My BEST Dentists Journal

All Journal Entries
Share

Ossifying Fibroma: Causes, Symptoms, and Treatment

Finding a growing lump in your mouth can cause a panic. However, not all tumors mean cancer. Ossifying fibroma is a rare, non-cancerous tumor that occurs in the jawbones. Understand more about what ossifying fibroma is, how it forms, and where you can find treatment.

What Is Ossifying Fibroma?

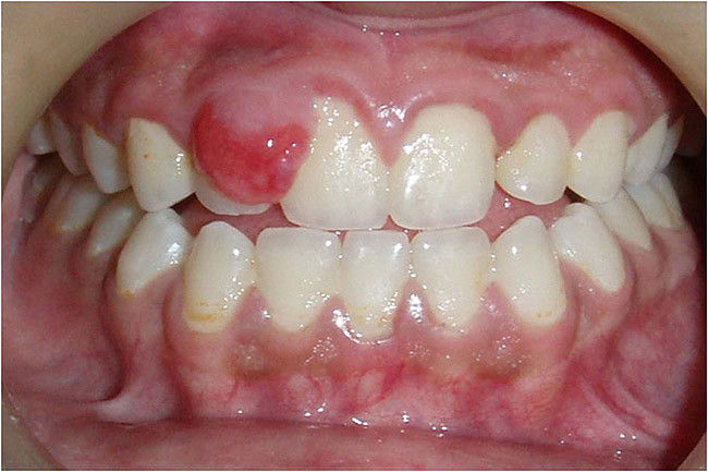
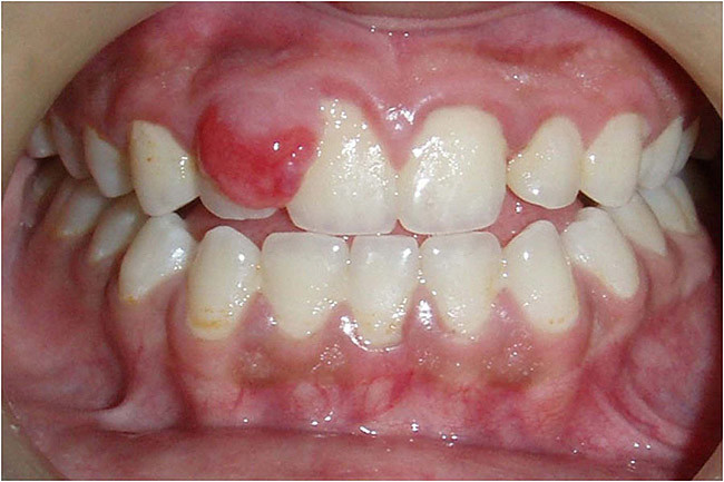
Ossifying fibroma, sometimes called cemeto-ossifying fibroma, refers to a rare, benign neoplasm that arises from the jawbone. The term "ossifying" means to turn into bone or bony tissue, and these tumors often contain calcified tissue that resembles bone, cementum, or both. Ossifying fibromas often manifest as round, painless, and slow-growing masses with well-defined borders.

What Causes Ossifying Fibroma?

Ossifying fibroma often occurs between the second and fourth decade of life and is more common in females, suggesting a hormonal influence on development. Still, ossifying fibromas can occur for patients of any age and sex. Trauma, irritation caused by dental restorations, and plaque underneath the gums might also all play a role in development, but the precise cause is still unknown.

What Are Ossifying Fibroma Symptoms?

You might first notice ossifying fibroma by swelling in the face. These slow-growing tumors are often painless and asymptomatic, but they can gradually displace teeth or cause root resorption. If you notice any facial swelling, see your dental professional as soon as possible to determine the source of the issue.

Your dental professional will take X-rays to determine the exact location of the tumor and confirm a diagnosis. The clear outline around their perimeter usually identifies the growth as ossifying fibroma; however, the X-ray appearance can differ depending on the tumor's development stage and how much of the mass has calcified.

What Is Ossifying Fibroma Treatment?

Treatment for ossifying fibroma usually requires surgical excision where the oral surgeon will remove the tumor completely from the tissue. Larger tumors might require a more involved procedure to reconstruct the affected bone. After healing, your dental professional will determine if any additional treatment is needed to restore and replace affected teeth.

Removing the ossifying fibroma generally resolves any issues. Several studies have estimated the recurrence rate to be from 6.7% up to 28%. The Journal of Dental and Allied Sciences notes the recurrence rate is significantly higher for cases affecting children. For these reasons, make it a priority to see your dental professional for periodic follow-ups to monitor the site.

As with many dental issues, early diagnoses and appropriate treatment of ossifying fibroma can provide the best route to a healthy mouth. If you notice any swelling or growths along your gums or jaw, contact your dental professional immediately.

(04/10/2021)
by Colgate

More Information: https://www.colgate.com/en-us/oral-health/threats-to-dental-health/what-is-an-ossifying-fibroma

Views: 814
Share


My BEST Dentists Journal Headlines