gums. Gingivitis is common, and treatable by your dental professional. This form of gum disease is so common, that in the United States alone, there are roughly more than 200,000 cases.

Gingivitis is usually caused by plaque, debris and bacteria that form on the teeth and soft tissues. Without maintaining your oral hygiene, the best you can, you risk irritating the soft tissue of the mouth. Because gingivitis and gum disease is so common, patients tend to not think of the risk factors that come along with this disease.

Gum disease is a DISEASE. It is a serious thing and needs to be thought of as such. Gum disease is typically overlooked because patients tend to associate red gums or bleeding gums as brushing and flossing too vigorously. In reality, not taking care of your gum disease can cause other issues within the body.

The oral cavity is very susceptible to bacteria growth and diseases because it is a warm place where bacteria thrive. When bacteria are left, infection and disease can arise, infiltrating the soft tissue and entering the blood stream. Once the infection enters the blood, you risk having infection occurring in other parts of the body. It is also important to realize that gum disease has been linked to diabetes and heart disease, so it should be treated immediately.

Whether you’re suffering from gingivitis or periodontal disease, you need to seek immediate attention from your dental professional. Do not let your signs and symptoms go to the wayside. When caught early, your doctor and their skilled team will be able to effectively treat your gum disease and help you with your oral health.

Contact your dentist if you are experiencing any inflammation of the gums, abnormal redness and bleeding. These may be signs of gingivitis. Schedule an appointment for your routine checkups and ensure you take care of your oral health.

(11/17/2021)
by Rebecca Bork DDS, PA

More Information: https://www.drbork.com/dealing-with-the-dreaded-gingivitis/

Views: 665
Share


My BEST Dentists Journal Headlines