My BEST Dentists Journal

All Journal Entries
Share

Dental Biofilm and Oral Health Issues

Your mouth is teeming with bacteria. Many of these bacteria are good and essential not just to your oral health but your systemic health. There are bad bacteria, as well. If bad bacteria are left undisturbed, they can organize into colonies known as biofilm. These communities are complex and effective, and they can lead to gum disease, tooth decay, and a wide range of other oral health issues.

The formation of biofilm is not instant. This is a process that takes about 24 hours, which is why the American Dental Association recommends flossing at least once a day, and the American Academy of Periodontology advises flossing whenever you brush, which you should do twice a day. During this 24-hour formation, the bacteria goes through three distinct phases:

Planktonic—This is the period in which individual bacteria are attracted to an oral surface.

Biofilm—This is the phase where oral bacteria on the same surface form communities.

Dispersion—At this point, the biofilm is fully realized and spreading to infect elsewhere.

Why Is Dental Biofilm Bad?

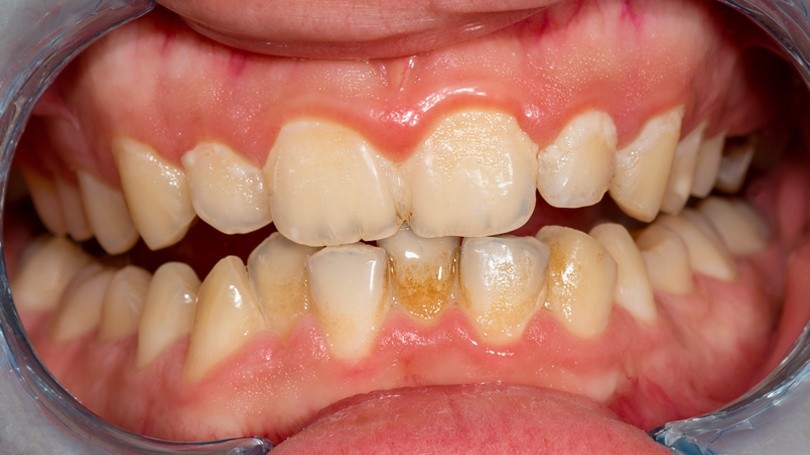
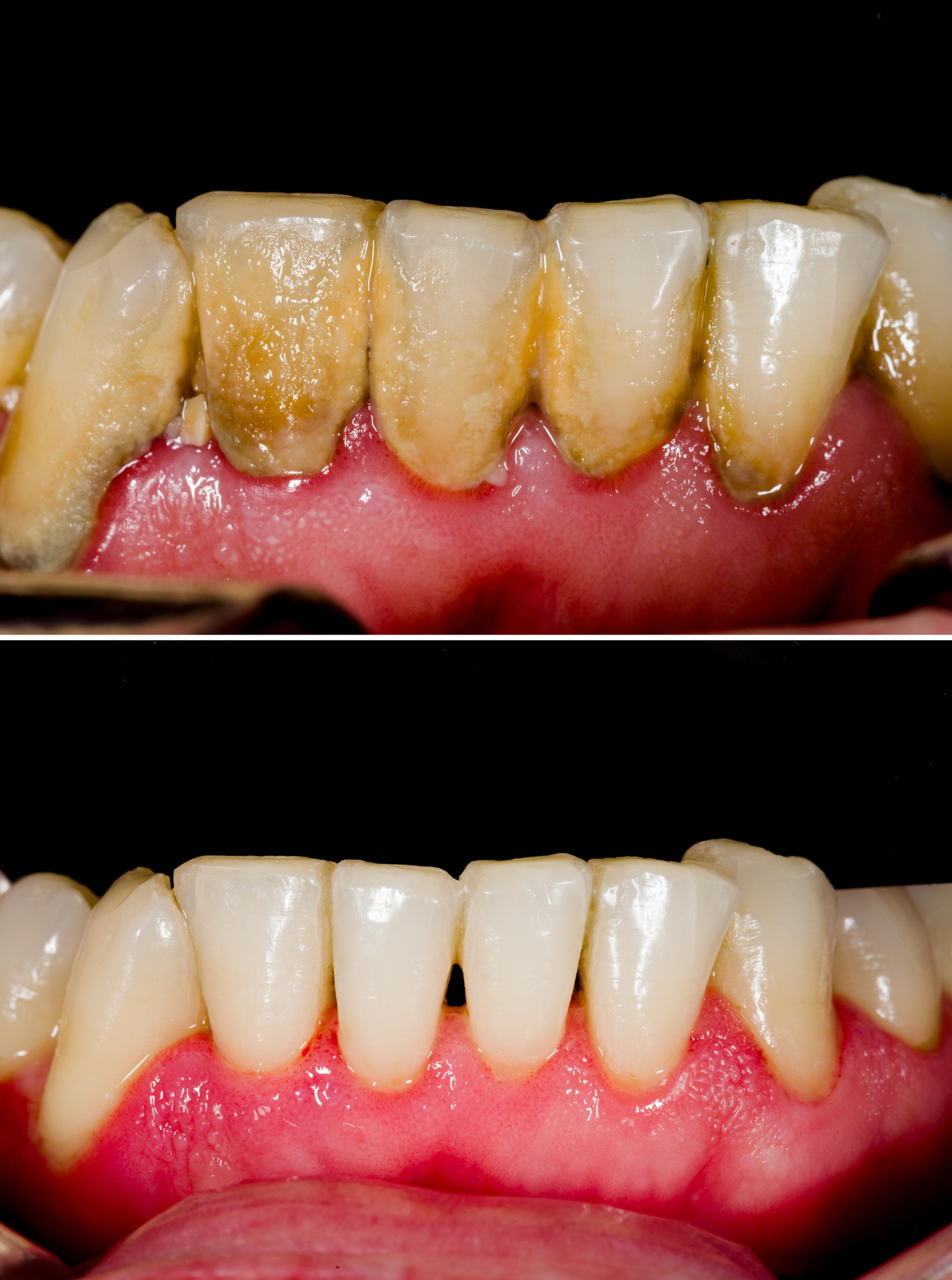
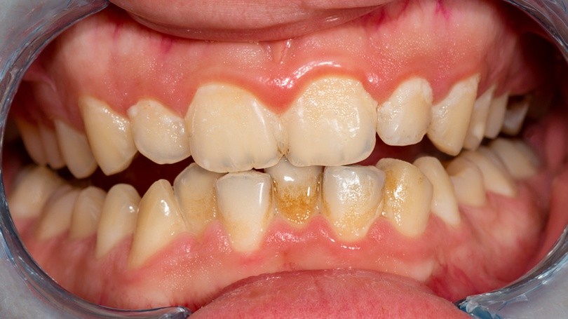
Dental biofilm is not inherently bad. There are good bacteria, after all. But biofilm can contain harmful bacteria like Actinomyces, Fusobacterium, Porphyromonas, Prevotella, and Streptococcus. Some biofilm will become plaque and then calculus, which both directly cause gum disease. Be mindful, however, that there is no need to worry about the specific bacteria as long as you maintain a clean mouth.

Dental Biofilm and Oral Health Issues

Biofilm formation can lead to three core oral health issues: tooth decay, gingivitis, and periodontitis. Certain biofilms feed on sugars and starches and produce acid as a byproduct. That acid erodes tooth enamel and leads to cavities. Other biofilms form below the gumline and inflame the gums, which are often red and tender and may bleed. If that gingivitis is left untreated, it will eventually progress to periodontitis, which actually undermines the bone surrounding your teeth. Such bone loss is permanent and can lead to tooth loss as well as a slate of other oral health complications.

Preventing Dental Biofilm Formation

The key to prevention is to disrupt formation and clear away accumulation on a consistent basis. You need to brush your teeth twice a day for at least two minutes each time in order to remove most of the biofilm. You must also use floss or an interdental brush to clear the buildup between the teeth and just below the gumline.

It is important to note that biofilm accumulation is not limited to your teeth and gums. It accumulates on your tongue, for instance, which is why you should brush or scrape your tongue whenever you brush your teeth. Biofilm can also build up on dentures, implants, oral appliances, and so forth, which is why you must adhere to whatever cleaning guidelines your dentist provided you. A professional cleaning every six months will clear your teeth and gums of any plaque or calculus you may have missed.

Keep Your Mouth Free of Bad Bacteria

Managing bacterial growth in the mouth and avoiding biofilm formation starts at home through hydration, a well-balanced diet, and daily brushing and flossing.

(07/24/2021)
by Jeffrey D. Clark

More Information: https://scottsdaledentalexcellence.com/blog/biofilm-protects-against-damaging-bad-bacteria/

Views: 1,051
Share


My BEST Dentists Journal Headlines