My BEST Dentists Journal

All Journal Entries
Share

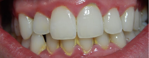
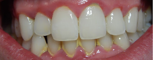
Teeth Yellow Along The Gum Line? That’s Tartar Buildup!

Tooth discoloration along the gum line can indicate several dental issues. One of the more common reasons for a yellow coating developing along the gum line is tartar buildup. Failing to maintain regular teeth cleanings can allow for tartar to form, especially in hard-to-reach places. 

Read on to learn more about tartar buildup and how it can have a severe impact on your overall health if left untreated. 

What Is Dental Tartar?

Tartar, or calculus, is plaque that has hardened onto the teeth. Tartar is mostly made of mineralized dead bacteria and a small amount of mineralized proteins from saliva. Chemically speaking, tartar is made of calcium phosphate, calcium carbonate, and magnesium phosphate. It can form at or just below the gum line and can exasperate gum issues. 

You cannot remove tartar at home. Once tartar has formed, it must be removed with special tools by a dental professional. 

How Dental Plaque Leads to Tartar Buildup 

Bacteria is always present in the mouth, even with an excellent oral hygiene routine. As bacteria mixes with proteins and food byproducts, a sticky film forms called plaque. Plaque covers the teeth, can get under the gum line, and sticks to fillings and other dental work. It also carries harmful bacteria that can damage tooth enamel and lead to cavities and decay. By removing plaque regularly, you can prevent tooth decay and gum disease. Left untreated, plaque hardens and turns into tartar buildup. 

How Tartar Affects Teeth and Gums 

Tartar buildup can make it difficult to brush and floss your teeth thoroughly, which often results in cavities and tooth decay. Any tartar that forms above the gum line has the potential to damage tooth enamel. Tartar that forms below the gum line can irritate and damage your gum tissue. Over time, this can lead to progressive gum disease. 

The mildest form of gum disease, called gingivitis, can be reversed by brushing, flossing, and using an antiseptic mouthwash, in addition to routine cleanings by a dentist. Gum disease can progress to the point of periodontitis, where infected pockets forming between the gums and teeth. At the point of periodontitis, damage to the bones and tissues that hold your teeth in place can lead to tooth loss. Some studies also suggest a direct link between the bacteria found in gum disease and heart disease. 

Signs You Have Tartar Buildup

Luckily, tartar is a mineral buildup that is relatively easy to see above the gum line. Tartar buildup feels like a rough substance and not smooth like tooth enamel. Tartar also irritates the gums, causing inflammation, bleeding, and eventually gum disease. When tartar appears below the gum line, it can cause swollen and bleeding gums. 

Only a dental professional can successfully remove tartar buildup on teeth through a process called scaling. Scaling should never be attempted at home to avoid damaging the tooth enamel. 

Preventing Tartar and Plaque 

The most effective way of preventing tartar from forming on your teeth is not to let plaque linger for too long. This can be done by:

Brushing regularly. Brush your teeth regularly, twice a day for two minutes. 

Using a fluoride toothpaste. Fluoride helps to repair damage to tooth enamel. If you’re susceptible to tartar buildup, also look for a toothpaste made for tartar control. 

Flossing. Dental floss is the only way to remove plaque between the teeth and keep tartar out of these hard-to-reach places. 

Using a mouth rinse. Using an antiseptic mouthwash daily will help kill the bacteria that cause plaque. 

Watch what you eat. The bacteria in the mouth thrive on sugary and starchy foods. Eating a healthy diet will help to limit the number of bacteria in the mouth. 

Avoid smoking. Those who smoke cigarettes or use other tobacco products are more likely to struggle with tartar buildup.  

Only a Dental Professional Can Remove It 

Remember, once tartar has formed, only a dental professional will be able to remove it from your teeth. The best way to have tartar buildup removed is to visit your dentist every six months for routine cleanings and exams, especially if you struggle with tartar buildup.

(09/07/2021)
by Tompkins Dental

More Information: https://www.tompkinsdental.com/blog/teeth-yellow-along-the-gum-line-thats-tartar-buildup

Views: 718
Share


My BEST Dentists Journal Headlines