My BEST Dentists Journal

All Journal Entries
Share

Do I need a filling or root canal?

Do you need a filling or a root canal? We’ll try to answer that question in our latest blog post! Although we love to provide information to our patients, this information is simply to educate the public and in no way negates allowing a professional to make a proper diagnosis and treatment plan. Do you need a filling or root canal?

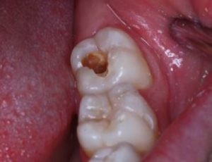
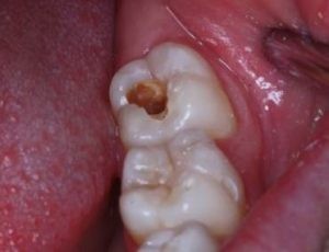
Commonly, decay starts on the chewing surface (occlusal surface) and has multiple stages prior to becoming “soft or sticky.” This progression commonly leads to more sensitivity in the tooth and provides a highway for the decay to approach the pulp. The decay progression through the enamel is based on several factors including but not limited to:

1. bacteria type and concentration,

2. available sugars via diet and acids released

3. the buffering potential of saliva

Next, the dentin layer is softer by nature and contains cells called odontoblasts. Proceeding through the dentin layer, the decay encroaches upon the pulp and this is the point that commonly patients go from needing a filling to needing a root canal. Some common signs and symptoms associated with decay encroaching on the pulp include sleepless nights, obvious signs of infection like swelling or redness and sensitivity to hot/cold lasting over 15-30 seconds. 

Of course, this information in no way negates the need to have a professional take a look but we feel this information is helpful for patients who don’t understand the process taking place. As always, feel free to call us anytime to schedule an emergency treatment or a free consultation about getting a filling or root canal.

(02/03/2021)
by Schroeder Dentistry

More Information: https://schroederdentistry.com/need-filling-root-canal/

Views: 826
Share


My BEST Dentists Journal Headlines