My BEST Dentists Journal

All Journal Entries
Share

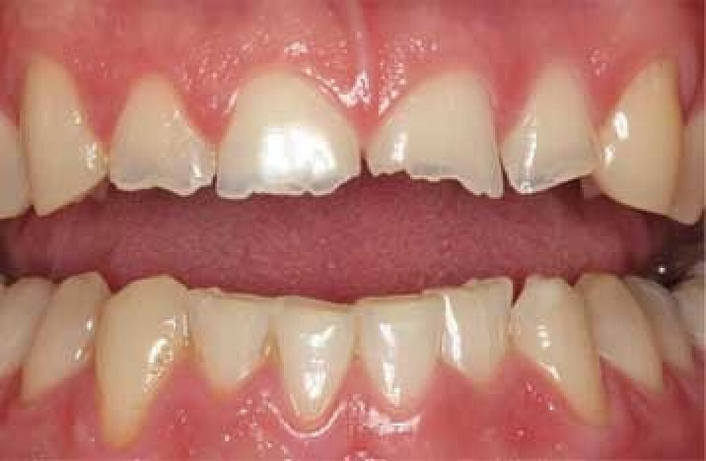
How to Manage Brittle Teeth

Did you know your tooth enamel is stronger than your bones? So, if your teeth chip or fracture easily, there's usually an underlying reason your teeth are so brittle.

It's essential to find the cause for your brittle teeth so that you can seek treatment – or at least learn to care properly for them to fortify your smile.

What Causes Brittle Teeth?

Though tooth enamel is tough, several habits and conditions can cause the enamel structure to weaken and the teeth to become brittle.

So, if your teeth are prone to breaking, it might be due to one of the following causes:

Grinding and Clenching Teeth: These habits wear away dental enamel.

Poor Oral Care: Decay, cavities, and lack of pulp can all result in brittle teeth, due to:

Inadequate brushing, which eventually destroys the tooth pulp

Overbrushing, which can erode enamel

Lack of or inadequate fluoride, which defends your teeth against all sorts of bad elements.

Nutritional Deficiencies: A range of vitamins and minerals are essential for healthy dental enamel. When your body is deficient in these essential nutrients, your teeth can weaken.

For example, research published in General Dentistry, the peer-reviewed journal of the United States Academy of General Dentistry, found that vitamin A deficiency causes tooth brittleness. And a lack of vitamin D results in poor absorption of minerals like calcium and phosphorus, which are vital for enamel strength.

The main causes of nutritional deficiencies are eating disorders and poor diets in general. Also, some medications prevent your body from absorbing nutrients.

Acids: Eating disorders can sometimes result in acid damage to enamel if a person vomits frequently or sucks on lemon wedges.

Other conditions and habits that produce enamel-weakening acids include:

Gastroesophageal acid reflux disease (GERD)

Severe morning sickness

Too much sugary food and beverages (especially fizzy drinks).

Dentinogenesis Imperfecta: In this inherited condition, the dentin doesn't form correctly, resulting in the abnormal formation of the middle layer of the teeth. This results in:

The teeth becoming discoloured

The teeth possibly becoming weaker, resulting in fracturing.

Dehydration and Dry Mouth: If your body's not producing enough beneficial saliva to clean your mouth and neutralise acids, this can cause issues leading to brittle teeth.

Ageing Teeth: When people age, the pulp and nerves supplying the teeth shrink, an article published in the University of Missouri Extension explains. This process reduces the amount of fluid moving into the tooth enamel. Dry dental enamel is weaker and more prone to breakage.

Older teeth have also received more exposure to chewing forces and acids that gradually cause thinner, more brittle enamel.

We want your teeth to be as strong and healthy as possible, so check out the available treatments for brittle teeth and learn the numerous ways you can manage your life to prevent or reduce the chances of having brittle teeth.

Brittle Teeth Treatments

Sorry to report that tooth enamel doesn't regrow. But dentists can treat brittle teeth to improve the enamel's strength. Ask your dental professional about these treatments:

Fluoride supplements and fluoride gels to remineralise teeth

Dental sealants to the chewing surfaces to protect teeth from fractures and decay

Veneers, thin shells that cover the teeth, to help prevent tooth breakage

Crowns, thicker and strong coverings for teeth, to help prevent cavities and breaks, especially after a root canal procedure.

Managing or Preventing Brittle Teeth

Fragile teeth require special care, but there are many actions you can take to achieve a healthy and attractive smile:

Ask about veneers or crowns to cover up the damage if your teeth are already chipped or fractured.

Treat causes affecting your sleep and eating behaviours with relaxation techniques, behaviour therapy, or psychotherapy. Ask your dentist and doctor to advise you on the help you deserve.

Seek medical attention for conditions that produce acid reflux or excessive vomiting.

Reduce the wear and tear on your teeth with a mouthguard to wear at night.

Talk with your doctor about your medications. Perhaps you can find substitutes that won't cause dry mouth and will let you absorb essential nutrients.

Sip water only throughout the day.

Consume a healthy diet that includes calcium-rich dairy products, plus fruit and vegetables. And avoid eating/drinking acidic or sugary foods/beverages that might damage tooth enamel.

Break your sugar habit or addiction. Need some help? The United States Cleveland Clinic offers a 10-day plan.

Brush twice daily with fluoride toothpaste on a soft-bristled toothbrush.

Brittle teeth don't have to hold you back. With a proper diagnosis of the cause, treatment and management techniques can improve the strength and appearance of your teeth – and your smile.

(12/03/2024)
by Colgate

More Information: https://www.colgate.com/en-za/oral-health/threats-to-dental-health/how-to-manage-brittle-teeth

Views: 440
Share


My BEST Dentists Journal Headlines