My BEST Dentists Journal

All Journal Entries
Share

Does vaping affect my gums?

Vaping has become a widespread nicotine consumption, especially among young adults. However, little is known about the effect of vaping on oral health. A new study published in the Journal of Periodontology provides some insights into how vaping affects the gum tissue and can worsen gum disease and oral health.

Some studies linking vaping and gum disease show that smokers are more likely to have periodontal disease than those who do not smoke or vape. Vapers also had more tooth decay and missing teeth than non-smokers. These findings suggest that vaping may have adverse effects on oral health. But more research is needed to confirm these findings and understand how vaping affects oral health.

Can vaping cause receding gums?

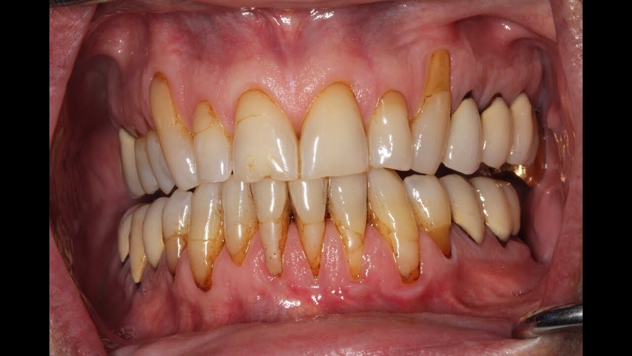
Yes, vaping can lead to receding gums due to the toxic chemicals found in e-cigarette liquids. Every puff of a vape pen contains 700 toxins, several of which are known carcinogens and can lead to disease when inhaled. While the long-term consequences of vaping have yet to be studied, it is essential to note that people who also vape generally face higher risks than non-smokers for multiple types of cancer, gum infections and receding gums. Educating oneself on the potential risks and benefits associated with vaping will better ensure one’s well-being in the long run.

Chemicals found in e-cigarettes and their impact on the mouth

Many popular e-cigarette liquids contain propylene glycol, glycerine, benzene, and formaldehyde, which can be problematic for people with pre-existing gum disease and mouth diseases, such as oral thrush or even gingivitis (Inflammation of the gums). Both of these ingredients draw water from surrounding cells and can irritate the soft tissue in the mouth, leading to irritation and inflammation. Additionally, some of the flavours added to e-cigarette liquids may further contribute to any existing oral health issues by irritating the delicate tissues in the mouth in fact, recently The FDA banned many flavoured e-cigarettes in the hope of reducing the rise in vaping among young people.

Therefore, it’s essential to talk to your dentist about using e-cigarettes if you have any existing mouth conditions so that you can make an educated decision about their use.

Can dentists tell if you vape?

Yes, dentists can tell if you vape by looking for signs of it in the mouth. These include dryness or inflammation of the gums, discoloration, and a burning sensation when oral tissues are touched or probed. Additionally, the chemicals found in e-cigarette liquids will leave a specific residue on surfaces like teeth and tongue that can be observed during an examination and on the inside of your cheeks and lips. Additionally, if you vape too often, there may also be a noticeable discolouration in the teeth which will give away that you are a regular vaper. However, even if these signs are present it does not necessarily mean that you have gum disease. It is important to continue to practice good oral hygiene and seek regular check-ups with your dentist to ensure that any issues are caught as early as possible.   

How do you prevent gum disease when vaping?

Preventing gum disease if you vape can be challenging, as the hot aerosol particles from the vaping liquid may not only cause irritation to your gums but also increase your risk of developing infections. If you’re a vaper, it is recommended that you practice good oral hygiene, like brushing and flossing regularly and making sure to thoroughly clean under the gum line area by using an interdental brush bottle brush. To help reduce your risk of developing gum disease, it is also recommended that you visit your dentist regularly for check-ups and receive a professional clean. While these measures will help prevent gum disease, they are not guaranteed, so be extra vigilant in maintaining proper oral care habits.   

Ways to treat gum disease if it does occur

If you, unfortunately, develop a case of gum disease, the best course of action is to visit us here at Perio and Implants immediately. Upon diagnosis, we will be able to offer treatment options that are tailored to your specific needs. Treatments may include deep cleaning, scaling, and occasionally surgery to reduce inflammation and shrink swollen pockets between teeth and gums.

 

To ensure successful treatment results, follow the maintenance advice of our specialists here at Perio and implants closely – this includes essential brushing and flossing routine, using mouthwash, and attending regular cleaning visits at Perio and implants. With proper care and attention combined with treatment from your dentist, gum disease can be treated successfully.

Our Specialist advice:

“Vaping/e-cigarettes can be successfully used as part of a smoking cessation programme accepting that e-cigarettes also carry significant health risks.

 

BUT Vaping /e-cigarette use should not be used by non-smokers as a recreational habit. The risks to your oral health are too high!”

(07/27/2023)
by Perio And Implant Dental

More Information: https://perionimplant.co.uk/does-vaping-affect-my-gums/

Views: 478
Share


My BEST Dentists Journal Headlines