My BEST Dentists Journal

All Journal Entries
Share

Dental Implant Problems: What’s The Worst That Can Happen?

Dental implants have a 95% success rate but that doesn’t mean dental implant problems don’t happen.

While some of the issues are preventable by the patient, some develop as a result of poor procedural planning.

Although the risk of dental implant problems is low, it never hurts to be as informed as possible. In this article, we’ll share with you what can happen if you choose this type of dental procedure and it goes wrong.

What are Dental Implants?

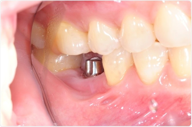
Dental implants are a modern alternative to dentures. During the procedure, a dental surgeon places a titanium fixture or frame into the jawbone. An artificial tooth is custom-made to affix to the fixture.

Over a few months’ time, the rod will fuse with the bone. In other words, the implant itself acts as a replacement root as the artificial tooth acts as a replacement tooth.

Types of dental implants

There are two main types of dental implants: endosteal and subperiosteal.

Endosteal implants get placed directly into the jawbone. After the surrounding gum tissue heals, another procedure connects the post to the implant. A dental professional attaches the artificial tooth to the post.

A subperiosteal implant is a metal frame with posts that fit onto the jawbone, below the gum. The gum tissue heals and the frame fuses to the bone. The posts protrude through the gums which the artificial teeth get mounted to.

Benefits of Dental Implants

There are many benefits to dental implants, which is why the procedure is so common today. These include:

Improved appearance/Self-esteem –

Improved speech.

Improved comfort.

Eating is easier.

Improved oral health.

Durability.

Convenience.

Your dental professional will speak to you about the reasons why you’re a suitable candidate for dental implants.

Common Dental Implant Problems

While there is a chance that things go wrong with dental implants, many of the problems are short-lived. Most of these occur during the early stages before the tooth gets attached.

Infection and Poor Healing

Receiving dental implants is surgery. The dentistry staff will follow all aseptic and sterile techniques, leading to a low chance of infection from the procedure itself. But, the mouth is full of bacteria and you can develop an infection.

You can expect swelling, mild pain, or discomfort for 1-4 days after your procedure. Beyond that, something may be wrong and you should consult your dentist.

Most issues involved with infections and poor healing are a result of patients not following the proper post-surgery directions. On rare occasions, an infection develops more than a month after surgery. In most cases, an underlying issue that wasn’t detected before the procedure took place caused the infection.

If an infection or poor healing gets caught early, it’s dealt with accordingly and the later stages can carry on with success.

A Medical Condition Affects Healing

If you suffer from cancer, gum disease, or diabetes, you may have delayed healing. This is also the case for people who smoke, drink alcohol, and take medications for other ailments.

You must make your dental surgeon aware of any pre-existing condition during the medical history screen.

Surgical Technique

It is important to find a reputable dentist who has gone through proper certification and has registered with the General Dental Council and is a member of the British Dental Association.

These dentists will be keen to the importance of aseptic and sterile techniques. They will understand the proper procedures and guidelines. This reduces your risk of infection and other dental implant problems.

Micromovement of the Dental Implant

Dental implants must be immobile for several weeks to allow osseointegration to take place. Any movement hinders this process will result in unstable implants.

During the first 8-12 weeks, the implant is vulnerable to not growing into the bone, and soft-tissue ingrowth occurs instead. This is very painful and you could end up back under the knife.

Follow the dietary recommendation from your dentist after the procedure. You may be on a liquid diet for a period of time.

Lack of Bone

Successful implants happen when it fuses with the bone on all sides. If your bone is less dense or deficient in any way, your dentist may need to perform extra steps to ensure the bone will have enough growth around the implant.

If your tooth is missing for an extended time, you could have lost bone volume. An experienced implant dentist can increase your volume with bone grafts or another technique. Sometimes, this may take an extra procedure.

Not Following Doctor’s Instructions

Not following doctor’s orders will result in implant failure or problems.

 

The instructions will be straightforward like reducing physical activity and keeping the site clean. You will also need to follow dietary restrictions and take your medication as prescribed.

(05/31/2021)
by Smile Spak

More Information: https://www.smilespauk.com/dental-implant-problems-whats-worst-can-happen/

Views: 935
Share


My BEST Dentists Journal Headlines