My BEST Dentists Journal

All Journal Entries
Share

Osteoporosis Drugs May Cause Dental Issues

Those taking a type of medication to help prevent bone fractures should pay special attention to taking care of their teeth and gums.

That’s because those on a class of medication called bisphosphonates are at risk of developing osteonecrosis of the jaw, especially if they have poor oral health, according to a local dentist, Dr. Debbie Saunders, the medical director of the dental oncology program at the Northeast Cancer Centre at Health Sciences North.

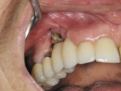
Osteonecrosis of the jaw is a rare dental condition in which the jaw bone’s ability to heal is impaired, and may cause a painful wound that does not heal. The affected bone can become infected and die.

Signs and symptoms of the condition include infected or poorly-healing gums, numbness in the jaw or a sensation of heaviness, jaw pain or swelling and exposed bone.

It is treated by maintaining good oral hygiene, removing infected dead bone, controlling pain and treating areas of infection with antibiotics and oral antibiotic mouth rinses.

Bisphosphonates are prescribed in low doses to those with osteoporosis, a disease characterized by bone mass loss, to decrease patients’ risk of fracturing their bones.

However, the medication also has a side-effect of making the jaw bone more susceptible to osteonecrosis.

“That’s just the way it goes with this medication,” Saunders said.

It seems to occur more often after the extraction of teeth or dental cleanings, she said. Patients should tell their dentist they’re on the medication.

Because the dosage for osteoporosis patients is low, the incidence of osteonecrosis of the jaw is only one in 100,000 among this group. Those who have been on the medication for a longer time are at larger risk, Saunders said. The drug is also used in much higher doses to treat cancer. Amongst these patients, the condition occurs in one in 100 patients.

(07/02/2021)
by Heidi Ulrichsen

More Information: https://www.sudbury.com/local-news/osteoporosis-meds-and-jaw-bone-death-237815

Views: 780
Share


My BEST Dentists Journal Headlines