My BEST Dentists Journal

All Journal Entries
Share

Five Signs Of Poor Oral Hygiene?

Poor oral hygiene can breed many infections and unwanted diseases. Oral hygiene is much more than just brushing your teeth. It is also about recognizing your oral health issues and forming a routine around it.

Sometimes, people neglect their dental health and, in turn, suffer from cavities, tooth decay, infections, etc. In addition, most of the time, people think brushing or not flossing their teeth will not affect their mouth; however, it is not the case.

Oral hygiene also affects your overall health, so poor oral hygiene means poor overall health. This is why the upkeep of your oral health is paramount. You can start with a slight change of brushing twice a day, then just once daily. 

Though many things contribute to poor oral hygiene, skipping a dedicated dental care regime is the most common cause. So how do you know your oral hygiene is not on track, and how should you recognize the signs and symptoms of poor oral hygiene? Let us discuss the same right here.

Signs and Symptoms that indicate you have poor oral hygiene

Below given are the five most common signs of poor oral health: 

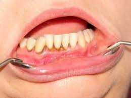
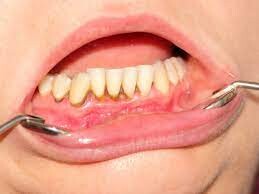
Bleeding from the gums: Bleeding gums is one of the most signs of poor oral hygiene. Poor gums indicate not only delicate gums but also indicate weak teeth. In addition, inflammation from bleeding gums is widespread, which can worsen your oral hygiene.

Bad breath: Having bad breath also indicates poor oral hygiene. Bad breath is not only a turnoff but also indicates that your mouth is now a breeding ground for many bacterias and germs in your mouth, which can further lead to cavities and other dental issues.

Sore gums: Sore gums cause pain and lead to tooth loss or tooth decay. If you have sore gums and feel pain while eating or brushing your teeth, this can indicate poor oral health.

Dryness in the mouth: Dryness in the mouth is again a sign of poor oral hygiene. The main reason for dryness in your mouth is a poor oral care routine. In addition, less saliva production in your mouth can lead to many oral infections because saliva in your mouth protects from various infections and germs. 

Plaque build-up: If you see a yellow layer around your gum line and teeth, it is plaque build-up. Plaque build-up can quickly turn into tartar, which is very hard to clean and stays on your teeth for a very long period, making your teeth roots weak. In addition, it can also disturb the support structure of your teeth. 

These were the five most common signs of poor oral health, but there are more symptoms and parameters to assist your oral health. For example, apart from the symptoms mentioned above, if you face tooth pain, notice cavities, or feel sensations while eating something cold or hot, this could indicate poor oral hygiene.

But you can overcome these dental issues by creating an excellent dental care routine suitable for your oral hygiene. The first step is to get an appointment at your dentist; secondly, you must incorporate products like soft-bristle toothbrushes, fluoride toothpaste, flossing thread, and tongue cleaner in your dental care routine and use them accordingly. 

Moreover, avoiding sugary foods and drinks can significantly improve your oral health if you suffer from any of the above-given issues. Lastly, the most common and a small thing to do that people forget is to rinse their mouth after eating anything. 

It will help if you rinse your mouth after meals to avoid the accumulation of food particles between your teeth. Following these simple steps will help you maintain good oral hygiene in the long run.

(01/08/2024)
by Lytle Dental

More Information: https://www.lytledental.com/what-are-the-five-signs-of-poor-oral-hygiene/

Views: 395
Share


My BEST Dentists Journal Headlines