My BEST Dentists Journal

All Journal Entries
Share

Reversible and irreversible pulpitis

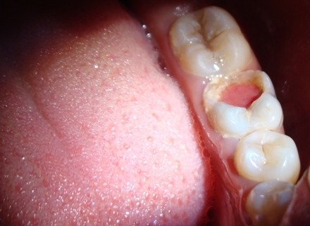
Inside the innermost part of each tooth is an area called the pulp. And Pulpitis is inflammation of the dental pulp, or tissue in the center of a tooth. The dental pulp comprises soft connective tissue, nerves, and the blood supply for the tooth.

There are two forms of pulpitis: reversible and irreversible.

Reversible pulpitis refers to instances where the inflammation is mild and the tooth pulp remains healthy enough to save. Irreversible pulpitis occurs when inflammation and other symptoms, such as pain, are severe, and the pulp cannot be saved.

Irreversible pulpitis may lead to a type of infection called periapical abscess. This infection develops at the root of the tooth, where it causes a pocket of pus to form. If not treated, this infection can spread to other parts of the body, such as the sinuses, jaw, or brain.

Symptoms

Pulpitis causes: pain, which may be sharp or throbbing, sensitivity to sweet, hot, or cold foods and beverages, inflammation.

The severity of these symptoms depends on the type of pulpitis.

Reversible pulpitis typically causes mild symptoms, such as sensitivity and nonlingering pain to cold.

Irreversible pulpitis, on the other hand, may cause severe pain. With irreversible pulpitis, the pain lasts for a long time, even after the stimulant has gone.

Signs and symptoms of infection may also accompany irreversible pulpitis if the inflammation progresses, and may include: a fever, an unpleasant taste in the mouth, bad breath (halitosis), difficulty eating, swelling in the face or cheek, swollen lymph nodes.

Causes

The most common cause of pulpitis is when bacteria irritate the dental pulp through an area of tooth decay, including dental caries.

Other causes of pulpal inflammation include: trauma or injury to a tooth, grinding or clenching the teeth repeated, invasive dental procedures.

These irritants typically first cause reversible pulpitis. If the pulp continues to be inflamed, the pulpitis becomes irreversible, which may eventually lead to the pulp dying.

Diagnosis

A dentist can diagnose pulpitis from a person’s symptoms, an examination of the teeth, and possibly X-rays. The test can help the dentist to determine the extent of the damage, and possibly save the pulp.

Treatment

The treatment will depend on whether the pulpitis is reversible or irreversible.

Reversible pulpitis

If the pulpitis is reversible, the pain and discomfort should resolve once the person treats the underlying cause of the inflammation.

If damage to the tooth, such as with a cavity or a fracture, is causing the pulpitis, a dentist may repair the tooth to protect the pulp.

The pulp should heal and return to its normal, healthy state once a dentist has removed the source of the irritation.

Irreversible pulpitis

Irreversible pulpitis means that something has damaged the nerve beyond repair, and the inflammation in the pulp cannot be reversed.

The dentist will typically perform a root canal treatment to remove the dying pulp.

Alternatively, a dentist may remove the entire tooth, although this is not typically the first line of treatment if they can save the tooth.

A dentist will not recommend systemic antibiotics as a treatment for irreversible pulpitis. This is because antibiotics will not alleviate the pain and heal the nerve inside the tooth.

When to see a dentist

Individuals should see their dentist at the first sign of pain, sensitivity, or inflammation in the mouth.

It is also important to see a dentist regularly for checkups and cleanings.

Outlook

The outlook for pulpitis depends on the extent of the damage.

Reversible pulpitis may resolve with treatment of the cause or irritant.

Irreversible pulpitis requires a root canal treatment or removal of the tooth to resolve the pain and sensitivity.

Early intervention for pulpitis can improve the outlook. A dentist may be able to perform a simple treatment, such as a filling to heal the pulp before the condition becomes irreversible.

(04/21/2021)
by Medical News Today

More Information: https://www.medicalnewstoday.com/articles/pulpitis#diagnosis

Views: 885
Share


My BEST Dentists Journal Headlines