My BEST Dentists Journal

All Journal Entries
Share

How Does Dental Erosion Happen?

Do you see your teeth thinning or changing color over time? This could be dental erosion, which is when the minerals in your teeth slowly wear away over time. Your teeth are incredibly hard and strong because of their mineral content, but they can become thin and weak over time depending on the food you eat, what you drink, and how good your oral hygiene in. To avoid tooth erosion, avoid these foods and drinks and use these oral hygiene tips!

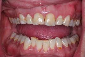
Dental Erosion

Tooth enamel is the hardest substance in the body, but even it can be broken down, overtime, by acids and bacteria in your mouth. Plaque that works to eat away at the enamel of your teeth can erode this tougher-than-bone material weakening the tooth structure and dimming the brightness of your smile.

Dental erosion not only affects the cosmetics of your smile, but also how your teeth function. Severe enamel erosion exposes the dentin underneath which can trigger pain and uncomfortable sensitivity.

Signs of Dental Erosion

The first indication of dental erosion will manifest as grooves in the teeth or a rougher-looking tooth surface with biting edges. Teeth often will appear discolored. Other symptoms are teeth sensitivity to heat, cold, acidic drinks and foods.

Common Causes of Dental Erosion

Diet is one of the biggest contributors to dental erosion. Foods and drinks with high acidity can threaten the enamel of your teeth and trigger demineralization. Saliva works to balance out the acids that food introduce into your mouth, but if you are constantly assailing your teeth with acidic foods and drinks, the mouth doesn’t have time for repair. Brushing after acidic foods and liquids have come in contact with your teeth is essential, BUT you need to time this brushing correctly. Wait for at least one hour after eating or drinking anything acidic before brushing your teeth to allow your teeth time to build up their mineral content again.

Another tip, chew sugar-free gum after eating. This will help produce more saliva to help cancel out the acids which form in your mouth after eating.

Risks for Dental Erosion

Certain medical conditions, diseases and medications can lead to dental erosion. People who suffer from bulimia often suffer from dental erosion due to the stomach acids that are regularly impacting their teeth. People with acid-reflux issues also have more mouth acids than most.

Avoid Foods with High Acidic Content

It’s not new news that sodas and carbonated drinks can cause dental erosion and we aren’t just talking about the high sugar content of these foods. Even carbonated waters can erode teeth because of the acids involved that make the soda a soda.Any drink with carbonation—including sparkling water—has a higher acid level, reports the American Dental Association.

High acidic foods like lemons, oranges, limes contain natural acids that can be harmful to your teeth. When it comes down to it, water is still the best drink for teeth. Milk is also a great choice because it helps to neutralize the acids in your mouth.

How Can You Fix a Tooth that Has Suffered from Dental Erosion?

Some dental erosion is slight enough that no treatment is necessary other than taking active steps to prevent it from worsening. With regular dental examinations and cleanings you can keep your teeth in tip-top shape.

If you have severe dental erosion, a dental bonding procedure or well-placed dental veneer can do wonders for your smile and the strength of the weakened tooth.

(11/20/2023)
by Mountain Aire Dentistry

More Information: https://www.broomfielddentists.com/how-does-dental-erosion-happen/

Views: 597
Share


My BEST Dentists Journal Headlines