My BEST Dentists Journal

All Journal Entries
Share

Dental Problems That Could Be Causing Excessive Dental Wear

If you do the right things—keep your teeth clean, see the dentist regularly, and eat a "tooth-friendly" diet—you stand a good chance of having healthy teeth and gums later in life. Even so, after eating well over 75,000 meals by age 70, you can expect some wear from all that biting and chewing.

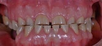
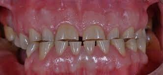
But there's normal wear—and then there's excessive wear, which can be caused by a variety of factors. When it occurs, accelerated wear can increase your risk of dental disease—and your shorter-toothed smile can make you look older than your actual age.

Here are 3 dental problems that can lead to accelerated tooth wear, and what you can do about them.

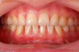
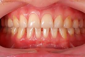
Tooth decay. This dental disease can severely weaken a tooth's protective enamel surface, which can in turn increase wear. You can minimize your chances of developing tooth decay by brushing and flossing your teeth daily and undergoing regular dental cleanings. And the sooner you receive treatment for any diagnosed decay, the less likely your enamel will suffer significant damage.

Poor bite. Properly aligned teeth mesh well together while biting and chewing, which minimizes wearing. But misalignments put undue stress on teeth that can lead to accelerated wear. By correcting a bite problem through orthodontics, we can properly align teeth so that they interact with each other normally for less wear.

Teeth grinding. This unconscious habit of gnashing or grinding teeth (often during sleep) can produce abnormally high biting forces. Among other adverse outcomes, this can also increase teeth wearing. If you grind your teeth, there are therapeutic methods that could reduce the habit. You can also obtain a custom night guard to reduce biting forces while you sleep.

If you've already experienced excessive dental wear, there are cosmetic options like porcelain veneers or dental bonding that can restore your smile to a more youthful appearance and help protect your teeth. But if you haven't reached that point, you can make sure you don't by taking care of your teeth and gums and seeking prompt dental treatment for problems leading to accelerated wear.

(04/09/2022)
by Smiles by Dr. Josh

More Information: https://www.smilesbyjosh.com/blog/310842-3-dental-problems-that-could-be-causing-excessive-dental-wear

Views: 569
Share


My BEST Dentists Journal Headlines