My BEST Dentists Journal

All Journal Entries
Share

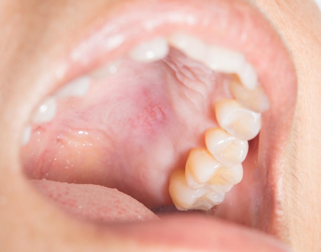
Swelling on the Roof of Your Mouth

The delicate skin on the roof of your mouth takes a lot of daily wear and tear. Occasionally, the roof of your mouth, or the hard palate, may bother you or cause problems, such as swelling or inflammation.

Along with swelling in your mouth, you may experience other symptoms. These other symptoms may help direct you and your doctor toward a diagnosis. They include:

Pain

In some cases, pain will accompany swelling in the roof of your mouth. Some of the conditions that could cause pain are serious. These conditions include oral cancer, alcohol-related liver disease, and hepatitis.

Dry mouth

Dry mouth is a common condition that could be an indication of several problems. Most notably, dry mouth could be a symptom of a blockage in your saliva glands, trauma, or burns from hot food or liquid. Drinking alcohol can cause you to become dehydrated, which leads to dry mouth and swelling in the roof of your mouth.

Sores or blisters

Canker sores and cold sores cause small bumps or nodules. As they grow larger, these spots may become irritated and painful.

Muscle spasms

When the levels of electrolytes in your body fall too low, you may experience muscle spasms, contractions, or cramps. Maintaining adequate levels of these various minerals will help you avoid symptoms of dehydration or overhydration.

Causes

Pinpointing a reason for your swollen palate may be made easier if you understand the possible causes. These include:

Trauma

Mouth trauma can occur in several ways:

Eating foods that are too hot can burn the delicate skin of your hard palate. This may cause blisters or pockets of burned skin.

Eating hard foods, such as tortilla chips, hard candies, and firm fruits and vegetables, can hurt the roof of your mouth.

Scratching the hard palate may lead to swelling and inflammation.

Mouth sores

Before they become obvious spots or blisters, cold sores and canker sores may cause swelling on the roof of your mouth. Stress and hormonal changes may trigger a canker sore. Many canker sores develop on your cheek or the gums near your teeth, but it’s not uncommon for them to appear on the roof of your mouth, too.

A common virus called the herpes simplex virus causes cold sores. Most cold sores last about a week and disappear without treatment. Typically, cold sores appear on your lip, but they may crop up on your hard palate.

Electrolyte imbalance

Electrolytes are minerals in your body fluids, blood, and urine. Maintaining adequate electrolyte levels is very important for proper body functions. When levels of electrolytes become too low or too high, you may experience any number of symptoms, including swelling in the roof of your mouth.

Alcohol use

People who drink heavily and have a hangover the next day may notice swelling and discomfort in the roof of their mouths. That’s because alcohol encourages your body to release more urine, which can leave you dehydrated. Dehydration can cause dry mouth. Excessive dry mouth may lead to swelling or tenderness on the roof of your mouth.

Mouth cancer and other serious conditions

In rare cases, swelling on the roof of your mouth may be a symptom of a serious health issue, such as oral cancer. Likewise, if swelling on the roof of the mouth is accompanied by abdominal tenderness, it could be a sign of hepatitis.

In many cases, the swelling or inflammation you’re experiencing will go away on its own. More severe causes for swelling of the roof of your mouth, such as cancer, are rare. It’s more likely that you’ve irritated the delicate skin on your hard palate. As you recover, remember to give your skin time to heal. Don’t eat extremely hot or hard food while your skin is already sensitive, and avoid foods that irritate the roof of your mouth. If the swelling doesn’t go away in five days to a week, you should see your doctor.

(04/16/2021)
by Healthline

More Information: https://www.healthline.com/health/roof-of-mouth-swollen#outlook

Views: 790
Share


My BEST Dentists Journal Headlines