My BEST Dentists Journal

All Journal Entries
Share

How Many Fillings Can One Tooth Have?

Do you have chipped, fractured, cracked teeth or dental caries? Dental fillings are ideal for repairing your affected teeth.

In addition, fillings safeguard your tooth from undergoing further damage, which may result in tooth loss, severe pain, sensitivity, or the need for extensive dental procedures.

Tooth cavity filling effectively protects the tooth enamel from erosion. Is it possible to have multiple fillings? Read on to find answers regarding dental fillings and your dental health from our expert dentists in Sanborn, IA.

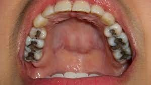
Can your Teeth Undergo Multiple Fillings?

It’s possible to have several fillings in your tooth, but your dentist can’t place different fillers on the same tooth. Your tooth comprises other surfaces; damage can occur on any surface, including grooves or cusps.

If you take sugary foods in excess, decay may appear on your tooth’s biting surface and the sides. Plaque and bacteria thrive where sugar is present and multiply, leading to tooth decay and infection.

If your decay isn’t severe, your dentist can remove a portion of the decayed tooth and apply fillings with composite or amalgam. Fillers are also placed on your cracks or chips to seal the tooth from further damage.

The material used for your dental fillings must be uniform, and the tooth can be filled severally.

How Long Will Your Dental Fillings Last?

Dental fillings can last long if you observe proper oral hygiene and robust material. The timeframe needed to replace your old fillings also varies with your dietary lifestyle, among other aspects.

Despite how durable your dental fillings are, you need replacement, and in general, here are some of the types of fillings and the duration they can serve you:

Porcelain and ceramic fillings-between 5 to 7 years

Composite fillings- last for 5 to 15 years.

Amalgam fillings- serve for 5 to 25 years.

Gold fillings- about 15 to 20 years

How Many Times Can A Filling Be Replaced?

You can undergo tooth cavity filling in Sanborn several times. If the material lasts for up to 15 years, for instance, it doesn’t mean your tooth won’t be replaced again until the duration is over.

Various reasons may compel your dentist to fill your tooth more times, including:

Loose fillings-if you have dental fillings that are falling out, you need to visit your dentist for a replacement. It’s crucial to replace them before food particles are trapped between them and bacteria don’t slip into your affected tooth.

Cracked fillings-dental filling materials are vulnerable to damage, and they cause your tooth to become sensitive. During your dental exam, a broken filling will be replaced.

Leaking fillings- after fillings are placed, they are likely to leak, leading to sensitivity. You need to undergo an examination to determine if the fillings are the cause of sensitivity.

Worn-out fillings- dental fillings deteriorate with time, just like your natural tooth, and you need to undergo replacement.

Do All Cavities Need Fillings?

Your severely decayed tooth may fail to be repaired by dental fillings, and you need to undergo dental extraction. If your cavity has led to the infection of your tooth roots, you might undergo a root canal before the application of fillings.

However, minor tooth decay can be comfortably addressed by dental filings. A very small cavity may not require fillings, and once it’s detected early, the action of decay can be reversed.

Sometimes, your dentist may recommend you undergo other dental procedures before having dental fillings. You can also have dental sealants or crowns covering your dental caries.

What Do Fillings Do to Your Teeth?

Dental fillings address various issues, including the treatment of cavities to prevent further damage or dental extraction.

If you clench your teeth, your teeth surfaces wear out due to friction, and dental fillings are ideal for sealing the grooves from damage.

Dental fillings are beneficial in the following ways:

They seal minor chips, cavities, and fractures.

Dental fillings are applied to cover cavities and improve your bite.

They alleviate sensitivity that results from enamel erosion and decay.

Dental fractures, chips, cavities, or minor damages require fillings. At Sanborn Dental Associates, we recommend dental fillings to prevent your tooth from undergoing further deterioration.

(05/08/2024)
by Samborn Dental Associates

More Information: https://sanbornda.com/how-many-fillings-can-one-tooth-have/

Views: 369
Share


My BEST Dentists Journal Headlines