My BEST Dentists Journal

All Journal Entries
Share

Oral biofilms, a concern for all dental professionals

Biofilms are a collective of one or more types of microorganisms that can grow on many different surfaces. Microorganisms that form biofilms include bacteria, fungi and protists. 

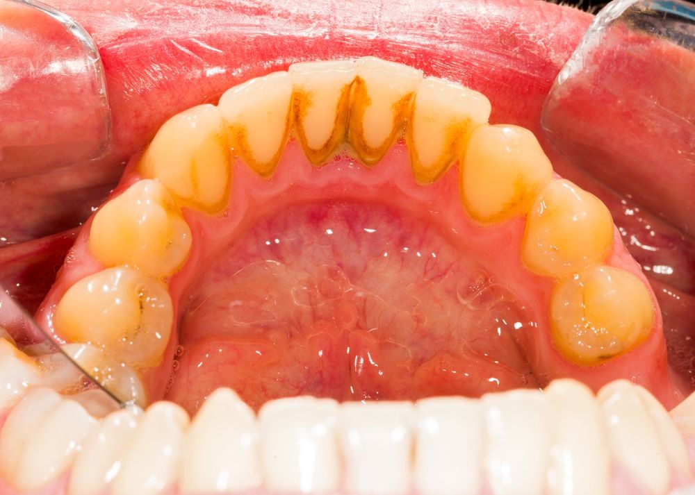
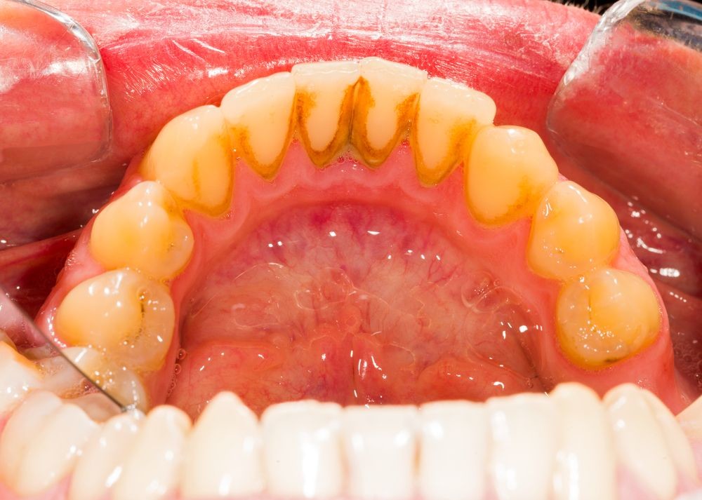
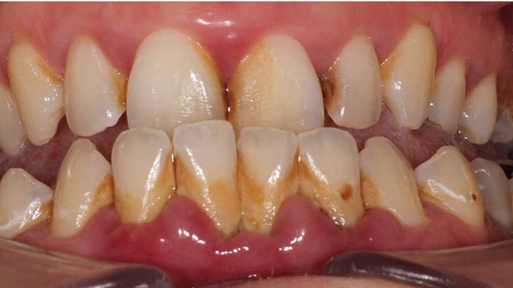
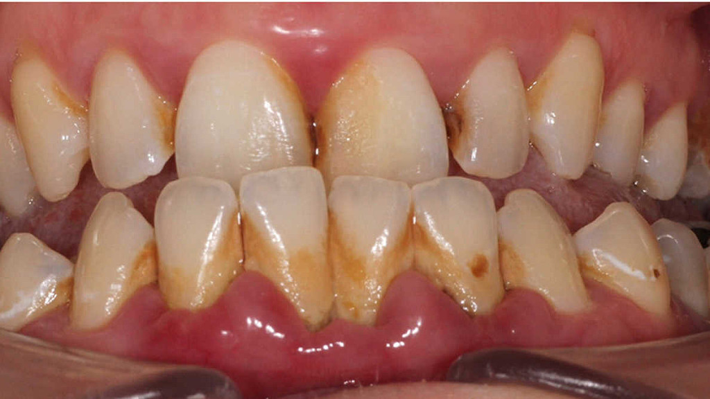
One common example of a biofilm dental plaque, a slimy buildup of bacteria that forms on the surfaces of teeth. Pond scum is another example. Biofilms have been found growing on minerals and metals. They have been found underwater, underground and above the ground. They can grow on plant tissues and animal tissues, and on implanted medical devices such as catheters and pacemakers. 

Role of oral biofilm in the aetiology of disease:

Oral biofilm is medically important because it has broad implications for maintaining not only oral health but also systemic health. It is estimated that biofilms account for over 80% of microbial infections in the body. Research has undoubtedly shown that biofilm-dependent infections, including oral diseases such as caries, and periodontal and endodontic disease, thus pose major public health and cost concerns globally.

Periodontal disease, in particular, is considered one of the most prevalent diseases worldwide, affecting up to 50% of the world’s adult population, according to FDI World Dental Federation. Previous research has established connections between periodontal disease and preterm births, low birthweight, diabetes, and risk factors associated with cardiovascular disease and stroke. Globally, periodontitis is responsible for an estimated US$54 billion per year in lost productivity and a major portion of the US$442 billion spent annually on oral disease, according to the European Federation of Periodontology.

Control of oral biofilm:

Owing to the vast implications of oral biofilm for dental and general health, its effective control represents a major challenge. There is no question that the formation and maturation of oral biofilm need to be tackled by dental professionals across all specialties in all countries worldwide.

“The backbone of any therapeutic and preventive approach is the disruption of the intra-oral biofilm. An example of technologies that have been successfully demonstrated to aid supra- and subgingival instrumentation are air polishing devices with low-abrasive powders that can disrupt the biofilm on all intra-oral surfaces, including mucous membranes and difficult-to-reach subgingival areas, without harming the hard tissue and the even more vulnerable soft tissue,” Beikler explained. “Their effects can be augmented by antimicrobial and immune- and microbiome-modulating strategies. Regarding the latter, probiotics offer an interesting and promising alternative to the use of unspecific antimicrobial agents like chlorhexidine or phenolic compounds. However, additional research, that is, appropriately designed and well-structured multicentre clinical trials, is critically needed to fully appraise their therapeutic effects,” he continued.

Another major challenge that needs to be taken into consideration in this respect is that trying to eliminate a specific pathogen using antimicrobial agents may disturb the sensitive microbial ecology and eventually induce microbial dysbiosis of the oral cavity.

Education on oral biofilm:

Until the early 1990s, dentists confined their treatment for combating oral plaque to removing calculus twice a year because there was only limited understanding of biofilm. Over the past decades, research on and improved knowledge about the parameters that determine the development of oral disease have spurred the development of new preventive strategies. For instance, piezoceramic instruments and low-abrasion powders have made professional biofilm management safer, minimally invasive and more comfortable for both the patient and the dental practitioner. Moreover, the launch and further development of AIRFLOW devices by EMS fundamentally changed biofilm management and eventually resulted in the development of Guided Biofilm Therapy, an innovative concept for contemporary prophylaxis.

As research and development of new technologies and therapies continues to progress, so too does knowledge in the dental professional community need to advance for effective integration of these developments into everyday practice for the well-being of the patient.

“As biofilms can be found on all oral surfaces, it is clear that all dental disciplines, ranging from dental hygienists to orthodontists, are highly affected by oral biofilm and its sequelae,” highlighted Beikler. “Unfortunately, prevention is sometimes still considered to be toothbrushing augmented by some kind of professional tooth cleaning. However, the whole oral cavity should be the therapeutic focus of a systematic preventive approach.”

(01/02/2021)
by Dental Tribune

More Information: https://eu.dental-tribune.com/c/e-m-s-electro-medical-systems-s-a/news/oral-biofilm-a-concern-for-all-dental-professionals/

Views: 1,140
Share


My BEST Dentists Journal Headlines