My BEST Dentists Journal

All Journal Entries
Share

Emanel Hypoplasia

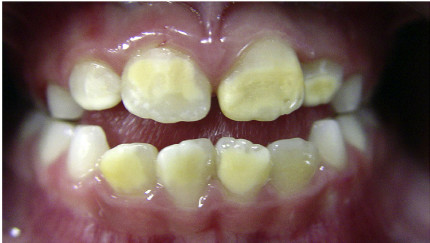
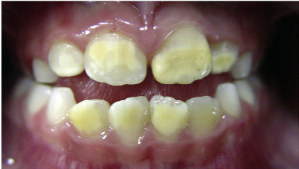
Enamel is that hard, protective, visible outside layer of the tooth. It keeps teeth strong and healthy! Have you ever noticed any discolorations or defects in your child’s tooth? You could be noticing enamel hypoplasia.

This condition is a defect that causes a lesser quantity of enamel than normal. It can appear as a white spot, yellow to brown staining, pits, grooves or even thin, chipped or missing parts of enamel. In severe cases, the enamel doesn’t develop at all.

Because of these surface irregularities, hypoplastic teeth can have the following dental problems: more sensitive to heat or cold or pain, more prone to wearing down from grinding or “tooth to tooth contact”, more susceptible to an “acid attack” from the sugars in our foods and drinks, more susceptible to trapping plaque and bacteria, and more prone to tooth decay.

If you see a concerning area on your child’s teeth, then its best to schedule an appointment with your pediatric dentist! It is important to check and monitor these teeth.

There are also many different treatment options if necessary depending on the severity of the hypoplasia and the child’s ability to cooperate during dental treatment. Options may include protective sealants, desensitizing agents like Silver Diamine Fluoride (SDF), esthetic composite resin or “tooth-colored” fillings, full coverage crowns, or microabrasion. If left untreated, cavities may form and lead to pain or dental infection.

Just because a baby tooth has hypoplasia, doesn’t mean a permanent tooth will. These irregularities can occur before, during, or after birth of the child. Your primary and permanent teeth are developing at different times.

There are many different causes of enamel hypoplasia from genetics to environmental factors. This list includes: inherited developmental conditions, vitamin deficiencies, maternal illness, medications given to mother prior to birth or to the child during early childhood when teeth are developing, preterm birth, low birthweight, trauma to the teeth, infection, malnutrition, systemic diseases, and smoking or drug abuse.

Good oral hygiene and a healthy diet are important for all of our patients, and especially those with hypoplastic teeth.

We recommend brushing twice daily with fluoridated toothpaste. Maintain a diet low in sugar and be sure to avoid those ooey, gooey, sticky snacks! And don’t forget to visit your dentist at least twice a year for a checkup, professional cleaning and fluoride application.

(02/07/2021)
by Heights Pediatric Dentistry and Ortodontics

More Information: https://www.heightspedoortho.com/blog/2019/10/3/what-is-hypoplasia

Views: 717
Share


My BEST Dentists Journal Headlines