My BEST Dentists Journal

All Journal Entries
Share

Five Signs That Show Your Teeth Are Rotting

Rotting teeth severely compromise your oral health. It can result in dental abscesses, tooth loss, cavities, and worse. Unfortunately, the majority of people don't recognize the sign of teeth decaying and end up with bad teeth and in serious need of a dentist.

If we can catch tooth damage early, you can get treatment implemented and avoid straining your bank account or insurance coverage. Here are the top five signs that show your teeth are rotting.

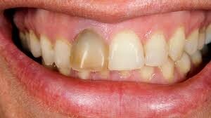
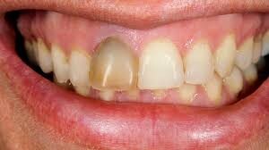
1. Teeth Have a Dark Color

If you have darkened teeth, they are likely rotting. There can also be black spots on or over your teeth. Too many watch the tooth gradually darken without any worry. But if you find even a slight discoloring of your teeth, you have to get a dental consultation. If neglected, blackened teeth will spread decay throughout a single tooth and may even spread it to other teeth. The dentist will analyze and do what it takes to restore the health of your teeth. And it should be done early as possible. Your dental expert will want to save the tooth before the bacteria forces nothing less than removal of the tooth.

2. Bad Breath

Bad breath, or halitosis, is generally caused by excessive bacteria in the mouth. Halitosis is a major indicator of decaying teeth. Bacteria isn't just a threat to your oral health but can lead to risks in other parts of your body. The discoloring is a sign of full pulp, dentin, or root damage in the teeth.

If you develop bad breath or see signs of odd odors coming out of your mouth, talk with your dentist. They will give you an examination and apply whatever's needed to help correct the issue.

3. Sensitivity to Hot/Cold Food/Beverages

Finding your teeth have developed a sensitivity to low or high temperatures does not mean you have rotting teeth. But it is a sign there could be rot in your mouth. Teeth are naturally coated in an enamel that protects them from things like the temperatures of food and beverages. Enamel gradually deteriorates when you have rotten teeth. Besides sensitivity, you may also experience significant pain.

4. Falling Teeth

To remain strong, healthy, and rooted, your teeth need ample support. If they don't get it, teeth weaken and can eventually fall out. This condition is a sure sign of rot and bad teeth.

Rot spreads from enamel to dentin and works its way through the pulp, eating away at your teeth until the root comes loose. The impact the process has on your dental foundation and appearance is unsettling. Only your dentist can help you minimize this condition.

5. Tooth Size Changes

If you're spying on any alterations in the size of your teeth, there is likely a problem. You should be in the habit of assessing your smile in the mirror, often enough to notice changes. The ritual should become part of your oral hygiene routine. Alterations are a result of bacteria damage. The outer layers are slowly decayed before the enamel is. The harm moves inward and throughout the mouth.

Keep your eye out for these signs and you'll be in a better position to manage bad teeth with the help of your dentist

(08/08/2023)
by Howe Dental Confidental Group

More Information: https://howedental.ca/5-signs-that-show-your-teeth-are-rotting/

Views: 451
Share


My BEST Dentists Journal Headlines