My BEST Dentists Journal

All Journal Entries
Share

Hypodontia or Congenitally Missing Teeth: Causes & Treatments

You are well aware that an average human mouth has 32 permanent teeth, counting your wisdom teeth as well. But there are exceptions here too. Some individuals are born with fewer teeth. Disturbances during the early stages of tooth formation may result in the congenital absence of one or more teeth, known as Hypodontia or Congenitally missing teeth.

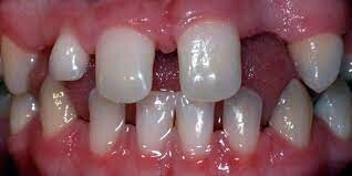
What Is Hypodontia?

Hypodontia is a developmental abnormality wherein one or more permanent teeth fail to grow. Missing teeth are present in a list of some of the most commonly occurring developmental oral health conditions. People suffering from CMT have six or fewer teeth missing. The most common congenitally missing teeth are wisdom teeth, upper lateral incisors, and the second premolars(source).

What Are the Causes of Hypodontia?

The condition is associated with genetic or environmental factors during dental growth. Missing teeth are the results of increased maternal age, low birth weight, multiple births and early exposure to certain infections, trauma, or drugs.

Hypodontia or CMT (Congenitally Missing Teeth) usually is the result of genetic disorders such as ectodermal dysplasia or Down syndrome. Yet, people with cleft lip and palate also have a risk of missing teeth.

What Are the Problems Associated With Hypodontia or Missing Teeth?

CMT generally affects the healthy growth of permanent teeth. Missing teeth can affect your ability to chew, pose problems with speech, gum damage, and cause insufficient bone growth. They also pose functional concerns when the other teeth in your mouth move into the empty spaces and shift the positions of the teeth.

What Are the Treatment Options for Hypodontia?

Braces

In this treatment, metal brackets get fixed onto your teeth with connecting wires to move your teeth to the correct position. One can choose Invisalign and other invisible braces for a more transparent and convenient treatment option to move the teeth.

Dentures

These are removable plates with attached artificial teeth. Children can start wearing dentures for assistance in speech development. Periodic replacement of children’s dentures is necessary to match the changes in their jaws during growth. One can rely on dentures until the child is old enough to get permanent teeth implants.

Bridges

It is an expensive permanent method. A bridge is an artificial tooth fixed between two permanent teeth to assist in filling the gap. Bridges are porcelain-based dental products blended with metal or ceramics. Bridges help in correcting your bite problems by reinstating the lot of missing teeth, in turn, blocking the drifting of other teeth out of position.

Implants

The process of inserting an implant consists of safely placing a metal root inside your jawbone. A crown that looks like your teeth is attached to the exposed part of the implant. If the missing teeth are far apart, the process is to place an implant between each of the missing teeth.

Bonding and veneers

Patients of microdontia who have a small part of some of their teeth erupted can get the rest of the tooth built up with composite or a veneer. Remember, both these options are effective, only in situations where there is an existing tooth. These treatments are less invasive than bridges and implants but may not last long.

Takeaway

You don’t have to be overly concerned if you are missing a tooth or two, in addition to your wisdom teeth. That is because this situation is manageable. For this, it is essential to identify the symptoms of missing teeth early on and begin an appropriate treatment to prevent any long-term oral health issues. 

(08/28/2022)
by Dr Satish Pai and Associates

More Information: https://www.putnamorthodontics.com/hypodontia-or-congenitally-missing-teeth/

Views: 557
Share


My BEST Dentists Journal Headlines