My BEST Dentists Journal

All Journal Entries
Share

Prevent Broken Crowns and Bridges with an Occlusal Guard

We’re seeing more patients come in with broken crowns and bridges than we have in a long time. Maybe it’s the stress of social distancing. Or, it could be fear of the unknown as we all manuver through this pandemic. 

Enterprise Dental Care can help you prevent the inconvenience of repairing a broken tooth, crown or bridge. Just give us a call at 301-249-3333 or Contact Us to arrange an appointment for the fitting of a night guard, also known as an occlusal splint or stress guard. 

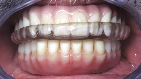
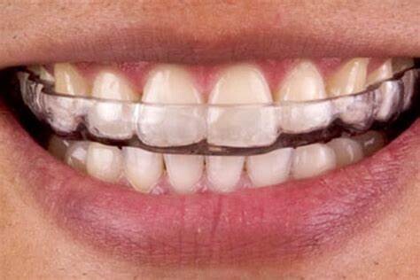
This custom-fitted appliance will keep your teeth slightly apart when you wear it. It will prevent clenching and minimize the pressure on your teeth and jaw. A night guard is also called an occlusal guard. It sure beats going through the process of repairing a broken tooth, crown or bridge because of overnight teeth grinding. 

You Are Likely Experiencing Bruxism 

Bruxism is excessive teeth grinding and jaw clenching but the cause remains unknown and not all patients with bruxism exhibit symptoms.  

If you have crowns or bridges and are experiencing: 

Headaches

Jaw pain

Hearing loss

Loose, fractured or worn teeth

Protect Your Crowns and Bridges With Properly Fitted Night Guard

If we recommend an occlusal guard it will likely be made of acrylic and vary in degrees of softness or hardness. Whether or not it covers all your teeth will depend on where the grinding occurs and how serious it is. This is all with the goal of letling your jaws move more easily against each other to reduce the muscle strain. You’ll feel better and reduce the chances of cracking a crown or destroying a bridge. 

Feeling the symptoms of stress? Protect your crowns and bridges with a small investment in a night guard.

(08/13/2024)
by Enterprise Dental Care

More Information: https://enterprisesmiles.com/blog/prevent-broken-crowns-and-bridges-with-an-occlusal-guard

Views: 345
Share


My BEST Dentists Journal Headlines