My BEST Dentists Journal

All Journal Entries
Share

Is Gum Reshaping Right For You?

A healthy and attractive smile might begin with your pearly whites, but it also requires a harmonious relationship between your teeth, gums, and lips. If you want to build confidence through a more beautiful smile, you might look into a cosmetic procedure like gum reshaping. Find out more about gum reshaping and determine if this procedure is right for you.

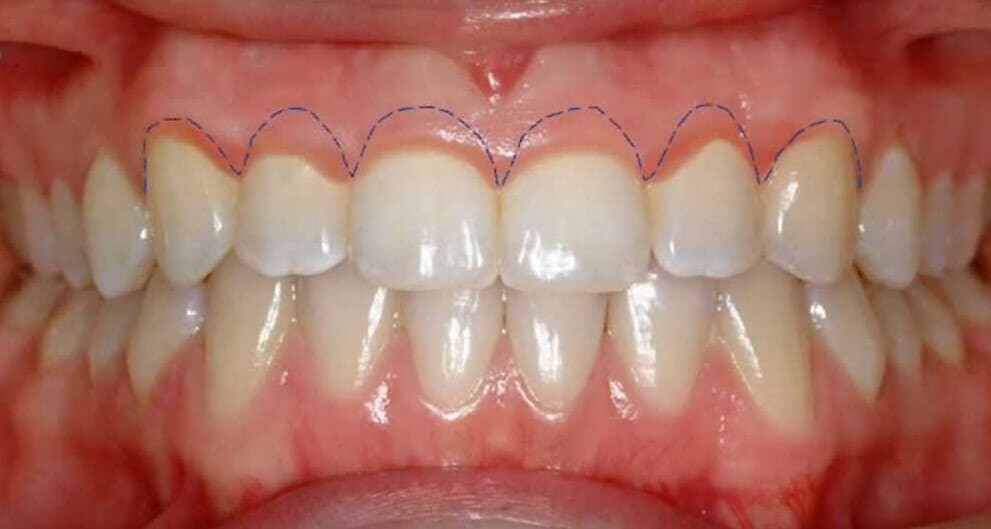
What Is Gum Reshaping?

Gum reshaping, also known as gum contouring, involves changing the shape of your gums to be more aesthetically pleasing. If your gums appear uneven or if they cover too much or too little of your teeth, you might consider gum reshaping to enhance your smile. Typically, gum contouring is not medically necessary and is only performed to improve the appearance of teeth and gums.

How Does Gum Contouring Work?

The techniques used for gum contouring depend on the particulars of your mouth. A periodontist or cosmetic dentist usually performs the procedures.

Gum Contouring for Too Much Gum

If you have a "gummy" smile — which means your teeth look small from excessive gum tissue — your dental professional will remove excess gum tissue using a laser or a scalpel. Then, they will sculpt a new gumline to expose more of your tooth. The procedure usually takes one or two hours. Though the dental professional will administer a local anesthetic before the gum contouring begins, you can expect to feel some tenderness and discomfort afterward.

Gum Grafting for Too Little Gum

If you have too little gum tissue, also known as gum recession, your teeth might appear elongated or discolored. However, receding gums also expose the tooth root to harmful bacteria and plaque, which can lead to bone loss and tooth decay. Sometimes gum recession occurs on just a few teeth, but it can also affect the whole mouth. Recession usually results from:

Overzealous toothbrushing

Genetics

Periodontal disease

If you have periodontal disease, your dental professional will take steps to treat the infection before reshaping your gums. Once the infection is cleared, addressing gum recession usually requires removing tissue from another part of your mouth and grafting it to the receded area to help lengthen and reshape the gumline.

Cosmetic Gum Surgery Recovery

Gum surgery can be painful, and you might need to rest for a day or two, depending on how tender your gums feel. Complete healing can take a few days to a few weeks. While you heal, eat soft foods, and follow your dental professional's post-surgery instructions for caring for the site. If you see any signs of infection like increased pain or swelling, contact your dental professional immediately.

Are You a Good Candidate for Gum Reshaping?

Gum reshaping could provide a simple solution for improving the appearance of your smile. However, you should consider the following factors before making a decision:

Oral health. Are your teeth and gums healthy? If you struggle with gum disease or tooth decay, you will want to invest in restoring your oral health before seeking cosmetic procedures.

Cost. According to CostHelper, dental contouring fees can range from $50-$500 per tooth, depending on how much work is needed. Plus, if the procedure is purely for cosmetic reasons, your dental insurance might not cover it.

Cosmetic needs. Gum reshaping can only make your teeth look larger or smaller by moving the gumline. It cannot impact the shape, color, or position of the tooth, which would require other procedures.

Ultimately, you should consult your dentist about whether gum reshaping is right for you. They can examine your teeth and gums and make the best recommendations for enhancing your smile.

(04/29/2023)
by Colgate

More Information: https://www.colgate.com/en-us/oral-health/adult-oral-care/gum-reshaping

Views: 447
Share


My BEST Dentists Journal Headlines