My BEST Dentists Journal

All Journal Entries
Share

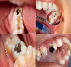
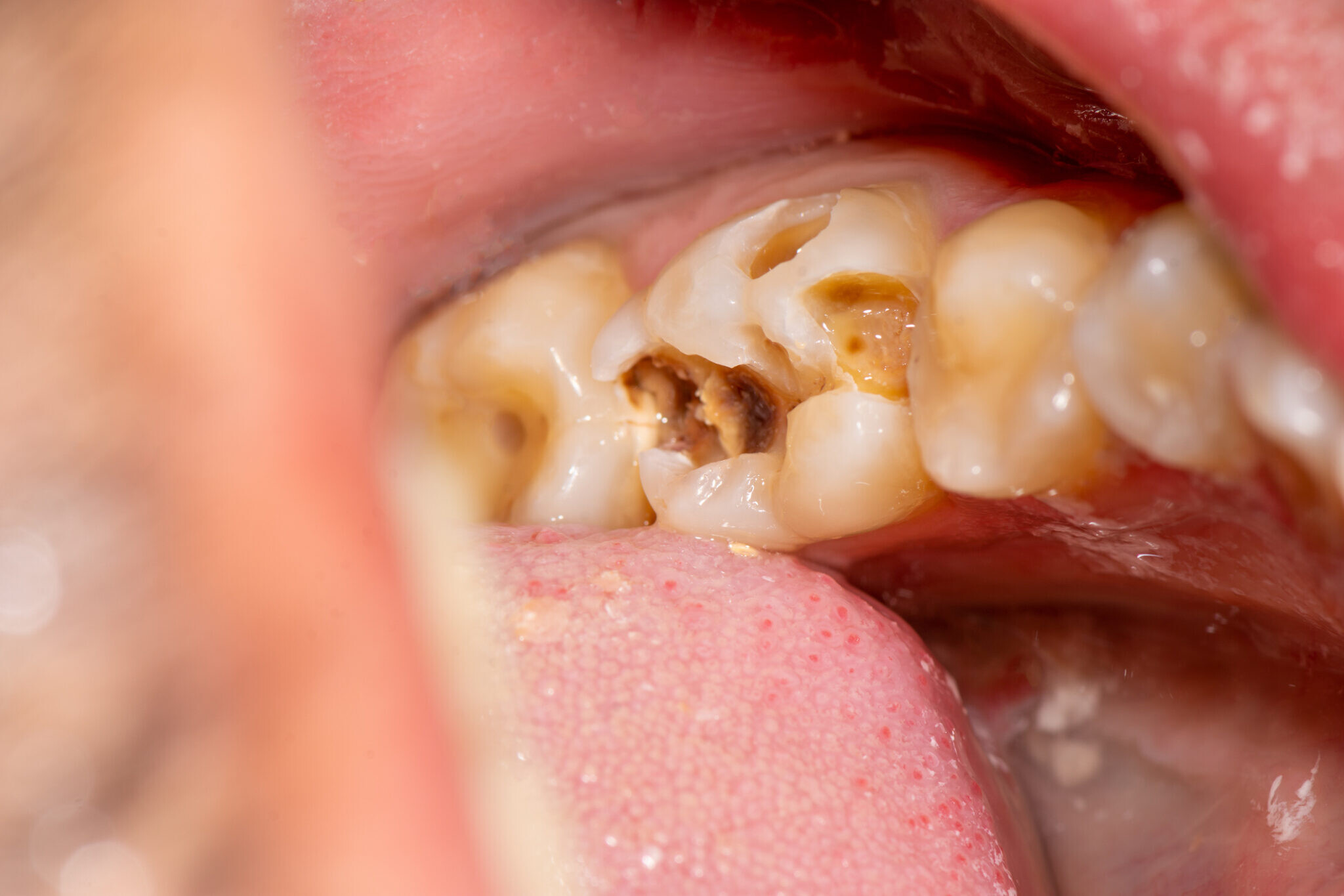
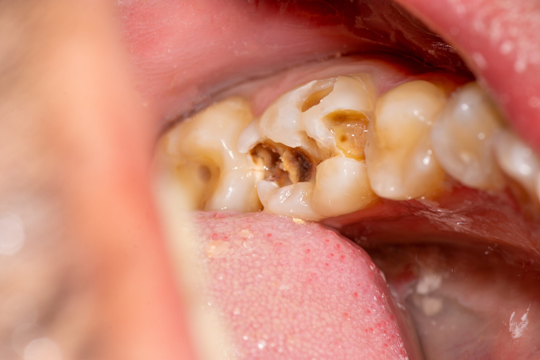
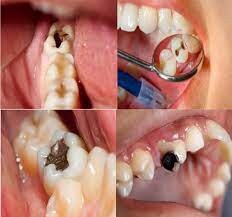
Identifying The Three Major Tipes Of Cavities

In addition to good dental hygiene and regular checkups, knowing how to spot a dental problem early can be extremely helpful when in preventing toothaches or the need for a root canal. Trouble is, catching the signs of a cavity can be a little tricky, especially since they usually don’t cause any symptoms that you can feel and there are a variety of types and appearances. There are three major kinds of cavities:

1.- Pit and Fissure Cavities

These cavities appear on the chewing surfaces of teeth and are more common on back teeth (i.e. molars). Bits of food and the resulting plaque can easily get stuck in the peaks and valleys on your teeth. If you don’t have good oral hygiene habits this debris stays there and acts as fuel for bacteria, which eventually eat through your tooth’s enamel. These cavities can be any color but often look like holes accompanied by a chalky with material or a black spot.

2.- Smooth Surface Cavities

These cavities appear on the smooth outside surfaces of teeth, usually on the sides of the mouth (rather than the back or the front). Cavities on the smooth surfaces of your teeth are rarer than pit and fissure cavities because, unlike the chewing surfaces of teeth, the sides are easier to clean and harder for the bacteria that causes tooth decay to hide in. These cavities often appear as small holes or tiny brown spots.

3.- Root Cavities

The root of a tooth is the part that is below your gum line. In people with receding gums, this part of the tooth becomes exposed, which is problematic because the root doesn’t have the outer hard enamel surface that offers more resistance to tooth decay. These cavities usually appear as dark brown or yellow areas just above the gum line.

What to Do

 

Of course, if you ever notice something new or unusual happening to any of your teeth, whether it’s a visual sign or a physical symptom, please call to your dentist!.

Most dental problems do not get better if you just “wait and see”!

(03/28/2022)
by Springs Dental

More Information: https://www.springsdental.com/blog/identify-3-types-of-cavities/

Views: 770
Share


My BEST Dentists Journal Headlines