My BEST Dentists Journal

All Journal Entries
Share

Sores On The Roof Of Your Mouth?, Four Possible Causes

Mouth ulcers are not uncommon and can result from many benign causes. However, in some instances, they may be a sign of a serious underlying disease or issue. This article will review several causes of mouth sores and other causes of oral discomfort.

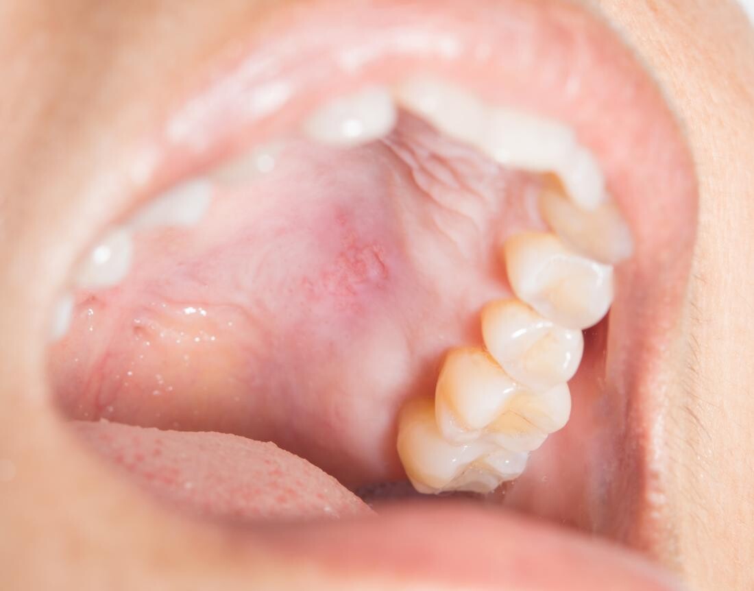
We use our mouths constantly, so getting ulcers or lesions in your mouth can be the worst! Mouth ulcers are not uncommon and can result from many benign causes. However, in some instances, they may be a sign of a serious underlying disease or issue. If the roof of your mouth is sore, or you have other sores or lesions in your mouth, you may have one of these conditions:

1. Burns

Painful bumps on the roof of your mouth are sometimes just a burn or injury resulting from eating too spicy or hot foods. This phenomenon is known as "pizza palate," because fresh, hot slices of pizza are a common cause of irritation to this part of the mouth. However, pizza isn't the only food that can burn the roof of your mouth; any hot food and hot drinks, such as coffee or tea, can lead to similar burns.

A burned palate usually heals by itself within three to seven days. To ease your discomfort in the meantime, stick to soft foods and cold drinks. If the pain is severe, your dentist might recommend using a mouth rinse to ease your discomfort while your mouth heals. Mouth rinse options include warm salt water rinses or over-the-counter or prescription rinses. If the area is still sore after seven days, don't hesitate to see your dentist.

2. Canker Sores

Canker sores often develop on the inside of your cheeks and tongue but don't be surprised to feel them on the roof of your mouth. While the causes or etiology of canker sores are often unknown, there are some known triggers. These include stress, hormonal changes, immune or nutritional deficiencies or physical trauma. There are different variations of canker sores, such as:

Minor aphthous ulcers. These are the most common type of canker sores. These lesions are small and are usually smaller than 1 centimeter (0.4 inches) in diameter. They heal within a week or two, and they typically don't cause any scarring, reports the Mayo Clinic.

Major aphthous ulcers. These are a more severe type of canker sore, but fortunately, they're not as common as the minor variety. The sores are usually larger than 1 centimeter in diameter. In addition to being wider, they can also be deeper than minor canker sores. Major sores can be very painful. When they heal, which can take six weeks or more, they can leave behind extensive scars.

Herpetiform ulcers. These uncommon ulcers affect very few people with canker sores. Despite their name, the herpes virus does not cause them. These sores consist of clusters of anywhere between 10 and 100 sores, and these clusters of small lesions can sometimes merge into one large ulcer. Despite this, they usually heal in about a week, and they don't cause scarring.

Generally, the average person will get one to three canker sores per episode, but depending on which category you fall into, you may develop ten or more sores at one time. Unless you are dealing with the major aphthous ulcer, these often recurring sores usually hurt for a little over a week and may last for 7-10 days. If you have sores that are still present after two weeks, you should see your dentist or physician to confirm the diagnosis and recommend treatment to help you feel better or, in some cases, lessen the severity or duration of the ulcers. In severe cases, your physician may recommend a steroid prescription to reduce the inflammation or a prescription for a topical anesthetic such as lidocaine to reduce pain. While you wait for your mouth to heal, you may benefit from eating bland foods to avoid irritating your sores.

3. Cold Sores

Sores in your mouth — particularly those that don't resolve right away — might ultimately be cold sores. Cold sores are common. They are chronic ulcers caused by the herpes simplex virus found on the lips and hard palate. According to the American Academy of Otolaryngology, these sores present themselves as painful, fluid-filled blisters; the blisters later rupture and crust over as less-painful lesions.

Cold sores usually become crustier within four days from initial appearance and will heal completely after eight to 10 days. Avoid touching or picking at them, just as you would for any scab. Before the scabbing phase, these lesions are highly contagious. The virus remains latent (hidden) in your body and may activate when stressed,  if you have hormonal changes, are in the sun or wind or if you experience trauma. If the sores don't go away by themselves, as you know, your physician or dentist is happy to help.

Mouth ulcers are not uncommon and can result from many benign causes. However, in some instances, they may be a sign of a serious underlying disease or issue. This article will review several causes of mouth sores and other causes of oral discomfort.

4. Oral Cancer

Although the majority of mouth sores are harmless, not all of them are best left alone. According to the American Dental Association, there are two categories of oral cancer- those occurring in and around the mouth and those related more to the throat area (oropharynx). You need to see your dentist or physician as soon as you can for an evaluation if you have a sore on the roof of your mouth that hasn't healed after two weeks. Oral cancer is most treatable when caught early, so it's crucial to immediately bring suspicious sores to your dentist's attention.

What are some other associated conditions that may cause mouth sores?

Some systemic health conditions may cause a higher instance of canker sores. Your doctor or dentist can let you know about possible connections between canker sores and your other health conditions.

The group of digestive problems known as inflammatory bowel disease (IBD) is associated with aphthous ulcers. Crohn's disease and ulcerative colitis, which cause inflammation in the digestive tract, can also result in mouth sores. The gastrointestinal effects of celiac disease make it another one of the many conditions associated with canker sores. People with celiac disease have a sensitivity to gluten, a protein found in wheat, rye, barley, and other grains. Their inability to absorb this protein may be what causes oral problems.

Diseases that attack the immune system often cause aphthous ulcers, as well. People living with HIV often develop canker sores and other oral health problems as a result of being immunocompromised. The difficulty of eating and talking that ulcers can cause can make it difficult to take medication and stay well-nourished.

Lupus and Behcet's disease are also conditions linked to canker sores. This rare autoimmune disease causes inflammation throughout the body, and the mouth can be affected, too.

How Can I Treat a Sore Spot?

Most mouth sores will heal on their own over time. However, while your mouth is healing, there are a few things you can do to ease the pain and prevent further irritation. According to the American Dental Association, saltwater or baking soda rinses can relieve your discomfort. There are also over-the-counter topical anesthetics to provide relief. In some cases, your dentist may prescribe an antiviral drug.

What are Other Ways to Help Healing?

There are a few canker and cold sore home remedy tips may help ease the discomfort during the healing process.

While your canker  or cold sores are healing, try to avoid any foods or drinks that could further irritate them. Some of the foods, drinks and other things to consider avoiding are:

Crunchy foods, like chips or toast

Acidic fruits, like citrus or tomatoes

Salty crackers or pretzels

Spicy foods or hot peppers

Very hot drinks, like tea or coffee

Alcohol

Tobacco products

While many foods can irritate mouth sores, don't worry — there's still plenty you can eat! Instead of irritating foods, opt for soft, bland foods. Yogurt, mashed potatoes and pudding are just a few examples. Your dentist or doctor may be able to recommend other suitable foods to eat during this time.

Dietary changes aren't the only way to ease the discomfort associated with these ulcers. Ice is another easy home remedy to try when you have painful mouth sores. The Mayo Clinic recommends letting ice chips slowly melt against the lesions to help relieve pain and swelling.

If you suffer from recurrent canker sores, try to identify your triggers for mouth sores, such as acidic foods or stress, so you can better prevent them.

If you have sores inside your mouth, don't assume the worst. Just take it easy and avoid irritating them. Most sores go away on their own, but if any oral related sores do not heal within two weeks, go ahead and see your dentist or physician.  Sometimes mouth sores are asymptomatic, so regular checkups, including a head and neck exam, is an essential preventive measure to keep you healthy.

Mouth ulcers are not uncommon and can result from many benign causes. However, in some instances, they may be a sign of a serious underlying disease or issue. This article will review several causes of mouth sores and other causes of oral discomfort.

(03/02/2022)
by Colgate

More Information: https://www.colgate.com/en-us/oral-health/mouth-sores-and-infections/sore-roof-of-mouth-behind-front-teeth-diagnosing-and-healing

Views: 601
Share


My BEST Dentists Journal Headlines