My BEST Dentists Journal

All Journal Entries
Share

Palatal Tori: Causes and Treatment

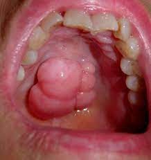
A new lump inside your mouth — or anywhere else on your body — can cause alarm. However, seek out a professional opinion before getting worked up. A palatal torus, also known as torus palatinus, is a harmless bony growth that appears on the roof of your mouth. A torus, which means bony protrusion, can vary in size and shape and is usually painless. While palatal tori do not always require treatment, your dentist might recommend removal for a few reasons. Get the facts on the causes and treatment options for palatal tori before moving forward.

What Causes Palatal Tori?

Researchers do not know the exact cause of palatal tori but suspect that several factors impact their growth. These include:

Age. A study published in Medicina found a higher frequency of tori in subjects over the age of 18. These tori can begin growing during adolescence but might not become noticeable until middle age or even later years.

Diet. Food choices and habits also seem to correlate with the development of palatal tori. Those who have vitamin deficiencies, eat a lot of fish, enjoy foods high in calcium, or chew on frozen or raw meat might be more prone to developing a torus.

Genetics. Though more research is needed, studies like the one published in Medicina indicate genetics plays an important role in the development of tori, and it seems that parents can pass this trait to their children.

Tooth grinding. Grinding your teeth is also associated with a higher risk of palatal tori. Talk to your dentist about ways to curb this habit, such as using night guards or practicing relaxation techniques.

When Should You Seek Treatment for Palatal Tori?

If you notice a lump on the roof of your mouth, you should schedule an appointment with your dentist immediately. Though the chances of the lump being cancerous — or even harmful — are low, you should investigate to rule out any potential problems. Though some tori will not require treatment, your dentist might recommend removing the lump if it is:

Preventing orthodontic devices, mouth guards, or dentures from fitting properly.

Changing speech patterns or causing a speech impediment.

Creating difficulty during eating, such as chewing or swallowing.

Causing food to get stuck around the growth.

Impacting your oral hygiene in any way.

How Do You Treat Palatal Tori?

If the growth interferes with your daily life, your dentist might recommend surgery to remove the torus. Your dentist will refer you to an oral surgeon, who will schedule an appointment to examine the lump and discuss treatment options. The surgeon will typically use a local anesthetic to numb the area before making an incision, removing the excess bone, and closing the opening with sutures. The risk of any complications is low, and recovery time usually takes three to four weeks. Talk to the oral surgeon or staff about what to expect after surgery, including:

Post-operative care requirements.

Foods and beverages to avoid.

Oral hygiene recommendations.

Anytime you find a new lump in your mouth, make an appointment with your dentist immediately to rule out any serious conditions. Thankfully, palatal tori present no immediate danger, and you can lead a normal life even with the bony growth. If the torus interferes with speech, eating, or other oral treatments, surgery provides a successful option for removing the lump with little risk to you or your smile.

(04/28/2021)
by Colgate

More Information: https://www.colgate.com/en-us/oral-health/mouth-and-teeth-anatomy/palatal-tori--causes-and-treatment

Views: 1,115
Share


My BEST Dentists Journal Headlines