My BEST Dentists Journal

All Journal Entries
Share

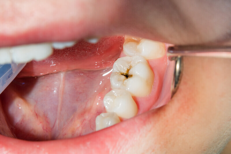
Have a Filling That You Have a Cavity In Between your Teeth?

Interproximal cavities, more popularly known as the cavities in between your teeth, are actually pretty common. They start to form when there is a breakdown of the outer, calcified enamel of the tooth that is caused by bacteria in your mouth.

Cavities are easily preventable, even if you seem to be finding them with every dentist visit. The more information you have on interproximal cavities the better!

Did you know?

35% of your teeth’s surface are in between other teeth. If you decide to skip flossing one day, then only two-thirds of your teeth are getting cleaned! Think of it this way–not flossing is like washing your hands but not scrubbing in between your fingers. Gross!

Dental cavities are one of the most prevalent diseases amongst the general population. But, the good news with this is that they are easily preventable.

Once a cavity is treated, the tooth will stop decaying. So don’t wait until the pain becomes unbearable, because the earlier you treat the decaying tooth, the less damage will occur. And the less treatment you will have to receive!

Symptoms of Interproximal Cavities

Many of the symptoms occur when the cavity has penetrated into the dentin, known as the second hard layer of tissue beneath the enamel. Symptoms of these cavities include:

Sensitivity to cold

Sensitivity to sweets or sugar

Trouble chewing on the tooth with the cavity

How can I prevent cavities?

Brush your teeth for two minutes twice a day. While doing this alone is great, it is still important to make sure your technique is up to par. Use circular motions on the fronts and chewing surfaces of your teeth and small, up-and-down motions on the backs. Remember to pay some attention to the back molars too!

Floss every day. This is another really important technique you’re going to want to master for optimal results. Start by winding 18” of floss around the middle finger of each hand. Use your thumb and index fingers to pinch the string while leaving 1-2” length in between. Use thumbs to direct floss in between teeth while using a zig-zag motion. It is important to remember not to snap the floss in between your teeth. Contour floss around the side of each tooth.

X-Rays

When receiving your yearly x-rays from My Dentist, we’re looking for the earliest signs of tooth decay. We can tell when you’re about to develop a cavity by observing the dark areas developing around the outermost layer of your tooth, known as the enamel.

If there seems to be a suspicious amount of decay, a mouth rinse or dental paste with extra fluoride may be prescribed to you.

Holy Molar! You already have a cavity

We’ve all been there and there’s no point in beating yourself up for it. The best way to bounce back from having a cavity is to focus on taking better care of your oral hygiene, which will help prevent future cavities.

(11/11/2023)
by My Dentist West Minster

More Information: https://mydentistwestminster.com/have-a-filling-that-you-have-a-cavity-in-between-your-teeth/

Views: 420
Share


My BEST Dentists Journal Headlines